Перейти к содержанию
Стоматология для всех

Рекомендуемые сообщения

Короче, у меня, будем считать, юбилей. Не тот, что от рождения (его тоже есть немного, но это не праздную), а тот, что первую тему с кейсом (и единственную) запостил в марте год назад.

 

Спасибо форуму, много мотивации, очень много динамики в клиническом мышлении.

 

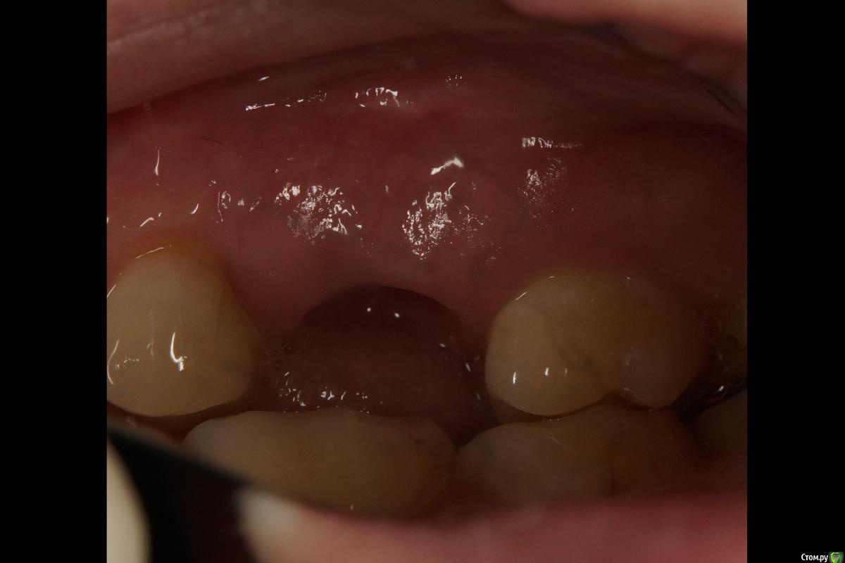
Мой первый туннель выглядел так. Начиналось все обыденной имплантацией мис С1, не хотел совмещать с мягкотканной т к мисы стабильно выпадали в то время. Меньше рисков.

 

Через четыре месяца проверил торк и пошел шить. Забор отсюда же, сейчас взял бы с бугра, но не жалею - паралельно замастерил рецессию.

 

Ещё через две недели (на снятии швов) просто облепили напару с ортопедом формик жидким и "индивидуализировали" его.

 

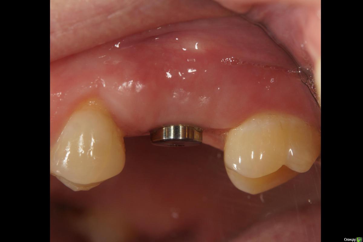
Месяц с копейками прошел, ждём протезирования. Пациентка затягивает уже три месяца на данный момент, финансы. В этом смысле особо приятно, что аугментация и индивидуализация обошлись в 0 руб. 0 коп.

 

Понимаю, что ничего особенного нет в данном кейсе, но как праздничный пойдет))

 

Заранее спасибо за критику

post-39476-0-64160400-1520945356_thumb.jpg

post-39476-0-61707400-1520945377_thumb.jpg

post-39476-0-61942300-1520945396_thumb.jpg

post-39476-0-46197300-1520945412_thumb.jpg

post-39476-0-85852000-1520945431_thumb.jpg

post-39476-0-66251200-1520945446_thumb.jpg

post-39476-0-59156800-1520945468_thumb.jpg

post-39476-0-21873500-1520945489_thumb.jpg

  • Поддерживаю 7
Ссылка на комментарий

Для публикации сообщений создайте учётную запись или авторизуйтесь

Вы должны быть пользователем, чтобы оставить комментарий

Создать аккаунт

Зарегистрируйте новый аккаунт в нашем сообществе. Это очень просто!

Регистрация нового пользователя

Войти

Уже есть аккаунт? Войти в систему.

Войти
×
×
  • Создать...
Вверх