Astronaft Опубликовано 6 июля, 2018 Поделиться Опубликовано 6 июля, 2018 (изменено) Я пробовал один раз.Впечатления смешанные.1. просто в исполнении.2. Хорошо, быстро заживает. Есть ощущение что так можно проводить профилактику альвеолита.3 .Десны действительно достаточо.4. Кость - неоднозначно. Надо попробовать 2 рядом стоящих зуба "с шайбой" и "без".5. Шайба удаляется легко. Без анестетика, зондом поддел.6. Поверхность под шайбой - белая соед.тканная пленка. Рентген в день удаления -> фото через неделю -> фото через 2 месяца + КЛКТ ( срезы: перегородка и оба корня) http://miworks.weebly.com/uploads/1/6/8/7/16879370/x07221.jpg http://miworks.weebly.com/uploads/1/6/8/7/16879370/dscn6666_orig.jpg http://miworks.weebly.com/uploads/1/6/8/7/16879370/dscn6948_orig.jpg http://miworks.weebly.com/uploads/1/6/8/7/16879370/dscn6943_orig.jpg http://miworks.weebly.com/uploads/1/6/8/7/16879370/dscn6952_orig.jpg http://miworks.weebly.com/uploads/1/6/8/7/16879370/dscn6953.jpg http://miworks.weebly.com/uploads/1/6/8/7/16879370/dscn6954.jpg http://miworks.weebly.com/uploads/1/6/8/7/16879370/dscn6949_orig.jpg http://miworks.weebly.com/uploads/1/6/8/7/16879370/x07221-1.jpghttp://miworks.weebly.com/uploads/1/6/8/7/16879370/x07221-4.jpg http://miworks.weebly.com/uploads/1/6/8/7/16879370/x07221-2.jpghttp://miworks.weebly.com/uploads/1/6/8/7/16879370/x07221-3.jpg Изменено 6 июля, 2018 пользователем Astronaft 4 Ссылка на комментарий
kamranchick Опубликовано 6 июля, 2018 Поделиться Опубликовано 6 июля, 2018 Я думаю если аккуратно удалить зуб, похожий результат будет(Ну по моим наблюдениям.У Вас Астронафт мне кажется также наверное все бы восстановилось бы, судя по первому прицельному RVG 1 Ссылка на комментарий
Astronaft Опубликовано 7 июля, 2018 Поделиться Опубликовано 7 июля, 2018 Я думаю если аккуратно удалить зуб, похожий результат будетСкорее всего да.В то же время и обратное утверждение вероятно будет верным:если удалять неаккуратно, то шайба не поможет. Остается понять зачем вообще заморачиваться. Ссылка на комментарий
Карен Аванесов Опубликовано 8 июля, 2018 Поделиться Опубликовано 8 июля, 2018 Возраст пацинта и соответственно регенеративные особенности учитываете? Это мой скромный опыт, с некоторыми собственными дополнениями, как закончу покажу кейс полностью. Ссылка на комментарий
Kotyara Опубликовано 8 июля, 2018 Поделиться Опубликовано 8 июля, 2018 ну это все под соусом " голь на выдумку хитра" надо воспринимать. Есть свои нюансы. Причем достаточно много. Удалить и уложить в лунку PRF или сверху накрыть мембраной , чем не тот же результат будет? 1 Ссылка на комментарий
Карен Аванесов Опубликовано 8 июля, 2018 Поделиться Опубликовано 8 июля, 2018 ну это все под соусом " голь на выдумку хитра" надо воспринимать. Есть свои нюансы. Причем достаточно много. Удалить и уложить в лунку PRF или сверху накрыть мембраной , чем не тот же результат будет? Здесь должна быть реклама центрифуги)))Нюансы есть везде и всегда, метод работающий и дай Бог здоровья изобретательной голи. Ссылка на комментарий
Irouil Опубликовано 10 июля, 2018 Поделиться Опубликовано 10 июля, 2018 ну это все под соусом " голь на выдумку хитра" надо воспринимать. Есть свои нюансы. Причем достаточно много. Удалить и уложить в лунку PRF или сверху накрыть мембраной , чем не тот же результат будет?Обсуждали уже, основной вопрос - что провоцирует резорбцию вестибулярной пластинки? Данная методика - попытка избавиться от вторичного натяжения в ране и сократить резорбцию за счёт этого, несколько я ее понимаю. Ни мембраны, ни прфы такой функции не имеют Ссылка на комментарий
Bier Опубликовано 10 июля, 2018 Автор Поделиться Опубликовано 10 июля, 2018 Скорее всего да.В то же время и обратное утверждение вероятно будет верным:если удалять неаккуратно, то шайба не поможет. Остается понять зачем вообще заморачиваться.ну я вот удалил аккуратно, но тонкая корткальная пластинка ушла. Сказали, что лучше было тянуть. Ссылка на комментарий
колесников Опубликовано 11 июля, 2018 Поделиться Опубликовано 11 июля, 2018 (изменено) А мне метод нравится. Бюджетно,атравматично,прогнозируемая и быстрая регенерация . Я правда использую графт для консервации,как обычно,а корень как пробку для герметизма и сохранения десневого контура. Пример -убрал пробку с реставрацией через 3-4 мес,приобрела подвижность,стала причинять дискомфорт. Десневой контур загляденье,так и просится немедленная нагрузка. Изменено 11 июля, 2018 пользователем колесников 7 Ссылка на комментарий
Kazankov.Egor Опубликовано 11 июля, 2018 Поделиться Опубликовано 11 июля, 2018 А мне метод нравится. Бюджетно,атравматично,прогнозируемая и быстрая регенерация . Я правда использую графт для консервации,как обычно,а корень как пробку для герметизма и сохранения десневого контура. Пример -убрал пробку с реставрацией через 3-4 мес,приобрела подвижность,стала причинять дискомфорт. Десневой контур загляденье,так и просится немедленная нагрузка.Какой графт используете? Пробку стабилизировали за счёт адгезивной конструкции? Ссылка на комментарий
колесников Опубликовано 11 июля, 2018 Поделиться Опубликовано 11 июля, 2018 Sureoss. Да 1 Ссылка на комментарий
Irouil Опубликовано 11 июля, 2018 Поделиться Опубликовано 11 июля, 2018 Красиво, а что было до? Ссылка на комментарий
колесников Опубликовано 11 июля, 2018 Поделиться Опубликовано 11 июля, 2018 Радикс в обострении Ссылка на комментарий
Irouil Опубликовано 11 июля, 2018 Поделиться Опубликовано 11 июля, 2018 Радикс в обостренииЯ о вестибулярке. На прицелке ее же не видно Ссылка на комментарий
колесников Опубликовано 11 июля, 2018 Поделиться Опубликовано 11 июля, 2018 Не помню, меня больше волновали периапикальные изменения и не возможность одномоментной имплантации Ссылка на комментарий
kamranchick Опубликовано 12 июля, 2018 Поделиться Опубликовано 12 июля, 2018 вроде иногда срабатывает) 5 Ссылка на комментарий
Snow Doc Опубликовано 12 июля, 2018 Поделиться Опубликовано 12 июля, 2018 вроде иногда срабатывает)Что-то подсказывает, что при данных параметрах лунки, связка "кусок мембраны сверху+парочка направляющих швов" сработала бы не хуже. Хотя в этом кейсе, может десны побольше осталось. Ссылка на комментарий
kamranchick Опубликовано 13 июля, 2018 Поделиться Опубликовано 13 июля, 2018 Что-то подсказывает, что при данных параметрах лунки, связка "кусок мембраны сверху+парочка направляющих швов" сработала бы не хуже. Хотя в этом кейсе, может десны побольше осталось. Плюсы+при последующей имплантации не надо делать разрезы, убирается корень и ставится имплантатдесны остается гораздо больше.восстановление лунки идет быстрее, и не болезненно для пациента.этот же корень можно использовать как формирователь опять же. Ссылка на комментарий
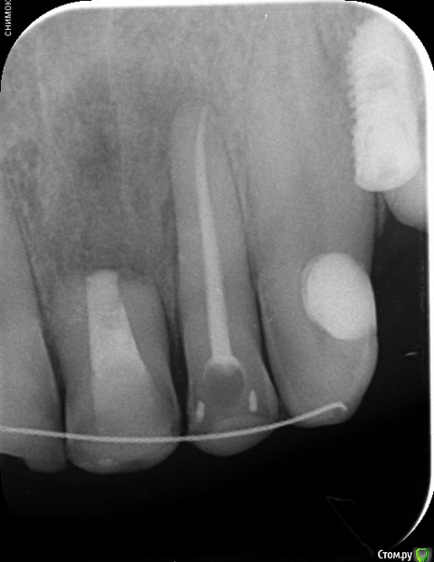
annda Опубликовано 7 августа, 2018 Поделиться Опубликовано 7 августа, 2018 (изменено) Тоже попробовала.Застарелый перелом корня.Два свища на момент приема.Удаление всего,спилила на коронковом фрагменте до связки,канал закрыла IRMом,в дефект порошок Лилпласт на АPRF ,обратно фрагмент притопила,фиксация на ретейнер.Снимок через две недели.Теперь думаю,не длинноват ли фрагмент.Хотя,может и проекция снимка вводит в заблуждение.КТ срезы сняла с экрана,пардон за качество. Изменено 7 августа, 2018 пользователем annda 3 Ссылка на комментарий
Bier Опубликовано 7 августа, 2018 Автор Поделиться Опубликовано 7 августа, 2018 ну вроде как длинный фрагмент даже лучше. Советую через 2-3 мес вытянуть его ортодонтически и только потом удалить. Ссылка на комментарий
annda Опубликовано 8 августа, 2018 Поделиться Опубликовано 8 августа, 2018 (изменено) Ортодонтически—может просто ретейнер переклеить?Он не обожжен... Изменено 8 августа, 2018 пользователем annda Ссылка на комментарий
Smileee Опубликовано 8 августа, 2018 Поделиться Опубликовано 8 августа, 2018 вроде иногда срабатывает)Сколько времени прошло на последнем снимке и как фиксировали корень после удаления? Ссылка на комментарий
Дмитрий Л. Опубликовано 9 августа, 2018 Поделиться Опубликовано 9 августа, 2018 Как-то всё смешалось. Сравниваете разные методики. Ноймайер разве имел в виду графт? По его методике просто часть корня закрывает лунку. И кость регенерирует, так как остается пустота (сгусток) под реплантированным фрагментом. Я не прав? Графт это совсем другое. Считаю, что представленные кейсы с графтом были удачными не благодаря реплантированному фрагменту, а вопреки, так как он не обеспечит такого герметизма, как мобилизованный пришитый лоскут, тем более над прф- или коллагеновой мембраной. Сам подобного опыта не имею. Ссылка на комментарий
Irouil Опубликовано 10 августа, 2018 Поделиться Опубликовано 10 августа, 2018 Почему не обеспечит герметизма? Идея как раз в заживлении по связке, которая обеспечивает герметизм. Какая разница, график/не графт? Задача графта, в моем понимании, это стабилизировать сгусток. Фишка дискутируемого метода - работа с корнем, как с инструментом консервации лунки. Можно "мобилизовать лоскут " и без графта, результат будет схожим. 2 Ссылка на комментарий
колесников Опубликовано 10 августа, 2018 Поделиться Опубликовано 10 августа, 2018 (изменено) Ещё один случай. Время ожидания 3-4мес. Одну ногу как говорится побрил,а другую оставил обрастать. Пробка только на 36ом. В лунках графт. У 37 более выражен лизис стенок альвеолы, и это всего за 3 мес. У 36ого, как водится, анатомический контур десны Изменено 10 августа, 2018 пользователем колесников 5 Ссылка на комментарий
Рекомендуемые сообщения
Для публикации сообщений создайте учётную запись или авторизуйтесь
Вы должны быть пользователем, чтобы оставить комментарий
Создать аккаунт
Зарегистрируйте новый аккаунт в нашем сообществе. Это очень просто!
Регистрация нового пользователяВойти
Уже есть аккаунт? Войти в систему.
Войти