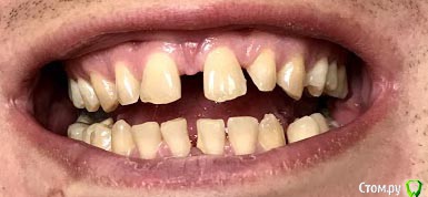
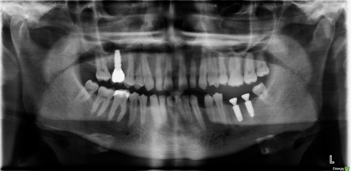
Arkasha18 Опубликовано 4 мая, 2019 Поделиться Опубликовано 4 мая, 2019 (изменено) 35 лет, мужчина.разъезжаются передние зубы все больше и больше, хочу выравнять, насколько ходил по специалистам, все советуют только брекеты.Но остается очень много вопросов по выбору специалиста, т.к. сейчас стоматологов очень много, я не могу выбрать хорошего специалиста, т.к. не разбираюсь в этом. Текущие специалисты меня не устраивают, т.к. допустили уже ряд ошибок которых не должно было быть. Прошу помощи как выбрать специалиста, какие вопросы ему задавать что бы понимать что он специалист хорошо разбирающийся, а не без опытный какой то.набросайте несколько вопросов какие можно задавать пожалуйста. - на например связанные с какими то технологиями, - процессом техническим - варианты брекет систем чем отличаются может что то спросить в общем не знаю..хочется задать вопросы и что бы было понятно кто передо мной, ленивый, знающий, или нет и т.п. если кто то посоветует в питере специалиста на севере города (коменда, старая деревня, пионерская) буду безмерно благодарен И второй вопрос у меня три импланта, верхний на коронке, нижние два без. соот-но придется их снимать? снимки прикрипляю Изменено 4 мая, 2019 пользователем Arkasha18 Ссылка на комментарий
Brigita Опубликовано 4 мая, 2019 Поделиться Опубликовано 4 мая, 2019 я бы рекомендовала не тестировать доктора, а послушать, что он Вам скажет. Потом делать выводы. Сходите на несколько консультаций, сравните подход докторов и проанализируйте Ссылка на комментарий
Arkasha18 Опубликовано 7 мая, 2019 Автор Поделиться Опубликовано 7 мая, 2019 (изменено) да ни кто ни кого тестировать не хочет, хочется просто быть уверенным в докторе что он профессионал.я вот инженер я в своей области могу по нескольким вопросам определить уровень знаний, опыта и степень лени. а сейчас на рынке стоматологов 99 процентов только бабки хотят с минимум знаний. это не тестирование а фильтр. вот к примеру у меня задача найти человека кто мне починит сайт от вирусов. я прихожу и спрашиваю что вы будете делать мне отвечают - буду искать и удалять - поставлю антивирус - а профессионал не ленивый предложит комплекс методов с гарантией на месяц за рыночную стоимость вот я и хочу от вас профессионалов услышать методику фильтрации специалистов. в таком же духе как я пример написал. что бы потом не жалеть в очередной раз от горе стоматолога и не переделывать все. или в место 2 лет 5 лет не ходить. наверняка же есть разные методики и диагностические методы. наверняка есть разные подходы и частота подтягиваний от чего то зависит. или еще какие то ньюансы всякие . поделитесь пожайлуста Изменено 7 мая, 2019 пользователем Arkasha18 1 Ссылка на комментарий
red_butler Опубликовано 7 мая, 2019 Поделиться Опубликовано 7 мая, 2019 вот я и хочу от вас профессионалов услышать методику фильтрации специалистов если бы все было так просто http://forum.stom.ru/topic/8621-kak-vybrat-vracha-kak-poniat-kto-profi-a-kto-stu/ а сейчас на рынке стоматологов 99 процентов только бабки хотят с минимум знаний поделитесь пожайлуста после этих слов желание помощь пропадает Ссылка на комментарий
Arkasha18 Опубликовано 7 мая, 2019 Автор Поделиться Опубликовано 7 мая, 2019 в любой отрасли в большом городе, в том числе и в моей отрасли, 99 процентов это люди скажем так ленивые, почему то я не обижаюсь на это, а вы обижаетесь.я сам имею бизнес мелкий и конечно хочется зарабатывать просто и легко. это нормально. но если меня кто то спросит как найти специалиста хорошего. почему не помочь. я расскажу и помогу. и ни какой солидарности профессиональной тут не будет. это интернет. тут как бы люди спрашивают и им отвечают. пойду я спрашивать лучше на другие форумы 1 Ссылка на комментарий
Рекомендуемые сообщения
Для публикации сообщений создайте учётную запись или авторизуйтесь
Вы должны быть пользователем, чтобы оставить комментарий
Создать аккаунт
Зарегистрируйте новый аккаунт в нашем сообществе. Это очень просто!
Регистрация нового пользователяВойти
Уже есть аккаунт? Войти в систему.
Войти