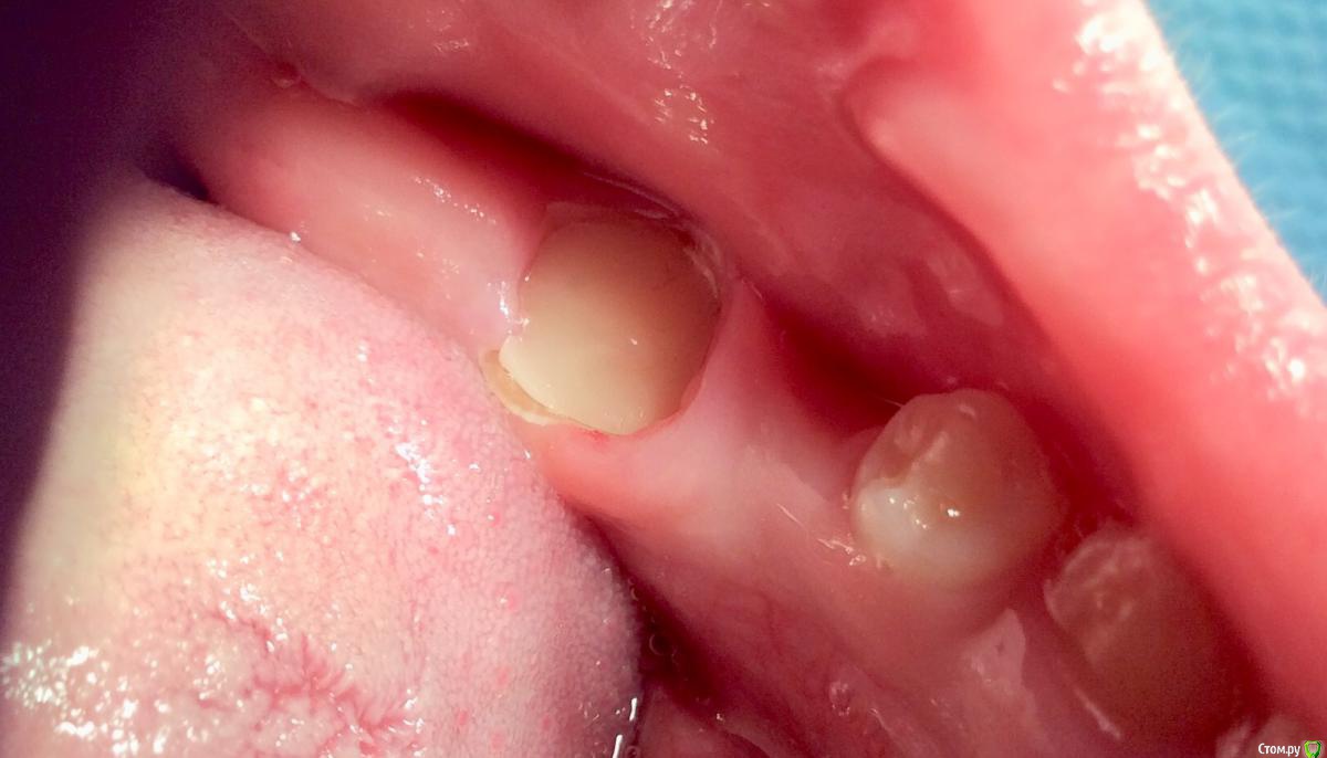
dr.Dre Опубликовано 23 февраля, 2018 Поделиться Опубликовано 23 февраля, 2018 Добрый день , коллеги что делать в данной ситуации , ребёнок 11 лет нижня шестерка,ендо делал год тому пациентка просто не пришла поставить постоянную пломбу, не дико ли в таком возрасте ставить коронку? Ссылка на комментарий
Паращук Роман Опубликовано 23 февраля, 2018 Поделиться Опубликовано 23 февраля, 2018 Убрать 6той,7мой встанет на его место,ну или ортодонт поможет 1 Ссылка на комментарий
red_butler Опубликовано 5 марта, 2018 Поделиться Опубликовано 5 марта, 2018 удалять 1 Ссылка на комментарий
Dstombrn Опубликовано 6 марта, 2018 Поделиться Опубликовано 6 марта, 2018 Соглашусь , удалять. Ссылка на комментарий
Рекомендуемые сообщения
Для публикации сообщений создайте учётную запись или авторизуйтесь
Вы должны быть пользователем, чтобы оставить комментарий
Создать аккаунт
Зарегистрируйте новый аккаунт в нашем сообществе. Это очень просто!
Регистрация нового пользователяВойти
Уже есть аккаунт? Войти в систему.
Войти