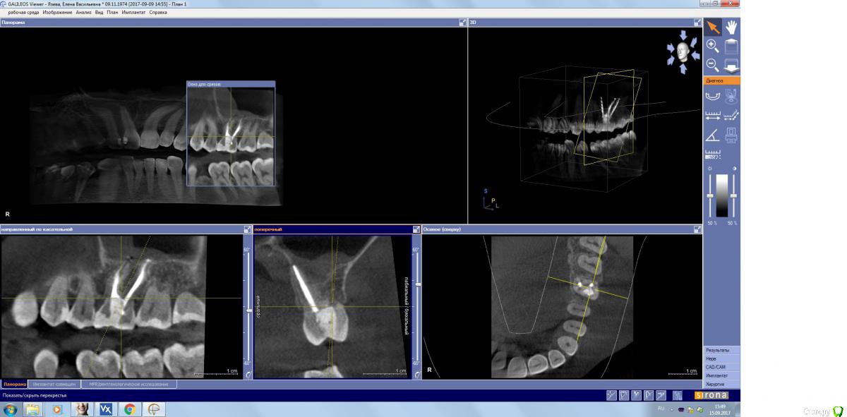
kamranchick Опубликовано 15 сентября, 2017 Поделиться Опубликовано 15 сентября, 2017 Господа, терапевт наш пролечил зуб, и болит пазуха уже месяц... сам зуб не болит, какой план действий? Ссылка на комментарий
kamranchick Опубликовано 15 сентября, 2017 Автор Поделиться Опубликовано 15 сентября, 2017 (изменено) Лор говорит хронический гайморит в стадии обострения, но провоцирует зуб, короче все как всегда... Изменено 15 сентября, 2017 пользователем kamranchick Ссылка на комментарий
vse32 Опубликовано 15 сентября, 2017 Поделиться Опубликовано 15 сентября, 2017 Антибиотики назначьте. 1 Ссылка на комментарий
Евгений Ходыкин Опубликовано 15 сентября, 2017 Поделиться Опубликовано 15 сентября, 2017 А как пазуха то болит? Самому интересно 1 1 Ссылка на комментарий
kramer Опубликовано 15 сентября, 2017 Поделиться Опубликовано 15 сентября, 2017 А как у нее пазуха болит? Ссылка на комментарий
kamranchick Опубликовано 15 сентября, 2017 Автор Поделиться Опубликовано 15 сентября, 2017 Антибиотики назначьте.пропивали курс уже юнидокса солютаба Ссылка на комментарий
kamranchick Опубликовано 15 сентября, 2017 Автор Поделиться Опубликовано 15 сентября, 2017 Тянущая боль от носа до уха) Ссылка на комментарий
kamranchick Опубликовано 15 сентября, 2017 Автор Поделиться Опубликовано 15 сентября, 2017 хотя бы узнать, это по нашей части, вернее мы виноваты или это со стороны лор что то, куда пациента определять... или опять в зуб лезть Ссылка на комментарий
parallax Опубликовано 15 сентября, 2017 Поделиться Опубликовано 15 сентября, 2017 А какие-нибудь выделения из носа, затруднённое дыхание на стороне поражения есть? Температура? Вообще, смахивает на продуктивную форму гайморита. Надо ЛОРу показать. Ссылка на комментарий
kamranchick Опубликовано 16 сентября, 2017 Автор Поделиться Опубликовано 16 сентября, 2017 Температуры нету... выделений, хм... не знаю, этот момент у терапевта не узнавал Ссылка на комментарий
parallax Опубликовано 16 сентября, 2017 Поделиться Опубликовано 16 сентября, 2017 Это пристеночно-гиперпластическая форма гайморита, застарелая хронь, которая появилась не вчера. Возможно, обострение спровоцировали паффы (куда ж без них). Я думаю, стоматологи тут не при чём. Хотя ЛОРики всегда обвиняют нас (скоро вменят убийство Кеннеди). В каналы лезть больше не надо, отправляйте в ЛОР отделение, лечение этого гайморита хирургическое. 1 Ссылка на комментарий
red_butler Опубликовано 26 сентября, 2017 Поделиться Опубликовано 26 сентября, 2017 какой план действий?сменить ЛОРа Исключить скрытый пульпит. Ссылка на комментарий
ger_berra Опубликовано 2 октября, 2017 Поделиться Опубликовано 2 октября, 2017 Решётчатый лабиринт посмотрите. Там часто много чертей сидит. Ссылка на комментарий
Рекомендуемые сообщения
Для публикации сообщений создайте учётную запись или авторизуйтесь
Вы должны быть пользователем, чтобы оставить комментарий
Создать аккаунт
Зарегистрируйте новый аккаунт в нашем сообществе. Это очень просто!
Регистрация нового пользователяВойти
Уже есть аккаунт? Войти в систему.
Войти