dr.Dre Опубликовано 9 сентября, 2018 Поделиться Опубликовано 9 сентября, 2018 Коллеги добрый день, планируется фиксация 12 пресс керамических коронок, культи у пациента А3, коронки А1, на какой цвет цемента фиксировать чтоб не просвечивалось? Ссылка на комментарий
Freelancer1981 Опубликовано 9 сентября, 2018 Поделиться Опубликовано 9 сентября, 2018 толщина коронок какая? Ссылка на комментарий
Freelancer1981 Опубликовано 9 сентября, 2018 Поделиться Опубликовано 9 сентября, 2018 Я обычно на блич фиксирую,но если это не тонкий рефрактор 0,3-0.2,то пофик Ссылка на комментарий
Дмитрий Л. Опубликовано 9 сентября, 2018 Поделиться Опубликовано 9 сентября, 2018 Примерьте и посмотрите на цвет) Ссылка на комментарий
Podarev Опубликовано 9 сентября, 2018 Поделиться Опубликовано 9 сентября, 2018 из какой таблетки прессовали? Ссылка на комментарий
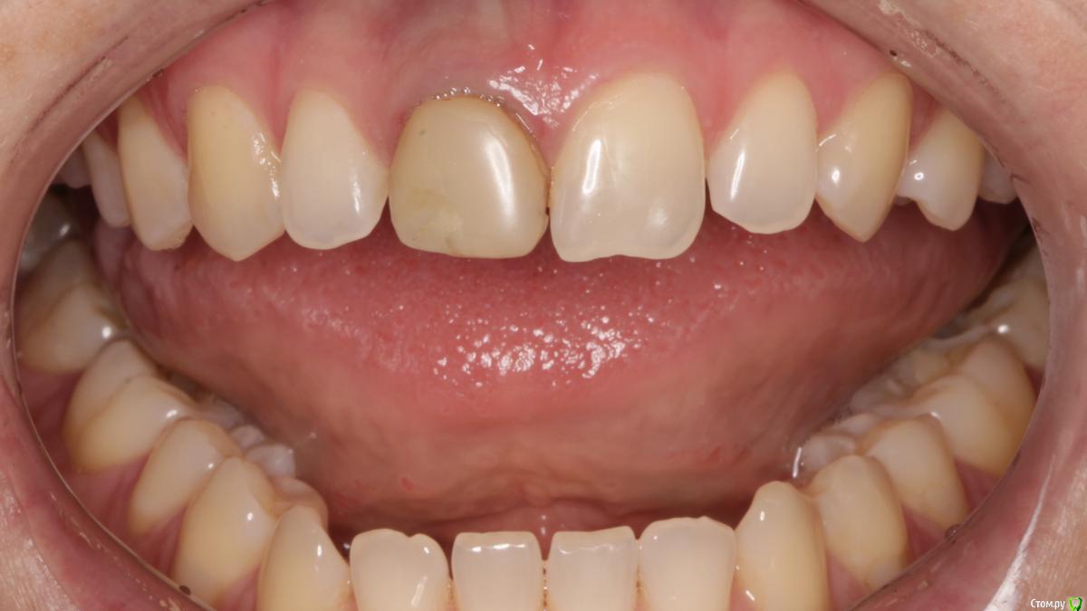
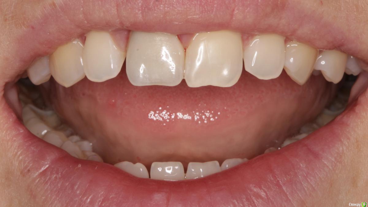
Podarev Опубликовано 9 сентября, 2018 Поделиться Опубликовано 9 сентября, 2018 (изменено) вот два разных цемента и две разные таблетки: в первом случае а1 из ЛТ таблетки. Во втором уже а3 цемент и таблетка МО. Третье фото: исходная ситуация Изменено 9 сентября, 2018 пользователем Podarev 1 Ссылка на комментарий
dr.Dre Опубликовано 10 сентября, 2018 Автор Поделиться Опубликовано 10 сентября, 2018 толщина коронок какая?от 0,6 до 1мм без наслоения керамики Ссылка на комментарий
dr.Dre Опубликовано 10 сентября, 2018 Автор Поделиться Опубликовано 10 сентября, 2018 из какой таблетки прессовали? LT A2 Ссылка на комментарий
bakagaidzin Опубликовано 10 сентября, 2018 Поделиться Опубликовано 10 сентября, 2018 без разницы,цемент роли не играет Ссылка на комментарий
Podarev Опубликовано 10 сентября, 2018 Поделиться Опубликовано 10 сентября, 2018 (изменено) без разницы,цемент роли не играет очень даже играет. Зачем тогда существуют примерочные массы? Изменено 10 сентября, 2018 пользователем Podarev Ссылка на комментарий
bakagaidzin Опубликовано 10 сентября, 2018 Поделиться Опубликовано 10 сентября, 2018 очень даже играет. Зачем тогда существуют примерочные массы? чтобы дороже продать набор.как он может сыграть роль если его толщина считаные микроны?он быть может как-то повлияет на оттенок если фиксировать виниры из заготовок Opal толщиной 0.1мм или очень тонкий рефрактор.а так по большому счету на цвет будущей реставрации влияет цвет культи,толщина реставрации,материал реставрации.цемент тут занимает последнее место,особенно если там толщина керамики 0.3-0.4 и выше 5 Ссылка на комментарий
Паращук Роман Опубликовано 10 сентября, 2018 Поделиться Опубликовано 10 сентября, 2018 А какой цемент? 1 Ссылка на комментарий
chervoncevdaniil Опубликовано 10 сентября, 2018 Поделиться Опубликовано 10 сентября, 2018 очень даже играет. Зачем тогда существуют примерочные массы? Вам выше правильно написали,примерочные пасты и прочее это все для ультратоникх реставраций,если толщина больше 0.5 то цемент ничего не изменит,а если и изменит,значит у вас там громадные зазоры между виниром и зубом и десять раз подумайте,прежде чем такое клеить 6 Ссылка на комментарий
Klyu4n!k Опубликовано 11 сентября, 2018 Поделиться Опубликовано 11 сентября, 2018 вот два разных цемента и две разные таблетки: в первом случае а1 из ЛТ таблетки. Во втором уже а3 цемент и таблетка МО. Третье фото: исходная ситуация Летят два крокодила, один - на север, другой зеленый. Вопрос: Зачем мне холодильник, если я не курю. Даешь фото с одинаковой таблеткой и разными цементами!Я бы редуцировал культю по вестибулярной поверхности и отправил бы технику для третьей попытки. 1 Ссылка на комментарий
Podarev Опубликовано 11 сентября, 2018 Поделиться Опубликовано 11 сентября, 2018 Летят два крокодила, один - на север, другой зеленый. Вопрос: Зачем мне холодильник, если я не курю. Даешь фото с одинаковой таблеткой и разными цементами!Я бы редуцировал культю по вестибулярной поверхности и отправил бы технику для третьей попытки. остановились на втором разе =) а насчет фото : Вы правы, условия разные. Теперь и сам хочу попробовать на разных цементах одну и ту же таблетку. 1 Ссылка на комментарий
Рекомендуемые сообщения
Для публикации сообщений создайте учётную запись или авторизуйтесь
Вы должны быть пользователем, чтобы оставить комментарий
Создать аккаунт
Зарегистрируйте новый аккаунт в нашем сообществе. Это очень просто!
Регистрация нового пользователяВойти
Уже есть аккаунт? Войти в систему.
Войти