x4ex Опубликовано 16 октября, 2017 Поделиться Опубликовано 16 октября, 2017 (изменено) Три недели назад была имплантация Straumann Bone Level в области 11, вестибулярно подшит сст с бугра, заглушка и ушивание наглухо проленом 5/0. Сверху времянка на 12 с консолью в области 11. На контрольных осмотрах всё ок. Сегодня пришла с пузырём гноя вестибулярно. Со слов появился вчера, болит с позавчерашнего дня. Вскрыл, на коронарных полимпланта грануляции, вестибулярно, медиально и дистально кости нет, нёбно есть и апикально есть. Заглушку выкрутил, имплант не вышел. Выкрутил имплант ключом. В чём может быть причина?P.S. первая имплантация Straumann, абсолютно новым набором, строго по протоколу. Торк был около 30Нсм. Изменено 16 октября, 2017 пользователем x4ex Ссылка на комментарий
krokomot Опубликовано 16 октября, 2017 Поделиться Опубликовано 16 октября, 2017 Крутили в лунку?. Пузырь сам за себя говорит инфицирование и некроз трансплантата. Антибиотик назначали?. Ссылка на комментарий
x4ex Опубликовано 16 октября, 2017 Автор Поделиться Опубликовано 16 октября, 2017 Нет, зуб удалён давно. Назначал Амоксиклав по схеме Олега Пономарева: 2000мг за 6 часов до операции, далее по 1т 2 раза в день. Но отменил через 2 дня, поскольку не было отёка.Некроз трансплантата возможен, но неужели из-за него лизировалась вся вестибулярная и апроксимальная кость на глубину около 4-5мм? Ссылка на комментарий
колесников Опубликовано 16 октября, 2017 Поделиться Опубликовано 16 октября, 2017 Мало данных. Был графт? Какой? Почему удалялся зуб? Что было в лунке? Позиция импланта. Кт до, кт после. Если бы лоскут некротизировался-к 4ому дню увидели проблемы. За 3 недели он интегрировался и начал жить,если плохо деэпителизирован возможен мукозит,пропустили начало . Ссылка на комментарий
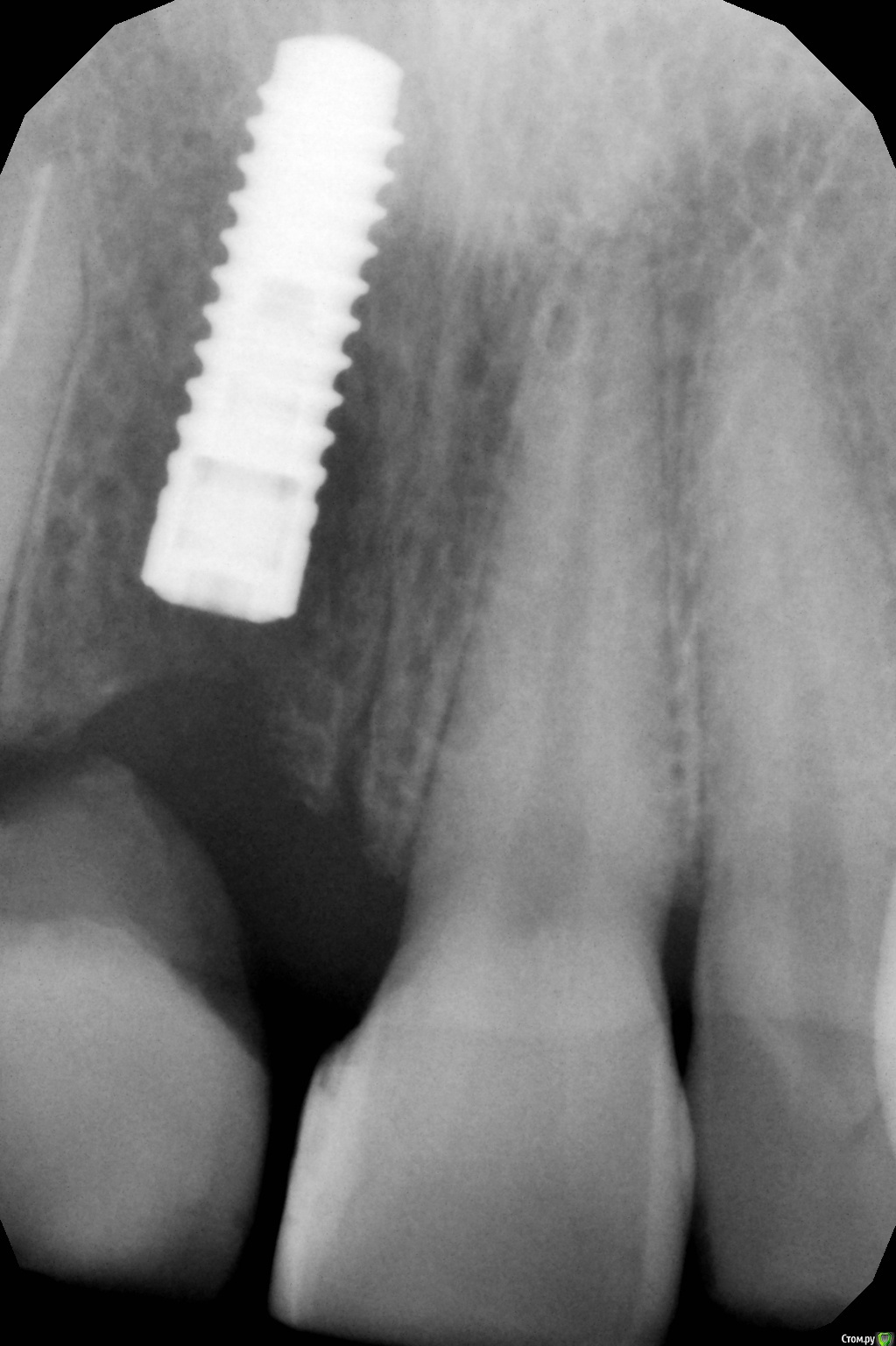
x4ex Опубликовано 16 октября, 2017 Автор Поделиться Опубликовано 16 октября, 2017 Графта не было. Насчёт удаления зуба не помню, возможно даже там первичная адентия была.Девушке 27лет и она пришла с коронкой на 12 с консолью на 11. КТ до есть, после только прицельный. Завтра всё добавлю. Имплант ставил субкрестально, примерно на 2мм, исходя из положения зенита соседнего зуба. Ссылка на комментарий
колесников Опубликовано 16 октября, 2017 Поделиться Опубликовано 16 октября, 2017 Была компрессия у шейки. Проходили финально развёрткой? Ссылка на комментарий
x4ex Опубликовано 16 октября, 2017 Автор Поделиться Опубликовано 16 октября, 2017 Да, но возможно не так глубоко, как в итоге поставил имплант. Ссылка на комментарий
krokomot Опубликовано 16 октября, 2017 Поделиться Опубликовано 16 октября, 2017 Пару раз за практику встречал лизис вестибулярной стенки в области центрального резца после хирургического вмешательства в этой зоне, но в данном случае было отслоение, пациенты не мои. И второе если набор абсолютно новый была ли предстирилизационная обработка набора или сразу в автоклав засунули? Ссылка на комментарий
krokomot Опубликовано 16 октября, 2017 Поделиться Опубликовано 16 октября, 2017 Была компрессия у шейки. Проходили финально развёрткой?если даже и была компрессия, то нагноение это бы не вызвало. Ссылка на комментарий
колесников Опубликовано 16 октября, 2017 Поделиться Опубликовано 16 октября, 2017 Все ещё есть вопрос к позиции импланта и его диаметру. Предположу что был 4.1 и позиция вестибулярная,плюс добавим скелетирование вестибулярно. Ссылка на комментарий
krokomot Опубликовано 16 октября, 2017 Поделиться Опубликовано 16 октября, 2017 Все ещё есть вопрос к позиции импланта и его диаметру. Предположу что был 4.1 и позиция вестибулярная,плюс добавим скелетирование вестибулярно.док говорит о утрате большого объема кости, даже аппроксимально, значит процесс шел с момента установки имплантата Ссылка на комментарий
x4ex Опубликовано 17 октября, 2017 Автор Поделиться Опубликовано 17 октября, 2017 Диаметр был 3.3, вестибулярно кость была. Разрез был по гребню плюс внутрибороздковый на 12 и 21. Послабляющих не делал.Могло такую реакцию спровоцировать попадание инородного тела, скажем, волокна от стерильного материала? Ссылка на комментарий
Тимур86 Опубликовано 17 октября, 2017 Поделиться Опубликовано 17 октября, 2017 как-то подозрительно всё это...никаких общесоматических патологий?может что недоговаривает? Ссылка на комментарий
x4ex Опубликовано 17 октября, 2017 Автор Поделиться Опубликовано 17 октября, 2017 Подозрительно не то слово. Клянётся, что проходит каждый год медосмотры и никаких патологий выявлено не было.Не знаю, как изменить шапку, поэтому добавлю снимки сюда. Ссылка на комментарий
x4ex Опубликовано 17 октября, 2017 Автор Поделиться Опубликовано 17 октября, 2017 Пару раз за практику встречал лизис вестибулярной стенки в области центрального резца после хирургического вмешательства в этой зоне, но в данном случае было отслоение, пациенты не мои. И второе если набор абсолютно новый была ли предстирилизационная обработка набора или сразу в автоклав засунули?Сразу в автоклав Ссылка на комментарий
Большой Зеленый Опубликовано 17 октября, 2017 Поделиться Опубликовано 17 октября, 2017 Глубоко поставил . Возможно плохо пришил ССТ. Ссылка на комментарий
x4ex Опубликовано 17 октября, 2017 Автор Поделиться Опубликовано 17 октября, 2017 Глубоко поставил . Возможно плохо пришил ССТ.Там от платформы до зенита как раз 3 мм - на последнем снимке виден край времянки. Ну ладно, пусть глубоко, но разве от этого может быть абсцесс? Ссылка на комментарий
krokomot Опубликовано 17 октября, 2017 Поделиться Опубликовано 17 октября, 2017 Возможно на наборе были загрязнения органические или неорганические, которвй обычно смываются предстерилизационной очисткой, они и могли затем плпасть в рану и вызвать нагноение. Еще бывает на наборе пленка которую не сняли. Помимо этого, на ииплант или в ложе попали микробы в значительном колличестве 1 Ссылка на комментарий
x4ex Опубликовано 17 октября, 2017 Автор Поделиться Опубликовано 17 октября, 2017 Сейчас поговорил с дезинфектором, не уже не помнит этот день, но говорит, что замачивают всегда. :-/ в принципе склоняюсь к правдоподобности вашей версии! А что за плёнка на наборе? Ссылка на комментарий
Карен Аванесов Опубликовано 17 октября, 2017 Поделиться Опубликовано 17 октября, 2017 "Промазал" скорее всего, ну и мертвый трансплантат. 1 Ссылка на комментарий
x4ex Опубликовано 17 октября, 2017 Автор Поделиться Опубликовано 17 октября, 2017 Что значит промазал?) Ссылка на комментарий
Чертков Александр Опубликовано 18 октября, 2017 Поделиться Опубликовано 18 октября, 2017 Либо "перегрели" при сверлении, либо инфицирование ложа. Третьего не дано.ССТ тут ни при чем. 1 Ссылка на комментарий
Bier Опубликовано 18 октября, 2017 Поделиться Опубликовано 18 октября, 2017 Саша, сдохший ССТ часто дает нагноение т.к. становится вместилищем для микробов.Я склоняюсь к двум версиям: перегрев и некроз ССТ. Да, схема антибиотиков не моя, а рекомендованный международный протокол )) 1 Ссылка на комментарий
Lodkin666 Опубликовано 18 октября, 2017 Поделиться Опубликовано 18 октября, 2017 Олег Юрьевич, какова продолжительность приема антибиотиков в этой дозировке? Ссылка на комментарий
Bier Опубликовано 18 октября, 2017 Поделиться Опубликовано 18 октября, 2017 Олег Юрьевич, какова продолжительность приема антибиотиков в этой дозировке?в зависимости от вмешательства от однократного приема двойной дозы, до 5-7 дней.На простую имплантацию я вообще не назначаю а/б 1 Ссылка на комментарий
Рекомендуемые сообщения
Для публикации сообщений создайте учётную запись или авторизуйтесь
Вы должны быть пользователем, чтобы оставить комментарий
Создать аккаунт
Зарегистрируйте новый аккаунт в нашем сообществе. Это очень просто!
Регистрация нового пользователяВойти
Уже есть аккаунт? Войти в систему.
Войти