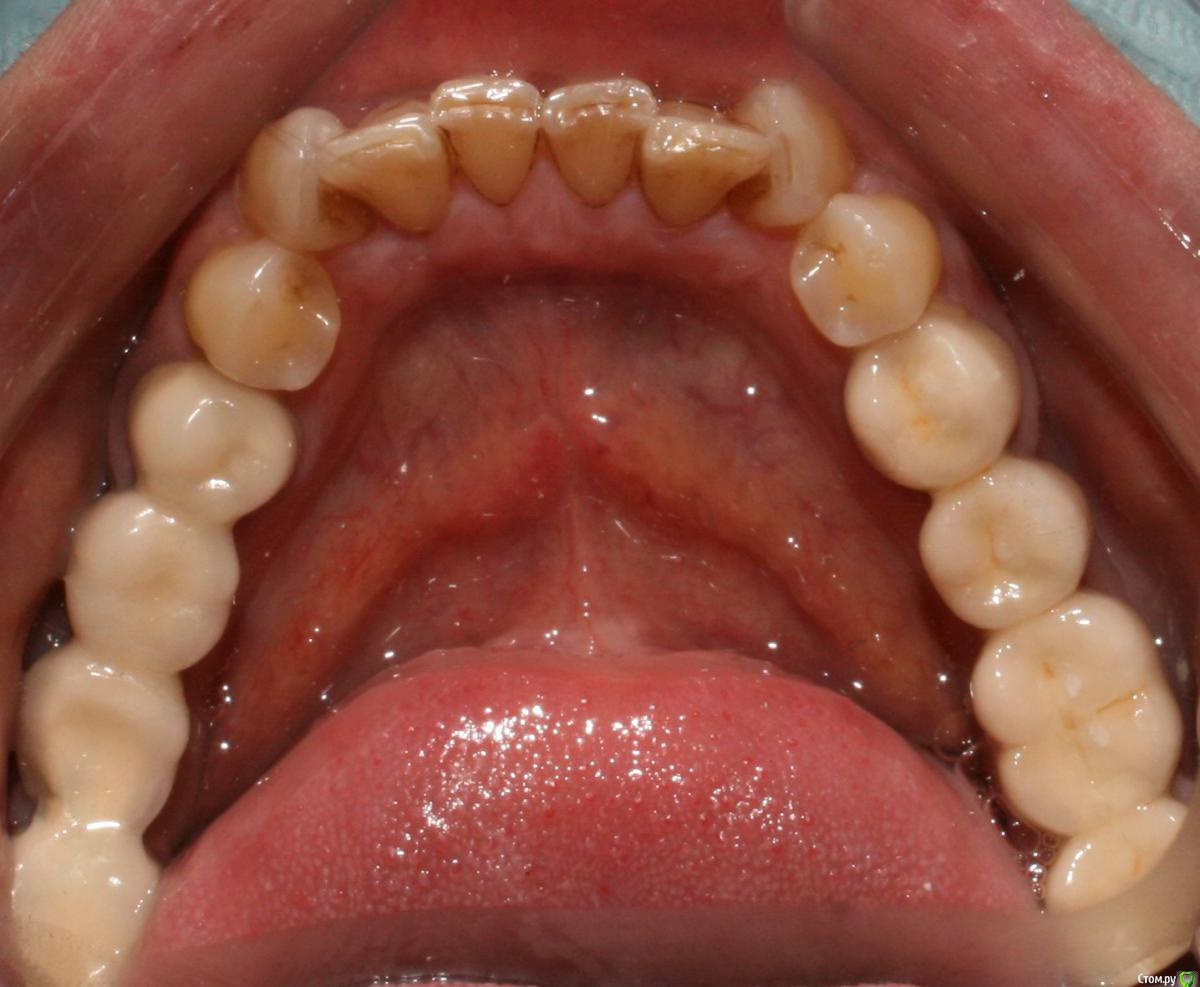
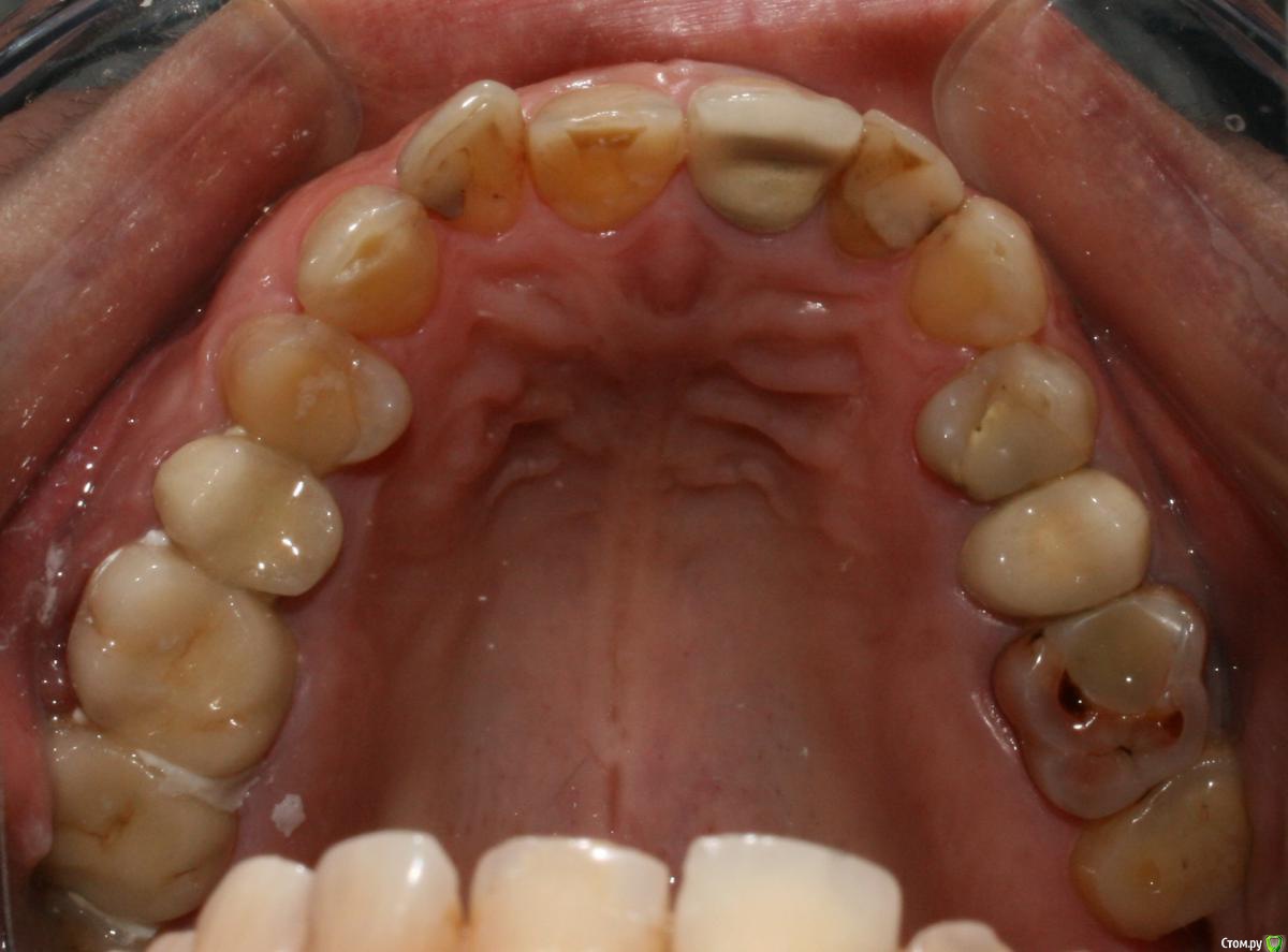
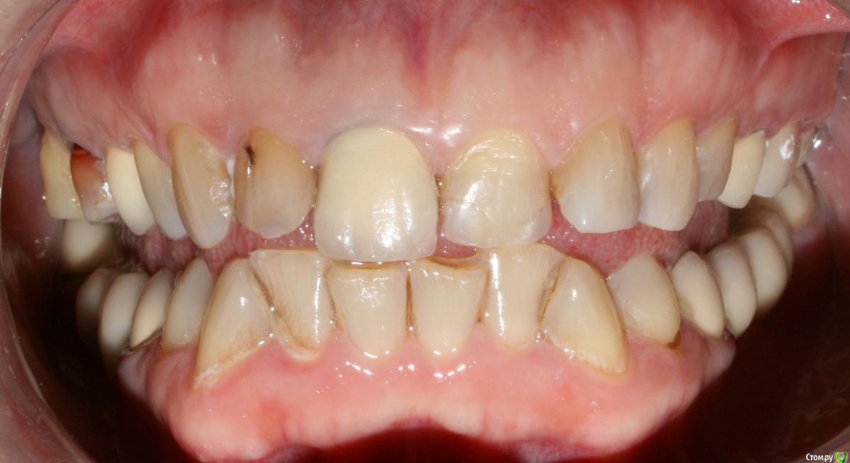
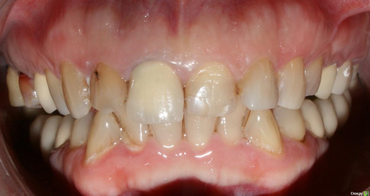
kramer Опубликовано 17 января, 2018 Поделиться Опубликовано 17 января, 2018 (изменено) Коллеги, добрый вечер. Помогите начинающему ортопеду. Заранее прошу простить за качество фото. Пациентка обратилась с целью улучшения эстетики фронтальных зубов. Около года назад один врач из нашей клиники делал м/к на боковые зубы (пациентку устраивают), при этом, по всей видимости, было снижение прикуса из-за стирания, но его высоту не восстанавливали. Теперь настало время передних зубов, и работать, получается, придется с имеющейся высотой. План лечения: 14, 24 - м/к, 13-23 имакс коронки/виниры. Меня смущают фасетки стираемости на клыках в/ч. Вопрос: каким образом лучше их реставрировать во избежание сколов реставраций? Делать полные коронки? Спасибо, надеюсь на ваш совет. Изменено 17 января, 2018 пользователем kramer Ссылка на комментарий
Audutor Опубликовано 17 января, 2018 Поделиться Опубликовано 17 января, 2018 Фото улыбки бы.Фото в полном прикусе бы.Странная схема мк с емаксом, по вашему дисгармонии 4к не будет видно? Я так смотрю поднять бы тут желательно, иначе эстетика будет компромиссная, можно показать через мокап. Если будет интерес и красота, пациентка пойдет по пути постепенной тотализации, уже через вас, через полноценную керамику, верх и низ. Можно финансово растянуть, через композит и времяшки. Если интереса не будет, будет компромиссная работа с посредственной эстетикой, когда обсуждаете с пациенткой, отложите вопрос цены на конец, когда обсудите все детали, составьте два плана, пусть решает дома, что ей интересней. 1 Ссылка на комментарий
Audutor Опубликовано 17 января, 2018 Поделиться Опубликовано 17 января, 2018 А вообще, с хорошего фронта начинается дружба пациента и врача) Ссылка на комментарий
krokomot Опубликовано 17 января, 2018 Поделиться Опубликовано 17 января, 2018 Просится тотал, в случае, лайт варианта делайте все имах, везде показаны коронки, хотябы 3\4. Интересная концепция с зубом 1.1))) Ссылка на комментарий
kramer Опубликовано 18 января, 2018 Автор Поделиться Опубликовано 18 января, 2018 Фото улыбки бы.Фото в полном прикусе бы.Странная схема мк с емаксом, по вашему дисгармонии 4к не будет видно? Я так смотрю поднять бы тут желательно, иначе эстетика будет компромиссная, можно показать через мокап. Если будет интерес и красота, пациентка пойдет по пути постепенной тотализации, уже через вас, через полноценную керамику, верх и низ. Можно финансово растянуть, через композит и времяшки. Если интереса не будет, будет компромиссная работа с посредственной эстетикой, когда обсуждаете с пациенткой, отложите вопрос цены на конец, когда обсудите все детали, составьте два плана, пусть решает дома, что ей интересней.Спасибо. Согласен на счёт необходимости поднятия высоты. Но как объяснить необходимость переделки всех коронок, точнее почему другой врач сразу этого не сделал? Тем более, они новые, в целом её устраивают, а тот врач всё ещё работает) Ссылка на комментарий
kramer Опубликовано 18 января, 2018 Автор Поделиться Опубликовано 18 января, 2018 Просится тотал, в случае, лайт варианта делайте все имах, везде показаны коронки, хотябы 3\4. Интересная концепция с зубом 1.1)))Спасибо. 11 сделан в каких-то махровых годах. Вариант с винирами отпадает по функциональным или эстетическим причинам? Ссылка на комментарий
krokomot Опубликовано 18 января, 2018 Поделиться Опубликовано 18 января, 2018 Спасибо. 11 сделан в каких-то махровых годах. Вариант с винирами отпадает по функциональным или эстетическим причинам?По объему сохранившихся тканей у зубов Ссылка на комментарий
Audutor Опубликовано 18 января, 2018 Поделиться Опубликовано 18 января, 2018 Спасибо. Согласен на счёт необходимости поднятия высоты. Но как объяснить необходимость переделки всех коронок, точнее почему другой врач сразу этого не сделал? Тем более, они новые, в целом её устраивают, а тот врач всё ещё работает) Вопрос очень простой, хотите красиво или посредственно?Если красиво, поднимаем. Почему сразу на захотела полную реабилитацию, не спросила врача...Почему меняет врача в процессе работы...?Это вызывает вопросы. Каждый врач имеет свое мнение, пришла делать фронт она к вам... Если начнет требовать деньги за проделанные работы в жевательном, становитесь на сторону другого врача.Заодно будет проверка на адекватность данного пациента, может он и не ваш. Если пытаться всем угодить, в итоге крайним будете вы... 1 Ссылка на комментарий
kramer Опубликовано 18 января, 2018 Автор Поделиться Опубликовано 18 января, 2018 Коллеги, спасибо за ответы. Буду думать. Ссылка на комментарий
Dman Опубликовано 19 января, 2018 Поделиться Опубликовано 19 января, 2018 сделайте 2 варианта ваксапа - только фронт, и тотал, примерьте и отфотографируйте. С тем вариантом, которых хотите делать вы отпустите погулять. А далее пациент возьмет сам на себя ответственность за выбор. На переделку мк сделал бы скидку (опять же если вы настроены на тотал) 1 Ссылка на комментарий
kramer Опубликовано 19 января, 2018 Автор Поделиться Опубликовано 19 января, 2018 сделайте 2 варианта ваксапа - только фронт, и тотал, примерьте и отфотографируйте. С тем вариантом, которых хотите делать вы отпустите погулять. А далее пациент возьмет сам на себя ответственность за выбор. На переделку мк сделал бы скидку (опять же если вы настроены на тотал) Как прицепить мок ап на м/к, чтобы его поносить какое-то время? Ссылка на комментарий
krokomot Опубликовано 19 января, 2018 Поделиться Опубликовано 19 января, 2018 Попросите техника сделать воск с неболбшим избытко по ширине, то есть без фрезеровки имеющихся зубов 1 Ссылка на комментарий
kramer Опубликовано 21 января, 2018 Автор Поделиться Опубликовано 21 января, 2018 Сама судьба толкает к тоталу. Техник пробовал восковать в таком прикусе - не получается, мешают нижние клыки, да и перекрытие какое-то некрасивое получается, глубокое Ссылка на комментарий
kramer Опубликовано 21 января, 2018 Автор Поделиться Опубликовано 21 января, 2018 Но даже в случае тотала, непонятно, что делать с 43 и 33 из-за их положения. Ссылка на комментарий
chervoncevdaniil Опубликовано 21 января, 2018 Поделиться Опубликовано 21 января, 2018 Но даже в случае тотала, непонятно, что делать с 43 и 33 из-за их положения.Мне кажется за счет коронок их выровнять нереально Ссылка на комментарий
kramer Опубликовано 21 января, 2018 Автор Поделиться Опубликовано 21 января, 2018 Попросите техника сделать воск с неболбшим избытко по ширине, то есть без фрезеровки имеющихся зубовИ потом из текучего композита? Ссылка на комментарий
kramer Опубликовано 21 января, 2018 Автор Поделиться Опубликовано 21 января, 2018 (изменено) Мне кажется за счет коронок их выровнять нереальноПридётся оставить как есть, для "естественности", по крайней мере не придётся отпиливать им углы в случае повышения прикуса. Либо ортодонтия Изменено 21 января, 2018 пользователем kramer Ссылка на комментарий
art700 Опубликовано 21 января, 2018 Поделиться Опубликовано 21 января, 2018 Без ортодонтии красиво не будет) Ссылка на комментарий
StomV Опубликовано 22 января, 2018 Поделиться Опубликовано 22 января, 2018 Я не пойму,почему все в один голос твердят,что здесь нужно поднимать прикус?Какие показания? С чего вы это решили?Нужно исходить из возраста пациента. Да здесь видны фасетки стираемости,но не стоит забывать,что есть еще компенсация стираемости в виде роста альвеолярного отростка с зубами (гипертрофия) и далеко не всегда стираемость приводит к снижению МАВ. Здесь как раз намного важнее определиться с ЦС и ВНЧС,как минимум провести тесты,сделать КТ сустава.Если все в норме,то нет нужны поднимать высоту. Я думаю в данной клинической ситуации возможно отмоделировать достточно неплохо фронт,хотелось бы увидеть ваш вариант воска. 1 Ссылка на комментарий
kramer Опубликовано 22 января, 2018 Автор Поделиться Опубликовано 22 января, 2018 Я не пойму,почему все в один голос твердят,что здесь нужно поднимать прикус?Какие показания? С чего вы это решили?Нужно исходить из возраста пациента. Да здесь видны фасетки стираемости,но не стоит забывать,что есть еще компенсация стираемости в виде роста альвеолярного отростка с зубами (гипертрофия) и далеко не всегда стираемость приводит к снижению МАВ. Здесь как раз намного важнее определиться с ЦС и ВНЧС,как минимум провести тесты,сделать КТ сустава.Если все в норме,то нет нужны поднимать высоту. Я думаю в данной клинической ситуации возможно отмоделировать достточно неплохо фронт,хотелось бы увидеть ваш вариант воска. Вот воск. С нижних клыков убрано по 1-1,5 мм примерно Ссылка на комментарий
StomV Опубликовано 22 января, 2018 Поделиться Опубликовано 22 января, 2018 Вот воск. С нижних клыков убрано по 1-1,5 мм примерноВ целом,я думаю нормально,но чем продиктована длина зубов? Если хотите увеличить длину,ведь ее можно увеличить за счет небольшой коррекции десневого края,а не за счет удлинения зубов.Опять же не понятна линия улыбки пациента. И не совсем понятна линия горизонта. Попробуйте сделать мокап в орту и посмотреть,что получится. Ссылка на комментарий
kramer Опубликовано 23 января, 2018 Автор Поделиться Опубликовано 23 января, 2018 В целом,я думаю нормально,но чем продиктована длина зубов? Если хотите увеличить длину,ведь ее можно увеличить за счет небольшой коррекции десневого края,а не за счет удлинения зубов.Опять же не понятна линия улыбки пациента. И не совсем понятна линия горизонта. Попробуйте сделать мокап в орту и посмотреть,что получится.Я не могу сделать такой мокап без спиливания клыков. Дело не только в длине, а ещё в развернутых двойках. Если их выравнивать коронками, не хватает места. Либо я че то не понимаю Ссылка на комментарий
kramer Опубликовано 23 января, 2018 Автор Поделиться Опубликовано 23 января, 2018 Это же ненормально - спиливать интактные зубы для подгонки протеза?) Ссылка на комментарий
bakagaidzin Опубликовано 23 января, 2018 Поделиться Опубликовано 23 января, 2018 Это же ненормально - спиливать интактные зубы для подгонки протеза?)LVI измерьте и подсчитайте надо ли поднимать высоту или нет. Ссылка на комментарий
kramer Опубликовано 23 января, 2018 Автор Поделиться Опубликовано 23 января, 2018 LVI измерьте и подсчитайте надо ли поднимать высоту или нет. Попробовал, даже судя по фото №2, где зубы сомкнуты не до конца, не хватает высоты Ссылка на комментарий
Рекомендуемые сообщения
Для публикации сообщений создайте учётную запись или авторизуйтесь
Вы должны быть пользователем, чтобы оставить комментарий
Создать аккаунт
Зарегистрируйте новый аккаунт в нашем сообществе. Это очень просто!
Регистрация нового пользователяВойти
Уже есть аккаунт? Войти в систему.
Войти