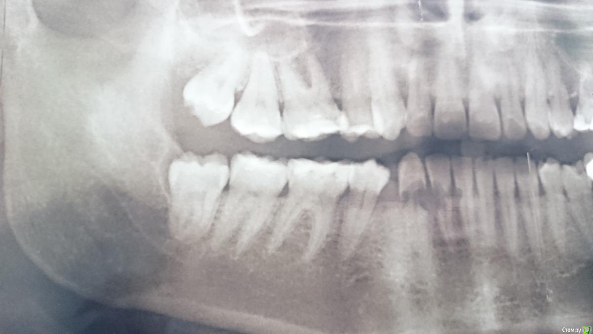
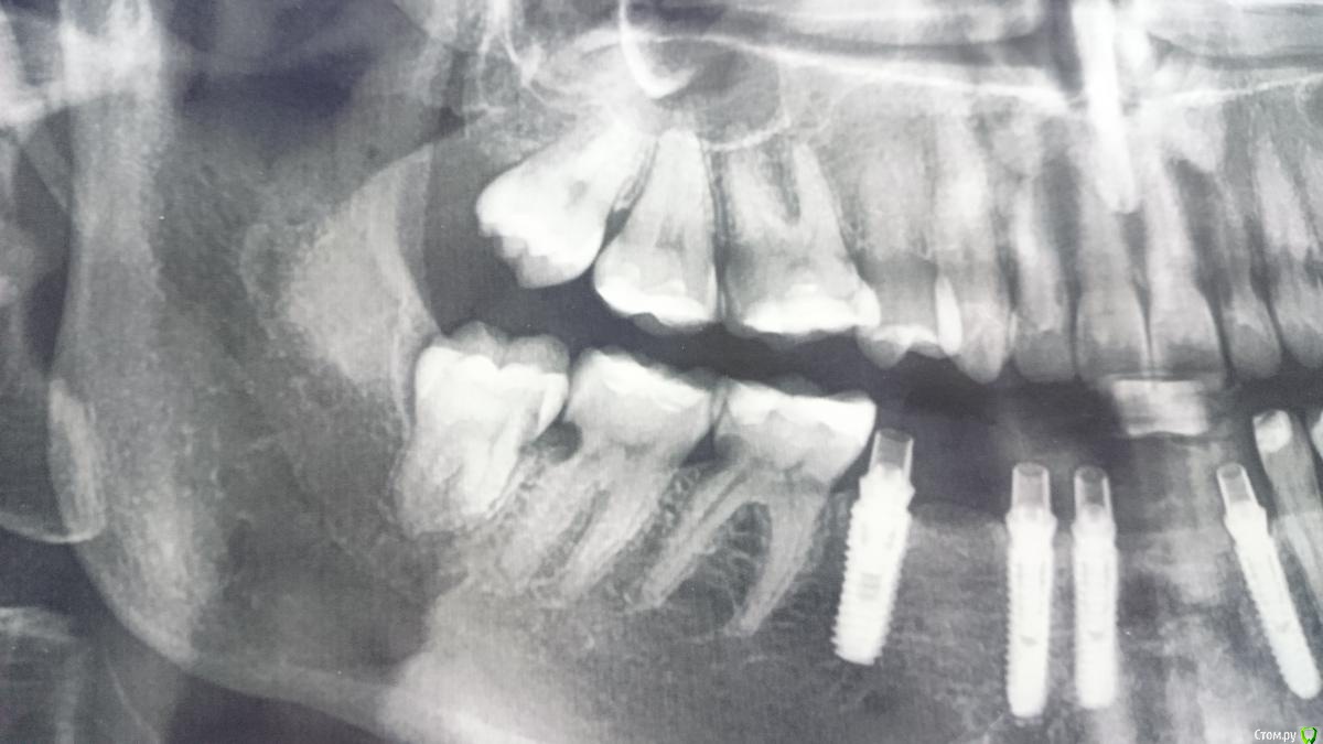
lightella Опубликовано 6 февраля, 2018 Поделиться Опубликовано 6 февраля, 2018 Здравствуйте, коллеги. В клинику обратилась пациентка 1989г.р.Орто 2015г.А это уже 2017Девушка в отчаянии, мы тоже че то приуныли.Кто может - пожалуйста, поделитесь опытом или информацией. Ссылка на комментарий
vse32 Опубликовано 6 февраля, 2018 Поделиться Опубликовано 6 февраля, 2018 Опыта немного есть. Информация тоже. На основании всего этого. Ждать конца. Не более и не менее. Способов лечения не существует. Профилактики тоже. Есть статьи о положительной стабилизации при закладывании нити с а/б в зубодесневую борозду на длительное время , но только как эксперимент на грызунах.Такое возникновение чаще всего называют идеопатическим. Такие генерализованные формы часто наследственные. Проведите обследование ближайших родственников. Вероятно, что старшие уже без зубов. У меня есть в архиве такой семейный случай.Обязательно сохраняйте снимки в динамике. Очень ценный материал для какой нибудь работы или статьи.У меня курсовик в ординатуре по резорбциям. Готовилась очень ответственно. Переводила с английского, испанского, французского (Спасибо Гуглю). Так что чуда не ждите. Девушка реально потеряет все или почти все зубы. 2 Ссылка на комментарий
vse32 Опубликовано 7 февраля, 2018 Поделиться Опубликовано 7 февраля, 2018 Если интересно, могу прислать свои материалы. Киньте в личку почту. 1 Ссылка на комментарий
lightella Опубликовано 7 февраля, 2018 Автор Поделиться Опубликовано 7 февраля, 2018 Если интересно, могу прислать свои материалы. Киньте в личку почту.Спасибо! В личку написала.Жалость то какая, что помочь нечем девушке ((( Ссылка на комментарий
dentikl Опубликовано 7 февраля, 2018 Поделиться Опубликовано 7 февраля, 2018 , мы тоже че то приуныли. чем отягощена?Что постоянно принимает?Спортсменка? Ссылка на комментарий
lightella Опубликовано 7 февраля, 2018 Автор Поделиться Опубликовано 7 февраля, 2018 чем отягощена?Что постоянно принимает?Спортсменка?К сожалению, не могу сейчас ответить на эти вопросы, пациентка не моя, не общались вплотную, при случае спрошу. А вам известна какая-то связь между этими факторами и ИЦР? Особенно про спорт интересно. Ссылка на комментарий
dentikl Опубликовано 7 февраля, 2018 Поделиться Опубликовано 7 февраля, 2018 К сожалению, не могу сейчас ответить на эти вопросы.воздержусь до ответов Ссылка на комментарий
lightella Опубликовано 8 февраля, 2018 Автор Поделиться Опубликовано 8 февраля, 2018 (изменено) воздержусь до ответовОтвечаю. Девушка не спортсменка. Соматически здорова (обследовалась вдоль и поперек именно из за данной проблемы). Единственное, к чему можно придраться - один из анализов на гормоны ЩЖ оказался на десятую долю ниже нижней границы. На этом основании выставлен гипотиреоз (вот не знаю, насколько это правомерно, учитывая, что всего один показатель нарушен). Систематический прием каких либо препаратов отрицает.Гигиена приемлемая, не идеал, но выше среднего, скажем так. Множественого кариеса нет. Насколько я знаю, пациентка смирилась с тем, что лишится зубов. Знать бы еще, какие подводные камни могут быть при имплантации в подобных случаях. Изменено 8 февраля, 2018 пользователем lightella Ссылка на комментарий
dentikl Опубликовано 8 февраля, 2018 Поделиться Опубликовано 8 февраля, 2018 Отвечаю. Девушка Соматически здороватогда речь Может Идти о сочетании неудачной гигиены и удачной последней панорамы.Как у нее было изначально с гигиеной?Как было с финансами в 15 году?По поводу чего в 15 делали панораму и почему не вмешивались тогда?Ваш врачебный опыт и специализация? Ссылка на комментарий
vse32 Опубликовано 8 февраля, 2018 Поделиться Опубликовано 8 февраля, 2018 Резорбция не кариес. Тут нет такой зависимости от гигиены. Более того, если цервикальные резорбции лечить как кариес это не останавливает процесс. Депульпирование тоже не имеет положительного влияния. У меня сейчас два таких пациента на глазах. Там одиночные резорбции. Пломбировала и светом и СИЦ, депульпировала. Через некоторое время опять обширные дефекты рядом с реставраций без признаков гниения. Ссылка на комментарий
lightella Опубликовано 8 февраля, 2018 Автор Поделиться Опубликовано 8 февраля, 2018 Резорбция не кариес. Тут нет такой зависимости от гигиены .Я так понимаю, доктор (dentikl) имеет в виду, что резорбцию спровоцировала агрессивная профгигиена. Не берусь утверждать, но мне это кажется маловероятным.тогда речь Может Идти о сочетании неудачной гигиены и удачной последней панорамы.Поясните, пожалуйста. Особенно насчет панорамы - в чем ее удача? И еще, по поводу связи со спортом интересно. Как у нее было изначально с гигиеной?Как это оценить ретроспективно? Как было с финансами в 15 году?Не знаю. И в каком контексте об этом спросить пациентку - тоже не знаю. По поводу чего в 15 делали панорамуВозникли жалобы, панорама была для предварительной диагностики. почему не вмешивались тогда? Вполне себе вмешивались, депульпировали и даже протезировали. В нашу клинику она попала только сейчас, даже импланты не наши.Ваш врачебный опыт и специализация?Терапия. В каких величинах измеряется опыт я не знаю. 10 лет +/- декрет. Ссылка на комментарий
vse32 Опубликовано 8 февраля, 2018 Поделиться Опубликовано 8 февраля, 2018 Давайте я оставлю этот кусок здесь. Это часть моего курсовика. Может кому будет интересно.ЭтиологияРезорбция корней зубов - проблема недостаточно изученная. При гистологическом изучении зубов выявлен более высокий процент резорбции корней, чем при изучении данного явления клинически и рентгенологически. Несмотря на большое количество гистологических исследований резорбции корней, этиология её до конца неясна. Для начала резорбции необходимы две стадии:· повреждение· возбуждение.По данным литературы факторы, вызывающие повреждение, можно разделить на: • биологические (инфекция или давление), • механические или химические • комбинированные. А также идиопатическая резорбция.После повреждения, раневая поверхность будет колонизирована многоядерными клетками, которые и являются инициаторами резорбции. Без дальнейшего стимулирования этих клеток резорбция может спонтанно затормозится или совсем остановится. Биологические факторы:Индивидуальная восприимчивость. Это главный фактор в определении потенциала резорбции корней, как во время ортодонтического лечения, так и без него. Этот потенциал существует как у молочных, так и у постоянных зубов. Метаболические механизмы, которые провоцируют изменения в соотношении между остеобластами и остеокластами зависят от гормонов и скорости метаболизма (Rygh P., 1977).Генетика. Некоторые исследователи высказывают мнение о наличии генетического компонента в проблеме укорочения корней. Несмотря на эти заявления никаких точных генетических заключений сделано не было (Newman W.G., 1975)Системные факторы. По мнению Becks (1939) эндокринная патология, такая как гипотиреоидизм, гипопитуитаризм, гиперпитуитаризм и другие заболевания могут вызывать резорбцию корней зубов. Эти данные базируются на основных метаболических показателях. Наличие резорбции корней при гиперпаратиреоидизме, гипофосфатэмии, болезни Педжета, системном кальцинозе, болезне Гоше (наследственный глюкоцереброзидоз), синдроме Турнера, описаны лишь в нескольких клинических наблюдениях. Было доказано, что гормональный дисбаланс не вызывает, но может влиять на наличие резорбции (Wainwright W.M., 1973; Linge B.O., 1983).В экспериментах на животных не нашел подтверждения тезис о том, что вторичный гиперпаратиреоидизм ответственен за увеличение резорбции корней. Исследование подтвердило, что паратиреоидный гормон играет главную роль в метаболизме кости, но низкий уровень кальция -условие необходимое для возникновения резорбции корня. Ионы кальция играют важную роль в регулировании процессов, происходящих в кости при наружном стимулировании клеток мишеней (приложении силы, гормональном воздействии). У крыс во время лактации в условиях дефицита Са2+ в организме, наблюдалось уменьшение плотности альвеолярной кости с одновременным увеличением секреции паратиреоидного гормона; в таком состоянии гипокальциемии, ученые обнаружили увеличение процесса резорбции кости и уменьшение плотности костной ткани, что облегчает ремоделирование костной ткани в процессе перемещения зуба (Wainwright W.M., 1973; Goldie R.S., 1984).Engstrom С., Thilander В., (1988) при гистологическом исследовании крыс с гипокальциэмией обнаружили, что резорбция корней была связана с процессами деградации, происходящими в области гиалинизированной зоны и что, при гипокалициемии увеличение резорбции корня сопровождалось повышенной резорбцией костной ткани.Лучевое воздействие. Также патологическая резорбция может быть вызвана у людей после серьезного лучевого воздействия.Питание. Marshall (1929) отметил, что недостаточное питание может вызывать резорбцию корней. Becks (1936) наблюдал резорбцию корней у животных, лишенных поступления кальция и витамина Д. Как было выяснено позже, нарушение питания — это не главный фактор, приводящий к резорбции корней. (Linge B.O., 1983). Возраст. Все ткани, вовлекаемые в процесс резорбции, изменяются с возрастом: периодонтальная мембрана становится тоньше (менее васкуляризированной, апластической), кость становится менее плотной (в ней уменьшается количество сосудов и клеточных элементов), цемент становится толще. Эти изменения отражают высокую восприимчивость корней к резорбции у взрослых пациентов. При изучении взаимосвязи между возрастом пациента, ортодонтическим лечением и резорбцией корней, выявлено, что, чем старше пациент, тем чаще может встречаться резорбция корней зубов особенно в процессе ортодонтического лечения (Reitan К., 1985). Риск резорбций сильно увеличивается после 11 лет. Это не исключает их появление в более раннем возрасте, но, все же, в раннем возрастном периоде риск патологической резорбции минимален.Однако, Massler M., Malone A. (1954), McFadden W.M. (1989) указали на отсутствие связи между потерей тканей зуба в области верхушки корня и возрастом пациента в процессе ортодонтического лечения. В частности Massler M., Malone A. (1954) отметили, что даже без ортодонтического лечения частота резорбции увеличивается с возрастом. Процесс перестройки периодонтальных связок и мышечной адаптации к окклюзионной нагрузке более благоприятно протекает у молодых пациентов.Стадия развития зуба. Развитие корня может сопровождаться движением зуба: дилацерацией*, уменьшением длины корня и резорбцией корней.Дилацерация и остановка роста в развивающемся корне могут возникнуть в результате смещения эпителиального прикрепления Хертвига при движении зуба. В некоторых зубах рост может остановиться при активном ортодонтическом лечении в период позднего сменного и раннего постоянного прикуса. Linge B.O. (1983) выявил укорочение корней развивающихся зубов во время ортодонтического лечения в среднем на 0,5 мм.Однако Rosenberg H.N. (1972) в своем исследовании отметил, что у зубов с несформированными корнями резорбция происходит в меньшей степени по сравнению с зубами с полностью сформированными корнями. Во время ортодонтического лечения частично сформированные корни развиваются и достигают нормальной длины.Пол. Сравнение частоты резорбции корней зубов у групп лиц прошедших ортодонтическое лечение и никогда не лечившихся не показало статистически достоверных связей связи между полом и наличием резорбции (Kennedy D. В., 1983; Goldin В. 1989). Однако по данным Kinsella P. (1971) женщины более подвержены возникновению резорбции. Идиопатическая резорбция корней зубов у женщин встречается чаще, чем у мужчин, в соотношении 3,7:1 (Newman W.G., 1975). Потеря тканей верхушки корня зуба после ортодонтического лечения у женщин также выше (у женщин 0,73 мм, у мужчин 0,67мм) (Linge B.O., 1983) Всегда существовали различия в предрасположенности к корневой резорбции у пациентов, которые могли быть обусловлены системной или врожденной предрасположенностью к резорбции как постоянных, так и молочных зубов (Becks, 1936; Massler and Malone, 1954; Massler and Perreault, 1954; Reitan, 1957; Newman, 1975). Предполагалось, что когда имеет место чрезвычайная предрасположенность, тяжелая корневая резорбция может развиться даже в отсутствии каких-либо очевидных причин (Massler and Perreault, 1954).Также было выявлено влияние этнических различий, в частности, у азиатов значительно реже встречается резорбция зубов, чем у кавказцев или испанцев (Sameshima and Sinclair, 2001a).Описаны случаи резорбции у кровных родственников, хотя механизм наследования не был выяснен (Newman, 1975; Harris et al., 1997). Это позволило предположить наличие генетического компонента в предрасположенности к корневой резорбции.Вредные привычки. Привычка грызть ногти, сосание языка в комбинации с наличием открытого прикуса, увеличенное давление языка может приводить к резорбции корней (Odernick L., 1985).Строение зуба. Зуб неправильной формы более подвержен резорбции во время ортодонтического лечения. Сходящийся к верхушке канал корня считается индикатором высокого потенциала возникновения резорбции корней. Степень резорбции корней у зубов с тупой верхушкой корня выше, чем у зубов с нормальной формой верхушки зуба (Levander E., 1988).Ранее травмированные зубы. Травма зубов может приводить к наружной резорбции корней. Ортодонтическое передвижение травмированных зубов с признаками резорбции является фактором риска, и может привести к дальнейшей потере тканей корня зуба. Потеря тканей корня зуба после ортодонтического лечения для травмированных зубов составила в среднем 1,07 мм, для зубов без травматических повреждений 0,64 мм (Linge В.О., 1983). Однако по данным Malmgren О. (1982) не найдено разницы в частоте резорбции между травмированными и не травмированными зубами.Зубы с проведенным эндодонтическим вмешательством. В литературе встречаются данные о высокой частотевстречаемости и степени тяжести резорбции корней депульпированных зубов. Однако существуют данные, что депульпированные зубы более устойчивы к резорбции, так как после данного вмешательства дентин становится более плотным и прочным (Remington D.N., 1989).Плотность альвеолярной кости. В литературе встречаются спорные данные о связи между резорбцией корней и плотностью альвеолярной кости. Tager B.N. (1951) связывает увеличение резорбции корней с нарушением строения костной ткани в результате гормонального дисбаланса и нарушением питания кости во время роста.Несколько исследователей обнаружили, что чем плотнее альвеолярная кость, тем больше риск возникновения резорбции корней во время ортодонтического лечения (Hall A., 1978; Remmelnick H.J., 1984). При менее плотной костной ткани больше свободного внутреннего пространства. Движение зуба происходит в результате резорбции кости и действия активных резорбирующих клеток, а их количество увеличивается в зависимости от наличия свободного внутреннего пространства.По мнению Reitan К. (1974) использование больших продолжительных сил при менее плотной альвеолярной костной ткани приводит к возникновению такой же степени резорбции, как и при использовании средних и продолжительных сил в кости высокой плотности.Прямой контакт между корнями и кортикальным слоем челюсти может ускорять процесс резорбции из-за высокой степени давления в области верхушки корня зуба. Однако Wainwrigth W.M. (1973) считает, что плотность костной ткани влияет на степень движения зуба, но не связана с возникновением резорбции.Активизация микроорганизмов десневой борозды. В результате пролиферативного фибровасскулярного или фиброоссального расстройства в котором микроорганизмы десневой борозды, изначально, не имеют патогенной природы – могут становится захватчиками. Т.е. становятся патогенными и служат инициаторами резобции.Аномалии окклюзии. При изучении литературы мне не встречались работы отражающие связь между аномалиями прикуса и возникновением резорбции корней зубов, более того, по мнению VonderAhe G. (1973) такая связь отсутствует.Специфическая чувствительность зуба к возникновению резорбции. Различные группы зубов восприимчивы к резорбции неодинаково. Большинство исследователей утверждают, что зубы верхней челюсти более подвержены процессам резорбции, чем нижние. Резцы верхней челюсти поражаются чаще других зубов. Из-за нарушений окклюзии, функции, норм эстетики и для исправления аномалий часто требуются большие перемещения именно этих зубов. Структура корня резцов и их соединение с костью и тканями периодонта, способствуют передаче всех прилагаемых сил в область верхушки корня зуба. Однако встречаются и совершенно противоположные мнения, утверждающие, что резорбции наиболее подвержены резцы нижней челюсти. Считается, что при значительной резорбции корней других зубов, резорбция в области резцов верхней и нижней челюстей не наблюдается.В процессе анализа литературы, и в результате клинических исследований выделены наиболее часто поражаемые зубы по степени тяжести: латеральные резцы верхней челюсти, центральные резцы верхней челюсти, резцы нижней челюсти, дистальный корень 1 нижнего моляра, 2 премоляры нижней челюсти, 2 премоляры верхней челюсти. Еще одна причина возникновения резорбции - инфицирование пульпы зуба и периапикальных тканей.Есть исследования, что на возникновение резорбций, также влияет общесоматический статус.Инфекционные факторы – Большинство типов резорбций инициализируются за счет присутствия патогенных микроорганизмов непосредственно около цемента корня зуба или в системе коневых каналов. При стечении ряда условий процесс резорбции может быть запущен. Механические и химические факторы.Механизм развития резорбции может быть непосредственно связан с альвеолярной резорбцией как результат длительного сжатия и растяжения корней близлежащих зубов вследствие функциональной нагрузки.Наружняя резорбция может наблюдаться у пациентов, страдающих бруксизмом, имеющих вредную привычку грызть ногти, а также с передней дизокклюзией (открытым прикусом) с сопутствующим прокладыванием языка между резцами. Наблюдается связь резорбций с травмой зубов, особенно, если имела место последующая реплантация вывихнутого зуба. (Donaldson and Kinirons, 2001).Сдавливающими, механическими факторами могут являтся ретинирванные зубы, кисты, опухоли.Дентоальвеолярная хирургия и периодонтальная обработка. Хирургическое вмешательство в ткани окружающие зуб, манипуляции , проводимые при лечении пародонтита, такие как кюрктаж, детоксикация корня, сглаживание поверхности корня могут явиться пусковыми механизмами для начала резорбции корня зуба.Ортодонтичекие аппараты. Принято считать, что степень повреждения корней связана с влиянием ортодонтической аппаратуры.Некоторые ортодонты считают, что шинирующий эффект несъемной аппаратуры приводит к функциональным нарушениям, которые и могут привести к резорбции корней зубов. Только в одном исследовании Linnge В.О. (1983) при сравнении резорбции корней при использовании съемной и несъемной аппаратуры был сделан вывод о том, что несъемная ортодонтическая техника приводит к большему повреждению корней.Межчелюстные эластики. Зафиксирована значительная резорбция корня на стороне использования эластиков и подтверждено, что раскачивающие силы в результате действия эластиков могут привести к резорбции корней резцов и моляров. Различий в степени резорбции в зависимости от лечения с удалением и без удаления постоянных зубов не выявлено.Тип ортодонтического движения зуба. Возможно, что интрузия - это наиболее травматический способ воздействия на зуб, однако типпинг, торк, корпусное перемещение, также могут приводить к резорбции корней зубов. Reitan К. (1974) считает, что распределение напряжений вдоль поверхности корня при корпусном перемещении зубов меньше, чем концентрация напряжений в области верхушки корня зуба в результате типпинга. Таким образом риск резорбции корня при корпусном перемещении меньше, чем при типпинге. Ортодонтические и окклюзионные силы. Harry M.R., SimsM.R. (1982) обнаружили, что образование в процессе резорбции лакун в прямой степени зависело от напряжения вокруг корня, а скорость образования лакун повышалась при увеличении используемых сил. Был сделан вывод о том, что увеличение напряжения вызывает резорбцию. Schwartz A.M. (1932) указывает, что сила, превышающая 20-26 г/см2, вызывает ишемию периодонта, которая может привести к резорбции корней зубов. Прерывистые и переменно действующие силы при использовании межчелюстных эластиков и съемных ортодонтических аппаратов могут вызывать резорбцию корней. Окклюзионные силы, воздействующие на плохо выровненные зубы могут быть фактором риска в возникновении резорбции корней при ортодонтическом лечении. Однако Newman W.G. (1975) не обнаружил взаимосвязи между резорбцией корней и окклюзионными силами.Степень перемещения зуба. По мнению многих авторов, степень резорбции корней зависит от расстояния, на которое переместились корни. Корни центральных резцов верхней челюсти подвергаются перемещению чаще других зубов, поэтому неудивительно, что резорбция апикального отдела корня у этих зубов диагностируется чаще. Philips J.R. (1955), Dermaut L.R. (1986) при проведении интрузии у различных зубов не обнаружили четкой взаимосвязи между расстоянием, на которое перемещаются зубы и количеством потери тканей корня. Химический фактор – это внутриканальное отбеливание депульпированных зубов 30% перикисью водорода. В результате подобных манипуляций очень велик риск возникновения цервикальной резобции. Отмечено, также, что после отбеливание зубов по методу ZOOM тоже может приводить к резорбции корней зубов. Комбинация биологических и механических факторов:Продолжительность лечения. Большинство исследований сообщают, что количество резорбции корней зависит от продолжительности лечения. Только несколько исследователей не разделяют данную точку зрения. Levander E. и Malmgren О. (1988) отметили, что у 34% обследуемых зубов наблюдается резорбция корней в период с 6 до 9 месяцев после начала ортодонтического лечения, и таким образом, к концу активного лечения, в среднем составляющем 19 месяцев, процент частоты резорбции увеличивается до 56%. По данным гистологических исследований у 34% обследуемых зубов на 15-й день перемещения зубов появляются лакуны резорбции, а на 20-и день количество зубов с лакунами увеличивается до 56%. По мнению Goldin В. (1989) потеря костной ткани в процессе ортодонтического лечения составляет 0,9 мм в год.Незначительная резорбция или неправильная форма контура зуба, наблюдаемая рентгенологически после 6 и 9 месяцев ортодонтического лечения - фактор риска для возникновения резорбции. Если признаков резорбции после 6 или 9 месяцев лечения не выявлено, то никаких серьезных изменений в зубах не наблюдается и в конце лечения.Рецидив. Reitan К. (1964) считает, что степень рецидива не связана с возникновением резорбции корня. Ten Hoeve A., Mulie M. (1976) утверждают, что зубы предрасположены к дополнительной потере собственной ткани во время рецидива в результате воздействия мышечных сил. Sharpe W. (1987) выявил, что высокая частота резорбции корней у пациентов с рецидивом по сравнению с пациентами без рецидива, объясняется потерей костной поддержки.Резорбция корней после снятия аппаратуры. По данным клинических наблюдений резорбция корней при ортодонтическом лечении обычно приостанавливается после завершения активной фазы лечения. Это объясняется тем, что прогрессирующая резорбция корней связана с повышенным давлением на ткани, окружающие зуб. Возможно ремоделирование острых, неровных краев резервированных поверхностей корня. Retain К. (1964) считает, что дополнительная активная резорбция происходит в течении недели после снятия аппаратуры и сопровождается регенерацией цемента, которая длится 5-6 недель.В большинстве исследований процессов резорбции корней, невозможно сравнить их результаты, сделать заключения из-за различных методов лечения. Сравнение рентгенограмм ограничено из-за различия техники стандартизации, разницы во времени и движении зубов. При анализе литературы по данному вопросу у меня создалось такое впечатление, что вообще нет безопасного способа воздействия на зуб. Патогенез резорбции был описан Tronstad, который также представил новую классификацию. В представлении Tronstad.s, постоянные зубы в норме не резорбируются, твердые ткани защищены предентином и одонтобластами, находящимися внутри, а также цементом и цементобластами – на поверхности корня. Если предентин или цемент становятся минерализованными, или механически повреждены (цемент корня), одонтокласты колонизируют минерализованные или поврежденные поверхности, и начинается процесс резорбции. Tronstad говорит об этом типе резорбции как о воспалительной, которая может прекращаться или прогрессировать. Временная воспалительная резорбция останавливается при формировании цементоподобной ткани, если нет непрерывной стимуляции. Временная резорбция корня происходит в травмированных зубах и зубах, которые подверглись лечению периодонтита или ортодонтическому перемещению. Прогрессирующая резорбция может происходить в присутствии инфекции, определенных системных болезней, механического раздражения тканей или повышенного давления на них. 7 Ссылка на комментарий
dimuxxx Опубликовано 8 февраля, 2018 Поделиться Опубликовано 8 февраля, 2018 vse32, спасибо! Ссылка на комментарий
shyrik Опубликовано 12 февраля, 2018 Поделиться Опубликовано 12 февраля, 2018 Просто предположение, но как вариант. Цервикальная резорбция этиологически может быть связана с перегрузкой (Хотя здесь:Аномалии окклюзии. При изучении литературы мне не встречались работы отражающие связь между аномалиями прикуса и возникновением резорбции корней зубов, более того, по мнению VonderAhe G. (1973) такая связь отсутствует). Может в силу того что недавно начал изучать гнатологию и делать работы с ней связанные...В общем попробуйте джиг или релаксирующие капы....поищите закрытую потерю опорных зон....снимите слепки с лицевой дугой....посмотрите внчс....И вот еще что.Зубки на первом снимке достаточно ровные, не носила ли она брекеты? Ссылка на комментарий
lightella Опубликовано 23 февраля, 2018 Автор Поделиться Опубликовано 23 февраля, 2018 Просто предположение, но как вариант. Цервикальная резорбция этиологически может быть связана с перегрузкой (Хотя здесь:Аномалии окклюзии. При изучении литературы мне не встречались работы отражающие связь между аномалиями прикуса и возникновением резорбции корней зубов, более того, по мнению VonderAhe G. (1973) такая связь отсутствует). Может в силу того что недавно начал изучать гнатологию и делать работы с ней связанные...В общем попробуйте джиг или релаксирующие капы....поищите закрытую потерю опорных зон....снимите слепки с лицевой дугой....посмотрите внчс....И вот еще что.Зубки на первом снимке достаточно ровные, не носила ли она брекеты?Ортодонтия проводилась в подростковом возрасте. Могут ли ее последствия в виде резорбции наступить спустя более, чем 10 лет? Ссылка на комментарий
vse32 Опубликовано 23 февраля, 2018 Поделиться Опубликовано 23 февраля, 2018 Ортодонтия проводилась в подростковом возрасте. Могут ли ее последствия в виде резорбции наступить спустя более, чем 10 лет? Если верить моим данным - то ортодонтия вполне может запустить процесс резорбции. Вопрос только в реальном времени отсрочки результатов. Ссылка на комментарий
lightella Опубликовано 23 февраля, 2018 Автор Поделиться Опубликовано 23 февраля, 2018 Если верить моим данным - то ортодонтия вполне может запустить процесс резорбции. Вопрос только в реальном времени отсрочки результатов. Вот срок то и смущает. То есть, надцать лет ничего не было, а потом резкое прогрессирование. Хотя, может я еще какие-то подробности не знаю (пациентка не моя, напрямую контакта не имею). Так или иначе, морально она уже готова к замене пораженных зубов имплантами. Консервативно паллиативные методы здесь себя не оправдывают - муторно, дорого, и главное безрезультатно. Ссылка на комментарий
vse32 Опубликовано 16 марта, 2018 Поделиться Опубликовано 16 марта, 2018 Пару снимков за этот месяц. Прямо закон парных случаев.Оба 46. Внутренняя перфарирующая резорбция. Оба трупы. В обоих случаях точная причина не известна.Возможно спровацированно лечением глубокого кариеса. 6 Ссылка на комментарий
Рекомендуемые сообщения
Для публикации сообщений создайте учётную запись или авторизуйтесь
Вы должны быть пользователем, чтобы оставить комментарий
Создать аккаунт
Зарегистрируйте новый аккаунт в нашем сообществе. Это очень просто!
Регистрация нового пользователяВойти
Уже есть аккаунт? Войти в систему.
Войти