Olyalya123 Опубликовано 25 февраля, 2019 Поделиться Опубликовано 25 февраля, 2019 Добрый день! Вопрос возник вот из - за чего, обратилась я в клинику за установкой имплантов и коронок к ним, на этапе временных коронок, я понимаю, что пища забивается у десны между зубами, прям крупные куски и чтобы их достать нитью, надо потрудиться, прошу ортопеда что то сделать, ответ получаю следующий, мы не сможем сделать коронки которые Вы хотите, до свидания. Я в тревоге, отсюда и вопрос, а все ли вообще нормально, может мне не о коронках надо думать. Спасибо за ответы. Ссылка на комментарий
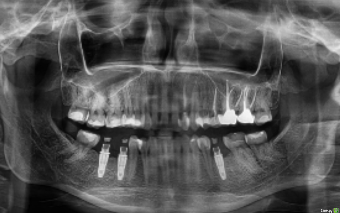
Pavel-Pskov Опубликовано 25 февраля, 2019 Поделиться Опубликовано 25 февраля, 2019 Скорее всего контакты неплотные между времянками и зубами, с имплантами по этому снимку проблем не видно. Ссылка на комментарий
red_butler Опубликовано 25 февраля, 2019 Поделиться Опубликовано 25 февраля, 2019 покажите фото во рту, что бы было видно коронки и десну Ссылка на комментарий
Olyalya123 Опубликовано 26 февраля, 2019 Автор Поделиться Опубликовано 26 февраля, 2019 Скорее всего контакты неплотные между времянками и зубами, с имплантами по этому снимку проблем не видно.Спасибо! Ссылка на комментарий
Olyalya123 Опубликовано 26 февраля, 2019 Автор Поделиться Опубликовано 26 февраля, 2019 покажите фото во рту, что бы было видно коронки и деснуСложновато это сделать, надо подумать) Ссылка на комментарий
Olyalya123 Опубликовано 26 февраля, 2019 Автор Поделиться Опубликовано 26 февраля, 2019 Подскажите, пожалуйста, а сколько вообще можно ходить с временными коронками на импланте и чем они кроме коронковой части отличаются от постоянных. Ортопед говорил можно хоть год ходить, может даже лучше, чтобы понять подходят они или нет. Ссылка на комментарий
Pavel-Pskov Опубликовано 26 февраля, 2019 Поделиться Опубликовано 26 февраля, 2019 Если временные качаственно сделаны, то м.б. и год, только желательно восстановить нирмальнае контакты, т.к когда нибудь не сможете всё хорошо вычистить и могут возникнуть проблемы. Ссылка на комментарий
Olyalya123 Опубликовано 27 февраля, 2019 Автор Поделиться Опубликовано 27 февраля, 2019 Если временные качаственно сделаны, то м.б. и год, только желательно восстановить нирмальнае контакты, т.к когда нибудь не сможете всё хорошо вычистить и могут возникнуть проблемы.Да да, меня сейчас это больше всего беспокоит, на чистку стала тратить очень много времени, нахожусь в поиске ортопеда.Большое спасибо и хорошего дня! Ссылка на комментарий
колесников Опубликовано 3 марта, 2019 Поделиться Опубликовано 3 марта, 2019 (изменено) Есть вопросы к позиционированию имплантов и объёму десны возле их платформ. Необходимо фото во рту с коронками в боковой проекции и без них,но сверху Изменено 3 марта, 2019 пользователем колесников Ссылка на комментарий
Рекомендуемые сообщения
Для публикации сообщений создайте учётную запись или авторизуйтесь
Вы должны быть пользователем, чтобы оставить комментарий
Создать аккаунт
Зарегистрируйте новый аккаунт в нашем сообществе. Это очень просто!
Регистрация нового пользователяВойти
Уже есть аккаунт? Войти в систему.
Войти