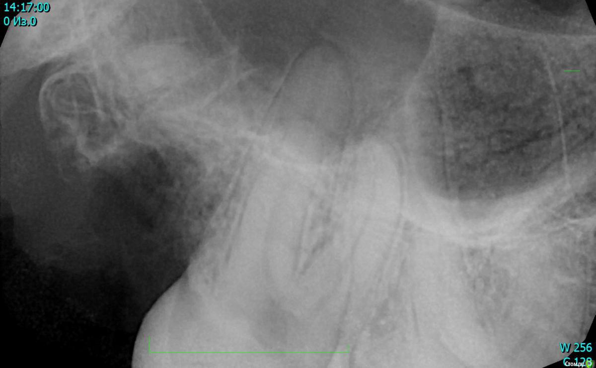
Egor.dentistry Опубликовано 22 января, 2018 Поделиться Опубликовано 22 января, 2018 (изменено) Ничего не предвещало беды, самое рядовое удаление зуба 18. В результате отлом верхушки дистально-щечного корня. Попытка ее достать закончилась проталкиванием в синус, откинул лоскут, визуализация была ограничена, ушился назначил медикаментозную терапию,направил в ЧЛХ. Как вы решаете данные осложнения в своей практики? Если таковые встречаются) Изменено 22 января, 2018 пользователем Egor.dentistry 1 Ссылка на комментарий
Bier Опубликовано 22 января, 2018 Поделиться Опубликовано 22 января, 2018 я бы не полез за ним ))Теперь к ЛОРам на эндоскоп 5 Ссылка на комментарий
Egor.dentistry Опубликовано 22 января, 2018 Автор Поделиться Опубликовано 22 января, 2018 я бы не полез за ним ))Теперь к ЛОРам на эндоскоп)) согласен с вами, но фрагмент достаточно большой, ни 2 мм, он визуализировался, даже подцепил..... Ссылка на комментарий
kramer Опубликовано 22 января, 2018 Поделиться Опубликовано 22 января, 2018 Лучше всего не проталкивать)) Если корень отломился, сразу пытайтесь визуализировать фрагмент глазами. В вашем случае я бы сначала попытался подцепить фрагмент файлом. Если нет, то отслоился бы и достал корень сбоку. А теперь, наверное, только к ЛОРу Ссылка на комментарий
Egor.dentistry Опубликовано 22 января, 2018 Автор Поделиться Опубликовано 22 января, 2018 Лучше всего не проталкивать)) Если корень отломился, сразу пытайтесь визуализировать фрагмент глазами. В вашем случае я бы сначала попытался подцепить фрагмент файлом. Если нет, то отслоился бы и достал корень сбоку. А теперь, наверное, только к ЛОРуЗондом его цеплял, подвижен был. Латеральным доступом было бы надежнее, не успел( Ссылка на комментарий
AlexanderGudkov Опубликовано 22 января, 2018 Поделиться Опубликовано 22 января, 2018 В прошлом месяце также протолкнул, но от 7 зуба))Открылся, окно как для синуса, микрозеркалом его нашел, отсосом вытащил, вит цт перекрыл все)) 1 Ссылка на комментарий
Egor.dentistry Опубликовано 22 января, 2018 Автор Поделиться Опубликовано 22 января, 2018 В прошлом месяце также протолкнул, но от 7 зуба))Открылся, окно как для синуса, микрозеркалом его нашел, отсосом вытащил, вит цт перекрыл все))В области 16,17, также бы поступил, в данном случае не рискнул, очень плохой обзор был. Ссылка на комментарий
Bier Опубликовано 22 января, 2018 Поделиться Опубликовано 22 января, 2018 с 6,7 зубом, если ломается так корень и пазуха рядом я сразу же вкручиваю в него файл, только потом ковыряю. 8 Ссылка на комментарий
StomV Опубликовано 22 января, 2018 Поделиться Опубликовано 22 января, 2018 Недавно тоде протолкнул при удалении 6, благо он болтался на гранулеме,немного расширил отверстие в лунке и выковырял его. А если в области 8 проталкивается,думаю самое разумное,это сделать окно латеральное и попытаться достать его,но думаю без нормального увеличения и света,это сделать проблематично. Ссылка на комментарий
red_butler Опубликовано 22 января, 2018 Поделиться Опубликовано 22 января, 2018 по какому диагнозу удалялся зуб? Ссылка на комментарий
aikeman Опубликовано 22 января, 2018 Поделиться Опубликовано 22 января, 2018 Ничего не предвещало беды, самое рядовое удаление зуба 18. В результате отлом верхушки дистально-щечного корня. Попытка ее достать закончилась проталкиванием в синус, откинул лоскут, визуализация была ограничена, ушился назначил медикаментозную терапию,направил в ЧЛХ. Как вы решаете данные осложнения в своей практики? Если таковые встречаются)Добрый день. Если зуб был асимптоматичен, в зеркало не могу корень четко визуализировать, то я бы скорее не стал его трогать. А может все-таки не убежал в пазуху, а вылетел\ассистент засосала? Ссылка на комментарий
Борис80 Опубликовано 22 января, 2018 Поделиться Опубликовано 22 января, 2018 Добрый день. а вылетел\ассистент засосала?а в области лунки не он стоит? Ссылка на комментарий
Евгений Ходыкин Опубликовано 22 января, 2018 Поделиться Опубликовано 22 января, 2018 Скоп думаю тут выручил бы... Ссылка на комментарий
krokomot Опубликовано 22 января, 2018 Поделиться Опубликовано 22 января, 2018 у верхних восьмерок самя плохая визуализация корней это надо учитывать перед удалением, один раз небный апекс отломился , корни огромные были, я так его и не нашел Ссылка на комментарий
Рекомендуемые сообщения
Для публикации сообщений создайте учётную запись или авторизуйтесь
Вы должны быть пользователем, чтобы оставить комментарий
Создать аккаунт
Зарегистрируйте новый аккаунт в нашем сообществе. Это очень просто!
Регистрация нового пользователяВойти
Уже есть аккаунт? Войти в систему.
Войти