nordwinder Опубликовано 25 октября, 2018 Поделиться Опубликовано 25 октября, 2018 (изменено) Добрый день. Мне надо установить коронки на два соседних депульпированных зуба - на 5 и 6 (нижние, с правой стороны). Ортопед предложил сделать сдвоенные коронки, причем на 5 зуб поставить световолоконный штифт, а на 6 - однокорневую вкладку. На мой вопрос об однокорневой вкладке доктор ответил, что корни у меня в хорошем состоянии и ее будет достаточно, к тому же так как коронка объединенная, второй зуб будет ее поддерживать. То же предлагается сделать с 4 и 5 зубами сверху с той же стороны. Вкладку на 4, штифт на 5, объединенную коронку. Хочется услышать мнение других ортопедов по такой конструкции, насколько это разумное решение? Изменено 25 октября, 2018 пользователем nordwinder Ссылка на комментарий
red_butler Опубликовано 25 октября, 2018 Поделиться Опубликовано 25 октября, 2018 http://forum.stom.ru/topic/20613-sovety-patcientam-obiazatelno-k-prochteniiu/ Ссылка на комментарий
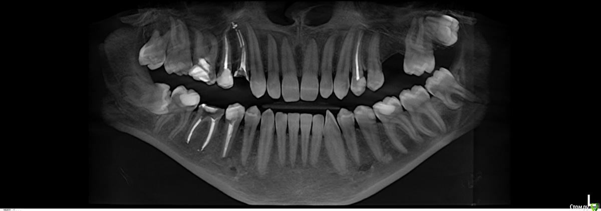
nordwinder Опубликовано 25 октября, 2018 Автор Поделиться Опубликовано 25 октября, 2018 (изменено) Прилагаю снимок. Вопрос о нижних правых 5 и 6. С верхними 4 и 5 ортопед предложил сделать так же - штифт на 5, вкладку на 4, соединенные коронки. Изменено 25 октября, 2018 пользователем nordwinder Ссылка на комментарий
kramer Опубликовано 25 октября, 2018 Поделиться Опубликовано 25 октября, 2018 Лично я никогда сдвоенные коронки на зубах не делаю Ссылка на комментарий
red_butler Опубликовано 25 октября, 2018 Поделиться Опубликовано 25 октября, 2018 Голосую за раздельные коронки. 1 Ссылка на комментарий
nordwinder Опубликовано 25 октября, 2018 Автор Поделиться Опубликовано 25 октября, 2018 В целом, вектор ясен. А что скажете про однокорневую вкладку в многокорневые зубы? Ссылка на комментарий
kramer Опубликовано 25 октября, 2018 Поделиться Опубликовано 25 октября, 2018 А что скажете про однокорневую вкладку в многокорневые зубы? Правильное решение 1 Ссылка на комментарий
Рекомендуемые сообщения
Для публикации сообщений создайте учётную запись или авторизуйтесь
Вы должны быть пользователем, чтобы оставить комментарий
Создать аккаунт
Зарегистрируйте новый аккаунт в нашем сообществе. Это очень просто!
Регистрация нового пользователяВойти
Уже есть аккаунт? Войти в систему.
Войти