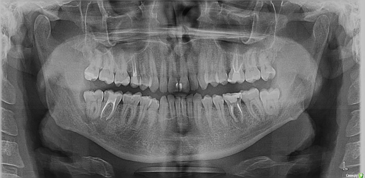
Constantine Опубликовано 28 января, 2019 Поделиться Опубликовано 28 января, 2019 (изменено) Здравствуйте, дамы и господа! В мае мне поставили циркониевую коронку на металлическую культевую вкладку (левая нижняя шестерка).Через месяц примерно образовался свищ под ней. Врач сказал полоскать содой - пройдет. Прошло. Еще через 2 месяца появилось ощущение, что коронка мешает немного. Пришел к врачу - он подпилил ее. Еще пару раз появлялись свищи. Говорил об этом врачу, он отвечал, что может быть перелом, но скорее всего все ок и нужно пополоскать содой. Несколько дней назад зуб под коронкой начал дико болеть. Пошел опять к врачу. Он сказал, что под корнем воспаление. Сделал надрез, почистил и отправил на КТ. Сделал КТ. Он говорит: "Хронический гранулирующий периодонтит. Есть два варианта: лоскутная операция с последующим плазмолифтингом или удаление. Но так как там полный трындец - лучше сразу удалять" Зуб до установки коронки не беспокоил (ничем кроме кариеса).Врач говорит, что проблема была скорее всего до установки коронки и он тут ни при чем.На вопрос, зачем же тогда ставили коронку, отвечает, что не видел ничего на снимках. Вопросов два:Как понять, виноват ли мой нынешний врач, ставивший коронку, или врач, который изначально пломбировал каналы? Что делать? Пробовать спасать зуб? Или уже позняк метаться и только рвать? На панорамном снимке - зуб до коронки, на КТ - то, что сейчас. Благодарю! Изменено 28 января, 2019 пользователем Constantine Ссылка на комментарий
___49___ Опубликовано 28 января, 2019 Поделиться Опубликовано 28 января, 2019 (изменено) Здравствуйте, На первый вопрос не отвечу , не эксперт, давать подобные заключения не могу - форум в принципе ориентирован на помощь в решении клинических вопросов . По поводу 2 го вопроса , скорее всего удаление ( скиньте срезы КТ , а не 3D виртуальную модель 36го зуба) . Изменено 28 января, 2019 пользователем ___49___ Ссылка на комментарий
Constantine Опубликовано 30 января, 2019 Автор Поделиться Опубликовано 30 января, 2019 (изменено) Здравствуйте, На первый вопрос не отвечу , не эксперт, давать подобные заключения не могу - форум в принципе ориентирован на помощь в решении клинических вопросов . По поводу 2 го вопроса , скорее всего удаление ( скиньте срезы КТ , а не 3D виртуальную модель 36го зуба) .Вот это? Изменено 30 января, 2019 пользователем Constantine Ссылка на комментарий
___49___ Опубликовано 30 января, 2019 Поделиться Опубликовано 30 января, 2019 Вот это?да - удаляйте зуб. 3 Ссылка на комментарий
Рекомендуемые сообщения
Для публикации сообщений создайте учётную запись или авторизуйтесь
Вы должны быть пользователем, чтобы оставить комментарий
Создать аккаунт
Зарегистрируйте новый аккаунт в нашем сообществе. Это очень просто!
Регистрация нового пользователяВойти
Уже есть аккаунт? Войти в систему.
Войти