Sagaydak Aleksandr Опубликовано 14 марта, 2019 Поделиться Опубликовано 14 марта, 2019 День добрый. Нужен совет, как лучше поступить? Пациент, протезирование верхнего зубного ряда металлокерамическими мостовидными протезами. Сначала работу фиксировал на темп бонд. Где то месяц пациент ходил, привыкла. Пару раз приходил подкорректировать окклюзию. Когда добились желаемого результата решили перефиксировать на постоянную. Фиксировал на фуджи 1. В момент фиксации ничего не предвещало беды. Убрал излишки цемента, почистил. После этого пациент смокнул зубы и сказал что правая сторона не досела и ему вообще не удобно. Теперь вопрос можно ли снять мост аккуратно без повреждений, или придётся распиливать и полностью переделывать. Мост от шестого до шестого. Ссылка на комментарий
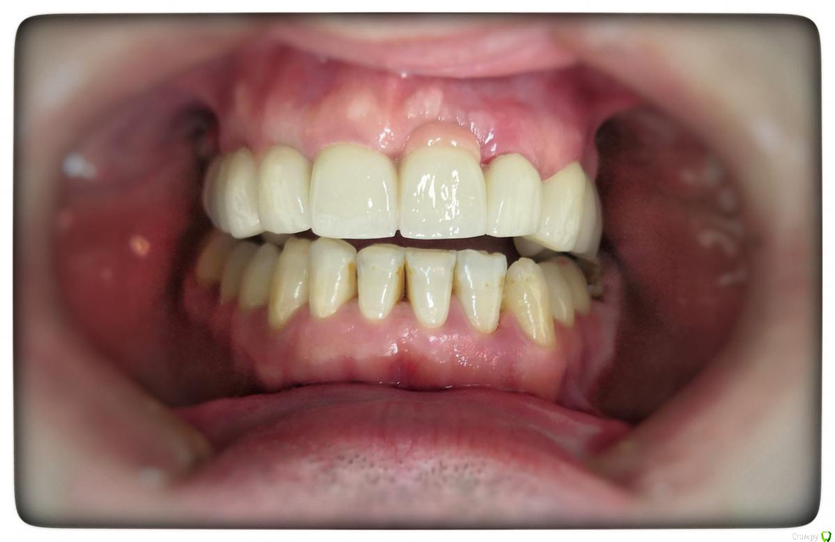
Sagaydak Aleksandr Опубликовано 14 марта, 2019 Автор Поделиться Опубликовано 14 марта, 2019 Вот фото Ссылка на комментарий
Дмитрий Л. Опубликовано 14 марта, 2019 Поделиться Опубликовано 14 марта, 2019 Мало данных. На сколько мешает, есть ли дезокклюзия, что показывает копирочка, на каких зубах мешает именно. Может быть пришлифовыванием можно решить.А вообще тактика непонятная. Зачем нужен этот темпбонд? Одно дело времяшки носить, другое фиксировать постоянную конструкцию на временный цемент. А если бы пациент пришел через месяц и сказал что ему что-то не так, переделывали бы за свой счет? Эти нюансы надо определять на этапе примерки.По-хорошему - распилить и переделать, по-плохому - пришлифовать, но копф в руки лучше не брать. Ссылка на комментарий
zubovolok Опубликовано 14 марта, 2019 Поделиться Опубликовано 14 марта, 2019 Так это его субъективные ощущения, что недосел? Или вы сами видите что коронки до уступа не доходят или суперконтакт с той стороны? У самого такое было при фиксации такой же протяженной конструкции на Фуджи плюс, решил проблему сбиванием коронкоснимателем, чуть керамику повредил, допекали потом, но я сам увидел что недосело, буквально в течении 5 минут после фиксации. Потом протяженные работы на реликс фиксировал, у него больше рабочее время. По вашей работе - если сбивать сейчас будете мне кажется зубы можете повредить, либо все снимать, либо если есть возможность ту часть которая недосела, отпилить, от нормально севшей части и снять. Ссылка на комментарий
Sagaydak Aleksandr Опубликовано 14 марта, 2019 Автор Поделиться Опубликовано 14 марта, 2019 Пришлифовывание проблемы не решило. Копиркой определяются супер контакты в области 12-15. По уступам вроде как не досел в области 14 зуба на доли миллиметра, по остальным зудам сидит по уступам. Это насколько я мог увидеть, так как работаю без оптики. Ссылка на комментарий
Sagaydak Aleksandr Опубликовано 14 марта, 2019 Автор Поделиться Опубликовано 14 марта, 2019 Если попытаться ультра звуком разбить цемент? Есть какие то специальные насадки для этого? Ссылка на комментарий
Дмитрий Л. Опубликовано 14 марта, 2019 Поделиться Опубликовано 14 марта, 2019 Не сможете, керамику только сколите. Пришлифуйте нижние зубы да и делу конец. Ссылка на комментарий
dentikl Опубликовано 14 марта, 2019 Поделиться Опубликовано 14 марта, 2019 Если попытаться ультра звуком разбить цемент? Есть какие то специальные насадки для этого?если прямой наконечник хороший и есть пару алмазных головок-можно попробовать пришлифовать во рту (если мост практически на месте и завышение совсем небольшое ) Ссылка на комментарий
Sagaydak Aleksandr Опубликовано 14 марта, 2019 Автор Поделиться Опубликовано 14 марта, 2019 если прямой наконечник хороший и есть пару алмазных головок-можно попробовать пришлифовать во рту (если мост практически на месте и завышение совсем небольшое )Чем можно отполировать керамику во рту? Ссылка на комментарий
___49___ Опубликовано 14 марта, 2019 Поделиться Опубликовано 14 марта, 2019 (изменено) Чем можно отполировать керамику во рту?Резинкой с мелким абразивом ( иногда ею полируют техники небольшие участки , чтоб не глазурить) . ситуация неоднозначная - может и на темпбонде не сидело до конца , а сейчас просел ..... надо смотреть в полости рта. сбивать не вариант. Вообще на будущее - такие протяженные работы ставьте на зубы без ничего и дайте пациенту посидеть с ними минут 30 -40 - периодически досаживая руками (так у вас больше шансов посадить "подкову" до конца за счет миграции зубов на связках в вынуждающую их позицию ) , и потом уже шлифуйте по прикусу или фиксируйте на цемент . Изменено 14 марта, 2019 пользователем ___49___ 3 Ссылка на комментарий
AndyAndy Опубликовано 15 марта, 2019 Поделиться Опубликовано 15 марта, 2019 На этапе временного цемента была такая же щель??? Это я к тому, что если ее не было, сошлифовывать вам придётся до металла... 1 Ссылка на комментарий
chervoncevdaniil Опубликовано 15 марта, 2019 Поделиться Опубликовано 15 марта, 2019 На этапе временного цемента была такая же щель??? Это я к тому, что если ее не было, сошлифовывать вам придётся до металла...Присоединяюсь к вопросу,это фото вприкусе или пациент приоткрытым держит рот?Если в прикусе,то вам и керамику пилить почти до металла и антагонисты,чтобы щель закрыть,я думаю это не целесообразно,плюс могут быть вопросы у пациента почему вы так делаете Ссылка на комментарий
chervoncevdaniil Опубликовано 15 марта, 2019 Поделиться Опубликовано 15 марта, 2019 (изменено) Сбивать такие консрукции с постоянного цемента при хорошем препе не рекомендуется.Если условно там все зубы витальны еще как то можно как вариант попробовать,учитывая что вы на фуджи 1 поставили,а не,например,на фуджи плюс,там вообще без шансов.но если все депульпировано,штифты,громадные билдапы или культевые вкладки,то вы можете получить осложнения в виде переломов,трещин и прочих вещей с опорными зубами.Так что хорошенько подумайте,понятно что распиливать такую подкову и начинать все сначала это жестко и в плане финансово и отношения пациента тоже,но ситуация непростая конечно Изменено 15 марта, 2019 пользователем chervoncevdaniil 1 Ссылка на комментарий
dentikl Опубликовано 17 марта, 2019 Поделиться Опубликовано 17 марта, 2019 Чем можно отполировать керамику во рту?резинки для керамики (для прямого)головки для циркона (для углового) Ссылка на комментарий
Pavel-Pskov Опубликовано 18 марта, 2019 Поделиться Опубликовано 18 марта, 2019 Сбивать точняк сколы будут, плюс , как сказали, веролятность повредить культи. Ссылка на комментарий
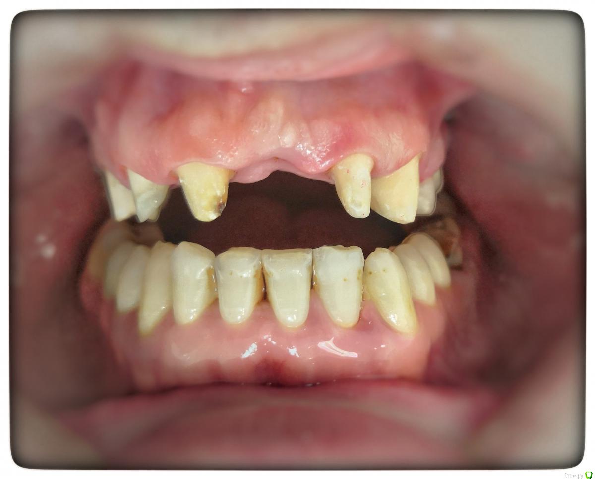
Dman Опубликовано 19 марта, 2019 Поделиться Опубликовано 19 марта, 2019 Пилите, но я бы с такой искуственной десной сдавать не стал бы. Там же есть десна, зачем вы еще перекрыли? Ссылка на комментарий
Бендер Опубликовано 19 марта, 2019 Поделиться Опубликовано 19 марта, 2019 Это эпик фейл, распиливайте 1 Ссылка на комментарий
chervoncevdaniil Опубликовано 19 марта, 2019 Поделиться Опубликовано 19 марта, 2019 Чем история то закончилась? 1 Ссылка на комментарий
Sagaydak Aleksandr Опубликовано 23 марта, 2019 Автор Поделиться Опубликовано 23 марта, 2019 Всем спасибо за ответы. Работу просто пришлифовали и заполировали. На фото работа не прикуссе, рот приоткрыт чуть-чуть. Там был ранее перелом челюсти, поэтому визуально кажется перекос. Предположил что на темп бонд просто была изначально не досажена, а на фуджи села по уступам. Вот и получилась разница в ощущениях. На днях фиксировал небольшой мостик 6 единиц, тоже решил сначала на темп бонд, в день фиксации все сидела по уступам, а через неделю пришла-на одном зубе мост поднялся где-то на миллиметр. Ссылка на комментарий
Sagaydak Aleksandr Опубликовано 23 марта, 2019 Автор Поделиться Опубликовано 23 марта, 2019 Пилите, но я бы с такой искуственной десной сдавать не стал бы. Там же есть десна, зачем вы еще перекрыли?Вот почему. Ссылка на комментарий
Dman Опубликовано 25 марта, 2019 Поделиться Опубликовано 25 марта, 2019 Вот почему.ну это же вам так сделал техник, уверен, что там есть объем десны. Почитайте про овоиды, у вас была идеальная ситуация для сохранения объема и изготовления красивой конструкции. и даже так, как на фото красивее чем искусственная, имхо Ссылка на комментарий
Dr.Ru Опубликовано 25 марта, 2019 Поделиться Опубликовано 25 марта, 2019 Зачем Вы постоянные конструкции фиксируете на временный цемент вообще? У Вас от этого только проблемы. 3 Ссылка на комментарий
Sagaydak Aleksandr Опубликовано 25 марта, 2019 Автор Поделиться Опубликовано 25 марта, 2019 Зачем Вы постоянные конструкции фиксируете на временный цемент вообще? У Вас от этого только проблемы."... И опыт, сын ошибок трудных..." Стараюсь от подобной практики уходить, не всегда получается. Ссылка на комментарий
Sagaydak Aleksandr Опубликовано 25 марта, 2019 Автор Поделиться Опубликовано 25 марта, 2019 ну это же вам так сделал техник, уверен, что там есть объем десны. Почитайте про овоиды, у вас была идеальная ситуация для сохранения объема и изготовления красивой конструкции. и даже так, как на фото красивее чем искусственная, имхоТам в области 21 было сложное удаление. На фото не видно, но там по объёму мало мягких тканей. А по поводу овоида, пациента не устраивало по времени. Такое решение было с согласия пациента. Ссылка на комментарий
maksimus Опубликовано 8 декабря, 2019 Поделиться Опубликовано 8 декабря, 2019 Всегда фиксирую такие работы при температуре в кабинете 18 градусов и если ношенные, что очень редко, обязательно в прикусе Ссылка на комментарий
Рекомендуемые сообщения
Для публикации сообщений создайте учётную запись или авторизуйтесь
Вы должны быть пользователем, чтобы оставить комментарий
Создать аккаунт
Зарегистрируйте новый аккаунт в нашем сообществе. Это очень просто!
Регистрация нового пользователяВойти
Уже есть аккаунт? Войти в систему.
Войти