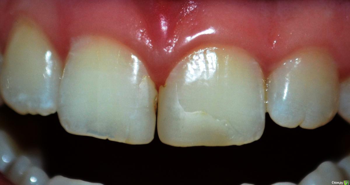
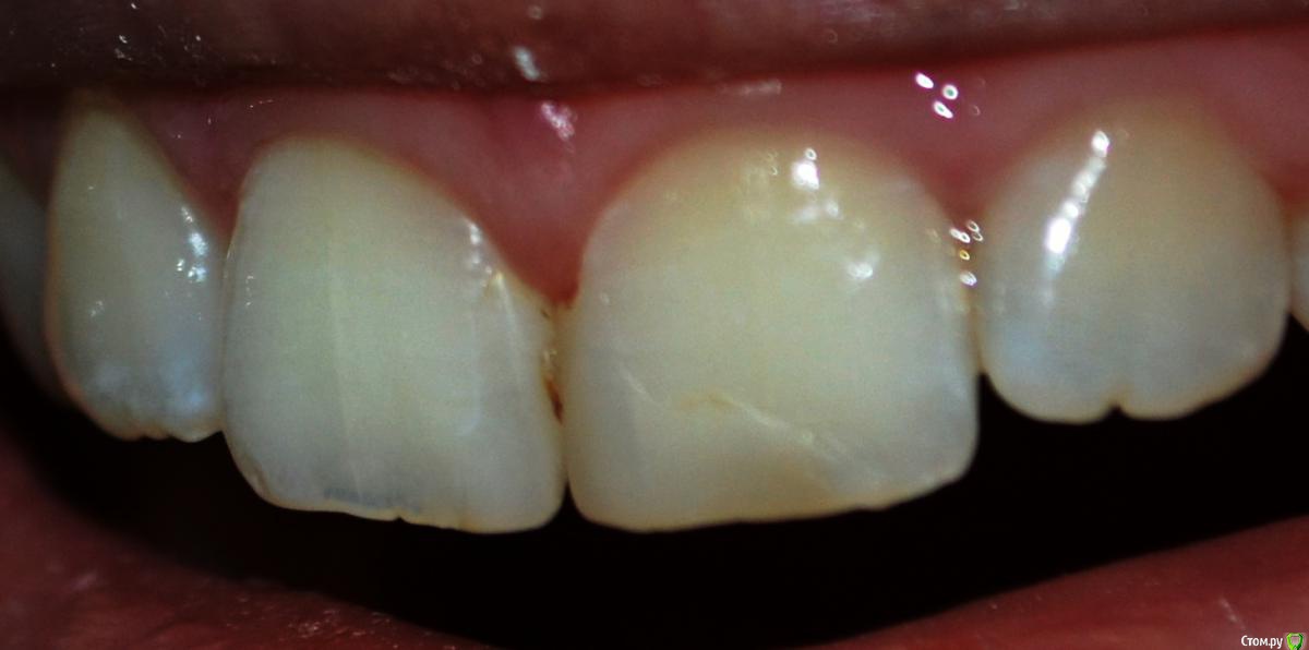
ale810 Опубликовано 12 ноября, 2017 Поделиться Опубликовано 12 ноября, 2017 Здравствуйте, у меня такая проблема: 5 лет назад с целью закрытия диастемы мне была сделана композитная реставрация без препарирования зубов, однако по по прошествии времени в самой пломбе образовалась маленькая полость, куда забиваются остатки пищи. Хотелось бы понять каким образом можно убрать этот дефект( или в целом пломбу между зубами) чтобы не повредить сами зубы. Какие бы рекомендации вы могли бы мне дать, заранее спасибо за ваше внимание. Ссылка на комментарий
St. Опубликовано 12 ноября, 2017 Поделиться Опубликовано 12 ноября, 2017 Со временем композитные пломбы могут скалываться, нужно заменить реставрации. Ссылка на комментарий
red_butler Опубликовано 12 ноября, 2017 Поделиться Опубликовано 12 ноября, 2017 Реставрации подлежат замене, в идеале на керамические виниры 1 Ссылка на комментарий
red_butler Опубликовано 19 ноября, 2017 Поделиться Опубликовано 19 ноября, 2017 Тему можно закрывать? Ссылка на комментарий
Рекомендуемые сообщения
Для публикации сообщений создайте учётную запись или авторизуйтесь
Вы должны быть пользователем, чтобы оставить комментарий
Создать аккаунт
Зарегистрируйте новый аккаунт в нашем сообществе. Это очень просто!
Регистрация нового пользователяВойти
Уже есть аккаунт? Войти в систему.
Войти