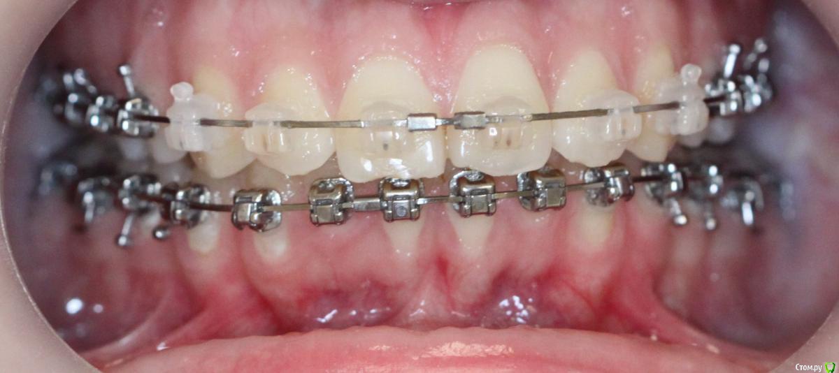
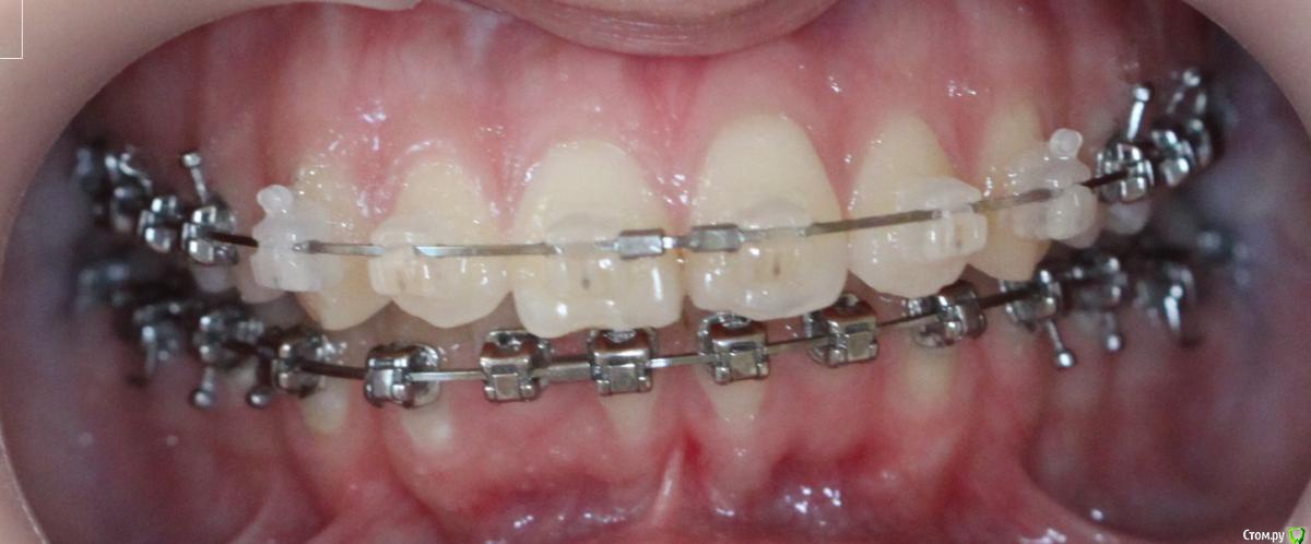
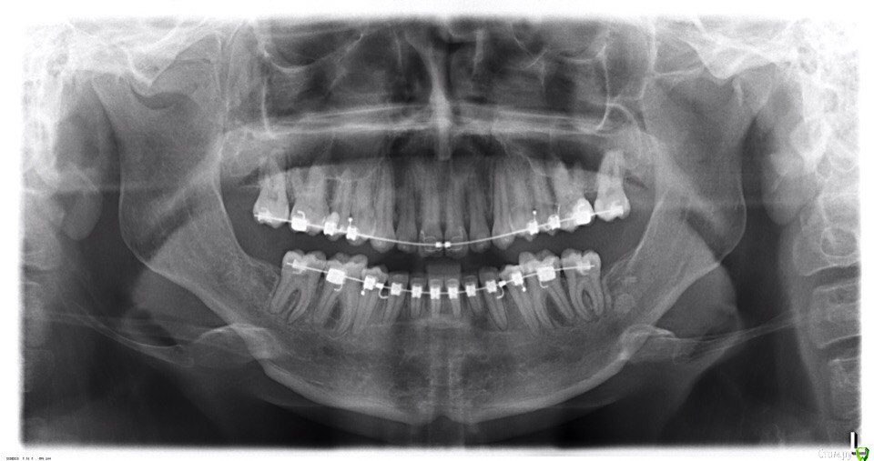
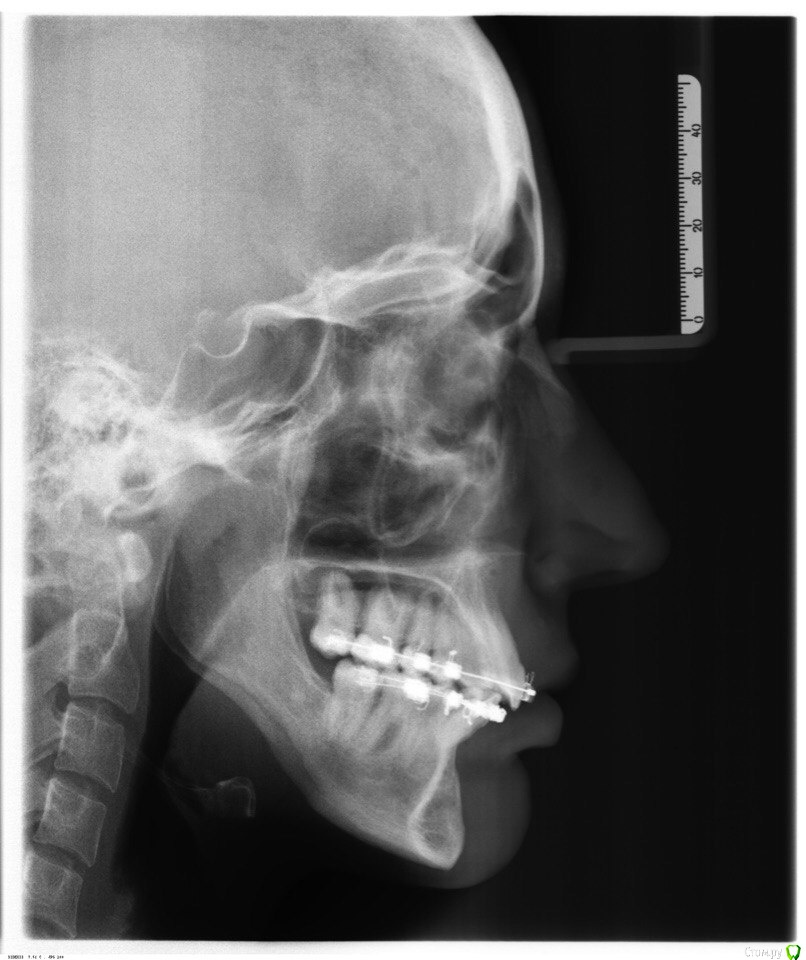
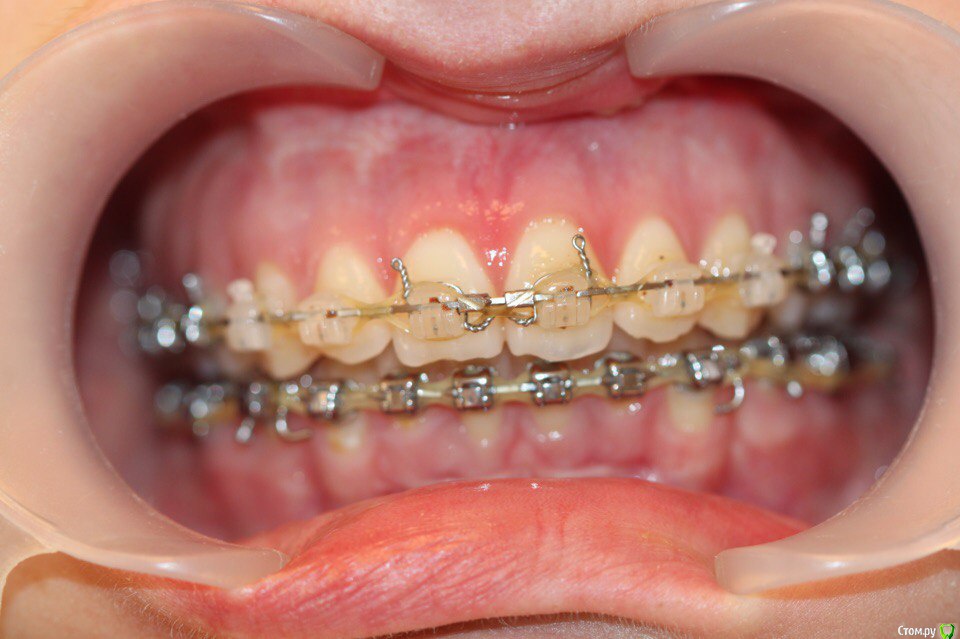
annurka Опубликовано 12 сентября, 2017 Поделиться Опубликовано 12 сентября, 2017 (изменено) здравствуйте! 24 года, дисфункция ВНЧС, дистальный прикус (1,4см), ортодонтическое лечение начато с ношения каппы для разгрузки сустава (привыкла подтягивать НЧ к верхней) в 2012 году. проведено лечение: удаление всех 8к (непрорезавшиеся), расширение ВЧ (аппарат дерихсвайлера), выравнивание зубных рядов, сепарация нижних резцов (резцы были наклонены), места не хватило - удаление 2 нижних 4к, выравнивание кривой шпее, двухчелюстная остеотомия; выравнивание окклюзионных контактов (резиновые тяги) проблема: между верхними и нижними резцами расстояние 5мм к трг (внизу фото) есть расшифровка.все идет к снятию брекетов, и с эстетической точки зрения меня все устраивает. но не до конца устраивает в функциональном плане (я не могу пропихнуть палец между зубными рядами, как раньше, но все также подтягиваю челюсть кпереди когда ем, говорю)стараюсь контролировать это, но даже улыбнуться не могу не подтянув - иначе у меня некрасиво вырисовывается подбородок, неправильно произношу звуки при разговоре.сразу после остеотомии состыковка резцов была ок - нижние зубы были за верхними, но мы с ортодонтом занялись состыковкой и других зубов (которые тогда не соприкасались), и когда добились контактов жующих сторон, разошлись резцы.UPD: и еще есть черные треугольники на НЧ - с ними тоже очень хочется разобраться лечащий ортодонт говорит, что это в целом норма, с учетом моего случая. и возможно это так, но я очень хочу послушать еще мнений, возможно стоит удалить 2 зуба наверху, чтобы верхняя челюсть подошла по размер нижней? [боюсь что простой сепарации может не хватить и как в случае с нижними резцами придется и сепарацию делать, и удалять зубы.] может быть еще есть другой способ добиться нормального прикуса, без "нюансов"?изначально я пошла на все это лечение, чтобы остановить разрушение сустава (однажды проснулась и не смогла рот даже открыть, еще до лечения), полагала, что брекеты и члх исправят если не ситуацию, то причину, но я все еще двигаю НЧ вперед к ВЧ. с остеотомии прошел почти год (поэтому на изменение картины эластиками я уже не надеюсь), брекеты ношу почти 4 года. заранее всем спасибо за отклик! Изменено 12 сентября, 2017 пользователем annurka 1 Ссылка на комментарий
Skip Опубликовано 12 сентября, 2017 Поделиться Опубликовано 12 сентября, 2017 А До лечения есть ТРГ посмотреть? И фото какие-нибудь? Ссылка на комментарий
annurka Опубликовано 13 сентября, 2017 Автор Поделиться Опубликовано 13 сентября, 2017 (изменено) А До лечения есть ТРГ посмотреть? И фото какие-нибудь?есть трг сверху - сразу после остеотомии, снизу - через полгода после (когда резцы отошли друг от друга на 5мм) до лечения вообще точно делал ортодонт (снимки, слепки, фото), если в клинике это сохранили, я смогу сфотографировать. далее фото в процессе лечения - 4ки нижние еще не удалены, один хирург был готов так оперировать, другой сказал, что наклон нижних резцов неправильный и нужно как и было запланировано удалить 4ки, сепарации недостаточно.челюсть расслаблена как есть: НЧ подвинута к ВЧ для наглядности: есть фото слепков того периода, но форум ругается на слишком большой размер. если нужно - уменьшу залью) Изменено 13 сентября, 2017 пользователем annurka 1 Ссылка на комментарий
Skip Опубликовано 13 сентября, 2017 Поделиться Опубликовано 13 сентября, 2017 Фото заливайте на какой-нибудь файлообменник, сюда например http://pixs.ru/, а в сообщение вставляете ссылку для форумов. Ссылка на комментарий
Brigita Опубликовано 13 сентября, 2017 Поделиться Опубликовано 13 сентября, 2017 Результат неплохой. Но там где в спор вступает кость и мышца всегда побеждает мышца. После ортогнатической операции рецидив идёт именно от этого. Конечно контакты не идеальны, но если удалить 4ки наверху нижняя треть лица будет иметь довольно вогнутый вид и на фоне крупного носа ( на трг это видно) будет сильно бросаться в глаза. С ДВНЧС у вас сейчас проблемы остались?Можно рассмотреть совместно с врачом аппараты для выдвижения нижней челюсти,если тяги не справляются, например форсус или аппарат гербста Ссылка на комментарий
annurka Опубликовано 13 сентября, 2017 Автор Поделиться Опубликовано 13 сентября, 2017 (изменено) вот трг до начала лечения, фото к сожалению нет, если только из жизни) расшифровка трг ДО (где выделено синей ручкой) и недавнее Конечно контакты не идеальны, но если удалить 4ки наверху нижняя треть лица будет иметь довольно вогнутый вид спасибо за комментарий! а если сделать сепарацию резцов, тогда получится избежать вогнутости профиля? С ДВНЧС у вас сейчас проблемы остались? Можно рассмотреть совместно с врачом аппараты для выдвижения нижней челюсти,если тяги не справляются не было до недавнего времени - сейчас иногда болит в области сустава слева (видимо потому что контакты справа уже есть, а слева в процессе, поэтому нагрузка на челюсть неравномерная ?). до операции (но после начала лечения брекетами) сустав не беспокоил, надеюсь это просто период реабилитации.насчет аппаратов по выдвижению НЧ - спасибо, передам ортодонту.с6нимки к сожалению выполнены в разных клиниках, но мне казалось что если судить по трг через полгода, то НЧ там же, где была закреплена титановыми пластинами сразу после остеотомии (но проблема с резцами тогда уже возникла)... или мне так только кажется и произошел рецидив? думаете ее можно еще двинуть вперед? Изменено 13 сентября, 2017 пользователем annurka Ссылка на комментарий
Brigita Опубликовано 13 сентября, 2017 Поделиться Опубликовано 13 сентября, 2017 Не много не поняла вопроса... Ссылка на комментарий
annurka Опубликовано 13 сентября, 2017 Автор Поделиться Опубликовано 13 сентября, 2017 Не много не поняла вопроса...я имею ввиду, вы на ТРГ увидели, что НЧ переместилась снова (рецидив) после операции, и поэтому пишите про аппараты по выдвижению НЧ? или я некорректно вас поняла? Ссылка на комментарий
Brigita Опубликовано 13 сентября, 2017 Поделиться Опубликовано 13 сентября, 2017 (изменено) Нет, я трг пока не могу рассчитать, чтобы это утверждать - на выходных только время будет, а пока с телефона смотрю. Предполагаю,да.Ну и плюс контакты зубы ищут правильные и смыкаются в разном положении Изменено 13 сентября, 2017 пользователем Brigita Ссылка на комментарий
annurka Опубликовано 14 сентября, 2017 Автор Поделиться Опубликовано 14 сентября, 2017 (изменено) Нет, я трг пока не могу рассчитать, чтобы это утверждать - на выходных только время будет, а пока с телефона смотрю. Предполагаю,да.Ну и плюс контакты зубы ищут правильные и смыкаются в разном положениивообще к обоим трг (до и нынешнее) я добавила расшифровку выше, или вы имеете ввиду те, что с титановыми конструкциями? мне все же хочется верить что это с зубами беда, и они новой челюсти не подходят, а не то что челюсть куда-то съехала.. в принципе, как и любому человеку, пережившему перемещение двух челюстей. еще есть такое фото, сделала его сразу после операции, швы не позволяли толком губы раскрыть, а рот нельзя было открывать на протяжении месяца, поэтому такое качество: http://i12.pixs.ru/thumbs/5/6/2/w1BZH71BWi_3410341_27523562.jpghttp://i12.pixs.ru/thumbs/5/5/3/4pJjOEAIq2_4300116_27523553.jpg там видно, что резцы сходятся как следует, а больше никаких контактов нет у других зубов. эластик (который скреплял от движения челюсть) в то же время создавал контакты клыков, носила только их месяца 4. фото через месяц после оп, тенденцию верхних резцов уже видно (но рот мне еще открывать нельзя было)http://i12.pixs.ru/thumbs/6/4/3/IMG5512JPG_8912889_27523643.jpghttp://i12.pixs.ru/thumbs/6/3/1/4pJjOEAIq2_7818185_27523631.jpghttp://i12.pixs.ru/thumbs/6/4/9/IMG5522JPG_8755357_27523649.jpghttp://i12.pixs.ru/thumbs/6/5/1/IMG5525JPG_1306296_27523651.jpg спустя 2 месяца после оп, стала жевать еду, открывать рот могла только на 2смhttp://i12.pixs.ru/thumbs/6/5/7/IMG9072JPG_6555113_27523657.jpghttp://i12.pixs.ru/thumbs/6/6/5/IMG9080JPG_2398494_27523665.jpghttp://i12.pixs.ru/thumbs/6/7/3/IMG9085JPG_1231417_27523673.jpg по ссылке доступно увеличенное изображение, спасибо Skip Изменено 14 сентября, 2017 пользователем annurka Ссылка на комментарий
annurka Опубликовано 23 сентября, 2017 Автор Поделиться Опубликовано 23 сентября, 2017 (изменено) решила не трогать свои 4ки) подскажите кто-нибудь живой, сепарации верхних зубов будет достаточно?и если сепарировать, то только резцы (от клыка до клыка) или лучше весь ряд, или наоборот только боковой отдел? Изменено 23 сентября, 2017 пользователем annurka Ссылка на комментарий
annurka Опубликовано 23 сентября, 2017 Автор Поделиться Опубликовано 23 сентября, 2017 вообще мой косяк конечно, - надо было слать к черту конкретику и озаглавить тему как-то вроде "Сложный случай, операция не изменила прикус, 5 лет впустую, все мы умрем" 1 Ссылка на комментарий
Рекомендуемые сообщения
Для публикации сообщений создайте учётную запись или авторизуйтесь
Вы должны быть пользователем, чтобы оставить комментарий
Создать аккаунт
Зарегистрируйте новый аккаунт в нашем сообществе. Это очень просто!
Регистрация нового пользователяВойти
Уже есть аккаунт? Войти в систему.
Войти