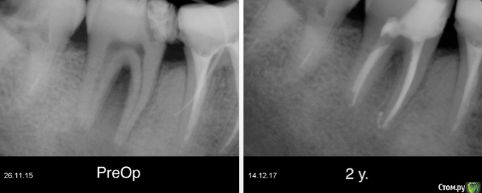
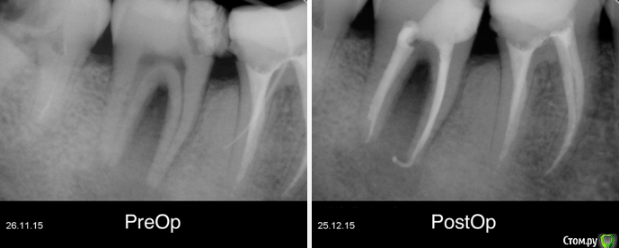
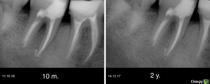
Гарриевич Опубликовано 22 декабря, 2017 Поделиться Опубликовано 22 декабря, 2017 (изменено) админы, если уже создавал такую тему, объедините пожалуйста абсолютно бессимптомный зуб, пациента ничего не беспокоило кроме... да нет, вообще ничего не беспокоило. Лечение в два посещения через гидроксид кальция. Обтурация инжектором. Будут вопросы спрашивайте, каких то еще особенностей сразу не вспомню PS сроки наблюдения 10 месяцев и два года Изменено 22 декабря, 2017 пользователем Гарриевич 8 Ссылка на комментарий
vse32 Опубликовано 22 декабря, 2017 Поделиться Опубликовано 22 декабря, 2017 Вот эта тема.http://forum.stom.ru/topic/33880-kista-mezhkornevaia/А 48 по прежнему живет и здравствует. Ссылка на комментарий
Brigita Опубликовано 22 декабря, 2017 Поделиться Опубликовано 22 декабря, 2017 Браво Ссылка на комментарий
Гарриевич Опубликовано 23 декабря, 2017 Автор Поделиться Опубликовано 23 декабря, 2017 Админы, удалите тему пожалуйста, нашлась первичная) Ссылка на комментарий
dentikl Опубликовано 23 декабря, 2017 Поделиться Опубликовано 23 декабря, 2017 (изменено) вопрос-1)на фото гутта в проекции фуркации 7 а на рентгене от 26 11.16-в проекции 6. 2)сколько держите под кальием 3)какой кальий используете. спасибо Изменено 23 декабря, 2017 пользователем dentikl Ссылка на комментарий
Гарриевич Опубликовано 23 декабря, 2017 Автор Поделиться Опубликовано 23 декабря, 2017 Скорее всего гутту съехала пока снимки делали. Вложения гидроокиси на 2 недели. В данном случае порошок чистого гидроксида кальция замешанный с водой непосредственно перед внесением. Также испольщую кальцетин технодентовский Ссылка на комментарий
Гарриевич Опубликовано 23 декабря, 2017 Автор Поделиться Опубликовано 23 декабря, 2017 Вот эта тема.http://forum.stom.ru/topic/33880-kista-mezhkornevaia/А 48 по прежнему живет и здравствует. Пока пациент не мотивирован, а доктору времени нет) БравоСпасибо Ссылка на комментарий
dentikl Опубликовано 23 декабря, 2017 Поделиться Опубликовано 23 декабря, 2017 Скорее всего гутту съехала пока снимки делали. Вложения гидроокиси на 2 недели. В данном случае порошок чистого гидроксида кальция замешанный с водой непосредственно перед внесением. Также испольщую кальцетин технодблагодарю Ссылка на комментарий
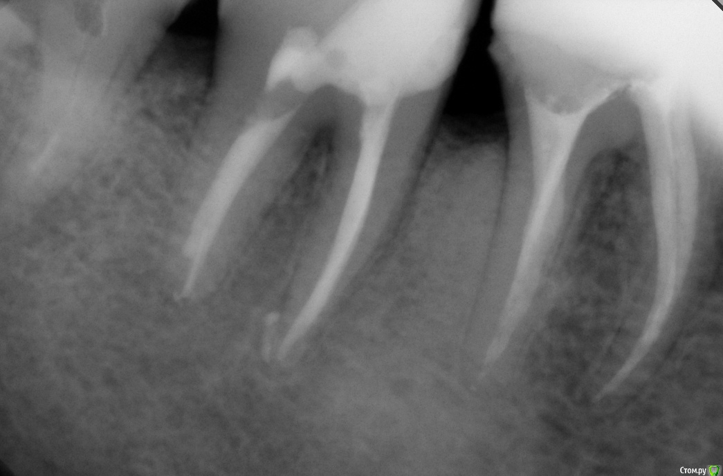
Гарриевич Опубликовано 15 сентября, 2019 Автор Поделиться Опубликовано 15 сентября, 2019 полное заживление, осмотр через 3 года 5 Ссылка на комментарий
Рекомендуемые сообщения
Для публикации сообщений создайте учётную запись или авторизуйтесь
Вы должны быть пользователем, чтобы оставить комментарий
Создать аккаунт
Зарегистрируйте новый аккаунт в нашем сообществе. Это очень просто!
Регистрация нового пользователяВойти
Уже есть аккаунт? Войти в систему.
Войти