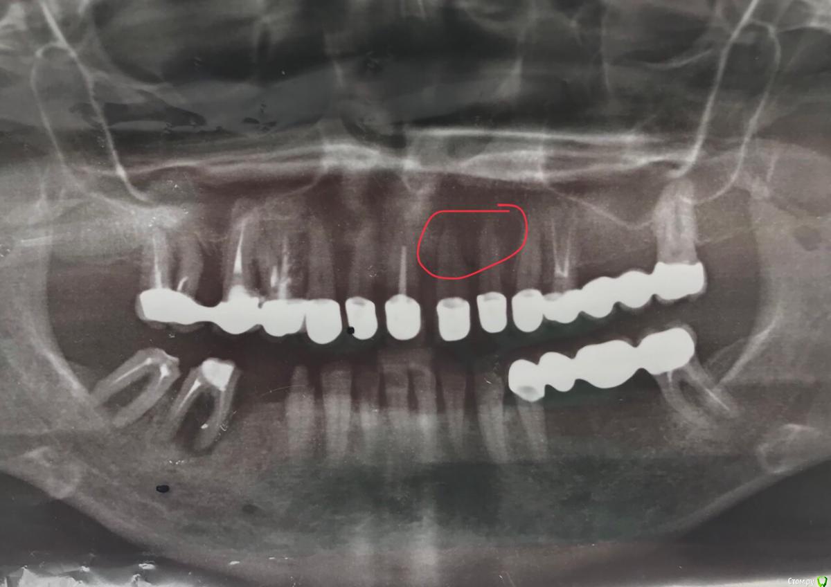
dr.Dre Опубликовано 7 апреля, 2018 Поделиться Опубликовано 7 апреля, 2018 (изменено) Добрый день коллеги , пациентка 45 лет прийшла с проблемой что 21 зуб выступает, есть проблемы с щитовидной железой тут явный парадонтит, скажите пожалуйста есть ли смысл сделать открытый кюретаж в области 21 с подсаткой кости ? 47,48 планируеться удалить поставить имплантанты.Читал что такая резорбция кости может быть повязанная с щитовидной, не является ли противопоказанием к имплантации? Изменено 7 апреля, 2018 пользователем dr.Dre Ссылка на комментарий
Карен Аванесов Опубликовано 7 апреля, 2018 Поделиться Опубликовано 7 апреля, 2018 Камрад, извини за фамильярность, ты неделю назад спрашивал как начать имплантировать и уже сразу берешься за ТАКИЕ сложные случаи))) Могу ошибаться, но судя по орто, основная причина дентальных проблем у этого пациента связана несколько с другими пробелами. Ссылка на комментарий
Irouil Опубликовано 7 апреля, 2018 Поделиться Опубликовано 7 апреля, 2018 Мне кажется на орто во фронте много не увидеть. Лучше прицелок наклепать Ссылка на комментарий
dr.Dre Опубликовано 8 апреля, 2018 Автор Поделиться Опубликовано 8 апреля, 2018 (изменено) Камрад, извини за фамильярность, ты неделю назад спрашивал как начать имплантировать и уже сразу берешься за ТАКИЕ сложные случаи))) Могу ошибаться, но судя по орто, основная причина дентальных проблем у этого пациента связана несколько с другими пробелами.я сам пока не берусь просто хочу научиться.С какими проблемами? Изменено 8 апреля, 2018 пользователем dr.Dre Ссылка на комментарий
Nazim_NV86 Опубликовано 8 апреля, 2018 Поделиться Опубликовано 8 апреля, 2018 Так пробелы или проблемы?Тс.. то что вы обвели на панораме означает что в этом месте панорама темнее. И не несёт диагностической ценности. Делать НКР я на вашем месте не стал бы. Максимальная санация. Ссылка на комментарий
Nazim_NV86 Опубликовано 8 апреля, 2018 Поделиться Опубликовано 8 апреля, 2018 Раз уж вы разберете правый низ, разбирайте и верх. Ссылка на комментарий
Рекомендуемые сообщения
Для публикации сообщений создайте учётную запись или авторизуйтесь
Вы должны быть пользователем, чтобы оставить комментарий
Создать аккаунт
Зарегистрируйте новый аккаунт в нашем сообществе. Это очень просто!
Регистрация нового пользователяВойти
Уже есть аккаунт? Войти в систему.
Войти