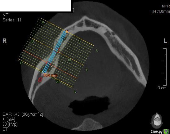
Павел7809 Опубликовано 21 ноября, 2017 Поделиться Опубликовано 21 ноября, 2017 Здравствуйте коллеги! Собственно ситуация на скринах. Для сосиджа как то экстремально большой объем. Блоки? Сетка?(ох как не хочется! последняя развалилась....) Крыша гаража? Из инструментария есть абсолютно все... Ссылка на комментарий
kamranchick Опубликовано 21 ноября, 2017 Поделиться Опубликовано 21 ноября, 2017 (изменено) Коротышки с десной не рассматриваете? с удалением 8ки Изменено 21 ноября, 2017 пользователем kamranchick Ссылка на комментарий
Павел7809 Опубликовано 21 ноября, 2017 Автор Поделиться Опубликовано 21 ноября, 2017 Коротышки с десной не рассматриваете? с удалением 8киинтересная идея...в принципе 2 астры туда влезают 4 на 6, боюсь просто эстетически получится некрасиво Ссылка на комментарий
kamranchick Опубликовано 21 ноября, 2017 Поделиться Опубликовано 21 ноября, 2017 ну десна и у меня не было случаев чтобы ктото по поводу 7ого в плане эстетики предъявлял претензии, думаю и у вас все будет хорошо Ссылка на комментарий
Павел7809 Опубликовано 21 ноября, 2017 Автор Поделиться Опубликовано 21 ноября, 2017 Платформы имплантов будут на уровне апексов соседних зубов. Это будет эстетический ад. Ссылка на комментарий
колесников Опубликовано 21 ноября, 2017 Поделиться Опубликовано 21 ноября, 2017 (изменено) Я бы рассмотрел астру профайл 4.5х9 +сст, либо штрауман 4.1х6 тл +сст,либо гараж и в 2 этапа. Изменено 21 ноября, 2017 пользователем колесников Ссылка на комментарий
kamranchick Опубликовано 22 ноября, 2017 Поделиться Опубликовано 22 ноября, 2017 Платформы имплантов будут на уровне апексов соседних зубов. Это будет эстетический ад.да о какой эстетике вы говорите когда речь идет о 7ых зубах? вы работы байкона видели?Оцените все осложнения и этапы костной пластики и эстетический вид коронки которая будет выше мм на 3, 3 месяца либо год реабилитации. уверен пациент выберет эстетический компромисс и вам тоже будет легче решить этот вопрос за счет десны и коротышей Ссылка на комментарий
Чертков Александр Опубликовано 22 ноября, 2017 Поделиться Опубликовано 22 ноября, 2017 Горизонтальная остеотомия здесь не пойдет, форма гребня не располагает. Сетка или Цитопласт. Ну или 3Д по Кури...если владеете. Безусловно с удалением 8го. Короткие импланты в данной ситуации я бы не стал использовать. 3 Ссылка на комментарий
kriokov Опубликовано 22 ноября, 2017 Поделиться Опубликовано 22 ноября, 2017 удалить 8-ой, пауза, далее либо сетка (для нее очень хорошие условия в плане пики медиально), либо по Кури, с цитопластом не работал, не знаю. Ссылка на комментарий
Павел7809 Опубликовано 22 ноября, 2017 Автор Поделиться Опубликовано 22 ноября, 2017 (изменено) Да, но проблема в том , что на место 7 ки как бы и 6мм не влезает. Вообще мысль появилась поставить короткую 6 ку на месте 6 го зуба, удалить 8, поставить на его место имплант(там с местом проблемы нет, и сделать мостик) . Ну или сетка(ой как не хочется!) Мало того я посмотрел и понял что элементарно влезают восьмерки в обл 36 38 Изменено 22 ноября, 2017 пользователем Павел7809 1 Ссылка на комментарий
kamranchick Опубликовано 22 ноября, 2017 Поделиться Опубликовано 22 ноября, 2017 Да, но проблема в том , что на место 7 ки как бы и 6мм не влезает. Вообще мысль появилась поставить короткую 6 ку на месте 6 го зуба, удалить 8, поставить на его место имплант(там с местом проблемы нет, и сделать мостик) . Ну или сетка(ой как не хочется!) Мало того я посмотрел и понял что элементарно влезают восьмерки в обл 36 38ну да, и шмоток с бугра) Ссылка на комментарий
Павел7809 Опубликовано 22 ноября, 2017 Автор Поделиться Опубликовано 22 ноября, 2017 (изменено) Может вообще так сделать?Как бы я внутренне понимаю, что если с аугментацией то надо сетку. Но после последней сетки испортившей мне много здоровья я на это не хочу подписываться)))Кстати на счет байкона...Реально красивые работы ! Изменено 22 ноября, 2017 пользователем Павел7809 1 Ссылка на комментарий
Bier Опубликовано 22 ноября, 2017 Поделиться Опубликовано 22 ноября, 2017 1. надо удалить дистальный зуб2. Через 6 недель костная пластика. Я делаю с цитопластом. Да не так просто, надо уметь работать с мягкими тканями.3. Через 9 мес имплантация с пластикой десны. 2 Ссылка на комментарий
Павел7809 Опубликовано 22 ноября, 2017 Автор Поделиться Опубликовано 22 ноября, 2017 То есть альтернативные варианты типа коротких имплантов или мостика 6-8 лучше не рассматривать? Ссылка на комментарий
колесников Опубликовано 22 ноября, 2017 Поделиться Опубликовано 22 ноября, 2017 Горизонтальная остеотомия здесь не пойдет, форма гребня не располагает. Сетка или Цитопласт. Ну или 3Д по Кури...если владеете. Безусловно с удалением 8го. Короткие импланты в данной ситуации я бы не стал использовать. гребень как гребень, делаете пропил за премоляром не вертикальный ,а косой и смещаете фрагмент мезиально по наклонной. 1 Ссылка на комментарий
Павел7809 Опубликовано 23 ноября, 2017 Автор Поделиться Опубликовано 23 ноября, 2017 гребень как гребень, делаете пропил за премоляром не вертикальный ,а косой и смещаете фрагмент мезиально по наклонной.Тоесть как то так? Ссылка на комментарий
колесников Опубликовано 23 ноября, 2017 Поделиться Опубликовано 23 ноября, 2017 Так,но я немного другое имел ввиду Ссылка на комментарий
Павел7809 Опубликовано 23 ноября, 2017 Автор Поделиться Опубликовано 23 ноября, 2017 Так,но я немного другое имел ввидуТо есть если я сделаю такие распилы подниму вверх и щечно то будет нормально? Ссылка на комментарий
Большой Зеленый Опубликовано 23 ноября, 2017 Поделиться Опубликовано 23 ноября, 2017 Может рано Вам такие работы делать? Я бы короткие поставил http://forum.stom.ru/topic/30884-korotkie-implanty/?hl=%D0%BA%D0%BE%D1%80%D0%BE%D1%82%D0%BA%D0%B8%D0%B5 http://forum.stom.ru/topic/33699-nemnogo-rutiny/?hl=%D0%BA%D0%BE%D1%80%D0%BE%D1%82%D0%BA%D0%B8%D0%B5 http://forum.stom.ru/topic/35207-kortkieshirokie-implanty/?hl=%D0%BA%D0%BE%D1%80%D0%BE%D1%82%D0%BA%D0%B8%D0%B5&do=findComment&comment=582935 http://forum.stom.ru/topic/33707-dolgij-put-k-zubam/ Ссылка на комментарий
Павел7809 Опубликовано 24 ноября, 2017 Автор Поделиться Опубликовано 24 ноября, 2017 (изменено) Ну ведь когда то, надо начинать. Я помню как к своему первому сосиджу готовился, как к войне. И к синусу(вообще эпопея). А сейчас это рутина с достаточно неплохими результатами. Хотя поговорю с пациенткой. Если согласится на низкую эстетику, поставлю короткие. Изменено 24 ноября, 2017 пользователем Павел7809 Ссылка на комментарий
Павел7809 Опубликовано 25 ноября, 2017 Автор Поделиться Опубликовано 25 ноября, 2017 Пообщался с пациентом. Сошлись на коротышках 4 на 6 в область 7 ки, 9 на 4 в области 6 4ки. Да и по факту я посмотрел - коронки не будут такими уж огромными выглядеть. 1 Ссылка на комментарий
natalie_summerwhile Опубликовано 8 ноября, 2018 Поделиться Опубликовано 8 ноября, 2018 1. надо удалить дистальный зуб2. Через 6 недель костная пластика. Я делаю с цитопластом. Да не так просто, надо уметь работать с мягкими тканями.3. Через 9 мес имплантация с пластикой десны.Подскажите,почему через 6 недель пластика после удаления? Ссылка на комментарий
natalie_summerwhile Опубликовано 19 ноября, 2018 Поделиться Опубликовано 19 ноября, 2018 За 6-8 недель происходит мягкотканная регенерация и слизистая позволяет себя резать и шить.А если лоскут мобилизовать во время удаления ,провести пластику костную и все это ушить и лунка будет ушита удаленного зуба ,так нельзя?) Ссылка на комментарий
Bier Опубликовано 19 ноября, 2018 Поделиться Опубликовано 19 ноября, 2018 А если лоскут мобилизовать во время удаления ,провести пластику костную и все это ушить и лунка будет ушита удаленного зуба ,так нельзя?)можно, но риски выше. Я не рискую. Ссылка на комментарий
natalie_summerwhile Опубликовано 21 ноября, 2018 Поделиться Опубликовано 21 ноября, 2018 Спасибо! Ссылка на комментарий
Рекомендуемые сообщения
Для публикации сообщений создайте учётную запись или авторизуйтесь
Вы должны быть пользователем, чтобы оставить комментарий
Создать аккаунт
Зарегистрируйте новый аккаунт в нашем сообществе. Это очень просто!
Регистрация нового пользователяВойти
Уже есть аккаунт? Войти в систему.
Войти