Перейти к содержанию
Стоматология для всех

Лечение капой при дисфункции ВНЧС надо проводить до установки брекетов или после?


Lana888

Рекомендуемые сообщения

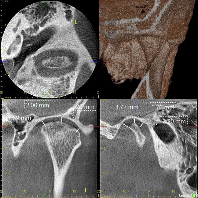
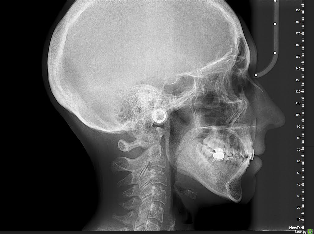
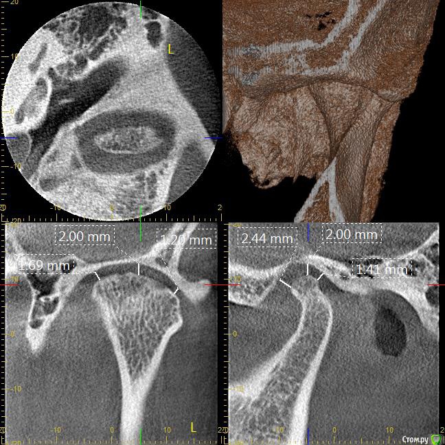
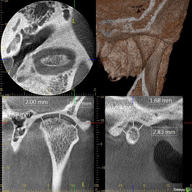
Мне 31 год. В детстве мне выбили верхний зуб 2-ку. Собираюсь лечиться брекетами, а потом вставлять имплант на место двойки. Но у меня есть еще проблеми с ВНЧС (с детства болит, хруст, щелчки), делала недавно КТ ВНЧС, диагноз артрит или артроз. Ходила к многим специалистам, все говорят разное. Надо ли проводить лечения капой моей дисфункции ВНЧС до установки брекетов или после установки брекетов?

post-55808-0-85601100-1535733468_thumb.jpg

post-55808-0-43402600-1535733477_thumb.jpg

post-55808-0-71629000-1535733483_thumb.jpg

post-55808-0-60151500-1535733489_thumb.jpg

post-55808-0-46168400-1535733496_thumb.jpg

post-55808-0-27832600-1535733505_thumb.jpg

post-55808-0-54847800-1535733709_thumb.jpg

post-55808-0-06280200-1535733750_thumb.jpg

post-55808-0-55412500-1535733876_thumb.png

Ссылка на комментарий

Для публикации сообщений создайте учётную запись или авторизуйтесь

Вы должны быть пользователем, чтобы оставить комментарий

Создать аккаунт

Зарегистрируйте новый аккаунт в нашем сообществе. Это очень просто!

Регистрация нового пользователя

Войти

Уже есть аккаунт? Войти в систему.

Войти
×
×
  • Создать...
Вверх