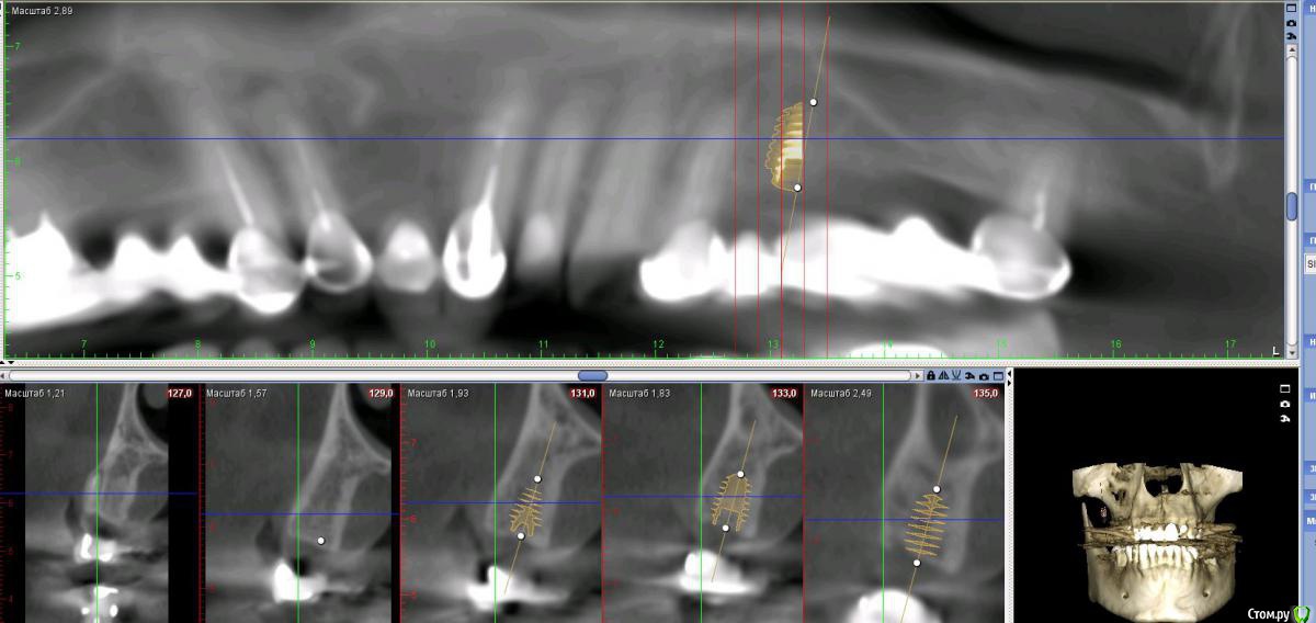
Дмитрий Л. Опубликовано 16 ноября, 2018 Поделиться Опубликовано 16 ноября, 2018 (изменено) Здравствуйте всем)Ситуация такая: старый мост 24-28. 28 симптоматичен, пациент принимает аб и противовосп. Имеется: - 24 перирадикулярные изменения (асимптомно)- 28 перирадикулярные изменения (обострение)- утолщение слизистой гайморовой (асимптомно)- невозможность имплантации в обл 26 (высота кости не позволяет) Пожелания пациента:- удаление 28 - желание сохранить мост - имплантация - нежелание носить съемную конструкцию Как планирую я:- перелечить 24, кальций 2-6 мес.- удалить 28- изготовить съёмник- выждать 4-6 мес. Повторить КТ, оценить гайморовую- имплантация 25, имплантация "где-то в обл 27" - всеми силами избежать синуса Мои грёзы:1. Ставить вблизи 24 - риск. Нужно лечить 24... реэндо... долго... может удалить? 2. Я верю, что причина хр гайморита - 28. Так ли это? Стоит ли ожидать позитивной динамики? 3. На сколько уйдёт кость после удаления 28 за 4-6 мес.? Её и так мало... Станет ли меньше? Графтить 28 не хочу. Там микробы. 4. Объём кости в обл 27-28 требует коротышку. Первыми приходят на ум Штрауман 6 мм (4 мм в кости, станет красиво) или ЭниРидж (бикортакально, скорее всего в пазуху на 1-2 мм). Нюанс в том, что я не работал этими системами... И коротышки не ставил. В общем придётся искать наборы, но это мои проблемы. 5. Итоговая конструкция: мост 25-27. При чём 27 имеет длину 4-6 мм, не слишком ли короткая дистальная опора? Вот спланировал приблизительно так... Надеюсь на отклик. Изменено 16 ноября, 2018 пользователем Дмитрий Л. Ссылка на комментарий
Bier Опубликовано 16 ноября, 2018 Поделиться Опубликовано 16 ноября, 2018 ударьте остеотомом и ставьте 8мм ) 6 Ссылка на комментарий
Irouil Опубликовано 16 ноября, 2018 Поделиться Опубликовано 16 ноября, 2018 (изменено) Без синуса это 2.5-2.8? Мне кажется надо синусить и нормально имплантировать, только с носом разобраться предварительно Апдейт: перечитал тс, 2.5-2.7. я бы, перед тем как стучать, сделал КТ соустья. Изменено 16 ноября, 2018 пользователем Irouil 1 Ссылка на комментарий
Дмитрий Л. Опубликовано 16 ноября, 2018 Автор Поделиться Опубликовано 16 ноября, 2018 (изменено) Bier, вы в целом согласны с планом идти отстрочено?Отметили, на сколько утолщена слизистая? Стучали бы по такой?) Irouil, предлагаете- перелечить 24, кальций 2-6 мес.- удалить 28- изготовить съёмник- выждать 4-6 мес. Повторить КТ, оценить гайморовую ?Или вы бы планировали синус в обл 26 тоже? Спасибо за комментарии. p.s. Это ведь сосуд? Изменено 16 ноября, 2018 пользователем Дмитрий Л. Ссылка на комментарий
Bier Опубликовано 16 ноября, 2018 Поделиться Опубликовано 16 ноября, 2018 25-27 совершенно согласен. Я вангую, что и так туда 8мм войдет. Отрочено да. Я люблю отсрочено верхнюю челюсть делать. 1 Ссылка на комментарий
Irouil Опубликовано 16 ноября, 2018 Поделиться Опубликовано 16 ноября, 2018 Если пускаться во все тяжкие, то 2.4-2.5-2.7 одномоментно с нагрузкой в течении недели (или сразу), так вообще надёжнее всего. Но решения о реэндо зубов я не принимаю, так как я их не лечу и не знаю насколько это сложно для конкретного терапевта. Если отсроченно - удалил бы 2.8, принял совместное решение о 2.4, назначил бы туалет носа через 4 недели после удаления на месяц, по окончанию этого срока повторное кт верхней челюсти и пазух с соустьем, принимать решение по новым исходным данным 2 Ссылка на комментарий
johniola Опубликовано 16 ноября, 2018 Поделиться Опубликовано 16 ноября, 2018 только отсроченно проскочит 2 Ссылка на комментарий
Neilrus Опубликовано 16 ноября, 2018 Поделиться Опубликовано 16 ноября, 2018 У эниридж есть совсем коротыши 5,5х5, для семерки, если не хотите лезть в синус самое то, у него огромная площадь получается за счет особенностей резьбы. Только для него набор специальный с ограничителями должен быть, но дилер может и даст в аренду за имплантат, покупать его не вижу смысла, нужен раз в полгода 1 Ссылка на комментарий
Дмитрий Л. Опубликовано 16 ноября, 2018 Автор Поделиться Опубликовано 16 ноября, 2018 Если пускаться во все тяжкие, то 2.4-2.5-2.7 одномоментно с нагрузкой в течении недели (или сразу), так вообще надёжнее всего. Снять оттиски сразу после ушивания, установить формирователи? Сделать временные пластмассовые на временных абатментах? Почему это надёжней, чем ушить наглухо на полгода? 1 Ссылка на комментарий
Irouil Опубликовано 16 ноября, 2018 Поделиться Опубликовано 16 ноября, 2018 Снять оттиски сразу после ушивания, установить формирователи? Сделать временные пластмассовые на временных абатментах? Почему это надёжней, чем ушить наглухо на полгода? Если на временных прямым методом - это снять оттиски до, по необходимости отдать на моделировку в лабу, после имплантации адаптировать абатменты по длине, отжать пластмассой, вывести из прикуса. Подробнее у ортопедов, мы с моим ортопедом так делаем. Если через лабу - то снять оттиски, формики прикрутить слабенько, потом из лабы получить конструкцию, прикрутить (там уже крутить не страшно), вывести из прикуса. Правильно сделанные коронки сохранят Вам гребень в области 2.4 (если под удаление), освободят от временного съёмника и исключат его давление на альвеолярный гребень там, где Вы боитесь что-то потерять. Если провести мягкотканно всю работу там же, то Вы пакуете всю хирургию в один этап, за что пациент скажет спасибо. 2 Ссылка на комментарий
Irouil Опубликовано 16 ноября, 2018 Поделиться Опубликовано 16 ноября, 2018 Кстати там, судя по всему, в 8-ку тоже лезет одномоментно, но нужно будет широкий имплантат брать, на верхней челюсти я так стараюсь не делать. Если очень хочется именно до 8-ки 1 Ссылка на комментарий
Nazim_NV86 Опубликовано 16 ноября, 2018 Поделиться Опубликовано 16 ноября, 2018 Эти гадания по кофейной гуще... Зачем вам лор? Сделайте два окна небольших. Через верхнее почистите синус. Нижнее - аугментируйте. 30 мин. Как запасной вариант. 1 Ссылка на комментарий
Nazim_NV86 Опубликовано 16 ноября, 2018 Поделиться Опубликовано 16 ноября, 2018 В районе 28 пока перфа зарастёт пройдет немало месяцев. Пока вырастет кортикалка. Толщина кости к этому времени станет вдвое меньше. А до этого закрытым методом поднять мембрану более 1мм будет непросто. Просто мысли.. 1 Ссылка на комментарий
Neilrus Опубликовано 16 ноября, 2018 Поделиться Опубликовано 16 ноября, 2018 зачем лезть в синус если ЕСТЬ возможность не лезть в синус ?)) 2 Ссылка на комментарий
Nazim_NV86 Опубликовано 17 ноября, 2018 Поделиться Опубликовано 17 ноября, 2018 (изменено) зачем лезть в синус если ЕСТЬ возможность не лезть в синус ?)) как запасной вариант иметь за пазухой такой скил не помешает Мы не можем быть уверены на 100% что закрытого будет достаточно и перфы не будет. А открыть и завершить это вопрос 30 мин. Если пациент лоялен. Я иногда салат тоже ложкой ем. Изменено 17 ноября, 2018 пользователем Nazim_NV86 1 Ссылка на комментарий
Irouil Опубликовано 17 ноября, 2018 Поделиться Опубликовано 17 ноября, 2018 Эти гадания по кофейной гуще... Зачем вам лор? Сделайте два окна небольших. Через верхнее почистите синус.Если соустье не дышит дырявить нижний носовой ход? 1 Ссылка на комментарий
АнтонТЛТ Опубликовано 17 ноября, 2018 Поделиться Опубликовано 17 ноября, 2018 Если соустье не дышит дырявить нижний носовой ход?Ни в коем случае!!!Если не дышит соустье, то его расширяют. 6 Ссылка на комментарий
колесников Опубликовано 17 ноября, 2018 Поделиться Опубликовано 17 ноября, 2018 Не пойму о чем речь. 24 удаляется. Прекрасно проходят 24,25,27 без синусов (ну может 1 витком у 27го за дно бы зацепился,но это не точно. Когда у пациента случится обострение в пазухе,он пойдёт к ЛОРу ,а тот скажет -всему виной стоматологи,удаляйте Имплант, даже клкт «до» не помогает разъяснить происходящее,пациент остаётся с сомнением,ведь Доктор так сказал! А стоматолог как известно не врач,его слушаем в пол уха. Не советую в такую пазуху заходить.На 27 широкий формирователь,24,25 с нагрузкой. Возможно сст у 24,смотря как удаление пойдёт, 25 раскрыть роллом. Будет и красиво и быстро и функционально 2 Ссылка на комментарий
Irouil Опубликовано 17 ноября, 2018 Поделиться Опубликовано 17 ноября, 2018 Ни в коем случае!!!Если не дышит соустье, то его расширяют.Эээ, так и я о том же Просто коллега предлагает лезть в пазуху "на полчаса", в то время как нам неизвестно как она "дышит" вообще. Ссылка на комментарий
Nazim_NV86 Опубликовано 18 ноября, 2018 Поделиться Опубликовано 18 ноября, 2018 Если соустье не дышит дырявить нижний носовой ход?Я не носовой ход имел ввиду. Ссылка на комментарий
Nazim_NV86 Опубликовано 18 ноября, 2018 Поделиться Опубликовано 18 ноября, 2018 Эээ, так и я о том жеПросто коллега предлагает лезть в пазуху "на полчаса", в то время как нам неизвестно как она "дышит" вообще.У меня к сожалению нет кейсов на телефоне. Несколько лет назад на нашем форуме был опубликован такой кейс. Старожилы должны лучше меня помнить. Я всё же пороюсь и найду его для себя как память. Речь идёт о двух окнах в синус друг над другом. С тех пор я взял его на вооружение и очень доволен. 30 минут это именно тот интервал, которого достаточно в большинстве случаев. В данный момент "зреет" очередной пациент с похожей ситуацией. Когда придёт время выложу результат. Готовьте помидоры. 1 Ссылка на комментарий
Irouil Опубликовано 18 ноября, 2018 Поделиться Опубликовано 18 ноября, 2018 Готовьте помидоры.Я не подвергаю сомнению Ваш скилл по ревизии пазухи через дополнительную апертуру. Я лишь отмечаю, что лезть в пазуху что на 30, что на 130 минут стоит только если Вы уверены, что пазуха "отдышится". Для этого у нее есть соустье которое 1) иногда бывает нефункционально и его надо расширять (эндоскоп, эндотрахеальный наркоз, нос) 2) не видно на предоставленных срезах Без уверенности в функционировании соустье я бы не стал ни первого, ни второго окна в пазуху дырявить Ссылка на комментарий
Bier Опубликовано 19 ноября, 2018 Поделиться Опубликовано 19 ноября, 2018 У меня к сожалению нет кейсов на телефоне. Несколько лет назад на нашем форуме был опубликован такой кейс. Старожилы должны лучше меня помнить. Я всё же пороюсь и найду его для себя как память. Речь идёт о двух окнах в синус друг над другом. С тех пор я взял его на вооружение и очень доволен. 30 минут это именно тот интервал, которого достаточно в большинстве случаев. В данный момент "зреет" очередной пациент с похожей ситуацией. Когда придёт время выложу результат. Готовьте помидоры.не путайте ретенционные кисты в пазухе с воспалительными явлениями, которые явно присутствуют здесь. 4 Ссылка на комментарий
Nazim_NV86 Опубликовано 19 ноября, 2018 Поделиться Опубликовано 19 ноября, 2018 (изменено) Я вроде нигде не писал что оперирую воспалённые пазухи. Для этого есть знакомый лор. Он и соустье проверит и задренирует если есть необходимость. В лор отделении (если направлю), сделают синусотомию по Колдуэл-Люку. Это год перерыва минимум. Результаты эндоскопические тоже мне не нравятся. Поэтому "пропылесосить" синус через небольшое отверстие оказалось самым удобным решением. В такой ситуации, в худшем случае, графт можно положить через 2-3 месяца. В лучшем - сразу через нижнюю апертуру. Изменено 19 ноября, 2018 пользователем Nazim_NV86 1 1 Ссылка на комментарий
Nazim_NV86 Опубликовано 19 ноября, 2018 Поделиться Опубликовано 19 ноября, 2018 Когда я писал "зачем вам лор", я имел ввиду то что выше в 24 посте. 1 Ссылка на комментарий
Рекомендуемые сообщения
Для публикации сообщений создайте учётную запись или авторизуйтесь
Вы должны быть пользователем, чтобы оставить комментарий
Создать аккаунт
Зарегистрируйте новый аккаунт в нашем сообществе. Это очень просто!
Регистрация нового пользователяВойти
Уже есть аккаунт? Войти в систему.
Войти