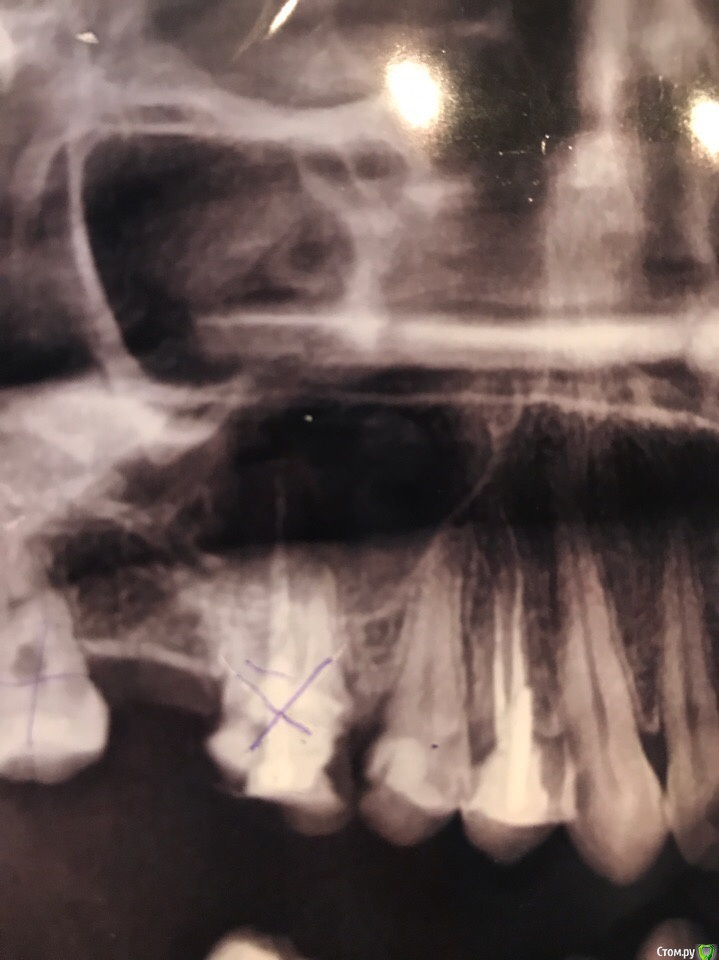
Ульяна 1980 Опубликовано 31 июля, 2018 Поделиться Опубликовано 31 июля, 2018 Добрый день, два месяца назад удалила верхнюю шестерку. Ничего не болело и не болит, ни отека, ни гноя не было. НО лунка не заживает. Спустя месяц обратилась к врачу, лунку почистили, сказали ничего страшного, поверхностное воспаление десны, альвеолит. Опять ничего не болит, но лунка в прежнем состоянии. Пришла через 1,5 недели, смотрели, трогали, нажимали и тыкали, сказали все твердо и все в процессе заживления. Еще через две недели, я обратилась к другому хирургу, сделали снимок. Ему показалось, что там осколок, вскрыли лунку, осколка нет, почистили. Сказали воспаления нет и все внутри хорошо. Прописали мазь солкосерил. Применяла, через неделю у меня лунка все в том же состоянии!!!!!!!! А именно не заживает с одной стороны, по виду как будто там живое мясо. Пришла на осмотр, сказали все ок, а не заживает из за того,что именно там мне чистили и там сгусток. Просьба посмотреть и оценить мой снимок, он сделан вторым хирургом перед чисткой, якобы с осколком. Что не так? Не заживает область десны около пятерки. Также прилагаю снимок до удаления (картинка 3), сделанный год назад. Заранее спасибо. Ссылка на комментарий
kramer Опубликовано 31 июля, 2018 Поделиться Опубликовано 31 июля, 2018 По снимку всё ок. Покажите фото. 1 Ссылка на комментарий
red_butler Опубликовано 31 июля, 2018 Поделиться Опубликовано 31 июля, 2018 По снимку всё ок. Покажите фото.+1 Ссылка на комментарий
Ульяна 1980 Опубликовано 31 июля, 2018 Автор Поделиться Опубликовано 31 июля, 2018 По снимку всё ок. Покажите фото.спасибо! какое фото? области лунки? меня смущает по снимку затемненная область в районе пятерки. И я сейчас понимаю она не связана с удалением, но именно в этом месте не заживает десна. Ссылка на комментарий
kramer Опубликовано 31 июля, 2018 Поделиться Опубликовано 31 июля, 2018 области лунки? Да Ссылка на комментарий
Ульяна 1980 Опубликовано 31 июля, 2018 Автор Поделиться Опубликовано 31 июля, 2018 Да вот нашла, фото сделанное неделю назад) никак не фокусируется ближе. Сейчас попробую свежее сделать, но там так же, краснее край ближе к пятерке. И что за область по снимку? Заранее спасибо за ответы. Ссылка на комментарий
kramer Опубликовано 31 июля, 2018 Поделиться Опубликовано 31 июля, 2018 Да все у вас нормально, дайте спокойно зажить десне после удаления и всех кюретажей. Темная область на снимке - гайморова пазуха. 1 Ссылка на комментарий
Ульяна 1980 Опубликовано 31 июля, 2018 Автор Поделиться Опубликовано 31 июля, 2018 Да вот только что, внешний край десны у пятерки, он так и остается всегда красным, не заживает 1 1 Ссылка на комментарий
Ульяна 1980 Опубликовано 31 июля, 2018 Автор Поделиться Опубликовано 31 июля, 2018 Да все у вас нормально, дайте спокойно зажить десне после удаления и всех кюретажей. Темная область на снимке - гайморова пазуха. Спасибо!) Ссылка на комментарий
Бендер Опубликовано 1 августа, 2018 Поделиться Опубликовано 1 августа, 2018 Не моросите, всё гуд Ссылка на комментарий
Рекомендуемые сообщения
Для публикации сообщений создайте учётную запись или авторизуйтесь
Вы должны быть пользователем, чтобы оставить комментарий
Создать аккаунт
Зарегистрируйте новый аккаунт в нашем сообществе. Это очень просто!
Регистрация нового пользователяВойти
Уже есть аккаунт? Войти в систему.
Войти