an_ver Опубликовано 18 октября, 2017 Поделиться Опубликовано 18 октября, 2017 Работа заняла около 6-8 месяцев 6 Ссылка на комментарий
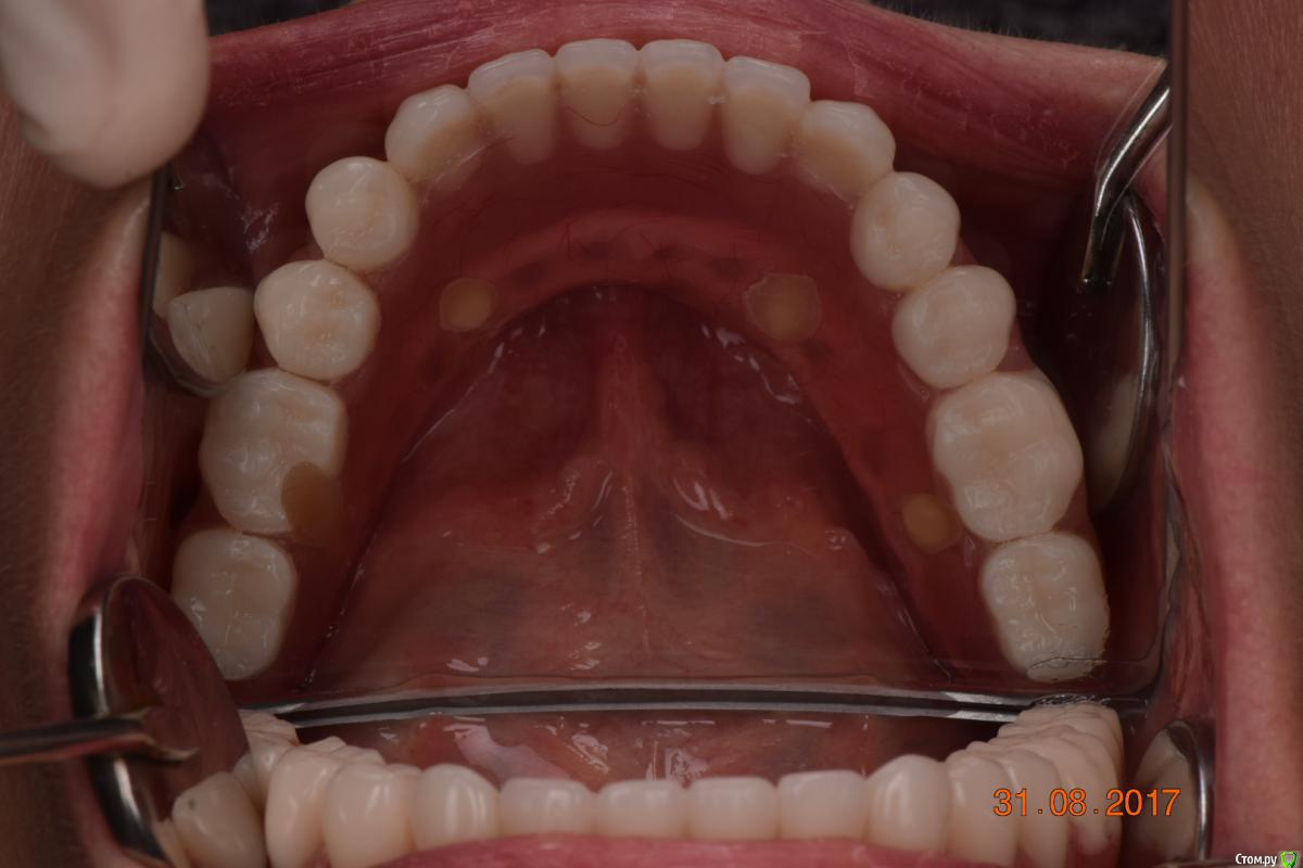
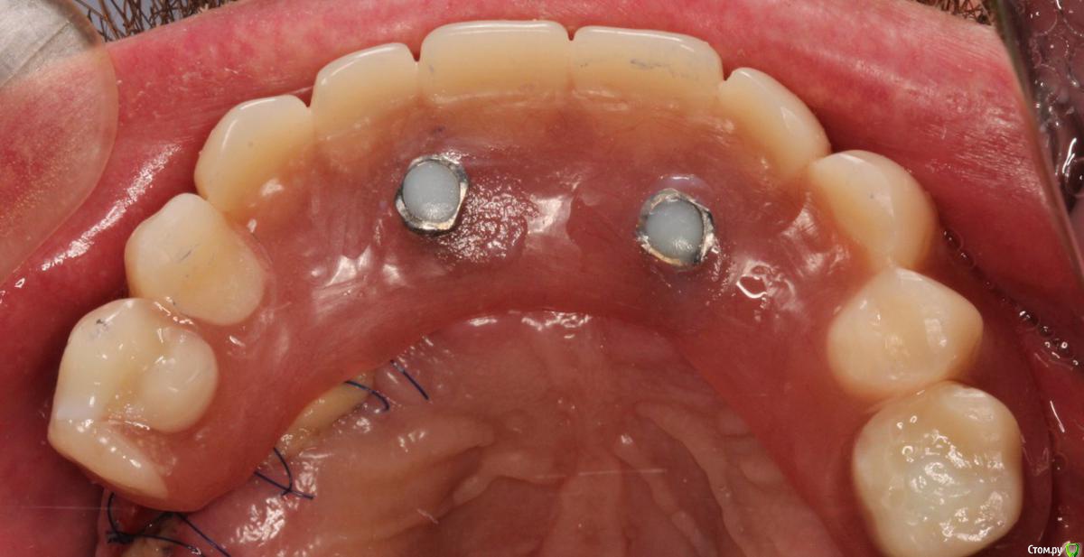
Dman Опубликовано 18 октября, 2017 Поделиться Опубликовано 18 октября, 2017 подскажите что за синие отверстия в протезе и для чего.. Ссылка на комментарий
zubovolok Опубликовано 18 октября, 2017 Поделиться Опубликовано 18 октября, 2017 Похоже на жидкий коффер. Работа классная, а низ когда менять придёт? Очень там все печально) Ссылка на комментарий
an_ver Опубликовано 18 октября, 2017 Автор Поделиться Опубликовано 18 октября, 2017 подскажите что за синие отверстия в протезе и для чего..Синее-жид.коффер для закрытия шахты импланта Ссылка на комментарий
an_ver Опубликовано 18 октября, 2017 Автор Поделиться Опубликовано 18 октября, 2017 Похоже на жидкий коффер. Работа классная, а низ когда менять придёт? Очень там все печально)С низом да,печаль...вся проблема в финансах,но думаю скоро все же найдутся Ссылка на комментарий
zubovolok Опубликовано 18 октября, 2017 Поделиться Опубликовано 18 октября, 2017 С низом да,печаль...вся проблема в финансах,но думаю скоро все же найдутсяконечно, после того как верхом попользуется. Ссылка на комментарий
Stepa Опубликовано 18 октября, 2017 Поделиться Опубликовано 18 октября, 2017 Почему зубов 12,а не 14? Ссылка на комментарий
Dman Опубликовано 19 октября, 2017 Поделиться Опубликовано 19 октября, 2017 Синее-жид.коффер для закрытия шахты имплантаэто же съемный на балке? не хватило тощины базиса и поэтому оставили открытыми? так и не пойму назначение этих отверстий Ссылка на комментарий
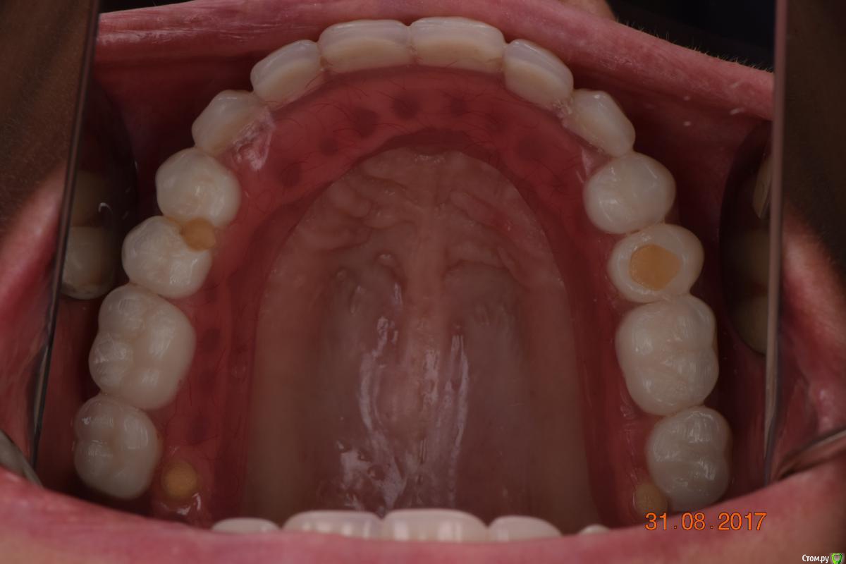
an_ver Опубликовано 20 октября, 2017 Автор Поделиться Опубликовано 20 октября, 2017 это же съемный на балке? не хватило тощины базиса и поэтому оставили открытыми? так и не пойму назначение этих отверстийЕсли внимательно присмотритесь,то увидите отвестия такие же на 16,26..только они композитом А3 закрыты,их не видно.А здесь просто ж.коффером. Предназначение простое, от названия протеза: условно-сьемный))), закрытие шахты абатментов,раз в пол-года пац. приходит,все откручиваем, промываем,прочищаем и заново запечатываем. Теперь как, понятно? Если что спрашивайте,не стесняйтесь Ссылка на комментарий
an_ver Опубликовано 20 октября, 2017 Автор Поделиться Опубликовано 20 октября, 2017 Почему зубов 12,а не 14?Этого достаточно. Консоль дистальная не может быть быть бесконечной Ссылка на комментарий
bakagaidzin Опубликовано 20 октября, 2017 Поделиться Опубликовано 20 октября, 2017 мне всегда были интересны эти "условно сьемные" конструкции.Ваши пациенты кушают раз в полгода что вы их снимаете и чистите только раз в полгода? 1 Ссылка на комментарий
an_ver Опубликовано 20 октября, 2017 Автор Поделиться Опубликовано 20 октября, 2017 мне всегда были интересны эти "условно сьемные" конструкции.Ваши пациенты кушают раз в полгода что вы их снимаете и чистите только раз в полгода?Нет))), с ними они только начинают кушать))), если вам интересны эти протезы думаю лучше обратиться к близлежащему представителю компании Н....ь,не реклама,они все популярно объяснят,подберут вам курс по этому протоколу и у вас все на свои места разложиться Ссылка на комментарий
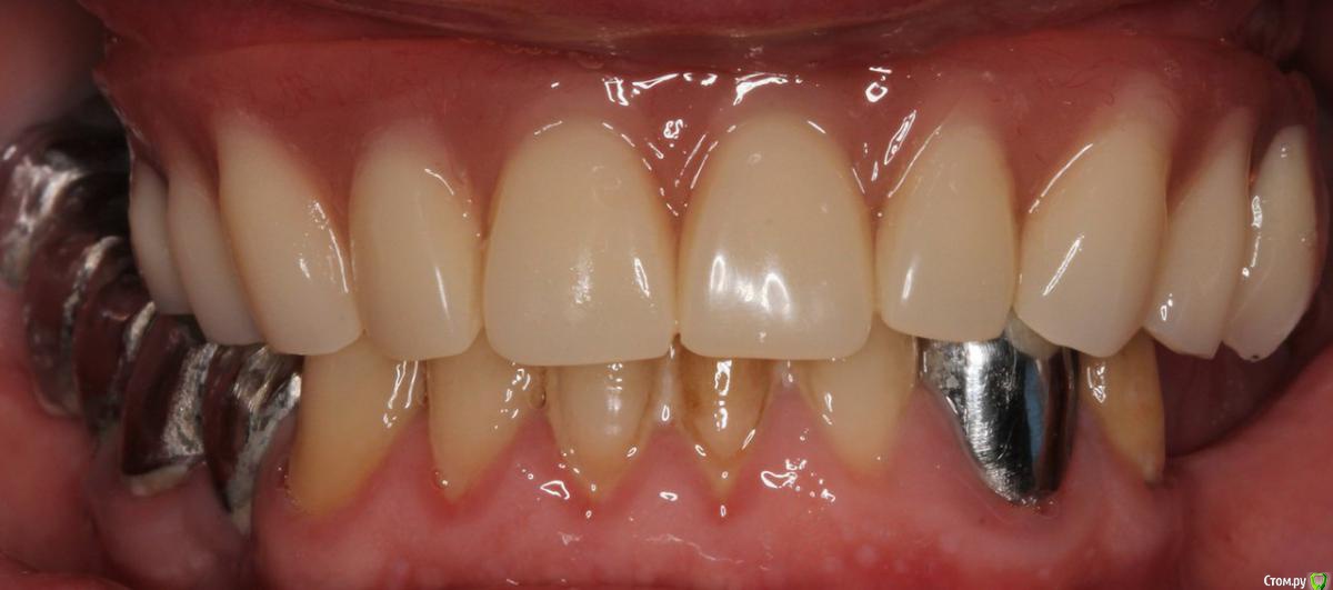
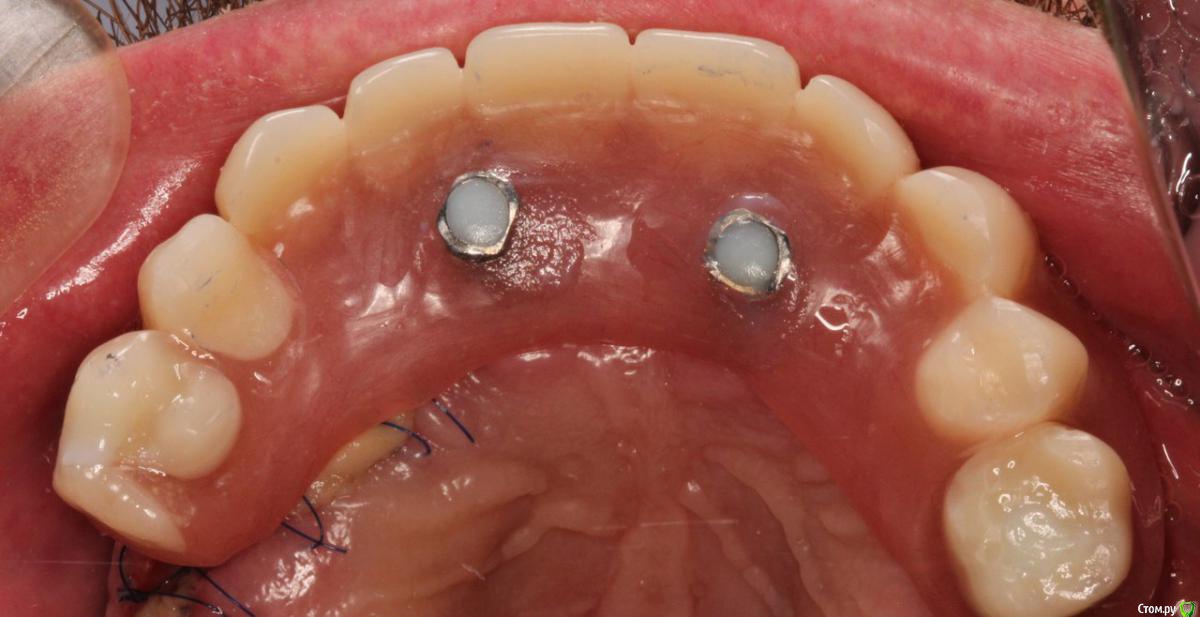
Dman Опубликовано 20 октября, 2017 Поделиться Опубликовано 20 октября, 2017 Если внимательно присмотритесь,то увидите отвестия такие же на 16,26..только они композитом А3 закрыты,их не видно.А здесь просто ж.коффером. Предназначение простое, от названия протеза: условно-сьемный))), закрытие шахты абатментов,раз в пол-года пац. приходит,все откручиваем, промываем,прочищаем и заново запечатываем. Теперь как, понятно? Если что спрашивайте,не стесняйтесья думал у вас он все таки съемный типа такого У вас получается эта балка внутри протеза находится и прикручивается все вместе.. Ссылка на комментарий
an_ver Опубликовано 20 октября, 2017 Автор Поделиться Опубликовано 20 октября, 2017 Точно, балка армирует протез и прикручивается вместе с протезом,границы протеза,точнее за период интерграции имплантов,было 2 перебазировки и слизистую сформировали как стол ровную, но более оптимальное прилегание овоидное,тогда ваще))) феншуй Ссылка на комментарий
vadyasti Опубликовано 20 октября, 2017 Поделиться Опубликовано 20 октября, 2017 Как то так 2 Ссылка на комментарий
an_ver Опубликовано 21 октября, 2017 Автор Поделиться Опубликовано 21 октября, 2017 Как то такОтличная работа! Ссылка на комментарий
gangsta85 Опубликовано 21 октября, 2017 Поделиться Опубликовано 21 октября, 2017 Работа заняла около 6-8 месяцевА как имплантанты были установлены? Какой длинны? Ссылка на комментарий
an_ver Опубликовано 23 октября, 2017 Автор Поделиться Опубликовано 23 октября, 2017 А как имплантанты были установлены? Какой длинны?Во фронте 4,2*10, дистальные 4,2*13 все ICE АльфаБио Ссылка на комментарий
DrNice Опубликовано 23 октября, 2017 Поделиться Опубликовано 23 октября, 2017 Почему отдали предпочтение условно-сьемному, а не сьемному? Ссылка на комментарий
an_ver Опубликовано 24 октября, 2017 Автор Поделиться Опубликовано 24 октября, 2017 Почему отдали предпочтение условно-сьемному, а не сьемному?Пациент захотел так..я предлагал,честно))) Ссылка на комментарий
red_butler Опубликовано 24 октября, 2017 Поделиться Опубликовано 24 октября, 2017 Почему отдали предпочтение условно-сьемному, а не сьемному?Я называю такие конструкции условно-НЕсъемные, это ласкает слух пациентов 3 Ссылка на комментарий
DrNice Опубликовано 24 октября, 2017 Поделиться Опубликовано 24 октября, 2017 Я называю такие конструкции условно-НЕсъемные, это ласкает слух пациентовЛаскает разве что слух )) Пациент захотел так..я предлагал,честно)))А как потом бороться с гигиеной пациента? Меня всегда пугают такие конструкции сугубо из за гигиены... Ссылка на комментарий
bakagaidzin Опубликовано 24 октября, 2017 Поделиться Опубликовано 24 октября, 2017 Ласкает разве что слух )) А как потом бороться с гигиеной пациента? Меня всегда пугают такие конструкции сугубо из за гигиены...никак) пациент раз в полгода покушал,тут же бегом к доктору,тот снял,все почистил и на полгода отпустил) и все счастливы-и док,и техник, пациент)) 1 Ссылка на комментарий
an_ver Опубликовано 25 октября, 2017 Автор Поделиться Опубликовано 25 октября, 2017 никак) пациент раз в полгода покушал,тут же бегом к доктору,тот снял,все почистил и на полгода отпустил) и все счастливы-и док,и техник, пациент))И денег еще взял,док)))), но с техником уже не поделился)))....и так постоянный доход 2 раза в год))) Ссылка на комментарий
DrNice Опубликовано 25 октября, 2017 Поделиться Опубликовано 25 октября, 2017 И денег еще взял,док)))), но с техником уже не поделился)))....и так постоянный доход 2 раза в год)))Знаете, в этом что то есть! Ссылка на комментарий
Рекомендуемые сообщения
Для публикации сообщений создайте учётную запись или авторизуйтесь
Вы должны быть пользователем, чтобы оставить комментарий
Создать аккаунт
Зарегистрируйте новый аккаунт в нашем сообществе. Это очень просто!
Регистрация нового пользователяВойти
Уже есть аккаунт? Войти в систему.
Войти