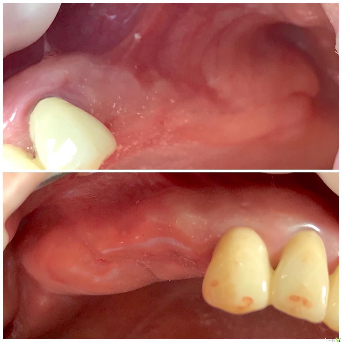
колесников Опубликовано 5 декабря, 2017 Поделиться Опубликовано 5 декабря, 2017 Пациентка N обратилась с жалобами на «выбухание дёсны» в обл 24. На клкт однотогенные кисты в/ч и значительные деформации гребня. От имплантации в перспективе категорически отказалась,потому было решено провести лишь подготовку гребня под чсп ( хотя было желание сделать открытый синус в обл 16/26 доступом через кистозную полость). Удаление причинных зубов без откидывания лоскута,вылущивание и кюретаж. Дефекты заполнены кортикальным аллографтом Sureoss,перекрыто бугром на ножке и vip ст. Был сдан чсп. Повторный визит через 7 мес. На клкт коегде кистозный свод просел. Видимо не достаточно графта было оставлено. Гребень выраженный,широкий. Случай показательный в плане эффективности и стабильности консервации лунки,очевидно что чсп не оказывает деформирующкно влияния на аугментированый гребень. По поводу удалить и подождать или удалить,заполнить и подождать,еще Carlos отмечал ,что кистозное выбухание в пазуху надо использовать для получения объема в зоне предстоящей имплантации. PS.Неудачи встречаются. Они связаны с нарушением герметизма лунки: некроз лоскута,распад сгустка и инфицирование графта. У меня было 2 жестокие неудачи,в первом случае пациент активный курильщик,второй любитель коньяка. В обоих случаях дополнительно применялся A-PRF ,но даже он не смог противостоять такому деструктивному влиянию агрессивных сред. 3 Ссылка на комментарий
Irouil Опубликовано 5 декабря, 2017 Поделиться Опубликовано 5 декабря, 2017 Коньяк то чем плох?))) Спасибо за кейс. А как фиксировали графт (если фиксировали)? 1 Ссылка на комментарий
Marika Опубликовано 5 декабря, 2017 Поделиться Опубликовано 5 декабря, 2017 Коньяк то чем плох?)))Количеством,видимо!))) Ну,м.б.,и качеством) Ссылка на комментарий
колесников Опубликовано 5 декабря, 2017 Автор Поделиться Опубликовано 5 декабря, 2017 Стикибон очень хорошо стабилизирует. В данном случае был просто смоченный в шприце графт. Легко вносится ,немного слипается. Закрываю «пробкой» из колапола,перекрыааю быстро заранее подготовленным лоскутом и фиксирую туго швами. 1 Ссылка на комментарий
Irouil Опубликовано 5 декабря, 2017 Поделиться Опубликовано 5 декабря, 2017 Стикибон очень хорошо стабилизирует. В данном случае был просто смоченный в шприце графт. Легко вносится ,немного слипается. Закрываю «пробкой» из колапола,перекрыааю быстро заранее подготовленным лоскутом и фиксирую туго швами.Стикибон - это плазма? Я просто не врубаюсь - либо протез волшебный и сидел неподвижно на слизистой/зубах, либо графт стабилизирован очень надежно. Я понимаю, что фибриновый клей и тугой лоскут придают стабильности, но как-то кажется что маловато. Их бин не прав? Ссылка на комментарий
Neilrus Опубликовано 5 декабря, 2017 Поделиться Опубликовано 5 декабря, 2017 Стикибон очень хорошо стабилизирует. В данном случае был просто смоченный в шприце графт. Легко вносится ,немного слипается. Закрываю «пробкой» из колапола,перекрыааю быстро заранее подготовленным лоскутом и фиксирую туго швами.Спасибо за случай. НАпомните, пожалуйста, фибриновый кле на каких оборотах и времени получается? Слипается только алло? Ссылка на комментарий
колесников Опубликовано 6 декабря, 2017 Автор Поделиться Опубликовано 6 декабря, 2017 Слипается все ,если правильно замешать. Я работаю с вакутейнер,там протокол 1 на красные и желтые 13/13000. (Кстати ,если кто искал PRF бокс,есть 2 шт,б/у,обращайтесь).Насчёт протеза. Представьте куб состоящий из двух половин ,где каждая половина Буква П. Сложите их вместе в виде куба.Применительно к гребню и протезу: одна половина у нас ограничена дном пазухи ,мезиальной стенкой (зуб рядом с дефектом) и дистальной (бугор). У протеза будут вестибулярная ,небная стенки и свод альвеолы. Все. Имеем сформирований куб с замкнутыми стенками. Куда будет «выдавливаться» графт? При том что у нас обычно сохраняется небная стенка,перегородки межкорневые и межзубные,стабилизирующие графт. Даже если нет костных стенок,есть периостальные,тоже довольно жесткий каркас,главное не отслаивать. Слабое звено это вершина гребня. Ссылка на комментарий
Тимур86 Опубликовано 6 декабря, 2017 Поделиться Опубликовано 6 декабря, 2017 (изменено) делит Изменено 6 декабря, 2017 пользователем Тимур86 Ссылка на комментарий
Рекомендуемые сообщения
Для публикации сообщений создайте учётную запись или авторизуйтесь
Вы должны быть пользователем, чтобы оставить комментарий
Создать аккаунт
Зарегистрируйте новый аккаунт в нашем сообществе. Это очень просто!
Регистрация нового пользователяВойти
Уже есть аккаунт? Войти в систему.
Войти