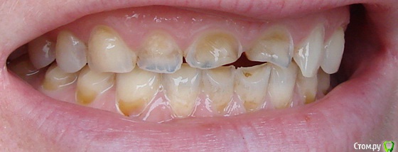
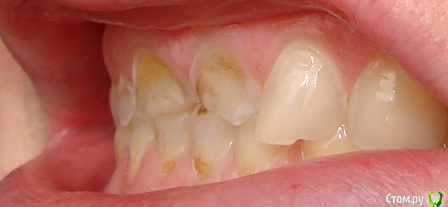
Jitana Опубликовано 5 марта, 2019 Поделиться Опубликовано 5 марта, 2019 (изменено) Заметила у себя в 20 лет, у дочки в 14. Сначала оставались следы от мягкой зубной щетки. Исчезает эмаль, потом зуб. Сейчас у меня осталась 1/3 высоты на всех зубах, у дочки уменьшаются верхние резцы на 3-4 мм. Сначала зуб становится прозрачным, тонким, потом быстро теряет высоту. Просвечивается желтоватый дентин. Хуже всего на верхних резцах, снаружи, со стороны, где зубов касаются только губы. Почему они исчезают там быстрее всего? Почему они вообще исчезают? Зубы ровные, все на месте, прикус наверное плотный. Когда дочке поставили в детской поликлинике металлическую пластину для коррекции прикуса, через месяц она провалилась в местах соприкосновения с зубами и нам пришлось ставить пломбы сразу на 8 зубов, а пластину снимать. От меня самой отказались врачи в трех клиниках (сказали, все слетит, бесполезно), но одна терапевт сделала мне за час светоотверждающие «наклейки» на центральные верхние резцы, которые держатся у меня для эстетики уже 9,5 лет, но с возрастом немного потрескались и пожелтели. Она тоже не знала, что происходит с зубами, но спасибо ей, что помогла! найти ее я больше не могу. Под «наклейками» резцы здоровые, без кариеса, но без эмали, тонкие, 2-3 мм высоты осталось(( Подскажите пожалуйста, как притормозить это? Занимается ли кто-нибудь лечением такой проблемы (Москва)? Мы в отчаянии... Изменено 5 марта, 2019 пользователем Jitana Ссылка на комментарий
red_butler Опубликовано 5 марта, 2019 Поделиться Опубликовано 5 марта, 2019 http://forum.stom.ru/topic/20613-sovety-patcientam-obiazatelno-k-prochteniiu/ Ссылка на комментарий
Kazankov.Egor Опубликовано 5 марта, 2019 Поделиться Опубликовано 5 марта, 2019 Проблема с прикусом, зубы стираются. 1 Ссылка на комментарий
Jitana Опубликовано 5 марта, 2019 Автор Поделиться Опубликовано 5 марта, 2019 (изменено) Спасибо! А почему быстрее всего стираются верхние резцы снаружи, там, где они ничего не касаются? Там ведь нет никакой нагрузки? И как с этим жить, ничего нельзя сделать? Изменено 5 марта, 2019 пользователем Jitana Ссылка на комментарий
DmitrySH Опубликовано 5 марта, 2019 Поделиться Опубликовано 5 марта, 2019 Подскажите пожалуйста, как притормозить это? Нужно планировать полноценную ортопедическую реставрацию всех зубов и с возможно предварительной ортодонтической коррекцией. Ссылка на комментарий
Рекомендуемые сообщения
Для публикации сообщений создайте учётную запись или авторизуйтесь
Вы должны быть пользователем, чтобы оставить комментарий
Создать аккаунт
Зарегистрируйте новый аккаунт в нашем сообществе. Это очень просто!
Регистрация нового пользователяВойти
Уже есть аккаунт? Войти в систему.
Войти