Aleksey_Mironov Опубликовано 22 ноября, 2017 Поделиться Опубликовано 22 ноября, 2017 здравствуйте коллеги! можно ли сделать одномоментную имплатнтацию без грефта? кт естьб могу отправить Ссылка на комментарий
red_butler Опубликовано 22 ноября, 2017 Поделиться Опубликовано 22 ноября, 2017 Без грефта никак. )))Для использования графта есть показания, для его отсутствия тоже. Показывайте снимки. Ссылка на комментарий
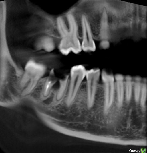
Aleksey_Mironov Опубликовано 22 ноября, 2017 Автор Поделиться Опубликовано 22 ноября, 2017 dostatocno? Ссылка на комментарий
Aleksey_Mironov Опубликовано 22 ноября, 2017 Автор Поделиться Опубликовано 22 ноября, 2017 pan Ссылка на комментарий
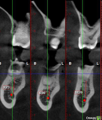
Irouil Опубликовано 22 ноября, 2017 Поделиться Опубликовано 22 ноября, 2017 Что за система имплантационная планируется? Нужен короткий имплантат с переключением платформ, если Анкилос то я бы графтил. В остальных случаях не стал бы, обошёлся бы сст и иф. Вы бы срезы на КТ по оси зуба показали и замеры в идеале от проекции края вестибулярной стенки на оси имплантата до пересечения оси с каналом. Думаю, выйдет миллиметров 11 Ссылка на комментарий
колесников Опубликовано 22 ноября, 2017 Поделиться Опубликовано 22 ноября, 2017 Не совсем корректные замеры для позиционирования импланта.Примите во внимание язычное поднутрение и вестибулярный край гребня. Думаю там рабочий размер 6мм. Если нет графта,я бы предложил ставить отсроченно. Имплант типа ТЛ,вестибулярно сст. Хотя мой выбор, при таком раскладе ,это одномоментно профайл с графтом и сст. 1 Ссылка на комментарий
red_butler Опубликовано 23 ноября, 2017 Поделиться Опубликовано 23 ноября, 2017 Я бы в данном случае, вел отсрочено. 5 Ссылка на комментарий
Irouil Опубликовано 23 ноября, 2017 Поделиться Опубликовано 23 ноября, 2017 Не совсем корректные замеры для позиционирования импланта.Примите во внимание язычное поднутрение и вестибулярный край гребня. Думаю там рабочий размер 6мм. Если нет графта,я бы предложил ставить отсроченно. Имплант типа ТЛ,вестибулярно сст. Хотя мой выбор, при таком раскладе ,это одномоментно профайл с графтом и сст.Точно, профайл. Забыл про них (не работаю( ) Ссылка на комментарий
Aleksey_Mironov Опубликовано 23 ноября, 2017 Автор Поделиться Опубликовано 23 ноября, 2017 qreft bez membrani vozmojno? ili mojno cem to zamenit membranu? Ссылка на комментарий
Aleksey_Mironov Опубликовано 23 ноября, 2017 Автор Поделиться Опубликовано 23 ноября, 2017 spasibo za otveti Ссылка на комментарий
Irouil Опубликовано 23 ноября, 2017 Поделиться Опубликовано 23 ноября, 2017 Графт без мембраны можно. Вместо мембраны (правильно было бы сказать не вместо, а а принципе) нужно подшивать сст вестибулярно. Вы с системой имплантов определились? Ссылка на комментарий
Aleksey_Mironov Опубликовано 23 ноября, 2017 Автор Поделиться Опубликовано 23 ноября, 2017 xoteli MIC no iz za finansovix problem pasienta i nadobnostu grefta zamenili na sistemu Implance Ссылка на комментарий
Irouil Опубликовано 23 ноября, 2017 Поделиться Опубликовано 23 ноября, 2017 Я бы предпочел отсроченно Ссылка на комментарий
Kovalov Igor Опубликовано 26 ноября, 2017 Поделиться Опубликовано 26 ноября, 2017 я бы через 2 месяца имплантировался... по бифуркации не нравится картина Ссылка на комментарий
Рекомендуемые сообщения
Для публикации сообщений создайте учётную запись или авторизуйтесь
Вы должны быть пользователем, чтобы оставить комментарий
Создать аккаунт
Зарегистрируйте новый аккаунт в нашем сообществе. Это очень просто!
Регистрация нового пользователяВойти
Уже есть аккаунт? Войти в систему.
Войти