Перейти к содержанию
Стоматология для всех

Срочно нужна помощь!Перелечивание или протезирование?


miloska

Рекомендуемые сообщения

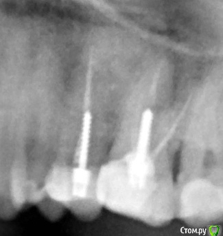
Помогите, пожалуйста, советом!В одной клинике были пролечены каналы и установлены анкерные штифты в 25,26 зубах.Зубы были восстановлены световыми пломбами с рекомендацией под коронки.С целью установки коронок обратились в другую клинику, где сначала сказали эти зубы перелечивать и ставить вкладки +коронки, но потом терапевт сказала, что при перелечивании есть большой риск того, что зубы пойдут на удаление и посоветовала накрыть коронками то, что есть..

Рисковать этими зубами не могу, поэтому пошла к ортопеду ,несмотря на дискомфорт в области этих зубов (терапевт сказала, что возможно это из-за давления пломб на дёсны..)После обточки и установки временных коронок, дискомфорт усилился и чувствую болезненные ощущения при надкусывании..Скажите, пожалуйста, по снимку( снимок до обточки) , нормально ли пролечены каналы, нет ли воспалений и как  правильнее поступить: ставить коронки на то, что есть или 

необходимо всё же рисковать с перелечиванием?

post-57565-0-75280100-1554996621_thumb.jpg

Ссылка на комментарий

Для публикации сообщений создайте учётную запись или авторизуйтесь

Вы должны быть пользователем, чтобы оставить комментарий

Создать аккаунт

Зарегистрируйте новый аккаунт в нашем сообществе. Это очень просто!

Регистрация нового пользователя

Войти

Уже есть аккаунт? Войти в систему.

Войти
×
×
  • Создать...
Вверх