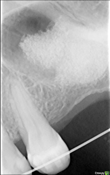
shilka Опубликовано 10 января, 2018 Поделиться Опубликовано 10 января, 2018 Добрый день коллеги! Нужен совет. Пациентка делала синус-лифт в другой клинике, но имеет желание поставить имплант у меня. 6 месяцев после лифта прошли,но глядя на снимок меня обуревают некоторые сомнения. Ссылка на комментарий
Bysh Опубликовано 10 января, 2018 Поделиться Опубликовано 10 января, 2018 КТ бы, а то прицельный мало информативен 1 Ссылка на комментарий
shilka Опубликовано 10 января, 2018 Автор Поделиться Опубликовано 10 января, 2018 КТ бы, а то прицельный мало информативенда думаю тоже сделать.Но вообще напрягает узкая бухта, есть вероятность синусита Ссылка на комментарий
Тимур86 Опубликовано 10 января, 2018 Поделиться Опубликовано 10 января, 2018 вот на кт и увидим 1 Ссылка на комментарий
shilka Опубликовано 10 января, 2018 Автор Поделиться Опубликовано 10 января, 2018 КТ бы, а то прицельный мало информативенДобрые люди советуют порошочку добавить,но методика не совсем ясна.У меня в лифте опыт небольшой,с отгибанием стенки делаю.Здесь такой фокус не прокатит.Как можно сделать?Вынос окна?или по типу закрытого синус лифтинга? Ссылка на комментарий
TIGER Опубликовано 11 января, 2018 Поделиться Опубликовано 11 января, 2018 Добрые люди советуют порошочку добавить,но методика не совсем ясна.У меня в лифте опыт небольшой,с отгибанием стенки делаю.Здесь такой фокус не прокатит.Как можно сделать?Вынос окна?или по типу закрытого синус лифтинга?Кто советует и зачем?тут просто инсталлировать имплант и всё....может десны добавить ещё Ссылка на комментарий
shilka Опубликовано 12 января, 2018 Автор Поделиться Опубликовано 12 января, 2018 Кто советует и зачем?тут просто инсталлировать имплант и всё....может десны добавить В анамнезе после этого лифта был синусит, так как другой клинике делали,не хочется быть-"кто последний тот и папа"))). И проекция установки импланта такая,что в бухту имплант попадает,ближе к 7ке если только ставить. КТ постараюсь сделать,выложу Ссылка на комментарий
___49___ Опубликовано 15 марта, 2019 Поделиться Опубликовано 15 марта, 2019 -"кто последний тот и папа" Вы очень хотите стать папой ? или вас принуждает начальство ? 1 Ссылка на комментарий
Bier Опубликовано 15 марта, 2019 Поделиться Опубликовано 15 марта, 2019 Что за гадание на кофейной гуще? Это даже не орто, прицельный снимок! Что вы хотите на нем увидеть? Делайте КТ и будем обсуждать! Ссылка на комментарий
Рекомендуемые сообщения
Для публикации сообщений создайте учётную запись или авторизуйтесь
Вы должны быть пользователем, чтобы оставить комментарий
Создать аккаунт
Зарегистрируйте новый аккаунт в нашем сообществе. Это очень просто!
Регистрация нового пользователяВойти
Уже есть аккаунт? Войти в систему.
Войти