Чертков Александр Опубликовано 17 января, 2018 Поделиться Опубликовано 17 января, 2018 ...когда доктор почти доволен результатом... 18 Ссылка на комментарий
Freelancer1981 Опубликовано 17 января, 2018 Поделиться Опубликовано 17 января, 2018 Прекрасно.А что за материал коронок в боковом отделе Ссылка на комментарий
Aquarius Опубликовано 17 января, 2018 Поделиться Опубликовано 17 января, 2018 Саня , зубы к тебе поеду делать Ссылка на комментарий
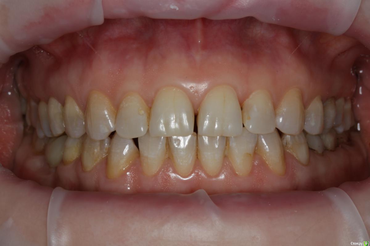
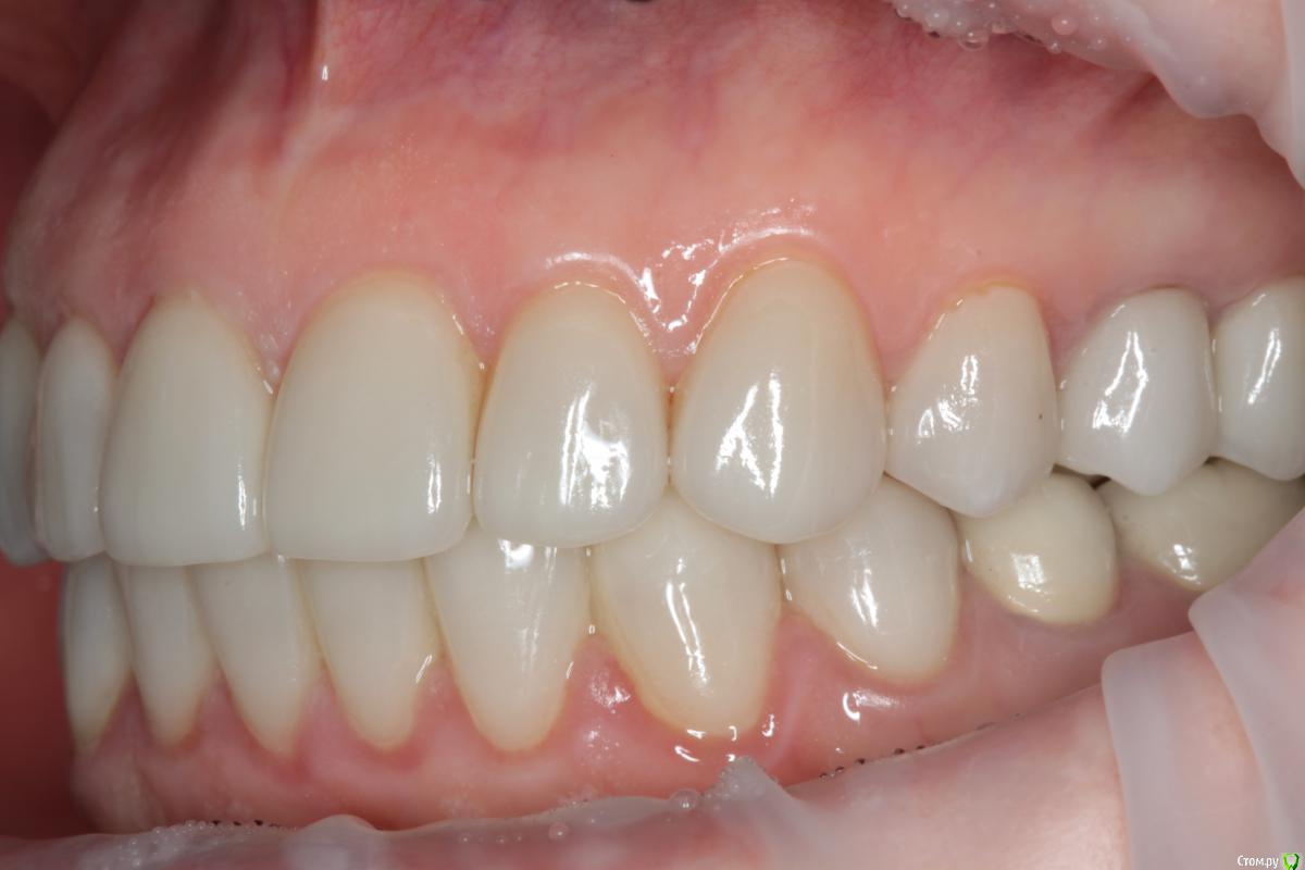
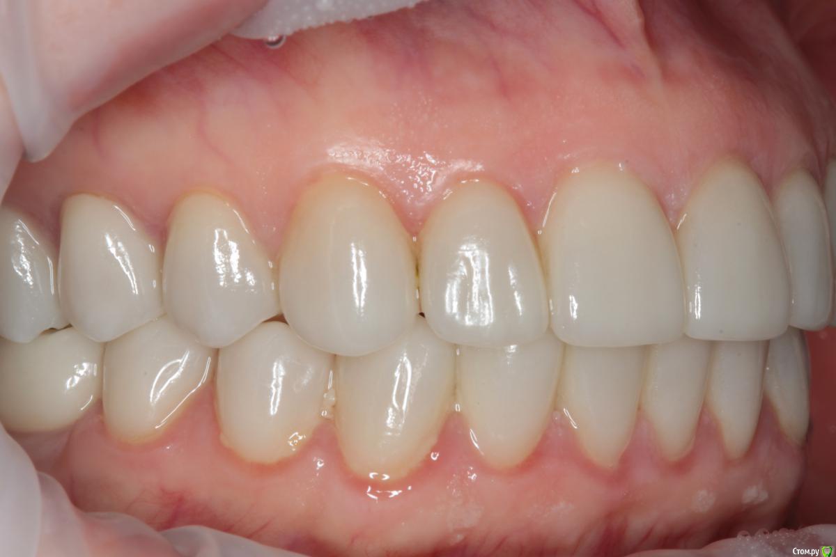
Чертков Александр Опубликовано 18 января, 2018 Автор Поделиться Опубликовано 18 января, 2018 Прекрасно.А что за материал коронок в боковом отделеСпасибо!3.5-3.7, 4.6, 4.7 - облицованный диоксид циркония, остальное E.max Ссылка на комментарий
Чертков Александр Опубликовано 18 января, 2018 Автор Поделиться Опубликовано 18 января, 2018 Саня , зубы к тебе поеду делатьWelcome! Ссылка на комментарий
chervoncevdaniil Опубликовано 18 января, 2018 Поделиться Опубликовано 18 января, 2018 Фронт виниры или это полные коронки? Ссылка на комментарий
Чертков Александр Опубликовано 18 января, 2018 Автор Поделиться Опубликовано 18 января, 2018 Фронт виниры или это полные коронки?В\ч виниры 360, н\ч без перекрытия язычной Ссылка на комментарий
bakagaidzin Опубликовано 18 января, 2018 Поделиться Опубликовано 18 января, 2018 Вы бы хоть преп-оттиски выложили,что интересного в этих "пациентских" фотографиях? 2 Ссылка на комментарий
Чертков Александр Опубликовано 18 января, 2018 Автор Поделиться Опубликовано 18 января, 2018 Вы бы хоть преп-оттиски выложили,что интересного в этих "пациентских" фотографиях?А что Вам даст фото препа/оттиска? Ссылка на комментарий
bakagaidzin Опубликовано 18 января, 2018 Поделиться Опубликовано 18 января, 2018 мне они как врачу интересны.то что я вижу на фотографиях-это работа зубного техника 1 1 Ссылка на комментарий
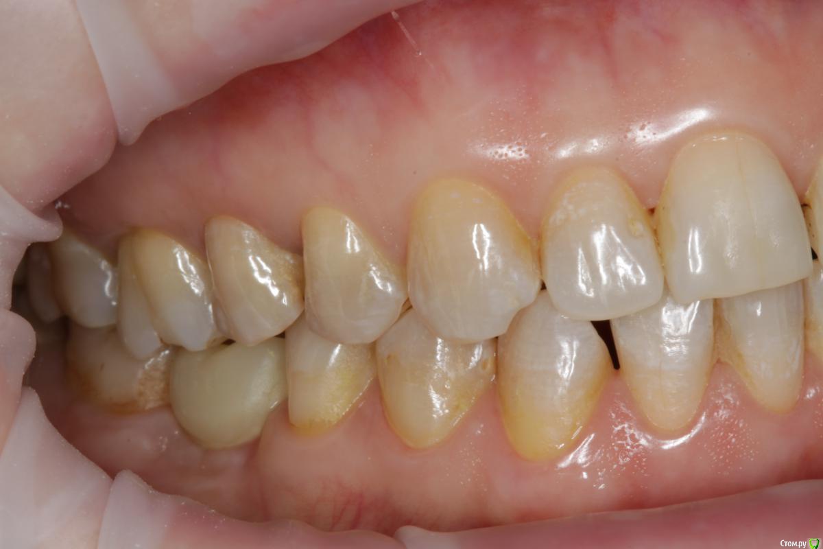
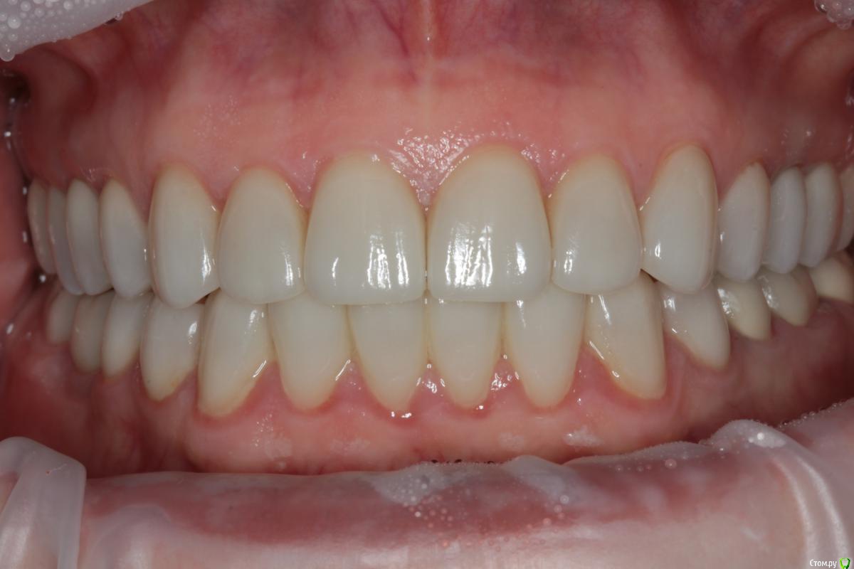
Dman Опубликовано 19 января, 2018 Поделиться Опубликовано 19 января, 2018 как пациент относится к желтым полоскам по краю и желтым контактам? Ссылка на комментарий
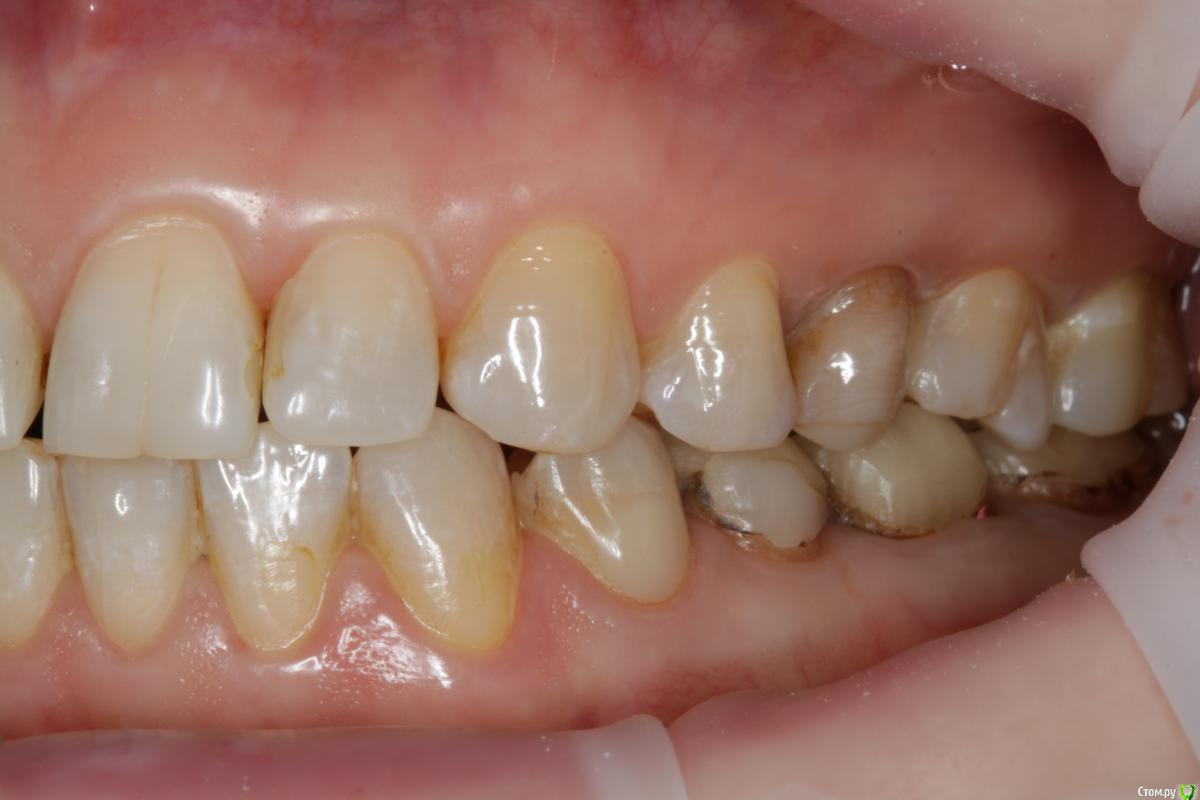
zxc Опубликовано 19 января, 2018 Поделиться Опубликовано 19 января, 2018 Десна внизу недовольная вроде, нет? Ссылка на комментарий
bakagaidzin Опубликовано 20 января, 2018 Поделиться Опубликовано 20 января, 2018 Десна внизу недовольная вроде, нет? ага.а может просто пац не дочищает Ссылка на комментарий
kramer Опубликовано 20 января, 2018 Поделиться Опубликовано 20 января, 2018 Из чего были времяшки, и каков срок ношения? Ссылка на комментарий
Чертков Александр Опубликовано 22 января, 2018 Автор Поделиться Опубликовано 22 января, 2018 как пациент относится к желтым полоскам по краю и желтым контактам?Без замечаний Ссылка на комментарий
Чертков Александр Опубликовано 22 января, 2018 Автор Поделиться Опубликовано 22 января, 2018 Десна внизу недовольная вроде, нет?Гигиена "прихрамывает" на обе ноги Ссылка на комментарий
Чертков Александр Опубликовано 22 января, 2018 Автор Поделиться Опубликовано 22 января, 2018 Из чего были времяшки, и каков срок ношения?Luxatemp BLПримерно 2 месяца Ссылка на комментарий
Чертков Александр Опубликовано 22 января, 2018 Автор Поделиться Опубликовано 22 января, 2018 мне они как врачу интересны.то что я вижу на фотографиях-это работа зубного техникаТолько эта...фото оттисков нет 3 Ссылка на комментарий
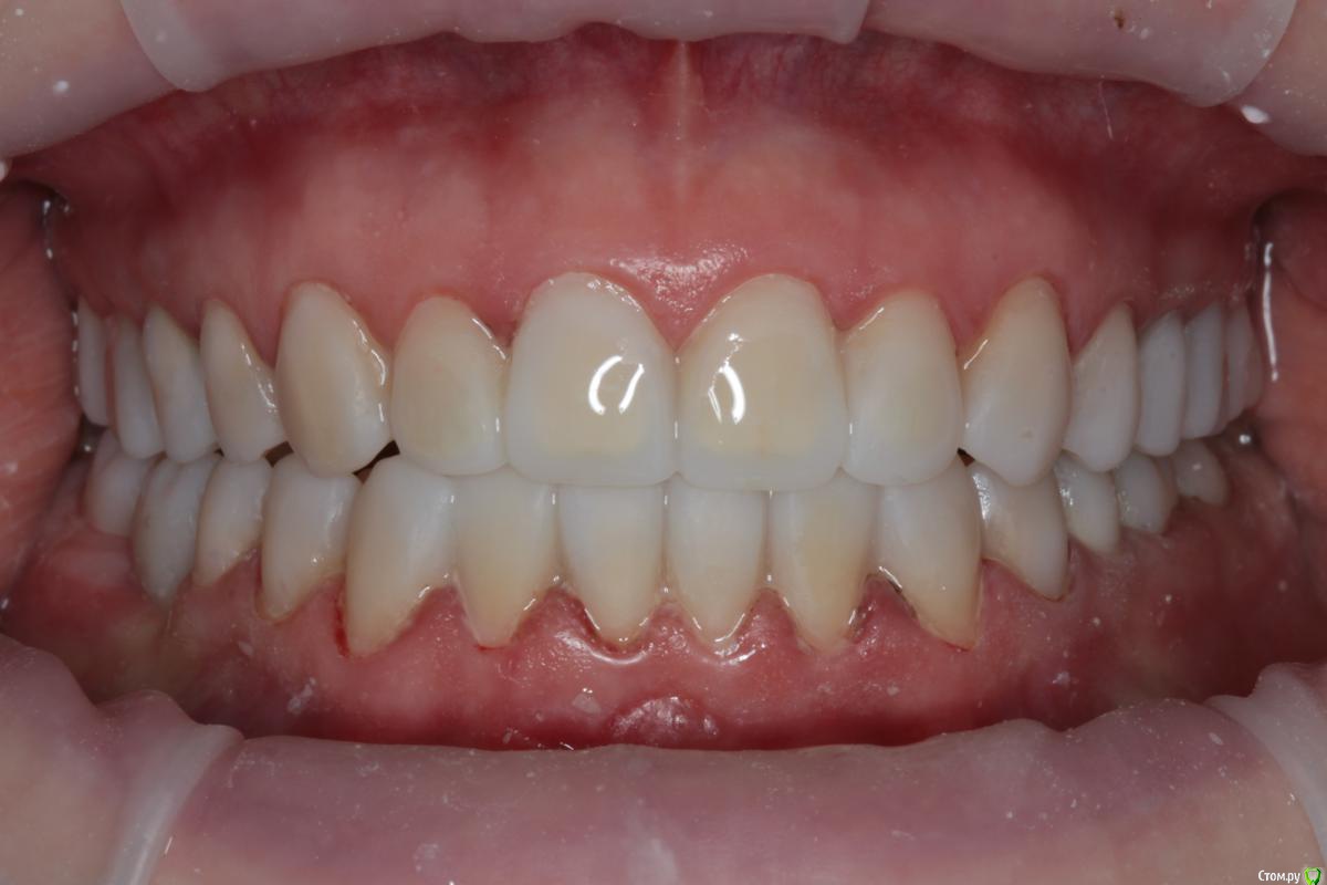
Дмитрий Л. Опубликовано 24 января, 2018 Поделиться Опубликовано 24 января, 2018 Красиво. Ссылка на комментарий
Freelancer1981 Опубликовано 24 января, 2018 Поделиться Опубликовано 24 января, 2018 удаляйте фото из цитатТолько эта...фото оттисков неткакой толщины фронтальные коронки? Ссылка на комментарий
Чертков Александр Опубликовано 25 января, 2018 Автор Поделиться Опубликовано 25 января, 2018 какой толщины фронтальные коронки?Не измерял Ссылка на комментарий
Чертков Александр Опубликовано 25 января, 2018 Автор Поделиться Опубликовано 25 января, 2018 Красиво.Спасибо! Ссылка на комментарий
Freelancer1981 Опубликовано 25 января, 2018 Поделиться Опубликовано 25 января, 2018 Не измеряла вообще небно сколько убираете под имакс? Ссылка на комментарий
Чертков Александр Опубликовано 25 января, 2018 Автор Поделиться Опубликовано 25 января, 2018 а вообще небно сколько убираете под имакс?От 0.5 до 1.0. Иногда вообще не убираю (пояснять "когда" не надо ? )...неровности сглаживаю и уступ формирую. Ссылка на комментарий
Freelancer1981 Опубликовано 25 января, 2018 Поделиться Опубликовано 25 января, 2018 От 0.5 до 1.0. Иногда вообще не убираю (пояснять "когда" не надо ? )...неровности сглаживаю и уступ формирую.Вам техник не гворит что 0.5 это мало?)Я сам люблю не больше 0.5,но обычно это нытье..чот так мало,только каркас помещается и тд. Ссылка на комментарий
Рекомендуемые сообщения
Для публикации сообщений создайте учётную запись или авторизуйтесь
Вы должны быть пользователем, чтобы оставить комментарий
Создать аккаунт
Зарегистрируйте новый аккаунт в нашем сообществе. Это очень просто!
Регистрация нового пользователяВойти
Уже есть аккаунт? Войти в систему.
Войти