Freelancer1981 Опубликовано 28 февраля, 2018 Поделиться Опубликовано 28 февраля, 2018 Были нюансы и сложности,но вот как то так. 3 Ссылка на комментарий
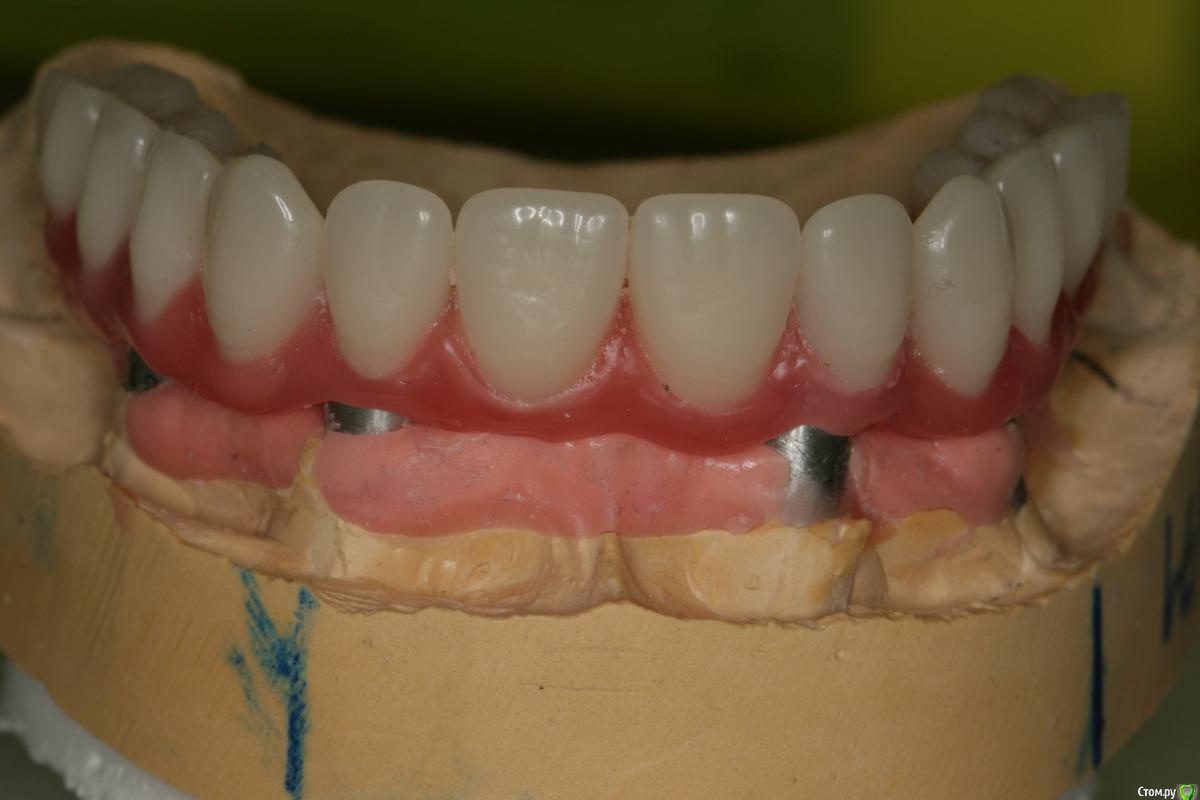
Freelancer1981 Опубликовано 28 февраля, 2018 Автор Поделиться Опубликовано 28 февраля, 2018 Вопрос,почему не заглублял мульты-позволяет невысокая линия улыбки и то что,десна неравномерная по высоте,если заглубишь небно,вестибулярно юбка мультта все равно будет наружу(из за угловых мультов тоже).Проблема была в том,что на гтовой работе мешала пластмасса как раз в области юбки мультов.не двала садиться до конца,я так понимаю технически в этом месте не должно быть нависающих краев пластмассы,которые будут мешать посадке.Работа металлоакрил с винтовой. Ссылка на комментарий
Evikrol Опубликовано 28 февраля, 2018 Поделиться Опубликовано 28 февраля, 2018 орто Ссылка на комментарий
Freelancer1981 Опубликовано 28 февраля, 2018 Автор Поделиться Опубликовано 28 февраля, 2018 ортопоясните Ссылка на комментарий
StomTYV Опубликовано 11 марта, 2018 Поделиться Опубликовано 11 марта, 2018 Перебазировку временного протеза вы сами делали или техник в лаборатории? Ссылка на комментарий
Freelancer1981 Опубликовано 11 марта, 2018 Автор Поделиться Опубликовано 11 марта, 2018 Перебазировку временного протеза вы сами делали или техник в лаборатории?какая перебазировка?я ничего не делал,просто подпилил пластмассу вокруг ответной части Ссылка на комментарий
Evikrol Опубликовано 12 марта, 2018 Поделиться Опубликовано 12 марта, 2018 Дайте рентген посмотреть Ссылка на комментарий
StomTYV Опубликовано 15 марта, 2018 Поделиться Опубликовано 15 марта, 2018 какая перебазировка?я ничего не делал,просто подпилил пластмассу вокруг ответной частиПосле постановки имплантов пациент ушёл с временным протезом? Если да, перебазировка протеза как делалась? Ссылка на комментарий
Freelancer1981 Опубликовано 15 марта, 2018 Автор Поделиться Опубликовано 15 марта, 2018 После имплантов пациентка ушла без всего,сьемный полный она не хотела носить и ей эти неудобства на 3 месяца были пофик) Ссылка на комментарий
vadyasti Опубликовано 19 марта, 2018 Поделиться Опубликовано 19 марта, 2018 После имплантов пациентка ушла без всего,сьемный полный она не хотела носить и ей эти неудобства на 3 месяца были пофик)а что сразу не нагрузили? Ссылка на комментарий
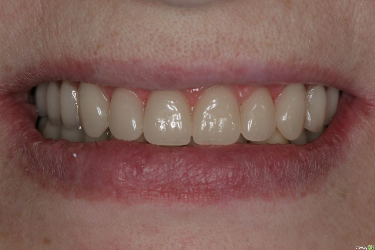
DoctorT Опубликовано 19 марта, 2018 Поделиться Опубликовано 19 марта, 2018 Центральная линия где то не там)))) Возможно - это просто такой ракурс. Ссылка на комментарий
Freelancer1981 Опубликовано 19 марта, 2018 Автор Поделиться Опубликовано 19 марта, 2018 а что сразу не нагрузили?хирург сказал что рано Ссылка на комментарий
Ferdaus Опубликовано 21 марта, 2018 Поделиться Опубликовано 21 марта, 2018 хирург сказал что ранопричина? всегда думал, что концепция разработана специально для того, чтобы человек ушел не позднее чем через неделю уже с зубами, пусть это и временная конструкция. нужели это чисто маркентиговый ход? Ссылка на комментарий
red_butler Опубликовано 22 марта, 2018 Поделиться Опубликовано 22 марта, 2018 причина? скорее всего не достигнуты необходимые значения торка Ссылка на комментарий
Freelancer1981 Опубликовано 22 марта, 2018 Автор Поделиться Опубликовано 22 марта, 2018 скорее всего не достигнуты необходимые значения торка точно Ссылка на комментарий
Рекомендуемые сообщения
Для публикации сообщений создайте учётную запись или авторизуйтесь
Вы должны быть пользователем, чтобы оставить комментарий
Создать аккаунт
Зарегистрируйте новый аккаунт в нашем сообществе. Это очень просто!
Регистрация нового пользователяВойти
Уже есть аккаунт? Войти в систему.
Войти