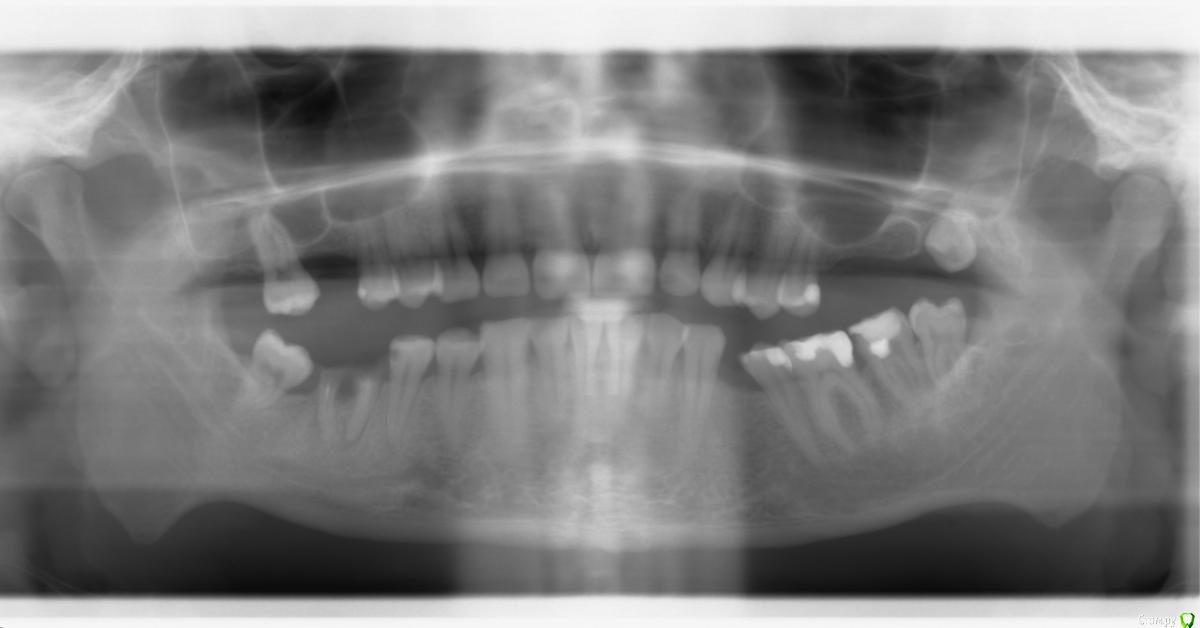
Andrei86 Опубликовано 12 сентября, 2017 Поделиться Опубликовано 12 сентября, 2017 (изменено) Здравстуйте, Кратко опишу ситуацию. Более 5 лет на удалял много зубов, сейчас хочу привести челюсть в порядок.Удалил, нижние:с право: 6,8с лево: 4верхние, с право: 6,8с лево:6,7 а так же 8-ка не вылезла до конца. 1) Из за того что с верху довольно долго нет 6,7 и считай что 8-ки , то нижние вылезли до верхней десны, то есть место для имплантов нет. 2) На сколько я понял нет костного объема.3) Гайморовые пазухи очень близко к верхним зубам (посмотрел на снимок и вообще в шоке, там не то что близко... но я в этом деле вообще мало что понимаю) Подскажите пожалуйста с чего вообще начать? Я понимаю, что начать надо с похода к врачу. Дело в том, живу в стране где с этим совсем плохо - во первых дорого, во вторых нет нормальных специалистов, вроде как есть но что-то они косячат слишком часто.Вообщем хочу запланировать отпуска и поехать в Россию/Украину/Белоруссию и привести всё в порядок, на сколько это возможно.Скажите пожалуйста реально ли что-то сделать и на сколько все запущено? с чего начать?как "отодвинут" нижние зубы назад, что-бы было место на верх поставить импланты? синус лифтинг вообще возможен если так близко гаймаровые пазухи?Хочется собрать побольше информации от незаинтересованных профессионалов перед тем как обращусь к доктору который меня будет лечить. ПС. нумерация зубов не знаю на сколько правильная, посмотрел в инете (но по снимку наверное будет понятно)ПСС. Русский язык не родной. Большое спасибо за любую информацию. Изменено 12 сентября, 2017 пользователем Andrei86 Ссылка на комментарий
red_butler Опубликовано 13 сентября, 2017 Поделиться Опубликовано 13 сентября, 2017 выкладывать актуальный снимок ( после удалений) Ссылка на комментарий
Andrei86 Опубликовано 13 сентября, 2017 Автор Поделиться Опубликовано 13 сентября, 2017 хорошо,постараюсь сделать на днях. А по этому можно что-то сказать? Ссылка на комментарий
red_butler Опубликовано 13 сентября, 2017 Поделиться Опубликовано 13 сентября, 2017 хорошо,постараюсь сделать на днях. А по этому можно что-то сказать?на верхней челюсти потребуется синуслифтинг. На нижней ортодонтическая подготовка. 1 Ссылка на комментарий
Рекомендуемые сообщения
Для публикации сообщений создайте учётную запись или авторизуйтесь
Вы должны быть пользователем, чтобы оставить комментарий
Создать аккаунт
Зарегистрируйте новый аккаунт в нашем сообществе. Это очень просто!
Регистрация нового пользователяВойти
Уже есть аккаунт? Войти в систему.
Войти