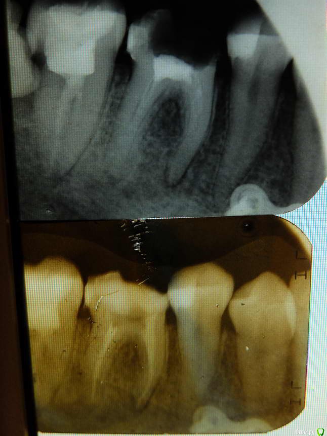
lejeboka Опубликовано 10 мая, 2018 Поделиться Опубликовано 10 мая, 2018 (изменено) Добрый день На днях сходил к стоматологу на контрольных осмотр и проф гигиену. Лечусь у нее с 2010 года, в общем доверяю. Результат расстроил.6-й слева снизу – на удаление.Зуб был депульпирован в 1990-м, в райполиклинике, спустя 2-3 года поставил коронку там-же. Успешно проходил с ней 17 лет, потом решил поменять на металлокерамику. Врач-ортопед ставить коронку отказался, т.к. были изменения на корнях.Переделали каналы. Спустя 6 лет – киста, культевую вкладку удалить нельзя, зуб на удаление. https://cloud.mail.ru/public/JuP9/LF2BUBPsG https://cloud.mail.ru/public/9mas/cnXZ2Ra6JСедьмой справа сверху – необходимо ставить коронку, т.к. пломба выпала, и качественно ее поставить нельзя. Зуб был депульпирован в 2011-2012 году лечащим врачом. Но нужно переделать один из каналов. https://cloud.mail.ru/public/7fhp/wFFS5S6S4 Седьмой снизу (рентгена нет) , справа, поставлена коронка 6 лет назад коронку надо менять, т.к. десна опустилась. Вопрос 1: нормально ли это, что спустя 5-7 лет после депульпирования нужно переделывать каналы, а после ревизии каналов зуб идет на удаление? Каналы были запломбированы хорошо, в чем тогда проблема, в стерильности при работе?Прошу прощения перед доктором, если она вдруг читает этот форум.Еще у нас был пропущеный канал на одном из зубов и киста. В след четверг записался на удаление левой нижней шестерки.Вопрос 2, извините если слишком ламерский. Как я понимаю, при удалении зуба при планах на последующую имплантацию иногда в лунку добавляют какой-то материал для того, что бы кости было больше. Это нужно обсуждать с доктором перед удалением? Доктору нужно будет передать рентгеновский снимок? Вопрос 3: правильно я понимаю, что на корнях 7-ки снизу слева то-же есть проблемы? Изменено 10 мая, 2018 пользователем lejeboka Ссылка на комментарий
DmitrySH Опубликовано 10 мая, 2018 Поделиться Опубликовано 10 мая, 2018 Вопрос 1 На самом деле вопрос намного сложнее и глубже чем кажется на первый взгляд. Есть множество примеров не самой аккуратной работы, но у пациента все благополучно. И наоборот, когда на снимке работа выглядит хорошо, но есть хроническое воспаление. Вопрос 2, В любом случае без снимка никто удалять не станет. Найдите сразу имплантолога для себя и пусть он же и удаляет. Вопрос 3 верно Ссылка на комментарий
St. Опубликовано 10 мая, 2018 Поделиться Опубликовано 10 мая, 2018 нормально ли это, что спустя 5-7 лет после депульпирования нужно переделывать каналы, а после ревизии каналов зуб идет на удаление? Каналы были запломбированы хорошо, в чем тогда проблема, в стерильности при работе? Медицина это не математика, т.е. при максимально правильном выполнении манипуляций результат зависит от многих исходных данных и от реакции организма в целом.Именно поэтому в медицине, и в стоматологии в том числе , практически нет гарантий.. Как я понимаю, при удалении зуба при планах на последующую имплантацию иногда в лунку добавляют какой-то материал для того, что бы кости было больше. Это нужно обсуждать с доктором перед удалением? Доктору нужно будет передать рентгеновский снимок? Снимок обязательно, обсудить все до - тоже. Лучше всего если удалять будет тот у кого планируете имплантироваться Ссылка на комментарий
red_butler Опубликовано 11 мая, 2018 Поделиться Опубликовано 11 мая, 2018 извините если слишком ламерский. Как я понимаю, при удалении зуба при планах на последующую имплантацию иногда в лунку добавляют какой-то материал для того, что бы кости было больше. Это нужно обсуждать с доктором перед удалением? да Доктору нужно будет передать рентгеновский снимок? да Ссылка на комментарий
lejeboka Опубликовано 7 июля, 2018 Автор Поделиться Опубликовано 7 июля, 2018 Добрый день Зуб с кистой удалил, думаю об имплантации.Правильно я понимаю, что нужна КТ?Какой размер снимка, 4х5 см достаточно? Ссылка на комментарий
Vitasem Опубликовано 26 августа, 2018 Поделиться Опубликовано 26 августа, 2018 Говорили же. Найдите сразу имплантолога, а он и будет удалять.... Ссылка на комментарий
lejeboka Опубликовано 29 августа, 2018 Автор Поделиться Опубликовано 29 августа, 2018 Vitsem на момент удаления я не был на 100% что буду ставить имплант, и не только не знал, у кого буду имплантироваться, но не очень представлял как искать имплантолога. 3 недели назад установили имплант, увеличили кость, т.к. при удалении стенку гребня не удалось сохранить.Оказалось более болезнено чем я расчитывал, но сейчас все ОК. Розовенькая десна, выглядит довольно внушительно (в смысле широкая площадка в том месте, где будет коронка). Ссылка на комментарий
Рекомендуемые сообщения
Для публикации сообщений создайте учётную запись или авторизуйтесь
Вы должны быть пользователем, чтобы оставить комментарий
Создать аккаунт
Зарегистрируйте новый аккаунт в нашем сообществе. Это очень просто!
Регистрация нового пользователяВойти
Уже есть аккаунт? Войти в систему.
Войти