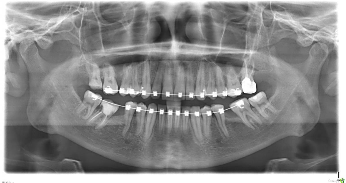
IvS Опубликовано 3 марта, 2019 Поделиться Опубликовано 3 марта, 2019 (изменено) Здравствуйте, уважаемые доктора! В январе 2018 года мне были установлены брекеты для исправления скученности зубов, выравнивания центральной линии и увеличения места для будущей установки имплантов на месте удаленных 10 лет назад шестерок. Прошел год и ортодонт направил на консультацию к имплантологу. Врач изучил КТ и сказал, что поставить импланты можно только после удаления нижних зубов мудрости. Нижняя правая семерка так же будет удаляться, т.к. там трещина корня. После консультации нахожусь в замешательстве, так как к своим 31 годам уже потерял столько жевательных зубов. Действительно ли стоит удалять нижние семерки или есть другие варианты? Так же отсутствует 6 зуб на верхней челюсти, на его место уже почти встал 7, а на место седьмого двигается 8. Требуется ли удаление верхней восьмерки в моем случае? А еще смущает то, что имплантолог сказал, что не требуется подсадка кости на нижней челюсти, хотя зубы были удалены давно и десна визуально истончилась. Планируем устанавливать импланты Ankylos. ОПТГ во вложении, так же сейчас попробую загрузить КТ. Ссылка на КТ https://drive.google.com/open?id=16ia51DRlno_Nztn89iQ_d-6nZ_f6HAcP Буду очень признателен за Ваши ответы! Изменено 3 марта, 2019 пользователем IvS Ссылка на комментарий
___49___ Опубликовано 3 марта, 2019 Поделиться Опубликовано 3 марта, 2019 попробую загрузить КТ ;ждем Ссылка на комментарий
IvS Опубликовано 3 марта, 2019 Автор Поделиться Опубликовано 3 марта, 2019 ;ждем КТ загрузил на Google дискhttps://drive.google.com/open?id=16ia51DRlno_Nztn89iQ_d-6nZ_f6HAcP Ссылка на комментарий
колесников Опубликовано 3 марта, 2019 Поделиться Опубликовано 3 марта, 2019 38 удаление,37 дистализация,36 имплантация. 47 удаление . 48 пожалуй лучше удалить иначе будет сложно протезировать на имплантах. 46,47 имплантация. 1 Ссылка на комментарий
IvS Опубликовано 4 марта, 2019 Автор Поделиться Опубликовано 4 марта, 2019 38 удаление,37 дистализация,36 имплантация. 47 удаление . 48 пожалуй лучше удалить иначе будет сложно протезировать на имплантах. 46,47 имплантация.Спасибо за оперативный ответ! А могли бы ещё сказать своё мнение относительно 7 и 8 зуба на верней челюсти? И что думаете по поводу наращивания кости для имплантации нижних зубов в моем случае? Очень Вам признателен! Ссылка на комментарий
колесников Опубликовано 4 марта, 2019 Поделиться Опубликовано 4 марта, 2019 27ой в перспективе удалится,свои ресурсы он исчерпал. 17,16 окклюзионные вкладки. По поводу пластики на нч. Решать будет ваш лечащий врач после удавления и дистализация 7рок по клкт. Очевидно что в области 6рок узкий гребень,тактика от врача зависит. Я не делаю в подобных случаях костных пластик. 1 Ссылка на комментарий
IvS Опубликовано 4 марта, 2019 Автор Поделиться Опубликовано 4 марта, 2019 27ой в перспективе удалится,свои ресурсы он исчерпал. 17,16 окклюзионные вкладки. По поводу пластики на нч. Решать будет ваш лечащий врач после удавления и дистализация 7рок по клкт. Очевидно что в области 6рок узкий гребень,тактика от врача зависит. Я не делаю в подобных случаях костных пластик.Большое спасибо за консультацию! Здоровья Вам, доктор! Ссылка на комментарий
Рекомендуемые сообщения
Для публикации сообщений создайте учётную запись или авторизуйтесь
Вы должны быть пользователем, чтобы оставить комментарий
Создать аккаунт
Зарегистрируйте новый аккаунт в нашем сообществе. Это очень просто!
Регистрация нового пользователяВойти
Уже есть аккаунт? Войти в систему.
Войти