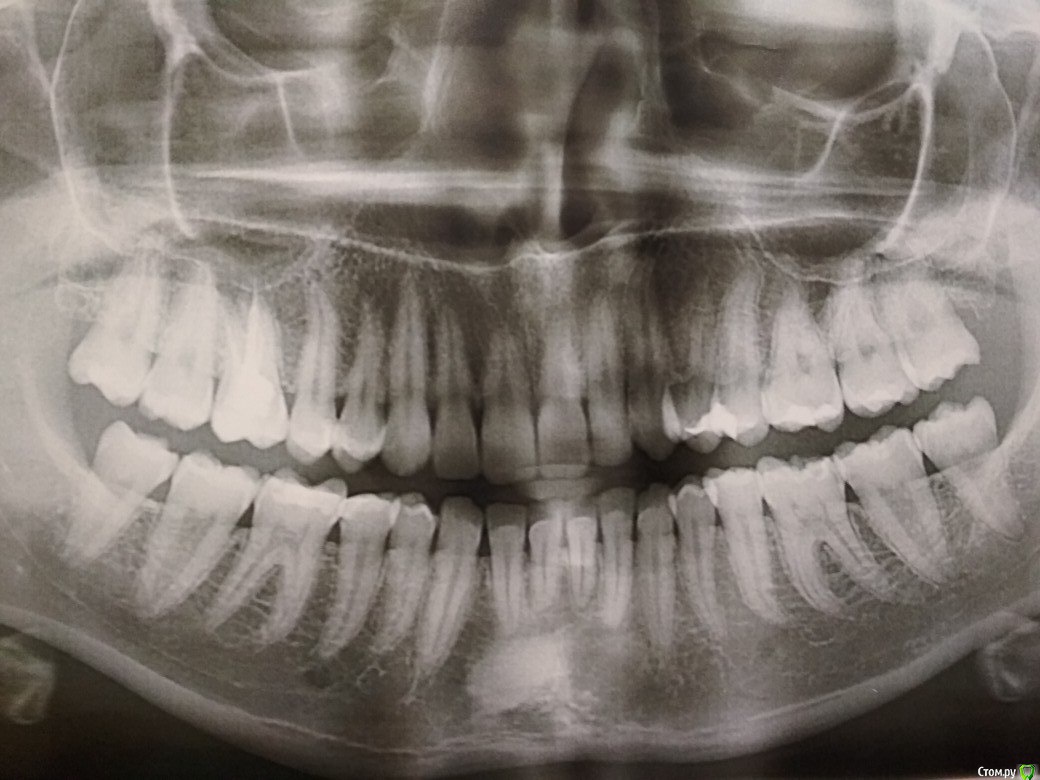
Стерхова Юлия Опубликовано 4 января, 2018 Поделиться Опубликовано 4 января, 2018 Здравствуйте! Достаточно давно, около 6-7 лет назад в связи с образованием глубокого кариеса мне была депульпирована верхняя правая шестёрка. Зуб не беспокоил все это время до декабря 2017 года. В один момент зуб начал периодически побаливать, в первый визит стоматолог предположил, что дело в оголившейся шейке. Через пару недель зуб перестал ныть, но появилась сильная боль при надкусывании: челюсть в покое 15-20 минут - зубы смыкаются - сильная боль. Так же при пережевывании чего-то твёрдого. С такой жалобой обратилась к тому же врачу. В клинике сделал прицельный снимок (на руки не выдали), доктор сказал все хорошо, каналы в нормальном состоянии, болит на погоду и должно пройти. Прошел месяц, боль осталась, я сделала панорамный снимок, чтобы исключить проблемы с соседними зубами, обратилась к другому врачу. Новый врач выписала ибупрофен 5 дней, тоже сказала что на погоду болит. Курс сегодня закончился, боль сохраняется в ночное время, днём почти отсутствует. Врач предложила перепломбировать каналы, если противовоспалительное не поможет, хотя на снимке нет показаний для этого. Вопрос в следующем: стоит ли соглашаться на перепломбировку или возможны иные методы лечения? Может, что-та на снимке все же не так? Снимок прикрепляю. Ссылка на комментарий
dok1 Опубликовано 4 января, 2018 Поделиться Опубликовано 4 января, 2018 Снимок неинформативен. Но раз болит - надо перелечивать. Просто так болеть не будет. Ссылка на комментарий
Стерхова Юлия Опубликовано 5 января, 2018 Автор Поделиться Опубликовано 5 января, 2018 Спасибо за ответ! Снимок к сожалению отпечатан на фотобумаге, иначе не получилось его сфотографировать. Ссылка на комментарий
Стерхова Юлия Опубликовано 19 января, 2018 Автор Поделиться Опубликовано 19 января, 2018 спасибо за рекомендации. посетила уже третьего врача, тот тоже не нашел ничего, кроме воспаления десен (есть карман у зуба мудрости на этой же стороне сверху). предположил, что дело в дёснах, но меня этот ответ не удовлетворил. начинаю подозревать, что болят другие зубы, но уже вообще ни в чем не уверена ( имеет ли смысл делать 3д снимок? Ссылка на комментарий
Жандос Муратович Опубликовано 19 января, 2018 Поделиться Опубликовано 19 января, 2018 3д снимок сделайте Ссылка на комментарий
Стерхова Юлия Опубликовано 1 марта, 2018 Автор Поделиться Опубликовано 1 марта, 2018 (изменено) Снова здравствуйте! Так зуб и не хочет оставить меня в покое. С момента последнего сообщения был сделан 3д снимок (прилагаю ссылку с ним на файлообменник: https://ru.files.fm/u/u275ad6j),на котором врач нашёл недепульпированный 4 канал. Неделю назад этот канал прочистили (оказался пустым), поставили временную пломбу, но боль не исчезла, только усилилась. На следующем приеме врач сделал прицельный снимок и нашёл незапломбированный до конца третий канал, а также хроническое воспаление. Было принято решение перелечить все оставшиеся три канала, чтобы не допустить повторения воспалительного процесса. При этом даже через двойную дозу анестезии я чувствовала при лечении сильнейшую боль. Так же была по итогу поставлена временная пломба, выписали антибиотик и обезболивающее. Прошло двое суток после лечения, сильная боль во всем зубе продолжает беспокоить - сильней во много раз, чем до лечения. Нормально ли это? Или все-таки даже и это лечение не помогает? Возможно ли, что дело дойдет до удаления? Изменено 1 марта, 2018 пользователем Стерхова Юлия Ссылка на комментарий
red_butler Опубликовано 1 марта, 2018 Поделиться Опубликовано 1 марта, 2018 прилагаю ссылку с ним на файлообменниквыкладывайте срезы Кт, весь архив мало кто захочет, или сможет скачать.А лучше сделать новый прицельный снимок Ссылка на комментарий
Стерхова Юлия Опубликовано 1 апреля, 2018 Автор Поделиться Опубликовано 1 апреля, 2018 Выкладываю старые срезы с опозданием(Я уже не знаю, как быть. Подскажите, пожалуйста! В общем, каналы уже месяц перелечиваются под микроскопом, диагноз - периодонтит. Примерно каждую неделю все прочищается и закладывается под временную пломбу лекарство, но результата нет - сохраняется боль в ночное время и во время очищения каналов. В гайморовой гранулёма. Несмотря на все это, хирург выступает категорически против удаления, терапевт тоже, на 7.04 запланирована пломбировка. Но на этой неделе я обратилась к ЛОРу, он поставил диагноз тонзиллит (на фоне инфицирования зуба), гайморит (из-за гранулёмы), а также нашел остаток пломбировочного материала в пазухе. Он - за удаление. Хирург наличие пломбы в пазухе отрицает. Кому верить в данной ситуации? Когда лучше сделать новое КТ: до или после пломбировки? И стоит ли пломбировать? Своим врачам я доверяю, но ЛОР заставил меня засомневаться, как и сохранение болей( Ссылка на комментарий
Стерхова Юлия Опубликовано 3 апреля, 2018 Автор Поделиться Опубликовано 3 апреля, 2018 Вот новые срезы КТ, сделанного вчера. Интересует белый кончик у канала (первый скриншот) - это резорбция? Ссылка на комментарий
Рекомендуемые сообщения
Для публикации сообщений создайте учётную запись или авторизуйтесь
Вы должны быть пользователем, чтобы оставить комментарий
Создать аккаунт
Зарегистрируйте новый аккаунт в нашем сообществе. Это очень просто!
Регистрация нового пользователяВойти
Уже есть аккаунт? Войти в систему.
Войти