Jin Опубликовано 7 сентября, 2018 Поделиться Опубликовано 7 сентября, 2018 Добрый день, уважаемые врачи!Позвольте проконсультироваться в отношении тактики лечения.В стоматологической клинике в феврале удаляли три зуба для последующей имплантации. Фрагмент корня зубы в пазухе спровоцировал гайморит с яркими симптомами.В марте этого года была проведена операция по удалению фрагмента корня зуба в левой гайморовой пазухе. Комбинированная операция совместно с ЛОР и ЧЛХ хирургами в условиях стационара. Расширили соустье в носу. Доступ обеспечен через десну в верхней челюсти носовое отверстие.В конце августа проведен синус-лифтинг с установкой мембраны. Через полторы недели почувствовалось недомогание и боли в глазу. Снимок показал перфорацию мембраны и миграцию материала (биоосс?) в гайморову полость. ЛОР при попытке промыть отверстие через соустье в носу не смог дренировать гнойные массы (загустение?). Назначил капельницы с антибиотиками и антигрибковыми препаратами, чтобы снять воспаление, разбавить гнойные массы и в дальнейшем попытаться промыть пазухи в несколько этапов. На снимке отчетливо видна разгерметизация полости с костным материалом, распределенным по всей полости. Прошло не более недели после синуслифтинга. Насколько благоприятен прогноз при таком лечении и стоит ли на него рассчитывать? Может, решить проблему хирургическим способом? Ведь при промывании костный материал и дальше будет выходить в полость?Либо врач считает, что возможно сохранить материал, полость может загерметизироваться? Или в таком случае все скиснет? Опасаюсь, что повторный синуслифтинг будет еще более неблагоприятным либо невозможным. Врач опытный и авторитетный, склонен доверять ему, так как он старается провести все наименее травматично.Спасибо заранее. Ссылка на комментарий
Irouil Опубликовано 7 сентября, 2018 Поделиться Опубликовано 7 сентября, 2018 (изменено) Склонны доверять врачу, но не доверяете. Это странно. Предоставьте снимки, без них полезных советов не получить Изменено 7 сентября, 2018 пользователем Irouil 2 Ссылка на комментарий
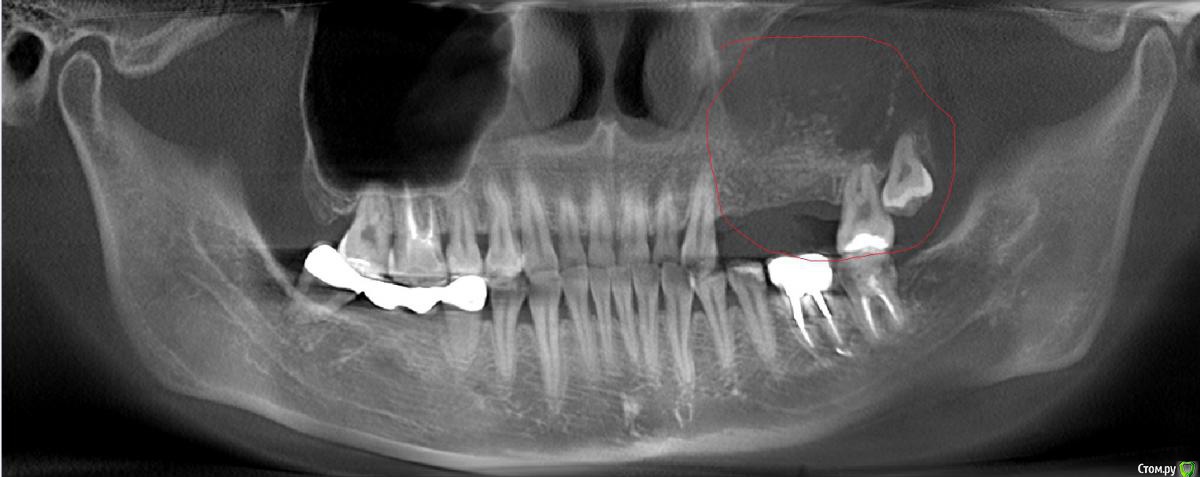
Jin Опубликовано 7 сентября, 2018 Автор Поделиться Опубликовано 7 сентября, 2018 Сарказм принят. Тут вопрос не в доверии. Просто когда ты делаешь операцию в одной и той же области, и это не удаление бородавки, а последствия ощущаешь на себе в виде букета симптомов острого гайморита, хочется для спокойствия заручиться поддержкой нескольких компетентных мнений, прежде чем делать что-то радикальное. Врач имеет право на ошибку, разве нет? Ведь именно для таких целей и придумали консилиумы, этот портал наконец.)))Страшно снова попасть на новые осложнения. Синус не железный.(((Снимок прилагаю. Ссылка на комментарий
kamranchick Опубликовано 7 сентября, 2018 Поделиться Опубликовано 7 сентября, 2018 Сарказм принят. Тут вопрос не в доверии. Просто когда ты делаешь операцию в одной и той же области, и это не удаление бородавки, а последствия ощущаешь на себе в виде букета симптомов острого гайморита, хочется для спокойствия заручиться поддержкой нескольких компетентных мнений, прежде чем делать что-то радикальное. Врач имеет право на ошибку, разве нет? Ведь именно для таких целей и придумали консилиумы, этот портал наконец.)))Страшно снова попасть на новые осложнения. Синус не железный.(((Снимок прилагаю.снимок свежий? Ссылка на комментарий
Jin Опубликовано 7 сентября, 2018 Автор Поделиться Опубликовано 7 сентября, 2018 Да. Совсем. Ссылка на комментарий
kamranchick Опубликовано 7 сентября, 2018 Поделиться Опубликовано 7 сентября, 2018 В пазухе что то явно не очень все хорошо... Ссылка на комментарий
Nazim_NV86 Опубликовано 7 сентября, 2018 Поделиться Опубликовано 7 сентября, 2018 Ревизию синуса можно сделать с сохранением большей части графта. Ссылка на комментарий
Jin Опубликовано 7 сентября, 2018 Автор Поделиться Опубликовано 7 сентября, 2018 Спасибо за совет. Какой доступ через соустье или ротовую полость? Ссылка на комментарий
Irouil Опубликовано 8 сентября, 2018 Поделиться Опубликовано 8 сентября, 2018 Надо пробовать сохранять графт, сначала нужно отдренировать пазуху, доступ через нос. Надо КТ сделать чтобы убедиться на 100%, но создаётся впечатление, что естественное соустье не справляется с оттоком, его надо расширять. В таком случае все можно сделать за одну хирургию под эндоскопическим контролем. 1 Ссылка на комментарий
Jin Опубликовано 11 сентября, 2018 Автор Поделиться Опубликовано 11 сентября, 2018 После 5 лней антибиотикотрапии облегчение наступило, но несильное. Пульсирующая боль в глазу не исчезла, но приступы стали сцщественно реже на 5 день капельницы появилось головокружение. Капали цефтриаксон и метрогил. Также принимали сосудосуживающие капли. Опасаюсь усугубления ситуации. Ссылка на комментарий
Bier Опубликовано 13 сентября, 2018 Поделиться Опубликовано 13 сентября, 2018 а промывали пазуху через нос? Это нужно делать, или ревизию со стороны полости рта. Гайморит там хороший уже Ссылка на комментарий
Jin Опубликовано 13 сентября, 2018 Автор Поделиться Опубликовано 13 сентября, 2018 Лелали эндоскопическое исследоварие через соустье в носу. Вроде воспаление ушло. Сказали 25 сент делать кт пазух. Интересно, мембрана шнайдера при незначительной перфорации может восстановиться? И рассосется ли сам костный материал? Ссылка на комментарий
Bier Опубликовано 13 сентября, 2018 Поделиться Опубликовано 13 сентября, 2018 мембрана восстановится. Если воспаление стихнет, то шансы есть Ссылка на комментарий
Рекомендуемые сообщения
Для публикации сообщений создайте учётную запись или авторизуйтесь
Вы должны быть пользователем, чтобы оставить комментарий
Создать аккаунт
Зарегистрируйте новый аккаунт в нашем сообществе. Это очень просто!
Регистрация нового пользователяВойти
Уже есть аккаунт? Войти в систему.
Войти