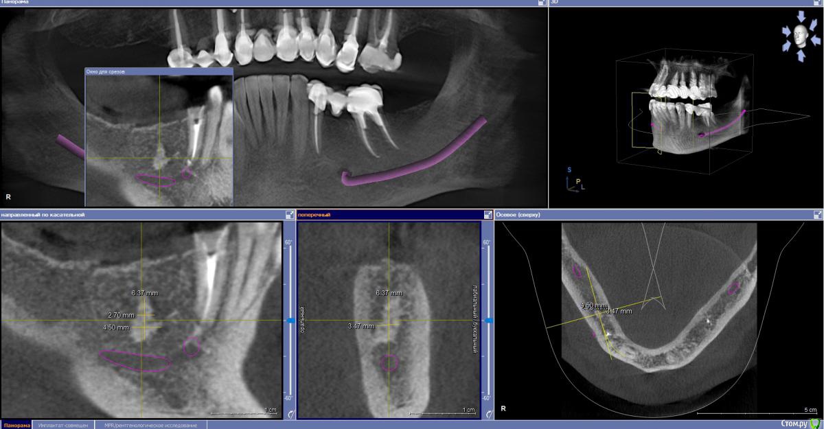
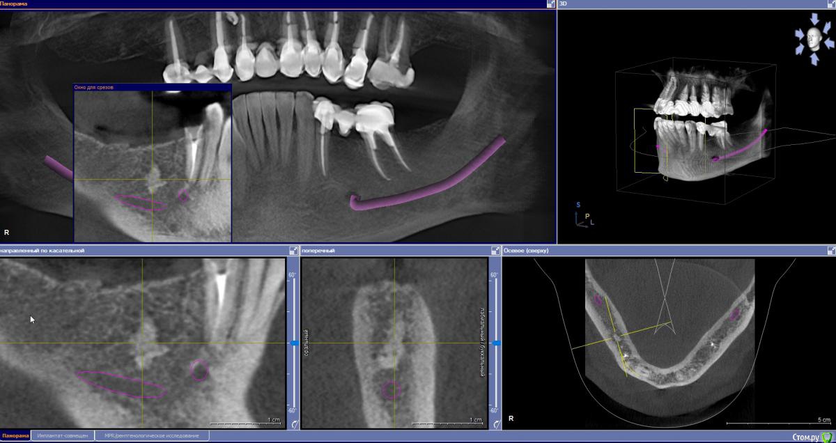
zumanok Опубликовано 21 мая, 2019 Поделиться Опубликовано 21 мая, 2019 Здравствуйте доктора.При планировании имплантации обнаружилось образование по плотности похоже на кортикальную кость, Обойти ее получается только при удалении соседнего корня и имплантации в 4.5- 4.7, хотя его можно восстановить. Как вы действуете в таких случаях или какое мнение? Есть ли подобный опыт? Ссылка на комментарий
Большой Зеленый Опубликовано 22 мая, 2019 Поделиться Опубликовано 22 мая, 2019 Просверлится легко.Не вижу проблемы. 4 Ссылка на комментарий
zumanok Опубликовано 22 мая, 2019 Автор Поделиться Опубликовано 22 мая, 2019 Просверлится легко.Не вижу проблемы.Спасибо. Поставить я тоже проблем не вижу, условия идеальные, беспокоюсь что бы потом проблем не возникло. Ссылка на комментарий
krokomot Опубликовано 22 мая, 2019 Поделиться Опубликовано 22 мая, 2019 Это не одонтома, то что вы описываете больше походит на остеому или участок гиперостоза, и то и то не противопоказано при имплантации, в отличие от одонтомы. 2 Ссылка на комментарий
zumanok Опубликовано 8 июня, 2019 Автор Поделиться Опубликовано 8 июня, 2019 Это не одонтома, то что вы описываете больше походит на остеому или участок гиперостоза, и то и то не противопоказано при имплантации, в отличие от одонтомы. Спасибо, не правильно выразился. Ссылка на комментарий
Рекомендуемые сообщения
Для публикации сообщений создайте учётную запись или авторизуйтесь
Вы должны быть пользователем, чтобы оставить комментарий
Создать аккаунт
Зарегистрируйте новый аккаунт в нашем сообществе. Это очень просто!
Регистрация нового пользователяВойти
Уже есть аккаунт? Войти в систему.
Войти