Перейти к содержанию
Стоматология для всех

Астра без изысков, но не без сюрпризов


Рекомендуемые сообщения

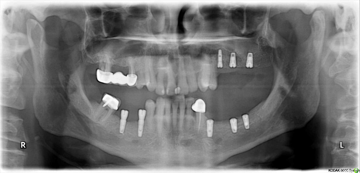
Я тут недавно удивлялся работе @AlexanderGudkov с "неправильным" протезированием и правильными результатами, сегодня показываю свой собственный "необъяснимый" опыт

 

Кроме рентгена приятно удивляет контур, который и выровнялся, и потолстел, особенно это заметно по прозрачным краям на этапе фдм.

 

Ещё, надо сказать, что тут мягкотканная работа получилась по заживлению вторичным натяжением, но случайно - просто прорезался один из швов.

post-39476-0-03105500-1563707510_thumb.jpg

post-39476-0-26662500-1563707542_thumb.jpg

  • Поддерживаю 1
Ссылка на комментарий

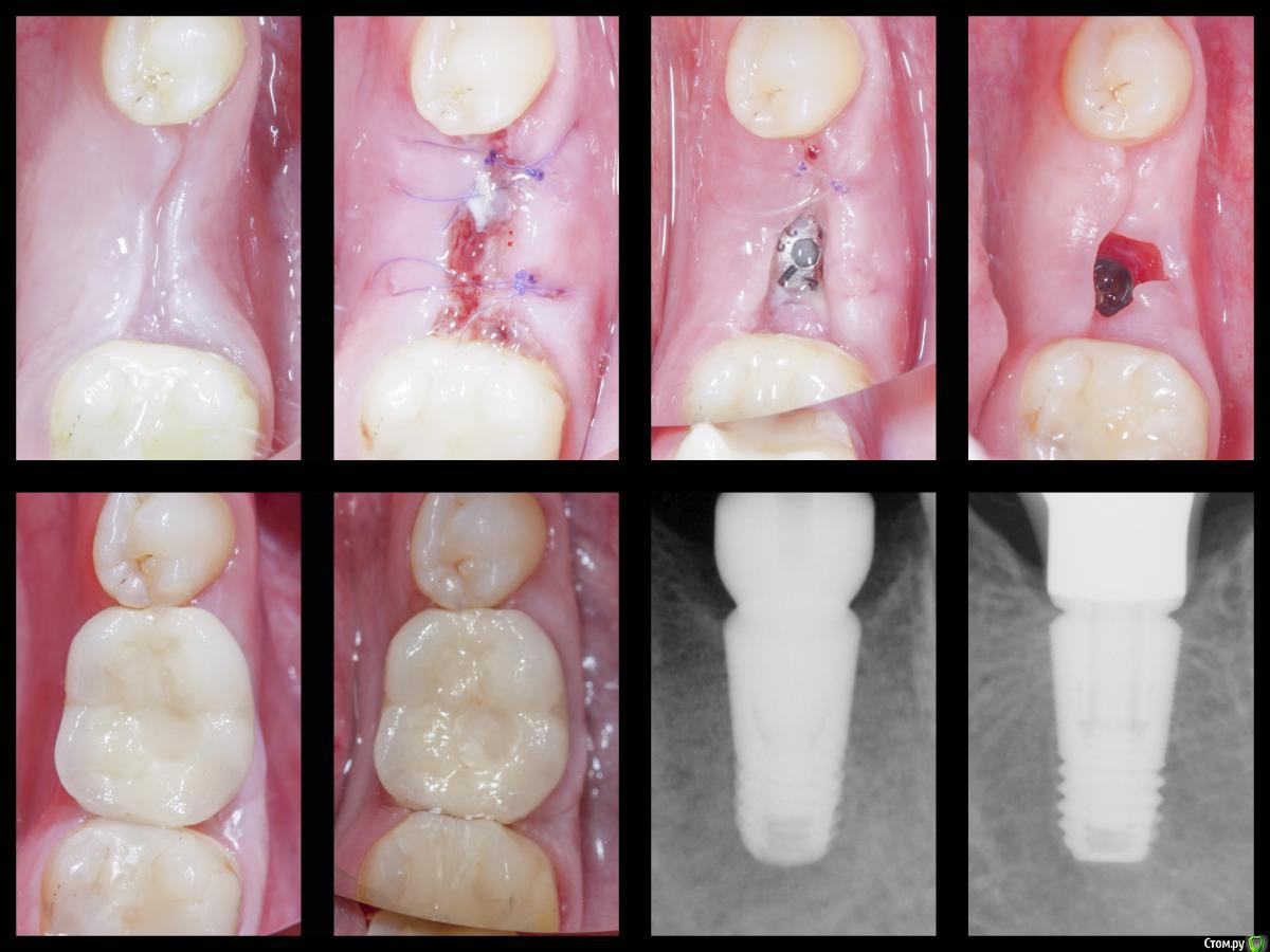
Сегодня опять ругался с ортопедом. Снова сделал уступ 1мм. Не надо так! Стоит формирователь,прекрасная коническая шахта с достаточным объемом закрывающей десны в основании,зачем ее зажимать плоской шляпой? Работа должна садится легко. У платформы десну зажимать нельзя!

Фото по теме не мои, насобирал в фб.

post-41545-0-80054800-1563719166_thumb.png

post-41545-0-80976800-1563719176_thumb.jpeg

post-41545-0-75344100-1563719186_thumb.jpeg

post-41545-0-35912300-1563719198_thumb.jpeg

Изменено пользователем колесников
  • Поддерживаю 11
Ссылка на комментарий

Сегодня опять ругался с ортопедом. Снова сделал уступ 1мм. Не надо так! Стоит формирователь,прекрасная коническая шахта с достаточным объемом закрывающей десны в основании,зачем ее зажимать плоской шляпой? Работа должна садится легко. У платформы десну зажимать нельзя!

Фото по теме не мои, насобирал в фб.

+100500

Ссылка на комментарий

Я вот, в общем то, о том же. Но почему за 4 года в этом случае все стало только лучше? Что-то в моей философии о БШ, значит, неверно

Ссылка на комментарий

У Вас получилось «не благодаря ,а вопреки». На каком то этапе наросла кость на плечо импланта и все живет . Обычно получается как r_b показал(кошмар! Такую работу запороли). В общем,на авось прокатит надеяться не надо,лучше не давать повода и контролировать каждый этап. И беречь десну,будет прикреплённая десна-будет и кость-будет жив имплант.

Изменено пользователем колесников
Ссылка на комментарий

У Вас получилось «не благодаря ,а вопреки».

Вы же понимаете, что это не важно. Важен только результат, а благодаря или вопреки - это всегда сочетание факторов.

 

Я долгое время считал разделение платформ и/или соблюдение БШ ключевыми факторами для стабильности периимплантных тканей (при адекватной нагрузке по умолчанию). А это, видимо, не так.

 

Сам рисую техникам схемы как индивидуальные абатменты делать, миллиметры, зоны...

Ссылка на комментарий

Сегодня опять ругался с ортопедом. Снова сделал уступ 1мм. Не надо так! Стоит формирователь,прекрасная коническая шахта с достаточным объемом закрывающей десны в основании,зачем ее зажимать плоской шляпой? Работа должна садится легко. У платформы десну зажимать нельзя!

Фото по теме не мои, насобирал в фб.

Это всё варианты платформ под кадкам. Вариобейс в штраумане, Линк в остеме и тд, и везде они короткие, по 1-3 мм,как думаете коллеги, зачем подобные платформы вообще вводят в линейку? Предположу, что склейка мультилинком в руках исключает риск попадания цемента, но всё же по современным концепциям, в т.ч. Зеро Лос концепт, такой профиль прорезывания не даст оптимальных резальтатов. Хотя тот же Томас линкевичус демонстрировал кейсы с подобным профилем и хорошими результатами, объясняя успех достаточным количеством кости и десны...
Ссылка на комментарий

Хотя тот же Томас линкевичус демонстрировал кейсы с подобным профилем и хорошими результатами, объясняя успех достаточным количеством кости и десны...

Да, я это тоже видел. И сам Томас высказался, что главное конусное соединение, а не принцип разделения платформ.

Ссылка на комментарий

Это всё варианты платформ под кадкам. Вариобейс в штраумане, Линк в остеме и тд, и везде они короткие, по 1-3 мм,как думаете коллеги, зачем подобные платформы вообще вводят в линейку? Предположу, что склейка мультилинком в руках исключает риск попадания цемента, но всё же по современным концепциям, в т.ч. Зеро Лос концепт, такой профиль прорезывания не даст оптимальных резальтатов. Хотя тот же Томас линкевичус демонстрировал кейсы с подобным профилем и хорошими результатами, объясняя успех достаточным количеством кости и десны...

ну 3 мм так то не короткое основание, а в самый раз. Производители вообще сами долго не могли понять как надо делать, они только вешают лапшу о своих мега исследованиях, на самом деле они идут параллельно с нами с обычными врачами и слушают пару-тройку опинион-лидеров, которые и вносят изменения в системы ну и + еще смотрят друг на друга, что другие сделали и копируют друг друга.

  • Поддерживаю 2
Ссылка на комментарий

Мне абатменты не нравятся) Как считаете, если к примеру приходит пациент с такими вот абатментами и шляпой в 1 мм, имеем перимукозит и понимаем что прогноз не очень, можем ли мы пришлифовать такую титановую платформу вместе с коронкой? 

Изменено пользователем Дмитрий Л.
Ссылка на комментарий

зачем подобные платформы вообще вводят в линейку? Это пришло ещё с тех времён когда имплантация была двухэтапная,постановка крестальная,уровень десны 2мм, о мягких тканях никто не думал,главное чтобы имплант прижился. Помню ортопеды просили убирать «избыток» десны по гребню. Сейчас концепция поменялась,пришло понимание как реагируют ткани,появилось понятие биологическая ширина. Как отметил Олег Юрьевич ,производители отстали и не в курсе дела.

  • Поддерживаю 1
Ссылка на комментарий

Даже тупо временные абатменты с высотой уступа более 1мм есть далеко не во всех линейках импл.систем  <_<

Ссылка на комментарий

Ну а толку от временного абатмента с высоким уступом, если постоянных абатментов таких же нет? Ну вот у астры ортопедия, простите, убогая, как бы я не любил эту систему, начиная прямо с формирователей. Все работы вести через индивидуальные абатменты тоже не выход, ортопед вешается. А если вести через винтовую, то техники не могут посадить работы на моделях.

 

И, самое главное, мой вопрос из самого начала темы: если это принципиально важно, то почему в случаях несоблюдения этих правил не всегда мы получаем трэш? Я

Значит, ключевой аспект в чем-то другом?

Ссылка на комментарий

Ну а толку от временного абатмента с высоким уступом, если постоянных абатментов таких же нет? Ну вот у астры ортопедия, простите, убогая, как бы я не любил эту систему, начиная прямо с формирователей. Все работы вести через индивидуальные абатменты тоже не выход, ортопед вешается. А если вести через винтовую, то техники не могут посадить работы на моделях.

И, самое главное, мой вопрос из самого начала темы: если это принципиально важно, то почему в случаях несоблюдения этих правил не всегда мы получаем трэш? Я

Значит, ключевой аспект в чем-то другом?

Работаю с Кореей. Проблем что со стандартными абатментами, что с Ти-бейс на 3мм нет. Нужны временные абатменты такие же для полного фен-шуя ;)
Ссылка на комментарий

#недозаглубили ....или плюсом десны маловато,вот и при формировании биоширины кость ушла

да нееееет )))) тут как раз наоборот, хирург все норм сделал, а кость ушла от неправильных абатментов.

 

 тот самый случай, когда абатмент с короткой шейкой убил хорошую хирургическую работу

  • Поддерживаю 1
Ссылка на комментарий

Для публикации сообщений создайте учётную запись или авторизуйтесь

Вы должны быть пользователем, чтобы оставить комментарий

Создать аккаунт

Зарегистрируйте новый аккаунт в нашем сообществе. Это очень просто!

Регистрация нового пользователя

Войти

Уже есть аккаунт? Войти в систему.

Войти
×
×
  • Создать...
Вверх