Taaa Опубликовано 13 июля, 2019 Поделиться Опубликовано 13 июля, 2019 Здравствуйте!Нуждаюсь в Ваши советах.Постараюсь изложить мою историю как можно короче.2016 год. Все началось с того, что я захотела исправить свои кривые зубы (большая скученность спереди) и сделать себе прекрасную улыбку. В итоге при обследовании, на панорамном снимке нашли новообразование. Поставили брекет-систему и направили на удаление этой гадости в нашу провинциальную, но тем не менее областную клиническую больницу (на время операции дугу снимали).2017 год. Поступила в отделение челюстно-лицевой хирургии областной больницы на плановое оперативное вмешательство для удаления новообразования в челюсти. Но после удаления у меня начал шататься зуб рядом с которым была проведена операция. Врач сказал, что такое состояние является нормой и со временем это пройдет. Но как оказалось – не прошло, и выяснилось, что вместо новообразования мне удалили корень здорового зуба. После этого была вторая операция для удаления этого злосчастного новообразования, она прошла успешно, как я думала в начале.2018 год. Подходит конец исправления моей улыбки и подготовка к установке импланта в ту дыру, которую мне сделали наши замечательные хирурги. А именно – поход к специалисту на консультацию. Я уже морально и материально была настроена на имплантацию и опустошение кошелька, как мне сообщили, что поставить ничего туда могут. А все из-за того, что мне каким-то образом задели корень еще одного зуба (клыка) и у него сейчас идет воспаление. Соответственно, ставить имплант в таком случае нельзя и надо удалять данный зуб.2019 год. Я не захотела удалять ещё один зуб и решила попробовать его полечить. Все получилось, воспаление мне убрали, врач сказала, что зуб может еще очень долго мне прослужить (на картинке ниже поэтапное лечение).Но стоматолог-хирург сказал, что все равно не сможет поставить имплант, так как корень зуба сильно оголен (а это постоянное воспаление по словам специалиста), а также не хватает костной ткани и нарастить ее в моем случае не получится (не за что зацепиться, как я поняла). Стоит отметить, что ходила еще к одному специалисту и там мне сообщили тот же результат.1) Может быть есть какие-то новые технологии по наращиванию костной ткани, так как я очень не хочу терять еще один зуб.2) Может быть Вы мне посоветуете какую-то клинику или расскажете про оптимальное лечение. Ссылка на комментарий
hogsmeed Опубликовано 13 июля, 2019 Поделиться Опубликовано 13 июля, 2019 Вам нужно найти 3-го специалиста, который занимается костной регенерацией. Скорее всего первые 2 специалиста были из одной ценовой категории, просто повысьте бюджет и найдите клинику которая давно занимается имплантацией. Не безвыходная ситуация. Ссылка на комментарий
Taaa Опубликовано 14 июля, 2019 Автор Поделиться Опубликовано 14 июля, 2019 Вам нужно найти 3-го специалиста, который занимается костной регенерацией. Скорее всего первые 2 специалиста были из одной ценовой категории, просто повысьте бюджет и найдите клинику которая давно занимается имплантацией. Не безвыходная ситуация.Если было все так просто, я итак выбрала дорогие частные клиники в моем городе. Дело не в деньгах, дело в кадрах. Ссылка на комментарий
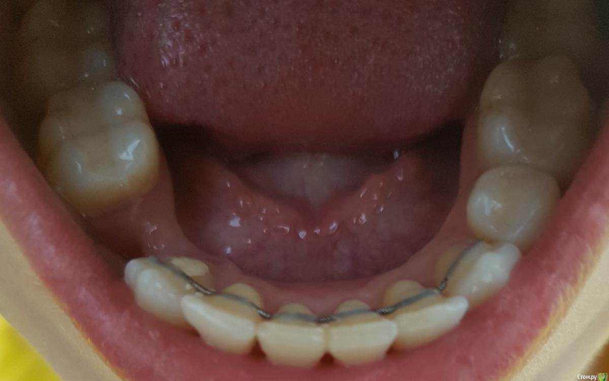
red_butler Опубликовано 14 июля, 2019 Поделиться Опубликовано 14 июля, 2019 Taaa, покажите фото во рту Ссылка на комментарий
Taaa Опубликовано 14 июля, 2019 Автор Поделиться Опубликовано 14 июля, 2019 Taaa, покажите фото во ртуТак подходит? Ссылка на комментарий
hogsmeed Опубликовано 14 июля, 2019 Поделиться Опубликовано 14 июля, 2019 (изменено) Я ж говорил не безвыходно Изменено 14 июля, 2019 пользователем hogsmeed 2 Ссылка на комментарий
red_butler Опубликовано 14 июля, 2019 Поделиться Опубликовано 14 июля, 2019 Да по снимку, выглядит хуже. Нужно сделать Кт Ссылка на комментарий
Taaa Опубликовано 14 июля, 2019 Автор Поделиться Опубликовано 14 июля, 2019 Да по снимку, выглядит хуже. Нужно сделать КтСпасибо, у меня есть снимок, но старый (до лечения). В ближайшее время сделаю свежий. Ссылка на комментарий
Irouil Опубликовано 15 июля, 2019 Поделиться Опубликовано 15 июля, 2019 Вероятнее всего потребуется костная пластика с использованием костного блока, что резко ограничивает контингент специалистов, от которых Вы можете услышать положительное решение: немногие пользуются этой методикой успешно, ещё меньше хирургов любят эту процедуру. Поэтому ищите и обрящете. Но это довольно абстрактные рассуждения, надо смотреть актуальные снимки. Ссылка на комментарий
AlexanderGudkov Опубликовано 15 июля, 2019 Поделиться Опубликовано 15 июля, 2019 Оптимальное лечение (с моей точки зрения)- Удаление клыка- Через 8 недель костная пластика - Имплантация- Установка формирователей, десневая пластика- Протезирование 2 Ссылка на комментарий
red_butler Опубликовано 15 июля, 2019 Поделиться Опубликовано 15 июля, 2019 Оптимальное лечение (с моей точки зрения)- Удаление клыка- Через 8 недель костная пластика- Имплантация- Установка формирователей, десневая пластика- Протезирование+ 1 Ссылка на комментарий
wladdX Опубликовано 15 июля, 2019 Поделиться Опубликовано 15 июля, 2019 Оптимальное лечение (с моей точки зрения)- Удаление клыка- Через 8 недель костная пластика- Имплантация- Установка формирователей, десневая пластика- ПротезированиеАналогичное мнение Ссылка на комментарий
hogsmeed Опубликовано 15 июля, 2019 Поделиться Опубликовано 15 июля, 2019 Оптимальное лечение (с моей точки зрения)- Удаление клыка- Через 8 недель костная пластика- Имплантация- Установка формирователей, десневая пластика- ПротезированиеА почему через 8 недель Ссылка на комментарий
AlexanderGudkov Опубликовано 15 июля, 2019 Поделиться Опубликовано 15 июля, 2019 А почему через 8 недельКлассический срок между удалением и костной пластикой)Можно и раньше, но тут вертикалка планируется, поэтому я бы не рисковал Ссылка на комментарий
колесников Опубликовано 15 июля, 2019 Поделиться Опубликовано 15 июля, 2019 Провести имплантацию без удаления клыка могут либо начинающие имплантологи,либо очень крутые. Есть угроза получить периимплантный карман. Сделайте свежий кт и все прояснится Ссылка на комментарий
Pavel-Pskov Опубликовано 16 июля, 2019 Поделиться Опубликовано 16 июля, 2019 Реально нарастить кость дистально на клыке? Ссылка на комментарий
колесников Опубликовано 16 июля, 2019 Поделиться Опубликовано 16 июля, 2019 Все возможно,но не всегда нужно 1 Ссылка на комментарий
Pavel-Pskov Опубликовано 16 июля, 2019 Поделиться Опубликовано 16 июля, 2019 Можно какие нибудь ссылки глянуть, с Rg контролем, плз. Ссылка на комментарий
Bier Опубликовано 18 июля, 2019 Поделиться Опубликовано 18 июля, 2019 реально сделать, но сложно ) Я делал. Ссылка на комментарий
Рекомендуемые сообщения
Для публикации сообщений создайте учётную запись или авторизуйтесь
Вы должны быть пользователем, чтобы оставить комментарий
Создать аккаунт
Зарегистрируйте новый аккаунт в нашем сообществе. Это очень просто!
Регистрация нового пользователяВойти
Уже есть аккаунт? Войти в систему.
Войти