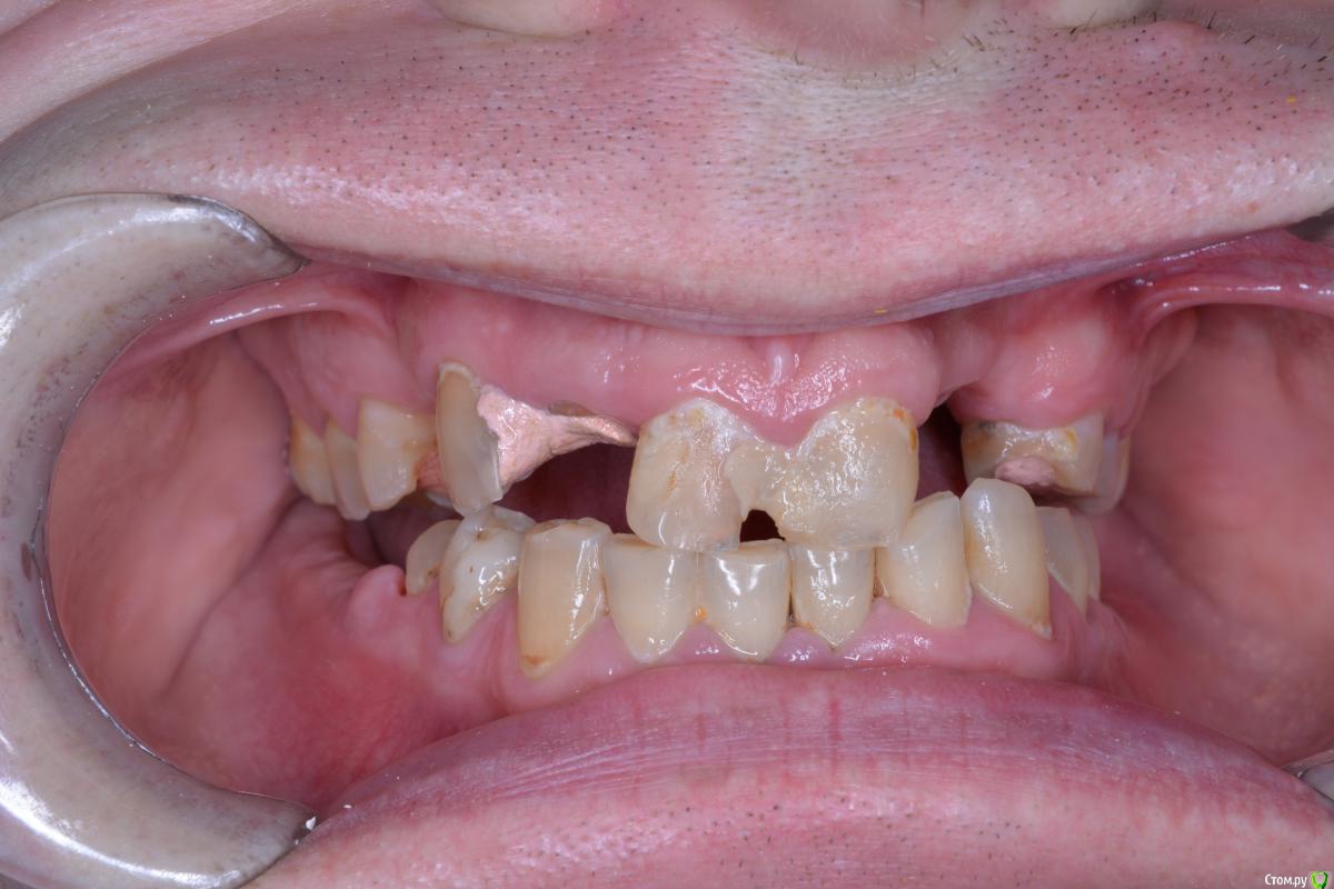
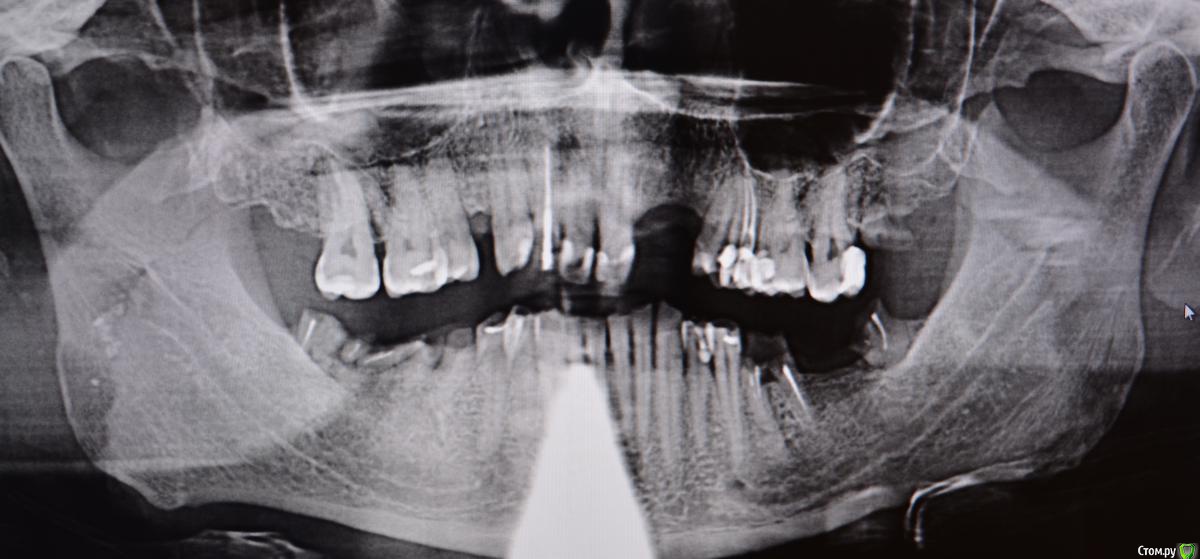
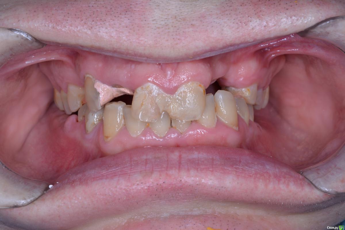
alekcandr ovs. Опубликовано 9 января, 2018 Поделиться Опубликовано 9 января, 2018 Пациент 43 года, очень боялся стоматологов и доболтаться до такого, с чего начать ???Мой предварительный план лечения депрограмация ,регистрация Ц.С, поднятие прикуса , Wax up ,хир.удлинение 1.1,1.6,1.7,2.1,2.4,2.5,2.6,2.7,имплантация 3,4 сегмент, тотал В.Ч, Н.Ч мостовидные протезы 1.5--1.3----1.1 2.1-------2.4,2.5.может искус.десна фронт !!!! 1. Вопрос чем лучше депрограмировать и найти Ц.С ????2.На сколь максимум можно удлинять моляры В.Ч ограничитель трифуркация ??? 3. Коллеги помогите сложный для меня случай!!! Всем добра Ссылка на комментарий
Freelancer1981 Опубликовано 9 января, 2018 Поделиться Опубликовано 9 января, 2018 пусть техник загипсуется в цс и сделает восковое поверх бокового сегмента(где зубоаль-ое выдвижение),так будет легче понять какие удалит.покрыть коронками или сделать ортоинтрузию.Цс можно джигом.Всегда проверяйте высоту на которой вы хотите протезироваться,делайте кт сустава,а то можно поднять мм на 4-5 а потомполучить осложнения,растянутые .мышцы всегда будут стремиться рассабиться-отсюда сколы на потсоянных реставрациях. Ссылка на комментарий
alekcandr ovs. Опубликовано 9 января, 2018 Автор Поделиться Опубликовано 9 января, 2018 пусть техник загипсуется в цс и сделает восковое поверх бокового сегмента(где зубоаль-ое выдвижение),так будет легче понять какие удалит.покрыть коронками или сделать ортоинтрузию.Цс можно джигом.Всегда проверяйте высоту на которой вы хотите протезироваться,делайте кт сустава,а то можно поднять мм на 4-5 а потомполучить осложнения,растянутые .мышцы всегда будут стремиться рассабиться-отсюда сколы на потсоянных реставрациях. я предполагаю, смотря на стираемость что прикус снижен где-то на 1- 1.5 мм + поднять на 2мм , на времянках думаю месяца 3 ! Если на времянках все будет ок, Постоянное протезирование! Спасибо за ответ! Джиг сами делаете или стандартный??? Ссылка на комментарий
chervoncevdaniil Опубликовано 10 января, 2018 Поделиться Опубликовано 10 января, 2018 (изменено) А как вы зарегестрируете джигом при концевых дефектах?Байт- силикон на слизистую? Изменено 10 января, 2018 пользователем chervoncevdaniil Ссылка на комментарий
alekcandr ovs. Опубликовано 10 января, 2018 Автор Поделиться Опубликовано 10 января, 2018 А как вы зарегестрируете джигом при концевых дефектах?Байт- силикон на слизистую?импланты и упор на ФДМ !!! Подскажите как Вы бы начинали такую роботу , как регис.... бы Ц.С ??? А да , хотел Вас спросить, знаю что Вы не так давно начили роботу в бино 3.5 кажется, как впечатления, а то думаю брать такие же ??? Ссылка на комментарий
chervoncevdaniil Опубликовано 10 января, 2018 Поделиться Опубликовано 10 января, 2018 импланты и упор на ФДМ !!! Подскажите как Вы бы начинали такую роботу , как регис.... бы Ц.С ??? А да , хотел Вас спросить, знаю что Вы не так давно начили роботу в бино 3.5 кажется, как впечатления, а то думаю брать такие же ???Я через beaty pink и alluwax регистрирую,в принципе,если с опорой на формики,то норм.По поводу бино-отлично,для тех целей,которые мне нужно такого увеличения хватает,желания купить призмы у меня пока не появилось,т.к. в практике процентов 60-70-это обычная мк, и только 30-40-безметалл.Считаю,что покупка призм с большим увеличением актуальна только для врачей(а самое главного,чтобы у них был такой же техник),которые готовы заморачиваться с экстримально тонкими реставрациями .Никто на текущий момент меня не переубедит,что я в призмах отпрепарирую качественнее,чем в галилеях.Но опять же,может когда-нибудь я свое мнение изменю,кто знает Ссылка на комментарий
Freelancer1981 Опубликовано 10 января, 2018 Поделиться Опубликовано 10 января, 2018 я предполагаю, смотря на стираемость что прикус снижен где-то на 1- 1.5 мм + поднять на 2мм , на времянках думаю месяца 3 ! Если на времянках все будет ок, Постоянное протезирование! Спасибо за ответ! Джиг сами делаете или стандартный???стандарт Ссылка на комментарий
Freelancer1981 Опубликовано 10 января, 2018 Поделиться Опубликовано 10 января, 2018 (изменено) А как вы зарегестрируете джигом при концевых дефектах?Байт- силикон на слизистую?пусть делает на жестком базисе с обычнам восковым валиком на н.ч. как при полной(частичной)потере.или на формиках как Даниил предложил Изменено 10 января, 2018 пользователем Freelancer1981 Ссылка на комментарий
bakagaidzin Опубликовано 10 января, 2018 Поделиться Опубликовано 10 января, 2018 тут или вариант на формиках через джиг,или через функциограф на валиках.или не заморачиваться и анатомо-физиологическим на валиках. Ссылка на комментарий
alekcandr ovs. Опубликовано 10 января, 2018 Автор Поделиться Опубликовано 10 января, 2018 Все больтут или вариант на формиках через джиг,или через функциограф на валиках.или не заморачиваться и анатомо-физиологическим на валиках. анатомо-физиологическим это грубо говоря высота покоя минус 1.5-2мм окклюзиях ??? Ссылка на комментарий
alekcandr ovs. Опубликовано 10 января, 2018 Автор Поделиться Опубликовано 10 января, 2018 Я через beaty pink и alluwax регистрирую,в принципе,если с опорой на формики,то норм.По поводу бино-отлично,для тех целей,которые мне нужно такого увеличения хватает,желания купить призмы у меня пока не появилось,т.к. в практике процентов 60-70-это обычная мк, и только 30-40-безметалл.Считаю,что покупка призм с большим увеличением актуальна только для врачей(а самое главного,чтобы у них был такой же техник),которые готовы заморачиваться с экстримально тонкими реставрациями .Никто на текущий момент меня не переубедит,что я в призмах отпрепарирую качественнее,чем в галилеях.Но опять же,может когда-нибудь я свое мнение изменю,кто знает работаете только на 12 в зеркало ? Как у Вас пройшла адаптация к увеличению , были ли сложности, намного увеличилось время обработки зубов??? Ссылка на комментарий
molchanoff Опубликовано 10 января, 2018 Поделиться Опубликовано 10 января, 2018 В лабе закажите жесткий базис без валиков с передней накусочной площадкой на н/ч, на ней депрограмируете и найдете цс и добьетесь его повторяемость, потом на базис вместо валиков силикон и все. 4 Ссылка на комментарий
alekcandr ovs. Опубликовано 10 января, 2018 Автор Поделиться Опубликовано 10 января, 2018 (изменено) Molchanoff можете примерно схематически или фото показать как должен выглядит этот валик с накусочной площадкой ??? . И пожалуйста протокол депрограмации с этим валиком. Пожалуйста очень надо!!! В лабе закажите жесткий базис без валиков с передней накусочной площадкой на н/ч, на ней депрограмируете и найдете цс и добьетесь его повторяемость, потом на базис вместо валиков силикон и все. Изменено 10 января, 2018 пользователем alekcandr ovs. 1 Ссылка на комментарий
StomTYV Опубликовано 11 января, 2018 Поделиться Опубликовано 11 января, 2018 Сделайте диагностику в артикуляторе. Найдите положение верхней челюсти. Найдите положение нижней челюсти, как вариант можно и анатомо- физиологическим методом, как ориентир можно использовать индекс Шимбачи. По диагностике станет видно, что делать с верхними молярами. Сделать восковую моделировку в артикуляторе, затем несъёмные временные коронки. Пускай походит так, если жалоб нет, постоянное протезирование делать на этой же высоте. Ссылка на комментарий
molchanoff Опубликовано 11 января, 2018 Поделиться Опубликовано 11 января, 2018 Molchanoff можете примерно схематически или фото показать как должен выглядит этот валик с накусочной площадкой ??? . И пожалуйста протокол депрограмации с этим валиком. Пожалуйста очень надо!!! П. Доусон Функциональная окклюзия, изучайте, и пока не изучите этого пациента не трогайте. Ссылка на комментарий
Freelancer1981 Опубликовано 11 января, 2018 Поделиться Опубликовано 11 января, 2018 П. Доусон Функциональная окклюзия, изучайте, и пока не изучите этого пациента не трогайте.У Доусона как раз и написано,что если есть возможность надо протезироваться на исходной высоте. Ссылка на комментарий
molchanoff Опубликовано 11 января, 2018 Поделиться Опубликовано 11 января, 2018 У Доусона как раз и написано,что если есть возможность надо протезироваться на исходной высоте.Высота не так важна как цс. Если цс отличается от привычной окклюзии, то выбирать при тотале нужно цс. А высоту на времянках нужно ловить. Ссылка на комментарий
Freelancer1981 Опубликовано 11 января, 2018 Поделиться Опубликовано 11 января, 2018 Высота не так важна как цс. Если цс отличается от привычной окклюзии, то выбирать при тотале нужно цс. А высоту на времянках нужно ловить.Естессно.Цс в приоритете,я просто не стал уточнять Ссылка на комментарий
AndyAndy Опубликовано 11 января, 2018 Поделиться Опубликовано 11 января, 2018 Передний депрограмматор. Это картинка из интернета. Можно поаккуратней, поменьше и потоньше, но смысл одинаков Ссылка на комментарий
alekcandr ovs. Опубликовано 11 января, 2018 Автор Поделиться Опубликовано 11 января, 2018 Коллеги всем большое спасибо за советы, даже не знаю чтобы я без Вас делал , будем лечить!!! Ещё раз всем спасибо !!! Ссылка на комментарий
Freelancer1981 Опубликовано 12 января, 2018 Поделиться Опубликовано 12 января, 2018 тут все братаны) Ссылка на комментарий
molchanoff Опубликовано 12 января, 2018 Поделиться Опубликовано 12 января, 2018 братаны во дворе семечки лузгают Ссылка на комментарий
Audutor Опубликовано 12 января, 2018 Поделиться Опубликовано 12 января, 2018 Передний депрограмматор. Это картинка из интернета. Можно поаккуратней, поменьше и потоньше, но смысл одинаковДепрограмматор можно из протемпа или любого другого пластика за 5 минут сваять. 1 Ссылка на комментарий
bakagaidzin Опубликовано 12 января, 2018 Поделиться Опубликовано 12 января, 2018 (изменено) Депрограмматор можно из протемпа или любого другого пластика за 5 минут сваять.это депрограмматор длительного ношения,по типу Койса Изменено 12 января, 2018 пользователем bakagaidzin 1 Ссылка на комментарий
Freelancer1981 Опубликовано 12 января, 2018 Поделиться Опубликовано 12 января, 2018 братаны во дворе семечки лузгаютответил в личке Ссылка на комментарий
Рекомендуемые сообщения
Для публикации сообщений создайте учётную запись или авторизуйтесь
Вы должны быть пользователем, чтобы оставить комментарий
Создать аккаунт
Зарегистрируйте новый аккаунт в нашем сообществе. Это очень просто!
Регистрация нового пользователяВойти
Уже есть аккаунт? Войти в систему.
Войти