Гарриевич Опубликовано 16 сентября, 2018 Поделиться Опубликовано 16 сентября, 2018 11 Ссылка на комментарий
Kolchanov Опубликовано 16 сентября, 2018 Поделиться Опубликовано 16 сентября, 2018 Все в один визит делал? Ссылка на комментарий
Дмитрий Л. Опубликовано 16 сентября, 2018 Поделиться Опубликовано 16 сентября, 2018 Ухх! Ссылка на комментарий
Гарриевич Опубликовано 16 сентября, 2018 Автор Поделиться Опубликовано 16 сентября, 2018 Все в один визит делал?Не, везде кальций Ссылка на комментарий
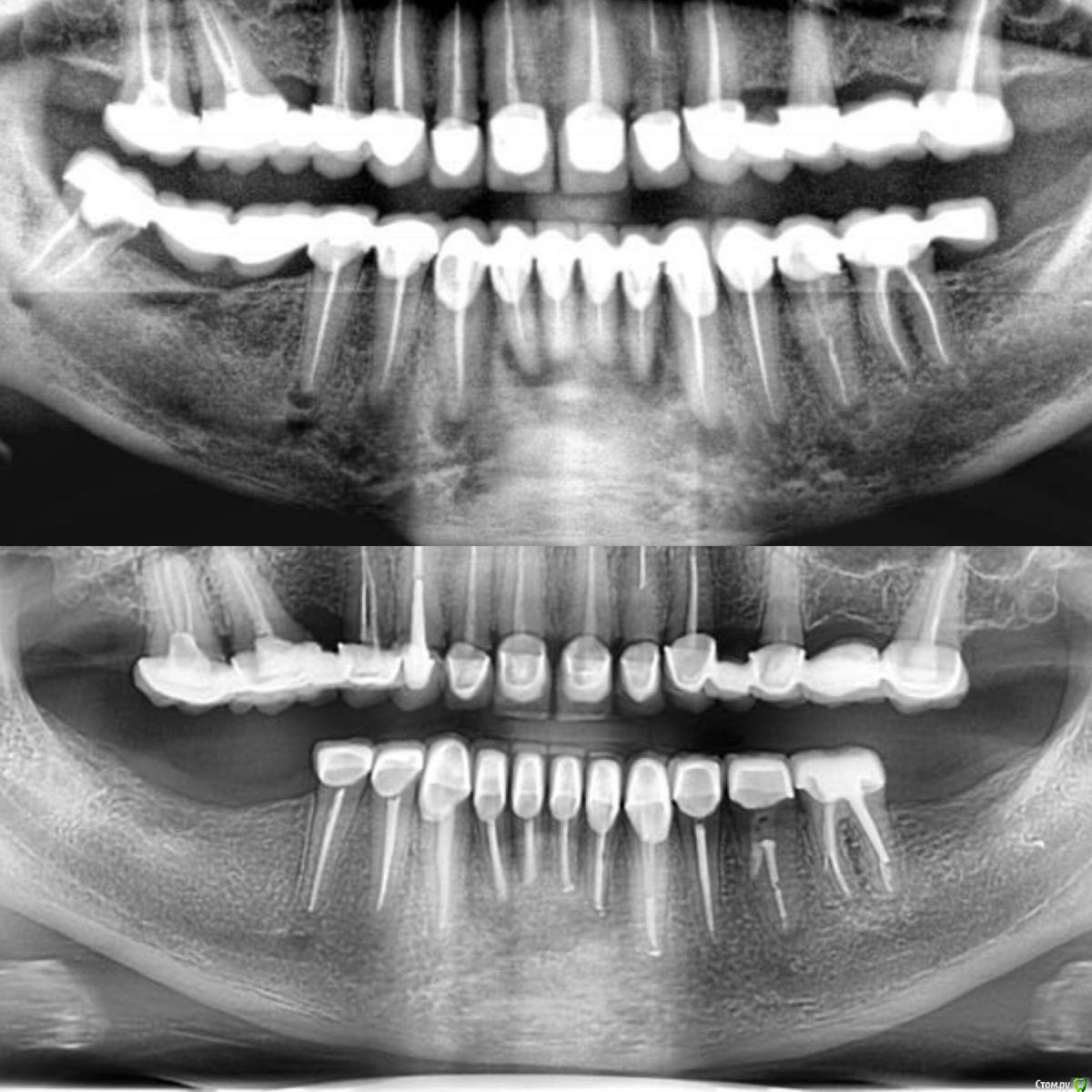
сирена Опубликовано 16 сентября, 2018 Поделиться Опубликовано 16 сентября, 2018 А что там с 35?Как то он не вписывается в общую красивую картину. Ссылка на комментарий
Kolchanov Опубликовано 16 сентября, 2018 Поделиться Опубликовано 16 сентября, 2018 (изменено) Ээээ, Наталья. Старая мудрая поговорка говорит, что: горбун не заметит твоих бородавок, если ты не заметишь его горба. Понятно, что там с 35. Все будет ОК. Изменено 16 сентября, 2018 пользователем Kolchanov Ссылка на комментарий
Гарриевич Опубликовано 17 сентября, 2018 Автор Поделиться Опубликовано 17 сентября, 2018 А что там с 35?Как то он не вписывается в общую красивую картину.В 3,5 я пробовал попытался убрать стекловолокно без скопа, в это 50/50 себе затея. В итоге сделал перфо. Потом отправил к себе же на скоп и убрал его за считанные минуты Ссылка на комментарий
сирена Опубликовано 17 сентября, 2018 Поделиться Опубликовано 17 сентября, 2018 Ээээ, Наталья. Старая мудрая поговорка говорит, что: горбун не заметит твоих бородавок, если ты не заметишь его горба. Вы,часом,не Конфуций? В 3,5 я пробовал попытался убрать стекловолокно без скопа, в это 50/50 себе затея. В итоге сделал перфо. Потом отправил к себе же на скоп и убрал его за считанные минутыДа я не за перфу,с этим ,и правда,всё понятно.Просто на всех зубах полная редукция очага,а на этом ещё нет.А времени сколько прошло?От лечения? Ссылка на комментарий
vse32 Опубликовано 17 сентября, 2018 Поделиться Опубликовано 17 сентября, 2018 Очень красиво! Ссылка на комментарий
Гарриевич Опубликовано 18 сентября, 2018 Автор Поделиться Опубликовано 18 сентября, 2018 Вы,часом,не Конфуций? Да я не за перфу,с этим ,и правда,всё понятно.Просто на всех зубах полная редукция очага,а на этом ещё нет.А времени сколько прошло?От лечения? он закрывался самый последний. Прошло около полугода по моему, может. Кто больше, может сильно больше) Ссылка на комментарий
M@estro Опубликовано 19 сентября, 2018 Поделиться Опубликовано 19 сентября, 2018 Кросафчег. Сколько визитов, и сколько времени всего? Ссылка на комментарий
DmitrySH Опубликовано 19 сентября, 2018 Поделиться Опубликовано 19 сентября, 2018 Юра, действительно все круто! А с верхом что? Не бывает же, что изначально внизу было все плохо, а верх хорошо. Ссылка на комментарий
dentikl Опубликовано 19 сентября, 2018 Поделиться Опубликовано 19 сентября, 2018 В 3,5 я пробовал попытался убрать стекловолокно без скопа, в это 50/50 себе затея. В итоге сделал перфо. Потом отправил к себе же на скоп и убрал его за считанные минутызапротезировали на свш? Ссылка на комментарий
Гарриевич Опубликовано 2 октября, 2018 Автор Поделиться Опубликовано 2 октября, 2018 Кросафчег. Сколько визитов, и сколько времени всего? Паш, даже не вспомню, лечили по 3-4 зуба в два посещениятам еще и пародонтология была и протезированиеа то ли еще будет)) Ссылка на комментарий
Гарриевич Опубликовано 2 октября, 2018 Автор Поделиться Опубликовано 2 октября, 2018 Юра, действительно все круто! А с верхом что? Не бывает же, что изначально внизу было все плохо, а верх хорошо. Спасибо, Дим)с верхом тоже все плохо, пациент пока все собирается с духом и прочими расходами Ссылка на комментарий
Гарриевич Опубликовано 2 октября, 2018 Автор Поделиться Опубликовано 2 октября, 2018 запротезировали на свш? да, есть такая фирма "форма")) Ссылка на комментарий
Рекомендуемые сообщения
Для публикации сообщений создайте учётную запись или авторизуйтесь
Вы должны быть пользователем, чтобы оставить комментарий
Создать аккаунт
Зарегистрируйте новый аккаунт в нашем сообществе. Это очень просто!
Регистрация нового пользователяВойти
Уже есть аккаунт? Войти в систему.
Войти