Taurus007 Опубликовано 9 февраля, 2018 Поделиться Опубликовано 9 февраля, 2018 После очных консультаций в разных клиниках (Москва) выяснилось много вариантов, что несколько смущает. Рекомендации и планы лечений такие:1.Удалить 15,16.25,26,37,47 . С учетом ранее удаленных 2х нижних шестерок, поставить 8 имплантов.При необходимости - подсадка костной ткани.2.Удалить 46,47,36,37,16,26, на их место импланты. 15,25 - поменять коронки. Дополнительно: а. Синус-лифтинг в различных комбинациях, либо без него. Мнения разные. б. Высказано мнение, что необходима коррекция прикуса, поскольку если его не трогать, а начать установку имплантов, то нагрузка на них будет чрезмерной, что повлечет рассасывание кости со всеми вытекающими. Сделал ТРГ, пока только снимок, анализ и расчет ТРГ на след. неделе будет готов. Из истории зубов: коронки стоят 9 лет, 35й - 1 год. Ссылки на ТРГ и компьютерную томографию . Сам я изначально склонялся к первому варианту. Без исправления прикуса.Подскажите, как все-таки лучше поступить? Важные вопросы: насколько необходимо исправление прикуса, и нужен ли синус-лифтинг, судя по КТ? Ссылка на комментарий
red_butler Опубликовано 9 февраля, 2018 Поделиться Опубликовано 9 февраля, 2018 насколько необходимо исправление прикуса для ответов нужно больше информации - http://forum.stom.ru/topic/4655-patcientam/ и нужен ли синус-лифтинг, судя по КТ? Выкладывайте срезы Кт, весь архив мало кто станет/сможет качать. 1 Ссылка на комментарий
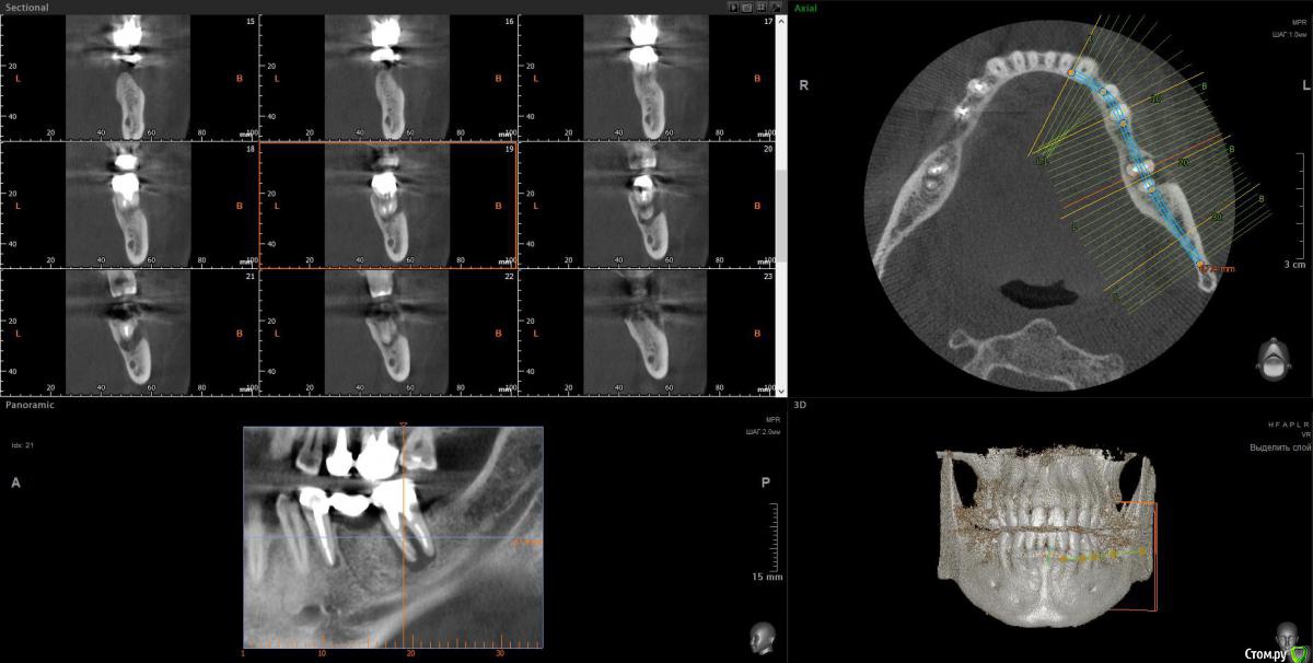
wladdX Опубликовано 12 февраля, 2018 Поделиться Опубликовано 12 февраля, 2018 Скрины 1 Ссылка на комментарий
Taurus007 Опубликовано 13 февраля, 2018 Автор Поделиться Опубликовано 13 февраля, 2018 wladdXОгромное спасибо за скриншоты. Я бы даже близко так не смог) Пришел расчет и анализ ТРГ. Заключение.pdf Ссылка на комментарий
Bier Опубликовано 22 февраля, 2018 Поделиться Опубликовано 22 февраля, 2018 Справа синуслифтинг не потребуется 100%Слева - возможно в области 26 зуба. Для оценки прикуса одного ТРГ мало, надо еще фото моделей. Вам их наверное делали? Ссылка на комментарий
Taurus007 Опубликовано 24 февраля, 2018 Автор Поделиться Опубликовано 24 февраля, 2018 Справа синуслифтинг не потребуется 100% Слева - возможно в области 26 зуба. А в целом, можно ли сейчас не трогать область, где возможно потребуется синуслифтинг, поскольку в практическом смысле это наименее проблемная область, хоть коронки и стоят уже 9 лет ? надо еще фото моделей. Вам их наверное делали? Не делали. Это как-то в домашних условиях возможно? Ссылка на комментарий
Рекомендуемые сообщения
Для публикации сообщений создайте учётную запись или авторизуйтесь
Вы должны быть пользователем, чтобы оставить комментарий
Создать аккаунт
Зарегистрируйте новый аккаунт в нашем сообществе. Это очень просто!
Регистрация нового пользователяВойти
Уже есть аккаунт? Войти в систему.
Войти