Лана-Лана Опубликовано 14 февраля, 2018 Поделиться Опубликовано 14 февраля, 2018 (изменено) Зуб семерка справа нижний, перелечивался после перидонтита... состояние такое как на кт, сам не болит но жевать невозможно, есть ли смысл перелечивать ? Очень хочу зуб сохранить... запломбированн на одну треть .. место под вкладку . На данный момент все таки раскрыли поставили метопасту. Изменено 14 февраля, 2018 пользователем Лана-Лана Ссылка на комментарий
IvanK Опубликовано 14 февраля, 2018 Поделиться Опубликовано 14 февраля, 2018 Здравствуйте,попытаться можно, ищите Врача, но нужно отдавать себе отчет, что может все закончиться удалением Ссылка на комментарий
Лана-Лана Опубликовано 14 февраля, 2018 Автор Поделиться Опубликовано 14 февраля, 2018 А что так все печально? Если вы меня настраиваете на удаление? Ссылка на комментарий
DmitrySH Опубликовано 14 февраля, 2018 Поделиться Опубликовано 14 февраля, 2018 А что так все печально? Если вы меня настраиваете на удаление? При любом эндодонтическом лечении, а особенно повторном, есть вероятность удаления зуба. Ссылка на комментарий
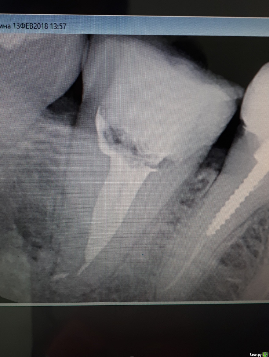
Лана-Лана Опубликовано 15 февраля, 2018 Автор Поделиться Опубликовано 15 февраля, 2018 (изменено) Сейчас зуб в таком состоянии с метапиксом( перепутала изначально сказала метопаста), вижу темное пятно слева от зуба это что воспаление? И так же вижу слева как второй корень именно корень а не канал... он как бы чуть чуть выглядывает из за первого корня , или это наслоение какое то?. в первом корне 2 канала а может быть в другом корне тоже какой то патайной канал которого воачи не видят ? Изменено 15 февраля, 2018 пользователем Лана-Лана Ссылка на комментарий
Лана-Лана Опубликовано 17 февраля, 2018 Автор Поделиться Опубликовано 17 февраля, 2018 Зуб стал болеть с метапиксом такая давящая ноющая, припухлость не уходит! Что делать дальше? Ждать ? Сказали ходить три недели! Или пойти поменять лекарство? Уважаемые доктора посмотрите последний снимок почему лекарство не до апекса? Оно вообще как то подействует на воспаление в кости в десне? Может ли быть в таком зубе третий канал скрытый? Может какой то внутри разделяется на два? По кт может что то видно? Ссылка на комментарий
Лана-Лана Опубликовано 17 февраля, 2018 Автор Поделиться Опубликовано 17 февраля, 2018 И подскажите вот еще что, там куда колят проводниковую анестезию примерно в этой области и шире уплотнение большое , оно не проходит уж как пол года иногда болит поднывает это что может быть ? Это все с той стороны где этот зуб туда мне и кололи проводниковую несколько раз ...что с этим делать? Ссылка на комментарий
Лана-Лана Опубликовано 21 февраля, 2018 Автор Поделиться Опубликовано 21 февраля, 2018 Ну почему ни кто не отвечает((( вчера достали метопасту так как зуб болел ... промыли и поставили крезофен сказали посмотрим на герметичность ... что если герметичности нет то и с крезофеном будет болеть... не знаю правильно ли я это все поняла и сформулировала... но как то так... зуб стал лучше , конечно не в идеале но лучше??? В чем секрет крезофена? На кальции так зуб не проходил... может у меня там дополнительные каналы внутри отростки от основных... вообще не понимаю что с зубом происходит((( Ссылка на комментарий
DmitrySH Опубликовано 21 февраля, 2018 Поделиться Опубликовано 21 февраля, 2018 почему лекарство не до апекса? Оно вообще как то подействует на воспаление в кости в десне? По снимкам вся работа достаточно прилично выглядит. Паста в каналах не обязательно должна доходить до верхушки. Мы не действуем за пределами зуба. Задача эндодонтического лечения сводится к максимальной дезинфекции каналов. А то что творится вне зуба, уже сам организм должен справляться. Ссылка на комментарий
Лана-Лана Опубликовано 22 февраля, 2018 Автор Поделиться Опубликовано 22 февраля, 2018 А вот получается что первый раз я пролечила и стерилизовали и ультразвуком обеззараживали и кальций ставили и то же так сказали что организм дальше сам справиться.. пол года были каналы запломбированны и организ не справился как было воспаление так и осталось(( зуб конечно не болел практически но жевать на нем было невозможно... т е теперь мы опять стерилизуем зуб и теперь как поступить дождаться улучшения с каласептом и тогда только каналы пломбировать? Боюсь что организм почему то не справляется с этим воспалением не понятно по какой причине ... Ссылка на комментарий
St. Опубликовано 22 февраля, 2018 Поделиться Опубликовано 22 февраля, 2018 Организм каждого человека индивидуальный и к сожалению не всегда можно спрогнозировать как он себя поведет в той или иной ситуации. Все что может сделать доктор - это максимально качественно и ответственно следовать современным протоколам лечения. По приложенному снимку работа выглядит прилично. Ссылка на комментарий
Лана-Лана Опубликовано 22 февраля, 2018 Автор Поделиться Опубликовано 22 февраля, 2018 Да сейчас уже стоит крезофен со вторника ... в понедельник сказали придти ... не долго ли для крезофена? Ссылка на комментарий
Рекомендуемые сообщения
Для публикации сообщений создайте учётную запись или авторизуйтесь
Вы должны быть пользователем, чтобы оставить комментарий
Создать аккаунт
Зарегистрируйте новый аккаунт в нашем сообществе. Это очень просто!
Регистрация нового пользователяВойти
Уже есть аккаунт? Войти в систему.
Войти