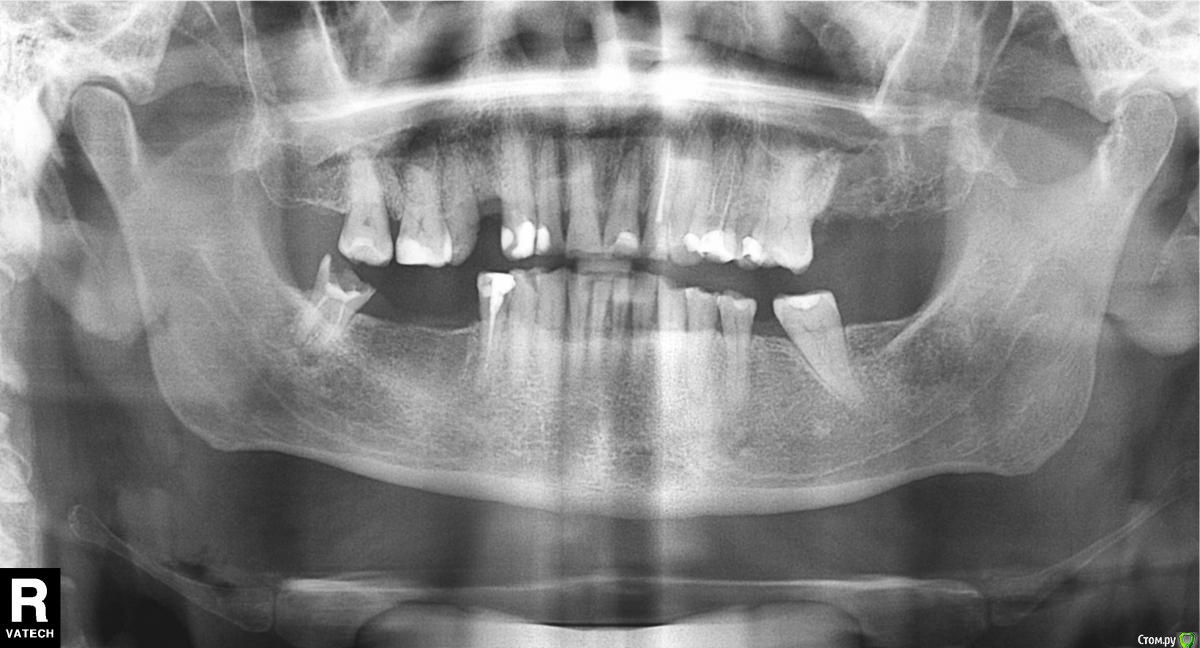
Андрей_П Опубликовано 20 февраля, 2018 Поделиться Опубликовано 20 февраля, 2018 (изменено) Здравствуйте.Прошу помочь разобраться с тонкостями восстановления работоспособности моих зубов.Предполагаю делать имплантацию зубов, панорамный снимок челюстей от 18.02.2018 г. есть.Я – 44 года, живу в Люберцах, мужчина. 13 лет назад была травма челюстей, шинирование на 3 недели, много зубов запломбировали/удалили. Сейчас есть изменения прикуса (предполагаю, из-за отсутствующих длительное время зубов), бруксизма нет, нижние фронтальные 2 зуба истирание о верхние. Курю 30 лет, сейчас 20-30 сигарет в день, повышенный сахар в крови: 5,9-6,8, пью статины.Верхняя 7-ка слева удалена 14.02.2018 г., верхняя 4-ка верхняя удалена июнь 2017 г. Остальные отсутствующие зубы не помню даты удаления, но не менее 6 лет назад.Залечил все пригодные к этому зубы полгода назад. Сейчас, в феврале 2018 г., стоматолог при очном осмотре сказал, что везде костной ткани хватает для классической имплантации (панорамного снимка не видел).Есть желание оставить/восстановить нижнюю 8-ку справа (вкладка, например), но там отсутствие коронковой части, слетела пломба 2 недели назад, стоявшая лет 10, вроде бы около корня киста по снимкам. Есть здоровый антагонист. Нужно ли это?По моим прикидкам (я здесь не специалист совсем) нужно 4-5 имплантов, включая мост (нужен ли мост?) на нижней челюсти справа 2 импланта на 3 отсутствующих зуба. Думаю над Alpha Bio, Osstem, MIS. Нобель не потяну. Хороших врачей на эту задачу не знаю, не сталкивался с этим ранее.Вопросы:1. Сколько может стоить такая имплантация в Москве? Многие клиники заявляют стоимость под ключ имплантация+металлокерамика Альфа Био или Осстем 35-45 тыс. руб. – это реальная цена?2. Можно ли и нужно ли сохранять нижнюю 8-ку и верхнюю 7-ку над ней?3. Нужно ли ставить коронки на фронтальные зубы из-за их истираемости в условиях имплантации отсутствующих зубов? Истираемость возникла именно вследствие отсутствия зубов (до этого её не было), а если поставить импланты на их место, то и стираться нечему будет, такого плотного контакта между передними антагонистами уже не будет, прикус изменится/подкорректируется. Да, нижний передний фронт 2 зуба подстёрлись, верхние антагонисты из-за этого стирания запломбированы полгода назад, но они не болят и не шатаются сейчас.4. Подойдет ли для этой задачи Alpha Bio, Osstem, MIS, что из них лучше? Я так понимаю, нужно с гидрофильной поверхностью типа B+ Альфы, Osstem SLA (SA).5. Нужно ли сразу идти в базальную имплантацию типа ROOT?6. Достаточно ли костной ткани для классической имплантации, если это можно оценить по снимку?7. Как восполнить отсутствующую 6-ку снизу слева и необходимо ли это? 5 и 7 за время отсутствия 6 сместились друг к другу, места под стандартную коронку нет. Мини-имплант или что?8. Нужны ли какие-либо ортодонтические манипуляции (при условии имплантации), если да, то какие и сколько это может занять времени? Буду очень признателен за ответы. Изменено 21 февраля, 2018 пользователем Андрей_П Ссылка на комментарий
Борис80 Опубликовано 21 февраля, 2018 Поделиться Опубликовано 21 февраля, 2018 для полноценной консультации такого снимка недостаточно, мой ответ ни в коем случае не стоит рассматривать как план действий, исходных данных катастрофически мало, это лишь некое направление для ваших мыслей 1. некорректный вопрос, Вы покупаете услугу, а не сам имплант2.недостаточно данных, сложно сказать однозначно,( но чаще такие случаи приводят к удалению 8 зуба - это предположение, недостаточно данных)3.недостаточно данных. Есть только косметические дефекты или снижение прикуса? необходим очный осмотр4. Вы ищите врача, а не поверхность импланта, но мыслите в наиболее благополучном направлении5. ни в коем случае6.недостаточно данных7. ортодонтически поставить зуб 37 в "правильное" положение с помощью мини-импланта - лучшее решение для подобных ситуаций, но конкретно для вашего случая недостаточно данных8. недостаточно данных. ваши вредные привычки и сопутствующие диагнозы не являются абсолютными противопоказаниями для имплантации. Ссылка на комментарий
колесников Опубликовано 21 февраля, 2018 Поделиться Опубликовано 21 февраля, 2018 Здравствуйте! Всего 5 имплантов. Рекомендую Осстем. 8ку справа чтобы сохранить и воостановить,необходимо предварительно пролечить,лечение без гарантии. Приемлемо ли это для Вас решайте сами. 7ку слева необходимо предварительно дистализироовать ортодонтически (в среднем 6 мес). Необходим 3д снимок. Размер 12х8.5(обе челюсти с захватом пазух). Ссылка на комментарий
Андрей_П Опубликовано 22 февраля, 2018 Автор Поделиться Опубликовано 22 февраля, 2018 Спасибо всем врачам за ответы.Постараюсь в ближайшие дни сделать диагностические модели челюстей и КТ 2-х челюстей (это называется 3D, как мне представляется), выложить здесь и спросить опять вас.Колхозить нет желания, я просто спрашиваю, я ни разу не специалист в стоматологии. Боюсь боли и стоматологов с пионерского детства.Был сегодня на очной консультации у ортопеда. Говорит, костной ткани для имплантации отсутствующий зубов более чем достаточно везде. Нижнюю правую 8-ку удалять без вариантов (согласен с этим), на её место ничего не ставить. Сказал, одновременно удалим эту 8-ку и поставим 2 импланта на 6,7 рядом. Меня как чайника это напрягло - будет же свежая лунка на месте 8, потенциальный источник инфекции/проблем для только что зашитых имплантов. Верхнюю 4-ку справа имплантировать не хочет, сказал поставим мост на 3 и 5. Все стоматологи при очном осмотре не находят проблем с дёснами нигде. Да, я покупаю услугу. Но это не значит, что цена на неё не поддаётся исчислению - от 1 рубля до бесконечности.8-ку удалю.Есть изменения прикуса и не начальные. Фронт низ и верх 2-3 зуба стёрлись довольно сильно, они зудят ежедневно, при каждом пережёвывании языком ощущаю, что нижние эти нагреваются, проходит через 1 минуту.Да я и ищу врача, но не нахожу одной клиники, где можно всё это сделать по разумным ценам (да, разумность - понятие очень относительное)."7. ортодонтически поставить зуб 37 в "правильное" положение с помощью мини-импланта - лучшее решение для подобных ситуаций, но конкретно для вашего случая недостаточно данных" - я психологически готов к мимн-импланту, каких данных не хватает?"8. Нужны ли какие-либо ортодонтические манипуляции (при условии имплантации), если да, то какие и сколько это может занять времени?" - в чём недостаточность данных, какая информация нужна? Ссылка на комментарий
Рекомендуемые сообщения
Для публикации сообщений создайте учётную запись или авторизуйтесь
Вы должны быть пользователем, чтобы оставить комментарий
Создать аккаунт
Зарегистрируйте новый аккаунт в нашем сообществе. Это очень просто!
Регистрация нового пользователяВойти
Уже есть аккаунт? Войти в систему.
Войти