Eddie Опубликовано 23 октября, 2017 Поделиться Опубликовано 23 октября, 2017 (изменено) Здравствуйте! Подскажите по планированию имплантации. 11- удален 4-5 месяцев назад, 12-несколько лет назад. Пациент на данный момент носит съемник.как лучше позиционировать имплантаты? возможно ли обойтись без нкр, а поработать конденсорами? Еще смущает, что в области 11 возможно дефицит кости после удаления? Если ставить 11 чуть ближе к 21, то там условия по-лучше, но до 21 расстояние 1.5 мм или даже чуть меньше!В клинике только Ankylos. Реально ли будет отпротезировать при таких позициях?Буду благодарен любым советам. P.S. пациент финансово не потянет нкр Изменено 23 октября, 2017 пользователем Eddie Ссылка на комментарий
Большой Зеленый Опубликовано 24 октября, 2017 Поделиться Опубликовано 24 октября, 2017 Хуже импланта во фронте только два импланта во фронте.Делайте один и консоль. 4 Ссылка на комментарий
Aquarius Опубликовано 24 октября, 2017 Поделиться Опубликовано 24 октября, 2017 13 не имплант случаем? Ссылка на комментарий
Eddie Опубликовано 24 октября, 2017 Автор Поделиться Опубликовано 24 октября, 2017 (изменено) 13 не имплант случаем?Нет, 13- резецирован апекс! Был мост 13-11! Отпилил ортопед Изменено 24 октября, 2017 пользователем Eddie Ссылка на комментарий
Eddie Опубликовано 24 октября, 2017 Автор Поделиться Опубликовано 24 октября, 2017 (изменено) Хуже импланта во фронте только два импланта во фронте.Делайте один и консоль.Чем плохо два? И если один, то в какую позицию лучше?И как быть с костью в области 11? Изменено 24 октября, 2017 пользователем Eddie Ссылка на комментарий
Большой Зеленый Опубликовано 24 октября, 2017 Поделиться Опубликовано 24 октября, 2017 Вообще не самый лучший случай для первого раза. Имплант ставить туда где есть кость конечно. Ссылка на комментарий
Eddie Опубликовано 24 октября, 2017 Автор Поделиться Опубликовано 24 октября, 2017 Вообще не самый лучший случай для первого раза. Имплант ставить туда где есть кость конечно.Спасибо! Понимаю, что не самый лучший, но делать надо! Ссылка на комментарий
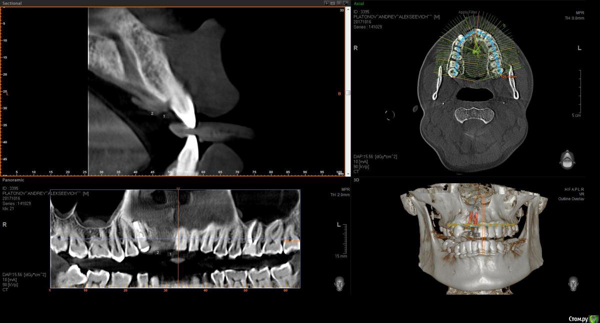
Bier Опубликовано 25 октября, 2017 Поделиться Опубликовано 25 октября, 2017 не вижу уровня гребня. Фотки бы. По тому что я вижу, имплантат в область 12 с Анкилос как раз подойдет. + десна в область 12 и 11.Если это ваш первый кейс, боюсь, что вы его запорите. Ссылка на комментарий
Eddie Опубликовано 25 октября, 2017 Автор Поделиться Опубликовано 25 октября, 2017 (изменено) не вижу уровня гребня. Фотки бы. По тому что я вижу, имплантат в область 12 с Анкилос как раз подойдет. + десна в область 12 и 11.Если это ваш первый кейс, боюсь, что вы его запорите.Спасибо за ответ. В клинике я один хирург! Отказаться вряд ли получится. Есть опыт установки имплантатов в области жевательных зубов, опыт работы с десной. Если всё-таки буду ставить, в области 12 в плане вестибуло-орального положения и наклона как лучше спозиционировать? Изменено 25 октября, 2017 пользователем Eddie Ссылка на комментарий
колесников Опубликовано 25 октября, 2017 Поделиться Опубликовано 25 октября, 2017 Ставьте с прицелом на винтовую фиксацию,лучше если рядом будет ортопед. Немедленную нагрузку не рассматривали? Ссылка на комментарий
Eddie Опубликовано 25 октября, 2017 Автор Поделиться Опубликовано 25 октября, 2017 Ставьте с прицелом на винтовую фиксацию,лучше если рядом будет ортопед. Немедленную нагрузку не рассматривали?Нет, пациент готов еще без зуба походить Ссылка на комментарий
колесников Опубликовано 25 октября, 2017 Поделиться Опубликовано 25 октября, 2017 Лучше с нагрузкой. Сразу понятна будет позиция импланта относительно окончательной реставрации,если что -то не понравится можно пересверлиться, одновременно формируется профиль десны. Консоль с овоидом,работа получится супер. Незабудьте зашинировать к соседним зубам ,лучше армировать. Если пациент отнекивается ,не хочет тратиться на временную конструкцию,используйте имплантовод анкилос как временный абатмент. Вот как пример реставрация на имплантоводе семадос и армированный имплант с консолью. 1 Ссылка на комментарий
Bier Опубликовано 25 октября, 2017 Поделиться Опубликовано 25 октября, 2017 Нет, пациент готов еще без зуба походитьнаклон не имеет принципиального значения. Я бы ставил четко по гребню. Вестибуло-орально центр имплантата должен смотреть в слепую ямку предполагаемого зуба. Для этого начинать сверление нужно на 0,5-1мм нёбнее с давлением на нёбную стенку, чтобы имплантат в итоге не встал вестибулярно. Я бы откинул лоскут в области 12 и туннелировал офтальмологическим скальпелем область 11. Понадобятся внутрибороздковые разрезы в области 21з взять ССТ и завести его правую часть под слизистую в области 11з, а левую надеть на формик. Формирование овоида не ранее, чем через 6 недель после операции. Ссылка на комментарий
Eddie Опубликовано 26 октября, 2017 Автор Поделиться Опубликовано 26 октября, 2017 Лучше с нагрузкой. Сразу понятна будет позиция импланта относительно окончательной реставрации,если что -то не понравится можно пересверлиться, одновременно формируется профиль десны. Консоль с овоидом,работа получится супер. Незабудьте зашинировать к соседним зубам ,лучше армировать. Если пациент отнекивается ,не хочет тратиться на временную конструкцию,используйте имплантовод анкилос как временный абатмент. Вот как пример реставрация на имплантоводе семадос и армированный имплант с консолью.наклон не имеет принципиального значения. Я бы ставил четко по гребню. Вестибуло-орально центр имплантата должен смотреть в слепую ямку предполагаемого зуба. Для этого начинать сверление нужно на 0,5-1мм нёбнее с давлением на нёбную стенку, чтобы имплантат в итоге не встал вестибулярно. Я бы откинул лоскут в области 12 и туннелировал офтальмологическим скальпелем область 11. Понадобятся внутрибороздковые разрезы в области 21з взять ССТ и завести его правую часть под слизистую в области 11з, а левую надеть на формик. Формирование овоида не ранее, чем через 6 недель после операции.Большое спасибо Вам за советы! Ссылка на комментарий
Дмитрий Л. Опубликовано 28 октября, 2017 Поделиться Опубликовано 28 октября, 2017 Я бы рассмотрел хирургический шаблон, если нет уверенности. Только качественный. Ссылка на комментарий
Рекомендуемые сообщения
Для публикации сообщений создайте учётную запись или авторизуйтесь
Вы должны быть пользователем, чтобы оставить комментарий
Создать аккаунт
Зарегистрируйте новый аккаунт в нашем сообществе. Это очень просто!
Регистрация нового пользователяВойти
Уже есть аккаунт? Войти в систему.
Войти