Reyb Опубликовано 14 марта, 2018 Поделиться Опубликовано 14 марта, 2018 Здравствуйте уважаемые доктора.У меня такая проблема,в декабре 2016 года мне делали открытый синус лифтинг справа.Через день-два после операции у меня начались боли,что я воспринял как норму.Дней через 9 врач снял швы,осмотрел и сказал,что всё в норме и боли должны скоро пройти.Через месяц,когда стало можно сморкаться,сразу заметил что справа высмаркивается слизь с кровью,да и к тому же боль не проходила.Пошёл к своему врачу.Он осмотрел и сказал,что всё в приделах нормы (по панорамному снимку).Спустя 1,5 месяца,при сморкании стал замечать ещё и гной с кровью.Спустя ещё где-то 2-3 недели периодически стало закладывать нос.Когда подошло время ставить импланты врач посмотрев КТ сказал,что нельзя,так-как гайморит справа и направил к лору.Пролечившись у лора,стал сомневаться в продолжении имплантации.Спустя 15 месяцев ноющая боль на стороне операции осталась и при сморкании иногда что-нибудь да вылетит из правой ноздри (сгустки крови или почти сухая корка в слизи).На сегодняшний день как и с первых дней после синус лифтинга самочувствие как-будто приболел,писк в ушах(появлялся всегда когда чем-нибудь болею).На КТ просматривается неоднородность и затемнения в материале.Что это,отторжение,инфицирование или норма?К своему стоматологу претензий не имею так-как сделано было на мой взгляд на высоком уровне.Что посоветуете делать в моём случае? КЛКТ от 1.03.2018г.http://my-files.ru/qki4xs Ссылка на комментарий
АнтонТЛТ Опубликовано 14 марта, 2018 Поделиться Опубликовано 14 марта, 2018 Выложите срезы кт. Сейчас большинство сидит с телефонов и возможности скачать кт нет. 3 Ссылка на комментарий
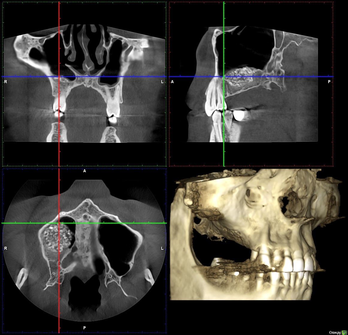
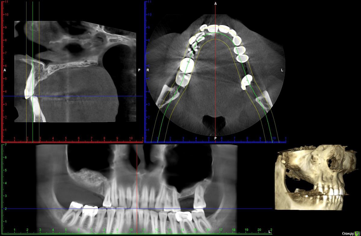
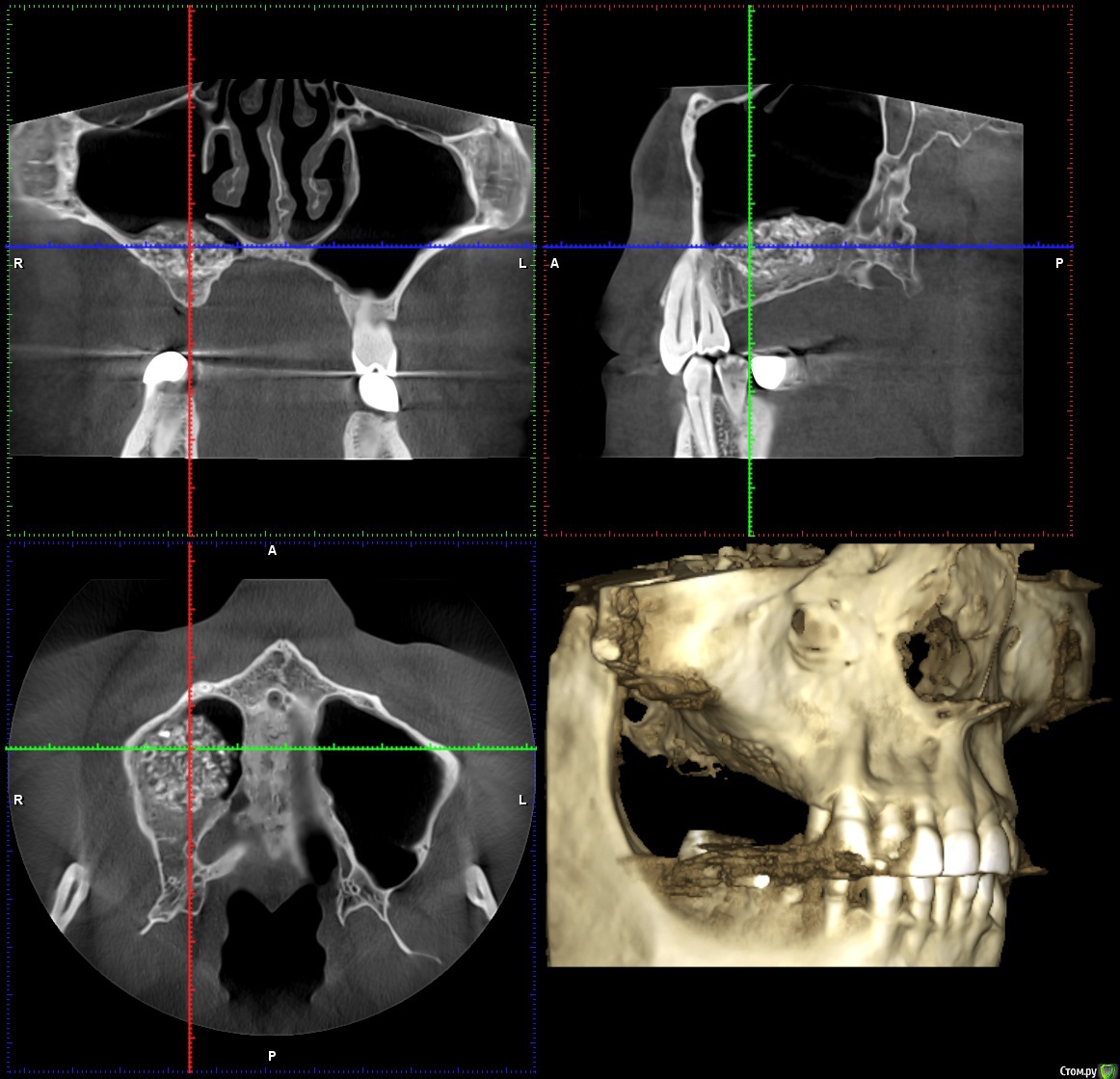
wladdX Опубликовано 15 марта, 2018 Поделиться Опубликовано 15 марта, 2018 Несколько скринов Ссылка на комментарий
Bier Опубликовано 15 марта, 2018 Поделиться Опубликовано 15 марта, 2018 надо ревизию делать, на 100% сказать нельзя, но возможно действительно материал "скис" и надо все вычистить. Я бы интраоперационно принимал решение. 1 Ссылка на комментарий
red_butler Опубликовано 15 марта, 2018 Поделиться Опубликовано 15 марта, 2018 Вам раньше проводили гайморотомию? Ссылка на комментарий
Irouil Опубликовано 15 марта, 2018 Поделиться Опубликовано 15 марта, 2018 Когда КТ делали? У Вас открыт нижний носовой ход в пазуху, уже это одно может вызывать выделения из ноздри, на которые Вы жалуетесь. Да и болевые ощущения, в принципе. Кажется графт не звонил, слизистая спокойная вокруг него, но может быть и не пророс новой костью. Надо готовиться под имплантацию, я считаю, если при сверлении обнаруживается несостоятельность графта - удаление его из пазухи и реоперация через месяц Ссылка на комментарий
Reyb Опубликовано 15 марта, 2018 Автор Поделиться Опубликовано 15 марта, 2018 Вам раньше проводили гайморотомию?Да,проводили в мае 2016 года за пол года до синуслифтинга.Удаляли кисту.Гайморотомию делали (по совету лора) по причине болей в том-же месте.Как потом выяснилось боль была не из-за кисты,а из-за 6-ки там же справа.6-ку удалили в сентябре 2016 г. и боль прошла через пару недель.Через 2 месяца сделали синуслифтинг, ну и всё по новой. Ссылка на комментарий
Reyb Опубликовано 15 марта, 2018 Автор Поделиться Опубликовано 15 марта, 2018 Когда КТ делали? У Вас открыт нижний носовой ход в пазуху, уже это одно может вызывать выделения из ноздри, на которые Вы жалуетесь. Да и болевые ощущения, в принципе. Кажется графт не звонил, слизистая спокойная вокруг него, но может быть и не пророс новой костью. Надо готовиться под имплантацию, я считаю, если при сверлении обнаруживается несостоятельность графта - удаление его из пазухи и реоперация через месяц Когда КТ делали? У Вас открыт нижний носовой ход в пазуху, уже это одно может вызывать выделения из ноздри, на которые Вы жалуетесь. Да и болевые ощущения, в принципе. Кажется графт не звонил, слизистая спокойная вокруг него, но может быть и не пророс новой костью. Надо готовиться под имплантацию, я считаю, если при сверлении обнаруживается несостоятельность графта - удаление его из пазухи и реоперация через месяцКТ делал 1 марта 2018г. До синуслифтинга выделений не было.Такого чтоб самопроизвольно из носа текло,нет.Только при сморкании бывает,что вылетит не большой сгусток крови. Ссылка на комментарий
Irouil Опубликовано 15 марта, 2018 Поделиться Опубликовано 15 марта, 2018 Да, написав про выделения я в первую очередь имел ввиду кровянистые - те самые корочки. Те выделения, что имели место быть после самого синус лифта наверняка от него, только это ещё не приговор графту. Вам в любом случае предстоит вмешательство: либо удалять графт, либо крутить в него импланты. Лучше всего решение принимать прямо по факту. Ссылка на комментарий
Reyb Опубликовано 15 марта, 2018 Автор Поделиться Опубликовано 15 марта, 2018 надо ревизию делать, на 100% сказать нельзя, но возможно действительно материал "скис" и надо все вычистить. Я бы интраоперационно принимал решение.интраоперационно это в процессе сверления и установки имплантов?Вы советуете продолжить имплантацию? Ссылка на комментарий
Reyb Опубликовано 15 марта, 2018 Автор Поделиться Опубликовано 15 марта, 2018 Да, написав про выделения я в первую очередь имел ввиду кровянистые - те самые корочки. Те выделения, что имели место быть после самого синус лифта наверняка от него, только это ещё не приговор графту. Вам в любом случае предстоит вмешательство: либо удалять графт, либо крутить в него импланты. Лучше всего решение принимать прямо по факту.ОК. Спасибо.Более чем убедительно. Ссылка на комментарий
Рекомендуемые сообщения
Для публикации сообщений создайте учётную запись или авторизуйтесь
Вы должны быть пользователем, чтобы оставить комментарий
Создать аккаунт
Зарегистрируйте новый аккаунт в нашем сообществе. Это очень просто!
Регистрация нового пользователяВойти
Уже есть аккаунт? Войти в систему.
Войти