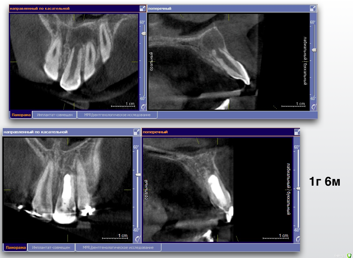
Гарриевич Опубликовано 5 февраля, 2019 Поделиться Опубликовано 5 февраля, 2019 Хочу рассказать одну маленькую историю об одной маленькой девочке, которая произошла не так давно, чтобы ее забыть, но и достаточно давно, чтобы убедиться в её хорошем конце.Утро у нас в клинике всегда начинается с пятиминутки, это время когда мы обсуждаем записанных на день пациентов и планируем лечение... то есть так должно быть, а по правде мы тратим эти 15 минут на обсуждение почему я опоздал, почему снова небритый и где вкуснее готовят кофе)Вообще душевный коллектив это здорово.Так вот на одной из пятиминуток главврач показал мне КТ 11-летней девочки с «кистой» верхнего центрального резца. До нас родители обращались в один большой московский Стоматологический ВУЗ и там и рекомендовали зуб удалить (киста же!), брекеты поставить, а после снятия брекетов и до 21 года ходить со съёмным протезом... у меня все... как вам план?Но есть стоматологи который читают современные книжки и есть пациенты которые читают, в правильных дозах, интернеты, и когда родители пришли к нам и услышали, что зуб не только не надо удалять, но ещё и можно вылечить, то обрадовались и остались лечиться. Всем пациентам довершим мне лечение зубов с «кистами»: спасибо! Прикладываю все усилия, чтобы каждый день это доверие оправдывать. Хорошего дня, Гарриевич. P.S. Разница между снимками 1,5 года 13 Ссылка на комментарий
Дмитрий Л. Опубликовано 5 февраля, 2019 Поделиться Опубликовано 5 февраля, 2019 Спасли девушке жизнь 1 Ссылка на комментарий
___49___ Опубликовано 5 февраля, 2019 Поделиться Опубликовано 5 февраля, 2019 Хочу рассказать Хорошего дня, Гарриевич. P.S. Разница между снимками 1,5 года Спасибо за кейс доктор , всегда приятно смотреть на борьбу со злом которая заканчивается победой "наших".. Расскажите немного о том какой природы была киста(диагноз так понимаю не гистологический) , и какими материалами работали в канале, заранее благодарю . Ссылка на комментарий
Бендер Опубликовано 6 февраля, 2019 Поделиться Опубликовано 6 февраля, 2019 Зачет! До какого расширяли? Ссылка на комментарий
Гарриевич Опубликовано 6 февраля, 2019 Автор Поделиться Опубликовано 6 февраля, 2019 Спасибо за кейс доктор , всегда приятно смотреть на борьбу со злом которая заканчивается победой "наших".. Расскажите немного о том какой природы была киста(диагноз так понимаю не гистологический) , и какими материалами работали в канале, заранее благодарю . спасибо)кистой я это называю исключительно в целях упрощения понимания пациентами. Конечно это банальный апикальный периодонтит с внушительных размеров резорбциейв канале мта и гутта (горячая) с эпоксидкой Ссылка на комментарий
Гарриевич Опубликовано 6 февраля, 2019 Автор Поделиться Опубликовано 6 февраля, 2019 Зачет! До какого расширяли?там до меня уже все само расширено былотолько ирригация с активацией 1 Ссылка на комментарий
Vladimirov Опубликовано 7 февраля, 2019 Поделиться Опубликовано 7 февраля, 2019 только ирригация с активацией поподробнее можно? Как в такой ситуации качественную иригацию произвести? Ссылка на комментарий
Л Ю С Я Опубликовано 8 февраля, 2019 Поделиться Опубликовано 8 февраля, 2019 Гарриевич, очень хорошо. Тоже люблю "кисты " у молодых пациентов и детей. Ведь у них так хорошо все заживает. Ах молодой организм!❤️ Сколько лет сейчас девочке? Ссылка на комментарий
Гарриевич Опубликовано 8 февраля, 2019 Автор Поделиться Опубликовано 8 февраля, 2019 (изменено) Гарриевич, очень хорошо. Тоже люблю "кисты " у молодых пациентов и детей. Ведь у них так хорошо все заживает. Ах молодой организм!❤️ Сколько лет сейчас девочке?Спасибо, ЛЮСЯсейчас узк около 13-14я люблю и не только у молодых, заживает у всех одинаково кмк, возраст не играет такой роли, вот анамнез да Изменено 8 февраля, 2019 пользователем Гарриевич Ссылка на комментарий
Гарриевич Опубликовано 8 февраля, 2019 Автор Поделиться Опубликовано 8 февраля, 2019 поподробнее можно? Как в такой ситуации качественную иригацию произвести? водите иглу по всей длине канала строго придерживаясь РД, активация УЗ Ссылка на комментарий
Л Ю С Я Опубликовано 8 февраля, 2019 Поделиться Опубликовано 8 февраля, 2019 Спасибо, ЛЮСЯсейчас узк около 13-14я люблю и не только у молодых, заживает у всех одинаково кмк, возраст не играет такой роли, вот анамнез даЕще как играет. Вот такая бы жесть у взрослого за 40 заживала бы гораздо медленнее Ссылка на комментарий
Гарриевич Опубликовано 15 сентября, 2019 Автор Поделиться Опубликовано 15 сентября, 2019 Еще как играет. Вот такая бы жесть у взрослого за 40 заживала бы гораздо медленнеевот тут у бабушка 70 лет за 4 месяца результат до через 4 месяца 1 Ссылка на комментарий
dentikl Опубликовано 16 сентября, 2019 Поделиться Опубликовано 16 сентября, 2019 оценить можно только кт.У меня есть тае фото излечения за 3 минуты.(в зависимости от положения датчика) 1 Ссылка на комментарий
Гарриевич Опубликовано 16 сентября, 2019 Автор Поделиться Опубликовано 16 сентября, 2019 оценить можно только кт.У меня есть тае фото излечения за 3 минуты.(в зависимости от положения датчика) Вы серьёзно?) Ссылка на комментарий
dentikl Опубликовано 16 сентября, 2019 Поделиться Опубликовано 16 сентября, 2019 Вы серьёзно?)я именно так с кт познакомился-на рвж все ок а на кт не ок.У ВАс на ре до даже щель не расширена Ссылка на комментарий
Гарриевич Опубликовано 16 сентября, 2019 Автор Поделиться Опубликовано 16 сентября, 2019 а тут? Ссылка на комментарий
Гарриевич Опубликовано 16 сентября, 2019 Автор Поделиться Опубликовано 16 сентября, 2019 я именно так с кт познакомился-на рвж все ок а на кт не ок.У ВАс на ре до даже щель не расширенакрасным помечена отсутствующая на прицельном снимке зона визуализации пространства связки Ссылка на комментарий
Л Ю С Я Опубликовано 29 сентября, 2019 Поделиться Опубликовано 29 сентября, 2019 вот тут у бабушка 70 лет за 4 месяца результат Речь идёт об общих закономерностях иммунитета и репаративных возможностях организма в молодом и пожилом возрасте. Но все индивидуально. Рада за вашу бабушку. Небольшое поражение при правильном лечении и отсутствии экстраканальных причин хорошо заживает в любом возрасте. Ссылка на комментарий
Рекомендуемые сообщения
Для публикации сообщений создайте учётную запись или авторизуйтесь
Вы должны быть пользователем, чтобы оставить комментарий
Создать аккаунт
Зарегистрируйте новый аккаунт в нашем сообществе. Это очень просто!
Регистрация нового пользователяВойти
Уже есть аккаунт? Войти в систему.
Войти