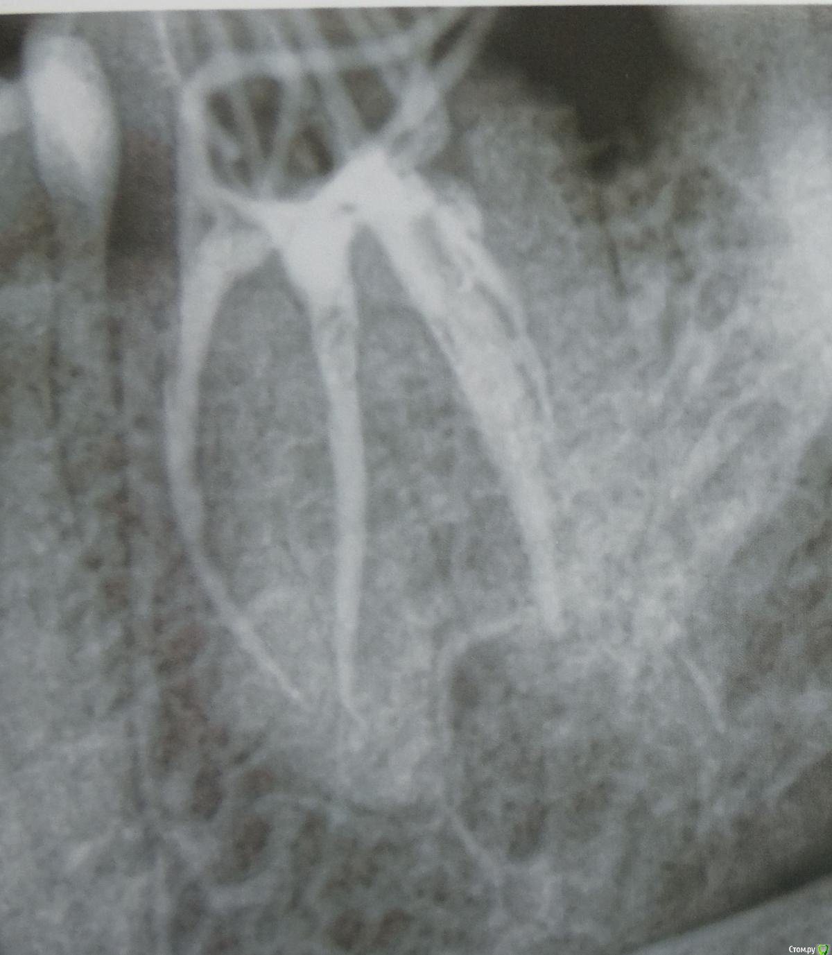
Антон999 Опубликовано 21 ноября, 2017 Поделиться Опубликовано 21 ноября, 2017 Здравствуйте, у меня был контактный кариес на нижней шестерке, зуб депульпировали, штифт не ставили, запломбировали свыше ½ зуба композитом светового отверждения, через неделю произошел маленький скол пломбы в районе контактного пункта, я пришел, мне запломбировали полость скола световой пломбой, но при первом же приеме пищи, эта маленькая пломба отвалилась от большой, я обратился еще раз и мне высверлили часть пломбы (но не всю) и уже большим куском налепили пломбу на пломбу, но теперь у меня не плотный контактный пункт, попадает пища, и под эту “вторую” пломбу заходит зубная нить (фото) и пища попадает под пломбу, с помощью объемной нити вычищаю под ней, но мне кажется она со временем отвалиться. Скажите пожалуйста нужно ли мне опять все переделывать? Допустимо ли удалять часть пломбы, а не всю, и крепить новую? В коронковой части зуба, только половина своих стенок, нечего страшного, что штифтом не укрепили? И заодно посмотрите пожалуйста качественно ли мне запломбировали три канала в этом зубе, спасибо. Ссылка на комментарий
red_butler Опубликовано 21 ноября, 2017 Поделиться Опубликовано 21 ноября, 2017 Зуб нужно протезировать искусственной коронкой, каналы нормально пломбированы. 1 Ссылка на комментарий
igorstom Опубликовано 24 ноября, 2017 Поделиться Опубликовано 24 ноября, 2017 В Вашем случае, где разрушение зуба более 50% показано не терапевтическое восстановление зуба пломбировочным материалом, а ортопедическое лечение, то есть протезирование (внутрикорневая вкладка, коронка). Пломбы показаны при достаточно выраженных стенках своего зуба. К сожалению таких стенок у Вас не наблюдается.Штифты не спасают пломбы от сколов, более того, они играют роль клина, что наоборот даже способствует сколам и расколам пломб.Добавлять пломбу допускается при состоятельности предыдущей.По каналам особых проблем не заметил.Есть ещё ряд замечаний. Но они больше профессиональные. Поэтому промолчу. 1 Ссылка на комментарий
Антон999 Опубликовано 25 ноября, 2017 Автор Поделиться Опубликовано 25 ноября, 2017 Спасибо за развернутый ответ, скажите пожалуйста, если у меня сейчас нет возможности ставить коронку, есть ли смысл по гарантии перепломбировать эту пломбу так чтобы под нее пища не попадала или ввиду каких-то причин, ее все равно не получиться без недостатков долепить? Ссылка на комментарий
Marika Опубликовано 28 ноября, 2017 Поделиться Опубликовано 28 ноября, 2017 Думаю, возможно сделать более качественную реставрацию. Обсудите это со своим доктором. Главное,когда появится возможность, пойти к ортопеду! 1 Ссылка на комментарий
red_butler Опубликовано 30 ноября, 2017 Поделиться Опубликовано 30 ноября, 2017 Спасибо за развернутый ответ, скажите пожалуйста, если у меня сейчас нет возможности ставить коронку, есть ли смысл по гарантии перепломбировать эту пломбу так чтобы под нее пища не попадала или ввиду каких-то причин, ее все равно не получиться без недостатков долепить?В идеале изыскать средства на протезирование. Как вариант восстановить зуб корневой вкладкой и временной коронкой, а постоянную изготовить через 1 -1,5 месяца. А то не ровен час сломаете зуб... 1 Ссылка на комментарий
Антон999 Опубликовано 2 декабря, 2017 Автор Поделиться Опубликовано 2 декабря, 2017 Всем спасибо за ответы!) Ссылка на комментарий
red_butler Опубликовано 2 декабря, 2017 Поделиться Опубликовано 2 декабря, 2017 Всем спасибо за ответы!) Тему можно закрывать? Ссылка на комментарий
Антон999 Опубликовано 5 декабря, 2017 Автор Поделиться Опубликовано 5 декабря, 2017 Тему можно закрывать?да, можете закрыть. Ссылка на комментарий
Рекомендуемые сообщения