kamranchick Опубликовано 2 февраля, 2018 Поделиться Опубликовано 2 февраля, 2018 Подошла пациентка через год после установки ФДМ.определяется выделяемое возле крестального модуля. можно ли вопрос решить местно? мед чистка хлорегексидин перекись ССТ с бугра вестибулярнолибо на удаление имплантата?В связи с последними тендециями, вроде все стараются оставить имплантаты, изменились ли у Вас взгляды? Ссылка на комментарий
red_butler Опубликовано 2 февраля, 2018 Поделиться Опубликовано 2 февраля, 2018 В связи с последними тендециями, вроде все стараются оставить имплантаты, изменились ли у Вас взгляды? Что правда? Неужели я так отстал... Подошла пациентка через год после установки ФДМ. почему??? 1 Ссылка на комментарий
kamranchick Опубликовано 2 февраля, 2018 Автор Поделиться Опубликовано 2 февраля, 2018 (изменено) Что правда? Неужели я так отстал... почему??? переехала в другой город, а потом опять вернулась)) ну последние пол года все показывают методы борьбы с переимплантитами и мукозитами с отдаленными результатами... Изменено 2 февраля, 2018 пользователем kamranchick Ссылка на комментарий
TIGER Опубликовано 5 февраля, 2018 Поделиться Опубликовано 5 февраля, 2018 Подошла пациентка через год после установки ФДМ.определяется выделяемое возле крестального модуля. можно ли вопрос решить местно? мед чистка хлорегексидин перекись ССТ с бугра вестибулярнолибо на удаление имплантата?В связи с последними тендециями, вроде все стараются оставить имплантаты, изменились ли у Вас взгляды?явный периимплантит с чем связываете?откроетесь,будет на половину....в грануляциях,кость не наростёт к сожалению Ссылка на комментарий
kamranchick Опубликовано 6 февраля, 2018 Автор Поделиться Опубликовано 6 февраля, 2018 явный периимплантит с чем связываете?откроетесь,будет на половину....в грануляциях,кость не наростёт к сожалениюя вообще не знаю, ну единственное что с чем могу связывать, на кт в этом месте был пломбировочный материал в кости, какой нибудь йодоформ, ну только с этим могу связывать Ссылка на комментарий
kamranchick Опубликовано 6 февраля, 2018 Автор Поделиться Опубликовано 6 февраля, 2018 Снять формик. Прозондировать. Определить вид дефекта и прогноз. Дальше либо имплантопластика, либо "навынос" и реимплантация.была бы одиночка можно было и не париться, но везде имплантатики стоят, получается если на вынос то еще + 6 месяцев Ссылка на комментарий
TIGER Опубликовано 8 февраля, 2018 Поделиться Опубликовано 8 февраля, 2018 была бы одиночка можно было и не париться, но везде имплантатики стоят, получается если на вынос то еще + 6 месяцеввинти сразу рядом и консоль в крайнем случае вперёд 2 Ссылка на комментарий
kamranchick Опубликовано 8 февраля, 2018 Автор Поделиться Опубликовано 8 февраля, 2018 винти сразу рядом и консоль в крайнем случае вперёд кстати как вариант... Ссылка на комментарий
IvanK Опубликовано 9 февраля, 2018 Поделиться Опубликовано 9 февраля, 2018 Если пациент готов спасать, ради эксперимента , можно .В противном случае, убрал бы. Ссылка на комментарий
IvanK Опубликовано 9 февраля, 2018 Поделиться Опубликовано 9 февраля, 2018 винти сразу рядом и консоль в крайнем случае вперёд стратег)) Ссылка на комментарий
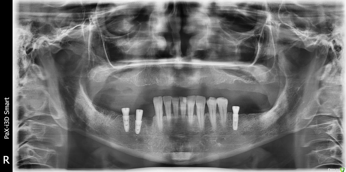
kamranchick Опубликовано 9 февраля, 2018 Автор Поделиться Опубликовано 9 февраля, 2018 сверху сьемник так что вариантик с консолькой мне понравился, сегодня воткну.интересно, контамирована поверхность имплантата, и только костное ложе в области 4.4? в области 4.5 все ли будет пучком?) и почему все таки тут он возник этот периимпл? Ссылка на комментарий
kamranchick Опубликовано 9 февраля, 2018 Автор Поделиться Опубликовано 9 февраля, 2018 (изменено) после операции нашел снимок Изменено 9 февраля, 2018 пользователем kamranchick Ссылка на комментарий
IvanK Опубликовано 9 февраля, 2018 Поделиться Опубликовано 9 февраля, 2018 почему все таки тут он возник этот периимпл? что-то пошло не так Ссылка на комментарий
TIGER Опубликовано 9 февраля, 2018 Поделиться Опубликовано 9 февраля, 2018 стратег)) а то)) Ссылка на комментарий
kamranchick Опубликовано 9 февраля, 2018 Автор Поделиться Опубликовано 9 февраля, 2018 Тигран)) по твоему зову поступил)) Ссылка на комментарий
dzhancha Опубликовано 10 февраля, 2018 Поделиться Опубликовано 10 февраля, 2018 сверху сьемник так что вариантик с консолькой мне понравился, сегодня воткну.интересно, контамирована поверхность имплантата, и только костное ложе в области 4.4? в области 4.5 все ли будет пучком?) и почему все таки тут он возник этот периимпл?Замечательный ретенционной пункт для зубного налета и бактерий + отсутствие нагрузки. Недавно была пациентка, имплантат без фдм, явилась через 2 года после установки. Убыль кости на 3 витка, также кратером. Ссылка на комментарий
kamranchick Опубликовано 10 февраля, 2018 Автор Поделиться Опубликовано 10 февраля, 2018 Замечательный ретенционной пункт для зубного налета и бактерий + отсутствие нагрузки. Бред. Ссылка на комментарий
TIGER Опубликовано 12 февраля, 2018 Поделиться Опубликовано 12 февраля, 2018 Тигран)) по твоему зову поступил))ну и правильно!Это оптимальное решение тут) Ссылка на комментарий
TIGER Опубликовано 12 февраля, 2018 Поделиться Опубликовано 12 февраля, 2018 Тигран)) по твоему зову поступил))В ту же лунку(ложе)не вариант был кстати? Ссылка на комментарий
kamranchick Опубликовано 12 февраля, 2018 Автор Поделиться Опубликовано 12 февраля, 2018 В ту же лунку(ложе)не вариант был кстати?можно было бы наверное, но пришлось бы топить, ну и как побаиваюсь я ставить в "инфицированные лунки" Ссылка на комментарий
TIGER Опубликовано 12 февраля, 2018 Поделиться Опубликовано 12 февраля, 2018 можно было бы наверное, но пришлось бы топить, ну и как побаиваюсь я ставить в "инфицированные лунки" ок) Ссылка на комментарий
Рекомендуемые сообщения
Для публикации сообщений создайте учётную запись или авторизуйтесь
Вы должны быть пользователем, чтобы оставить комментарий
Создать аккаунт
Зарегистрируйте новый аккаунт в нашем сообществе. Это очень просто!
Регистрация нового пользователяВойти
Уже есть аккаунт? Войти в систему.
Войти