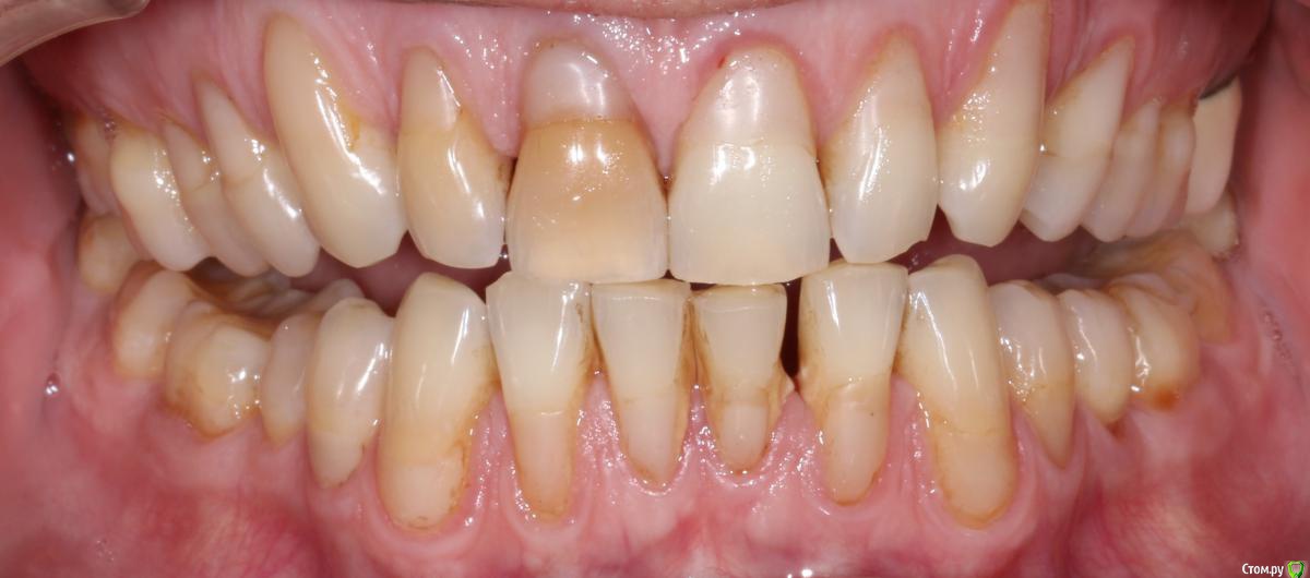
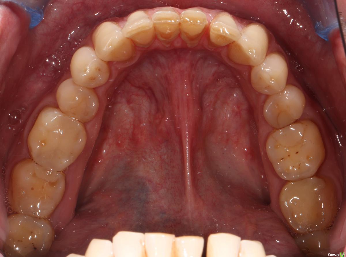
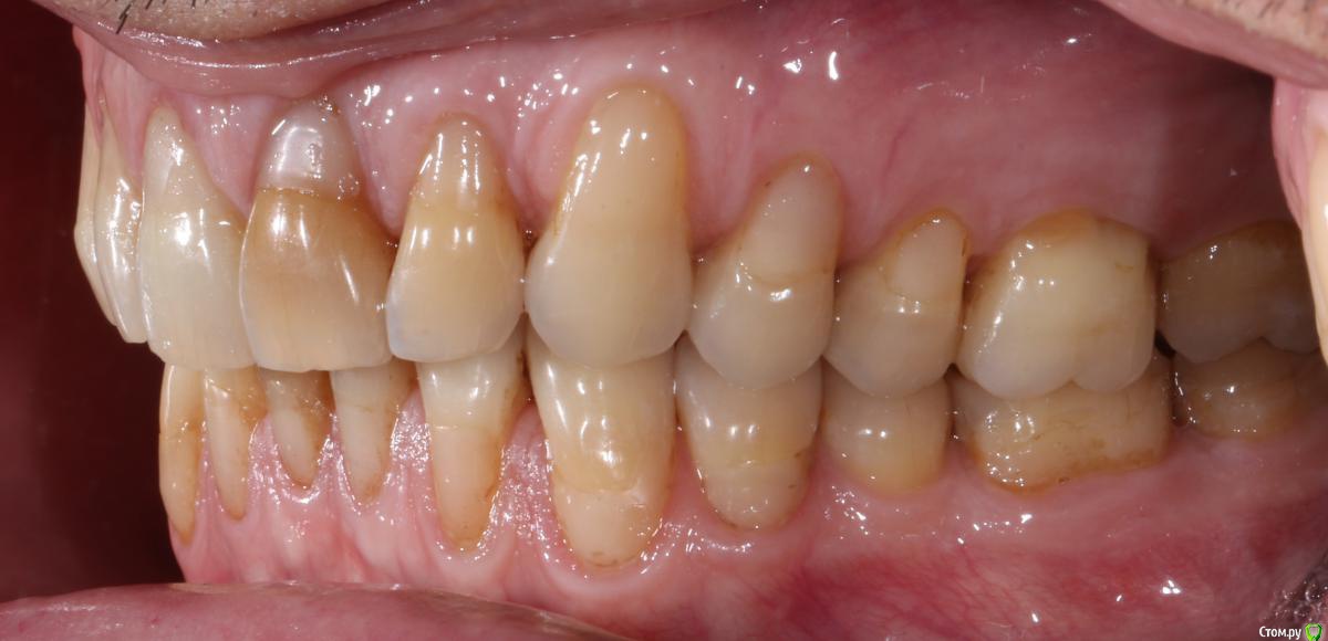
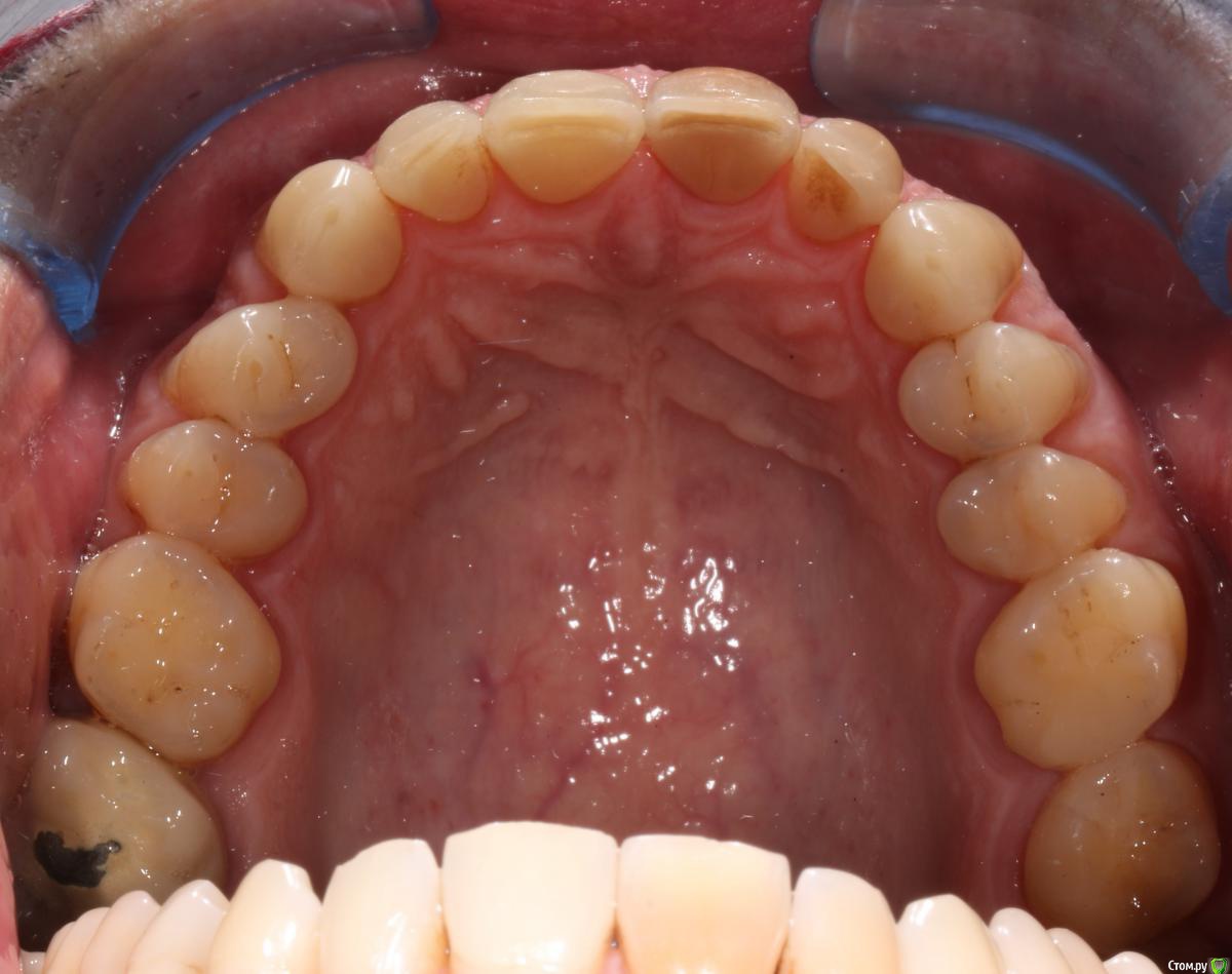
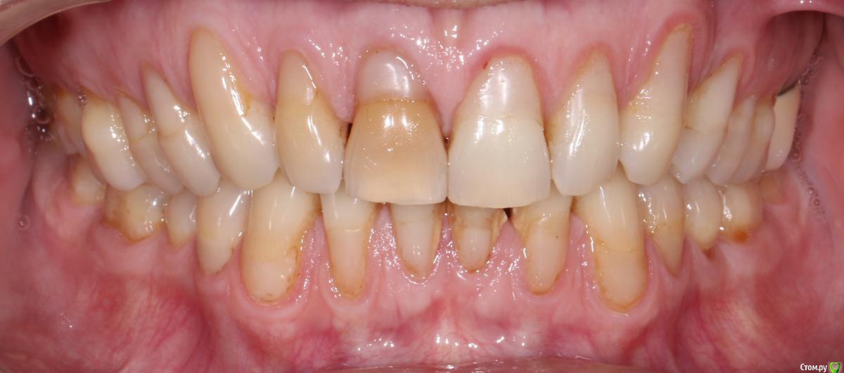
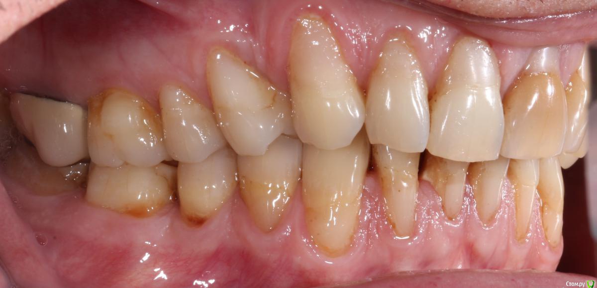
TonyVe4er Опубликовано 23 ноября, 2017 Поделиться Опубликовано 23 ноября, 2017 Добрый день коллеги! Нужна помощь коллективного разума.За консультацией обратился пациент Н. Жалобы на чувствительность зубов от термических раздражителей.За эстетикой не гонится, хочет максимально сохранить здоровье зубов в отдаленной перспективе.Со слов соматически - здоров. Скелет 2 класс, есть балансирующие контакты, паро проблемы, все в перешеечных дефектах.Начинаем с пародонтологии, дальше что?Срез КТ подгружу...С уважением Ссылка на комментарий
iya Опубликовано 23 ноября, 2017 Поделиться Опубликовано 23 ноября, 2017 Десенситизирующие средсва? Типа Фтор-Люкс. Ссылка на комментарий
AndyAndy Опубликовано 23 ноября, 2017 Поделиться Опубликовано 23 ноября, 2017 Интересный случай, на мой взгляд. Интересен прежде всего тем, что "соматически здоровому" пациенту надо донести о его проблемах: мышечно-окклюзионный дисбаланс, множественные рецессии, стираемость зубов и гиперчувствительность (уже как следствие)Я бы избавился от 2 класса для начала, чтобы дать свободу движений н/ч. Дальше обучение гигиене полости рта, закрытие рецессий. Ну и просится тут тотал: проведите нагрузочный тест на сустав, делайте мокап длительного ношения с дальнейшей заменой на керамические реставрации. Сколько лет пациенту? Ссылка на комментарий
iya Опубликовано 23 ноября, 2017 Поделиться Опубликовано 23 ноября, 2017 (изменено) Если не говорить об эстетике и есть проблемы с протетической плоскостью может быть как метод избирательное пришлифовывание зубов? Изменено 23 ноября, 2017 пользователем iya Ссылка на комментарий
TonyVe4er Опубликовано 23 ноября, 2017 Автор Поделиться Опубликовано 23 ноября, 2017 Пациенту 55 лет. Начнём с пародонтологии предложу ортодонтию, если даст добро загипсуемся и начнём с диагностического сетапа Ссылка на комментарий
chervoncevdaniil Опубликовано 24 ноября, 2017 Поделиться Опубликовано 24 ноября, 2017 Пациенту 55 лет. Начнём с пародонтологии предложу ортодонтию, если даст добро загипсуемся и начнём с диагностического сетапаА что даст в этом кейсе ортодонтия если все равно от тотальной ортопедии не уйти?Раскрыть саггитальную щель побольше планируете? Ссылка на комментарий
AndyAndy Опубликовано 24 ноября, 2017 Поделиться Опубликовано 24 ноября, 2017 А что даст в этом кейсе ортодонтия если все равно от тотальной ортопедии не уйти?Раскрыть саггитальную щель побольше планируете?Здесь 2 подкласс, верхние резцы завалены внутрь. Зачем при таком прикусе определять цс, поднимать высоту окклюзии для "правильной позиции н/ч" и возможно перепиливать зубы про препарировании? Ортодонтически здесь большинство вопросов решается Ссылка на комментарий
AndyAndy Опубликовано 24 ноября, 2017 Поделиться Опубликовано 24 ноября, 2017 Если не говорить об эстетике и есть проблемы с протетической плоскостью может быть как метод избирательное пришлифовывание зубов?Если есть суперконтакты и пациент ни в какую не хочет ничего делать, то шлифуйте Ссылка на комментарий
iya Опубликовано 24 ноября, 2017 Поделиться Опубликовано 24 ноября, 2017 В 55лет скоро пойдет возрастная резкая атрофия костей и "нестираемая"керамика выдаст слишком длинный наружный рычаг(особенно если поднять прикус),что осложнит течение пародонтита.Внутрикостная длинна зуба будет уменьшаться, а наружная -увеличиваться. Ссылка на комментарий
TonyVe4er Опубликовано 25 ноября, 2017 Автор Поделиться Опубликовано 25 ноября, 2017 А что даст в этом кейсе ортодонтия если все равно от тотальной ортопедии не уйти?Раскрыть саггитальную щель побольше планируете?Ортодонтия не исключает последующее протезированин 1 Ссылка на комментарий
Рекомендуемые сообщения
Для публикации сообщений создайте учётную запись или авторизуйтесь
Вы должны быть пользователем, чтобы оставить комментарий
Создать аккаунт
Зарегистрируйте новый аккаунт в нашем сообществе. Это очень просто!
Регистрация нового пользователяВойти
Уже есть аккаунт? Войти в систему.
Войти