flyfli Опубликовано 27 февраля, 2018 Поделиться Опубликовано 27 февраля, 2018 Здравствуйте,подскажите пожалуйста, у меня после имплантации прошло 3,5 месяца, можно ли мне уже ставить коронку, и какую вы бы посоветовали как самую лучшую на такой зуб? Спасибо!! Ссылка на комментарий
Борис80 Опубликовано 3 марта, 2018 Поделиться Опубликовано 3 марта, 2018 а что говорит доктор, установивший имплантат? 1 Ссылка на комментарий
red_butler Опубликовано 4 марта, 2018 Поделиться Опубликовано 4 марта, 2018 можно ли мне уже ставить коронку а что говорит доктор, установивший имплантат? +1, обговорите это со своим врачом Ссылка на комментарий
flyfli Опубликовано 5 марта, 2018 Автор Поделиться Опубликовано 5 марта, 2018 говорит, что можно , но мне кажется ,что еще не до конца все приросло и периодами выходит стружка белая ранка затягивается потом опять, поэтому интересуюсь еще мнениями, не могу в этом вопросе довериться врачу. Ссылка на комментарий
red_butler Опубликовано 6 марта, 2018 Поделиться Опубликовано 6 марта, 2018 не могу в этом вопросе довериться врачу. это очень плохо Ссылка на комментарий
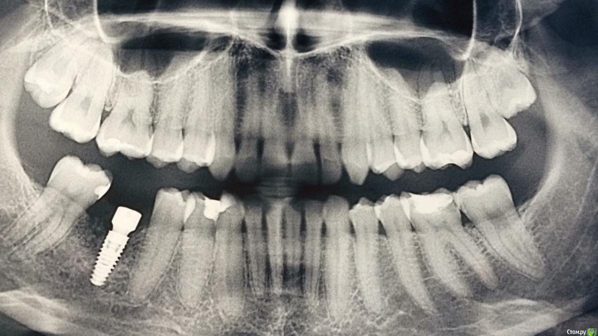
hogsmeed Опубликовано 7 марта, 2018 Поделиться Опубликовано 7 марта, 2018 По снимку вроде все ок, а почему вы не можете довериться врачу своему? Ссылка на комментарий
flyfli Опубликовано 7 марта, 2018 Автор Поделиться Опубликовано 7 марта, 2018 потому что он теряется во мнениях, то говорит все ок иди к ортопеду устанавливай коронку, то говорит не надо, еще месяц подожди не ходи. После операции даже не дал направление на снимок контрольный, просто на угад сказал тип через 3 мес можно устанавливать коронки, сама выпросила потом пришла через месяц направление когда стружка посыпалась из десны. Ссылка на комментарий
flyfli Опубликовано 7 марта, 2018 Автор Поделиться Опубликовано 7 марта, 2018 подскажите, по снимку там все ок Вы сказали, Вы бы пустили такого пациента уже к ортопеду? Сколько можно вообще тянуть этот момент и ходить с формирователем , ничего если мес 5 где-то получается? Ссылка на комментарий
Vitasem Опубликовано 18 марта, 2018 Поделиться Опубликовано 18 марта, 2018 подскажите, по снимку там все ок Вы сказали, Вы бы пустили такого пациента уже к ортопеду? Сколько можно вообще тянуть этот момент и ходить с формирователем , ничего если мес 5 где-то получается?не страшно Ссылка на комментарий
red_butler Опубликовано 25 марта, 2018 Поделиться Опубликовано 25 марта, 2018 flyfli, Вы начали протезироваться? Тему можно закрывать? Ссылка на комментарий
flyfli Опубликовано 10 апреля, 2018 Автор Поделиться Опубликовано 10 апреля, 2018 да, спасибо! Ссылка на комментарий
Рекомендуемые сообщения